Tous les forums
Mon voisin ce dentiste..
12/08/2010 à 00h26
waouh...
...
... moi j'ai découvert un nouveau truc chez le con frère : vous savez, les microbrushes qui servent à appliquer l'adhésif notamment (tige plastique surmontée d'un peu de coton) ? bah... il les jette pas, il les fait tremper dans sa sté pour s'en resservir...
12/08/2010 à 00h43
une precision, la 15 semble etre un pilier carié pas avoir été laissée en jachere...enfin, moi ce que j'en dis...
Par contre ca faisait un moment que je n'avais pas remis les pieds ici, mais je vois que les années passent et se ressemblent....
Vive les vacances les gars (et les filles bien sur)
--
sbire
12/08/2010 à 00h56
sbire écrivait:
---------------
> Par contre ca faisait un moment que je n'avais pas remis les pieds ici, mais je
> vois que les années passent et se ressemblent....
Ce ne sont pas les années qui se ressemblent... ;-)
12/08/2010 à 02h35
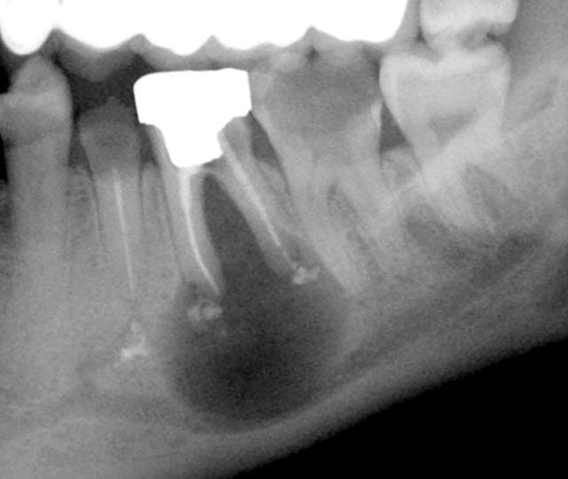
sbire écrivait:
---------------
> une precision, la 15 semble etre un pilier carié pas avoir été laissée en
> jachere...enfin, moi ce que j'en dis...
Très probable en fait : mea culpa, c'est si facile de critiquer, pas toujours sain...
Jolie lésion, non ?
12/08/2010 à 03h45
TiGabi écrivait:
----------------
> sbire écrivait:
> ---------------
> > une precision, la 15 semble etre un pilier carié pas avoir été laissée en
> > jachere...enfin, moi ce que j'en dis...
>
> Très probable en fait : mea culpa, c'est si facile de critiquer, pas toujours
> sain...
>
> Jolie lésion, non ?
>
C'est sensible ? non ? bon, on surveille cela, ça va sûrement se placer tout seul...
Ah, la p'tite bulle qui coule sur le côté...
c'est signe que ça guérit ...
Allez, bonne vacances...
--
Céramik
13/08/2010 à 23h33
Le plancher n'a pas l'air top...
Question : le patient "sent" il ou remarque-t il quelque chose ?
Bon moi ce soir, la goutte d'eau :
Patiente de mon titulaire qui a avalé la 13 pendant sa sieste, posée il y a 10 mois, et elle est témoin à un mariage demain !!!
CC sur dent vivante, 12 mobile également ! mais la patiente n'a pas voulu que je la touche...
14/08/2010 à 11h35
... se fait sa pub
> http://www.leprogres.fr/fr/region/le-rhone/rhone/article/3625674/Dr-Sassolas-dentiste-certifie-norme-ISO-9001.html
14/08/2010 à 18h22
JeRis écrivait:
---------------
> ... se fait sa pub
>
> >
> http://www.leprogres.fr/fr/region/le-rhone/rhone/article/3625674/Dr-Sassolas-dentiste-certifie-norme-ISO-9001.html
super les normes d'aseptie...pas de gants ( et pas de masque) sur la photo avec instrument en bouche...mdr
--
Céramik
14/08/2010 à 21h02
JeRis écrivait:
---------------
> ... se fait sa pub
>
> >
> http://www.leprogres.fr/fr/region/le-rhone/rhone/article/3625674/Dr-Sassolas-dentiste-certifie-norme-ISO-9001.html
bah alors, Julien a pris un sacré coup de vieux!
"Par la suite, J. S. aimerait vulgariser sa démarche et la rendre accessible à des confrères, sous la forme d'un logiciel. Selon lui, la santé mérite autant que les autres secteurs d'activité d'être soumise au contrôle, au respect d'engagements, à la remise en question, à la recherche d'amélioration. "
MDR
sacré Julien!
15/08/2010 à 02h33
Julie fait son 357 eme saut en parachute, pas de chance celui ci se met en torche, coup de chance, une enorme meule de foin a l'applomb, pas de chance une fourche, vraiment pas de chance, elle est a l'envers...
Nos attitudes et nos actions d'une vie professionnelle (et extra professionnelle!) ne suivent elles pas ce film? C'est a dire la loi du Chaos?
Toutes les normes du monde et on oublie les gants dans un moment de stress (filmé), le fauteuil s'use et le reparateur met des composants qui ne sont plus si surs, l'assistante a un accident de voiture et la sté devient... perfectible!
M'enfin, l'essentiel est de se rappeler (discretement, c'est mieux!) ses objectifs. De la a les matérialiser par de la pub, n'est ce pas un manque de sagesse?