Tous les forums
Bridge pilotis
01/02/2011 à 14h50
Pxav j'ai revue notre patiente ce matin: tout va très bien, elle est contente de la tenue de sa PAT avec la barre
elle vient pour le haut
cela va être un bridge avec fausse gencive
Qd je lui ai dit que pour des implants il fallait une greffe:
Elle a un peu tiqué!
Franchement je comprends pas pourquoi MDR
01/02/2011 à 15h09
beotien écrivait:
-----------------
> Franchement je comprends pas pourquoi MDR
merci beo, tu es mon sourire de ce jour.... transmet mes amitiés à la patiente et dis lui qu'un jour j'apprendrais à implanter.
--
xbk
La théorie, c'est quand on sait tout et que rien ne fonctionne. La pratique, c'est quand tout fonctionne et que personne ne sait pourquoi. Albert EINSTEIN
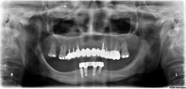
04/09/2012 à 16h31
pxav je viens de revoir notre patiente ce matin, elle te passe le bonjour, elle est toujours contente de notre travail
pano 5 et photo 6 ce matin
j'ai relu une partie de ce thread "animé"
2ans1/2 plus tard comme cela me semble dérisoire
Si certains se relisent ils comprendront
04/09/2012 à 19h15
et encore une vie sauvée grâce à une expansion de pxav, une!
:)
ça valait le coup de le faire venir.