Cookie Consent byPrivacyPolicies.comMon voisin ce dentiste.. - Eugenol

Mon voisin ce dentiste..

Little shop of horrors brzqjx - Eugenol
chatondecarte

07/08/2010 à 00h41

guttapercha écrivait:
---------------------
> Je trouve pas ça normal de gagner aussi peu (enfin juste de rentrer dans nos
> frais), mais par contre je trouve ça normal de faire un soin correct, pas vous ?
> Oui je suis au début de ma carrière, pas encore blasée et heureusement.


Oui mais voilà ce qui va ce passer quand te rendra compte que faire des soins corrects dans ce beau pays peut te conduire à la faillite.

Soit tu continueras à faire des SC12 à 30€ et la qualité va forcement en pâtir car tu seras obliger de diminuer le temps passé.

Soit tu feras des inlay à 300€. Tes patients seront bien soignés et tu gagneras ta vie mais ça sera une fois de plus le patient qui paiera les incohérences du système.

Soit tu feras des compo SC12 à 90€ en priant pour que madame sécu n'y fourre pas son gros nez putride. Au risque d'en faire râler certains c'est pour moi la solution la plus honnête vis à vis du patient.

Soit tu te déconventionnes et alors bonne chance pour expliquer au patient qu'il cotise mais que ses soins ne sont pas couvert.


Avatar 46 aoi1yc - Eugenol
HononLulu

07/08/2010 à 00h53

chatondecarte écrivait:
-----------------------
> guttapercha écrivait:
> ---------------------

>
> Soit tu feras des compo SC12 à 90€ en priant pour que madame sécu n'y fourre pas
> son gros nez putride. Au risque d'en faire râler certains c'est pour moi la
> solution la plus honnête vis à vis du patient.

C'est possible comment, ça ?

Ameli, t'es prié de te retourner.


doctyoni

07/08/2010 à 01h13

Petit cas que j'ai eu tout à l'heure :
-patient avec infection périapicale sur 11 avec une obturation mi gutta - mi composite en sous obturation manifeste.
Ce qui est gênant , c'est de passer beaucoup de temps à la dépose du composite intracanalaire , j'aurais préferé que ma consoeur s'abstienne de traiter cette dent.

Je sais que je ne suis pas un tenor de la dentisterie mais je fais au mieux , que j'aurais certainement des merdes et qu'on ne peut se permettre de juger mais c'est difficilement justifiable de voir ce genre de soin et de rester confraternel .
ps : le tout pour 40 euros ...

Capture d  cran 2010 08 06   22.58 - Eugenol

Little shop of horrors brzqjx - Eugenol
chatondecarte

07/08/2010 à 01h15

HononLulu écrivait:
-------------------

> C'est possible comment, ça ?
>
> Ameli, t'es prié de te retourner.

Ça me me fait penser à une scène dans un bouquin de Terry Pratchett. Les héros sont perdus dans un labyrinthe mais comme c'est un truc asiatisant les murs sont fait en papier comme dans les maisons japonaises. Alors les héros progressent dans le labyrinthe en cassant les cloisons en papier. Et la les gardes disent : "Ce sont des sorciers, ils peuvent traverser les murs!"


Little shop of horrors brzqjx - Eugenol
chatondecarte

07/08/2010 à 01h21

doctyoni écrivait:
------------------


> ps : le tout pour 40 euros ...


C'est un motif de fierté??
C'est en acceptant de travailler dans ces conditions de rémunération que les choses ne changeront jamais.


doctyoni

07/08/2010 à 01h28

C'était ironique...
Bien sur ca me fait mal au cœur de passer bp de temps sur une endo à ce prix la , qui plus est , sous digue...
Alors oui , c'est mal payé mais bon ce n'est pas une raison de faire de la merde.
Le système de santé francais est pourri: plus on délabre la dent , plus on est rentable . C'est dommage.

Je donne un exemple simple :
patient jeune avec pulpite reversible et carie profonde , je me demande quel serait le pourcentage dentiste francais qui vont prendre la décision de faire un coiffage pulpaire.
Si un SC17 était mieux rémunéré , bien sur on prendrait plus de temps à bien soigner et on passerait moins de temps à resoigner.



Avatar 46 aoi1yc - Eugenol
HononLulu

07/08/2010 à 01h38

chatondecarte écrivait:
-----------------------
> doctyoni écrivait:
> ------------------
>
>
> > ps : le tout pour 40 euros ...
>
>
> C'est un motif de fierté??
> C'est en acceptant de travailler dans ces conditions de rémunération que les
> choses ne changeront jamais.

Ça m'énerve de lire ça.......Grrrrrr......... et si doctyoni avait fait une endo merdique, ça aurait changé la condition des dentistes et la nomenclature?

Le système actuel nous conduit à la délinquance, autant qu'elle se fasse au dépens de la sécu qu'au dépens du patient


doctyoni

07/08/2010 à 01h46

HononLulu écrivait:
-------------------

> Ça m'énerve de lire ça.......Grrrrrr......... et si doctyoni avait fait une endo
> merdique, ça aurait changé la condition des dentistes et la nomenclature?

Ca aurait pas changé la condition des dentistes , mais mon CA serait bien plus élévé..


Little shop of horrors brzqjx - Eugenol
chatondecarte

07/08/2010 à 02h14

HononLulu écrivait:
-------------------


> Le système actuel nous conduit à la délinquance, autant qu'elle se fasse au
> dépens de la sécu qu'au dépens du patient

Voilà une phrase sensée. On est enfin d'accord. Au dépend des mutuels ça me va aussi...


Pepsi tmi4vp - Eugenol
cartman

07/08/2010 à 04h02

chatondecarte écrivait:
-----------------------
> HononLulu écrivait:
> -------------------
>
>
> > Le système actuel nous conduit à la délinquance, autant qu'elle se fasse au
> > dépens de la sécu qu'au dépens du patient
>
> Voilà une phrase sensée. On est enfin d'accord. Au dépend des mutuels ça me va
> aussi...

et indirectement a nos depends en nous mettant en situation de nous faire taper les doigts et panpan cucul par la secu avec tous les sanctions inherentes.


chicote64

07/08/2010 à 05h17

La désobturation des canaux n'est pas dans la nomenclature . quand on y passe beaucoup de temps on peux tout à fait légalement faire une note d'honoraires HN


Little shop of horrors brzqjx - Eugenol
chatondecarte

07/08/2010 à 12h15

chicote64 écrivait:
-------------------
> La désobturation des canaux n'est pas dans la nomenclature . quand on y passe
> beaucoup de temps on peux tout à fait légalement faire une note d'honoraires HN

C'est pas l'endo le problème vu que dans 99% des cas l'endo appel une restauration permettant une ED.
Sans compter que le HN c'est bien mais c'est un peu dire au patient vous payez un mutuelle pour rien. Et ça le patient il aime pas trop.


Little shop of horrors brzqjx - Eugenol
chatondecarte

07/08/2010 à 12h19

cartman écrivait:
-----------------

> et indirectement a nos depends en nous mettant en situation de nous faire taper
> les doigts et panpan cucul par la secu avec tous les sanctions inherentes.

Mais c'est ça la résistance. Ça comporte certains risques.


Grueavatar nptrc9 - Eugenol
Le Choixpeau magique

07/08/2010 à 13h04

chatondecarte écrivait:
-----------------------
> Soit tu feras des inlay à 300€. Tes patients seront bien soignés et tu gagneras
> ta vie mais ça sera une fois de plus le patient qui paiera les incohérences du
> système.
>

La santé à un coût, il faut bien que quelqu'un paye.


> Soit tu feras des compo SC12 à 90€ en priant pour que madame sécu n'y fourre pas
> son gros nez putride. Au risque d'en faire râler certains c'est pour moi la
> solution la plus honnête vis à vis du patient.

Un compo à 90€ tu ne gagnes pas ta vie, et si c'est en fraudant la sécu, tu voles tes confrères et la collectivité, et de toute façon à la fin il faut bien que qqun paye pour l'argent qui manque.


Little shop of horrors brzqjx - Eugenol
chatondecarte

07/08/2010 à 13h16

Le Choixpeau magique écrivait:
------------------------------

> Un compo à 90€ tu ne gagnes pas ta vie, et si c'est en fraudant la sécu, tu
> voles tes confrères et la collectivité, et de toute façon à la fin il faut bien
> que qqun paye pour l'argent qui manque.

Tu fraudes pas la secu vu qu'elle ne paye rien de plus que son SC12. C'est les mutuels qui éventuellement prennent en charge la différence ou pas. Même si tu fais attraper je vois pas trop ce qui peut t'arriver. Acte réalisé, la sécu paye la même chose donc pas d'indu possible.

Après je le fais pas encore tant que je suis en collab. Dès que j'ai mon cabinet je penses faire comme ça si la nouvelle convention permet encore l'ED sur le SC, ce qui n'est pas garantie.


doctyoni

07/08/2010 à 20h26

chicote64 écrivait:
-------------------
> La désobturation des canaux n'est pas dans la nomenclature . quand on y passe
> beaucoup de temps on peux tout à fait légalement faire une note d'honoraires HN

Faux. J'ai posé la question à une dentiste conseil qui m'a confirmé que ce n'est pas possible de faire du HN sur RTE.

Pour le composite avec dépassement (même esthétique), on a pas le droit au dépassement.
La dentiste conseil (du 92, lieu ou j'exerce) m'a même dit qu'il est préférable de faire complètement du hors nomenclature plutôt qu'un dépassement sur soin (ne transmettant rien à la SS ,le dentiste conseil ne pourra ni contrôler , ni demander des indus).


Little shop of horrors brzqjx - Eugenol
chatondecarte

07/08/2010 à 22h08

doctyoni écrivait:
------------------
>
> Pour le composite avec dépassement (même esthétique), on a pas le droit au
> dépassement.
> La dentiste conseil (du 92, lieu ou j'exerce) m'a même dit qu'il est préférable
> de faire complètement du hors nomenclature plutôt qu'un dépassement sur soin (ne
> transmettant rien à la SS ,le dentiste conseil ne pourra ni contrôler , ni
> demander des indus).

C'est effectivement la solution la plus sure, mais va expliquer au patient qu'il cotise à la sécu, qu'il cotise à une mutuel complémentaire, qu'il va voir un dentiste conventionné et qu'il n'a le droit ni à une feuille de soin ni à un remboursement. Je comprendrais un peu qu'il trouve ça malhonnête.


doctyoni

07/08/2010 à 23h33

chatondecarte écrivait:

>
> C'est effectivement la solution la plus sure, mais va expliquer au patient qu'il
> cotise à la sécu, qu'il cotise à une mutuel complémentaire, qu'il va voir un
> dentiste conventionné et qu'il n'a le droit ni à une feuille de soin ni à un
> remboursement. Je comprendrais un peu qu'il trouve ça malhonnête.

Le patient ne fais la différence entre facette , couronne , bridge , composite esthétique .
Il suffit de lui expliquer pdt la première séance que comme les facettes , un composite esthétique fait sous digue avec 2 teintes se paye plus cher (car plus difficile à réaliser ,les patients ne sont pas bêtes ; ils peuvent comprendre que rester plus d'une heure sur une dent a un cout).

Si il refuse , il y a plein d'autres praticiens qui lui feront des composites aux tarifs sécu
.
Aprés tout dépend du travail à effectuer en bouche, si il a un composite esthétique + 3ou 4 CMM à refaire ... le HN , il faut eviter.


19066 1223810679128 1344811835 30546764 2261510 n medium ozxaxj - Eugenol
vitalic

08/08/2010 à 00h03

chicote64 écrivait:
-------------------
> La désobturation des canaux n'est pas dans la nomenclature . quand on y passe
> beaucoup de temps on peux tout à fait légalement faire une note d'honoraires HN

non non
ça fait partie de l'endo et c'est dans la nomenclature
pas de HN


Blue eye thumb medium dx1i0w - Eugenol
bill

08/08/2010 à 02h42

chatondecarte écrivait:
-----------------------
>
>si la nouvelle convention permet encore l'ED sur le SC


Un petit texte ?


Little shop of horrors brzqjx - Eugenol
chatondecarte

08/08/2010 à 05h54

doctyoni écrivait:
------------------

>
> Le patient ne fais la différence entre facette , couronne , bridge , composite
> esthétique .
> Il suffit de lui expliquer pdt la première séance que comme les facettes , un
> composite esthétique fait sous digue avec 2 teintes se paye plus cher (car plus
> difficile à réaliser ,les patients ne sont pas bêtes ; ils peuvent comprendre
> que rester plus d'une heure sur une dent a un cout).


Le patient peut très bien comprendre qu'il faut payer plus, il peut très bien comprendre qu'il lui reste une part à charge non remboursé par la mutuelle.
Ce qui risque de l'interloquer c'est pourquoi y en a un qui apparait sur la feuille de soin et l'autre non.

Et les facette si c'est suite à une fracture ou une carie, tu peux faire SC17 + ED. (vu avec dentiste conseil, et c'est pratiqué à la fac)


ned

08/08/2010 à 20h40

qd je lis toutes ces discussions sur la maniere de facturer et sur ce que doit comprendre le patient je persiste à dire que notre profession est sinistrée.
Non seulement on réalise des soins à perte mais en plus il faut passer du temps à expliquer au patient payeur que ce qu'il paye à la secu et à sa mutuelle ne sert à rien si il veut etre bien soigné(j'exagere à peine)
c'est à mon avis incomprehensible pour la majorité


Cuisinier2 vnbbxx - Eugenol
jeff2

08/08/2010 à 20h50

+1

--
Libre à vous d'être passifs, ne venez pas pleurer qu'on ne vous avez pas prévenus.


guttapercha

09/08/2010 à 16h22

Travailler à perte est une réalité sur la plupart des soins, on est d'accord.
Essayer d'aller expliquer ça à l'opinion publique (nos patients), dans un contexte de crise socio-économique et de désinformation des médias sur notre métier, ça va être très dur.
En attendant c'est pas une raison pour faire un travail tout caca.

Et pis de toute façon, c'était pas l'objet du premier post de Cingulum... on a digressé !


Avatar hjdsnm - Eugenol
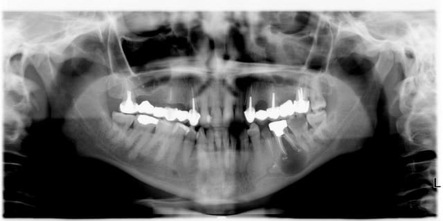
TiGabi

12/08/2010 à 00h11

Observez le magnifique bridge secteur I fait en 2006 de 18 à 13 avec comme piliers...

... 18 et 13 :)

Et une jolie racine de 15 laissée "en jachère".

Mez alwruy - Eugenol