Cookie Consent byPrivacyPolicies.comAPN compact - Eugenol
Le Gaucher

06/04/2010 à 13h24

Bonjour à tous
Je cherche actuellement un appareil photo compact comme outil de communication avec mon prothésiste principalement. Je n'ai pas le budjet pour un reflex+ flash macro et je souhaite partager l'appareil avec mes associés qui son un peu réfractères à la photo.
J'ai repéré le panasonic LX3 , le cnanon S90 , le canon G11.
D'autres suggestions, certains d'entre vous utilisent-ils déjà un appareil de ce type ?



cyberquenottes

06/04/2010 à 13h47

bridge
panasonic

--
LA PETITION anti protocole MFP se trouve ICI :

http://tiny.cc/InhAX

!!!!!!! vous êtes 156 a avoir signé !!!!!!!

que vous signiez ou pas c'est mort de toutes façons

et bientôt on va faire un enterrement de 1ère classe
aux différents protocoles mutualistes

hé hé hé


Le Gaucher

06/04/2010 à 14h02

Tu as en tête un modèle de bridge samsung particulier ?
Quel avantage pour le bridge sur le compact à ton avis ?
Le caractéristiques techniques à privilégier sont je pense l'ouverture (f:2 pour le LX3 par exemple), la luminosité de l'objectif, la possibilité de monter les iso pour éviter au maximum l'usage du flash (non annulaire forcément).
Cependant qui dit grande ouverture dit faible profondeur de champ...
d'autre points techniques à surveiller ?


Grueavatar nptrc9 - Eugenol
Le Choixpeau magique

06/04/2010 à 15h00

Le Gaucher écrivait:
--------------------
> Le caractéristiques techniques à privilégier sont je pense l'ouverture (f:2 pour
> le LX3 par exemple), la luminosité de l'objectif

Non et non.

, la possibilité de monter les
> iso pour éviter au maximum l'usage du flash (non annulaire forcément).

Oui sur un compact ou bridge.

> Cependant qui dit grande ouverture dit faible profondeur de champ...

Voilà


Photo pluton1b h9n4ea - Eugenol
pluton

06/04/2010 à 16h35

sincèrement je ne comprends pas ce choix de l'apn compact ou du bridge...
le prix...??? pas tellement différent, car si l'on veut bien faire les photos en bouche, il faut un système de flash spécifique (annulaire)...çà existe pour certains de ces appareils...mais çà coûte aussi cher que l'appareil en lui même...aucun intérêt...
pourquoi donc ne pas se tourner vers des réflex "premiers prix" ou de fin de série...voir même de l'occasion si le budget est vraiment serré???
par ex: un Canon EOS se trouve pour une bouchée de pain en occase (200/300€)...de même, un efs 60mm voir un 100mm se trouvent aussi par ce biais (300€ environ en occase)...sinon un 105mm sigma macro, très facile à trouver...
reste le flash annulaire...un sigma fait parfaitement l'affaire, pour moins cher qu'un MR14 EX...mais plus compliqué à trouver d'occase...
bilan, en "chinant" un peu, pour moins de 1000€ tu peux avoir un matos performant, parfaitement adapté...et évolutif...le jour où tu veux un boitier mieux...pas de pb...avec l'apn ou le bridge...c'est poubelle...


Le Gaucher

06/04/2010 à 16h50

En fait je ne vois pas trop quels sont les plus d'un reflex.
A priori reflexe = gros capteur donc profondeur de champ réduite.
Techniquement qu'apporte un reflex par rapport à un Canon G11 + flash (en fait éclairage led) annulaire compatible sur lequel je lorgne ? a ton avis.

http://www.amazon.fr/DIGITAL-POWER-%C3%A9clairage-RING-48-reflex-num%C3%A9riques/dp/B003F0WHIU/ref=sr_1_21?ie=UTF8&s=electronics&qid=1270557149&sr=1-21

http://www.amazon.fr/Canon-Powershot-Appareil-compact-num%C3%A9rique/dp/B002M3KJ2C/ref=sr_1_1?ie=UTF8&s=electronics&qid=1270558112&sr=1-1

440€+140€ = 580€ pour du matos neuf.

A cela s'ajoute la difficulté de prise en main pour un néophyte (mes confrères).



200106 10150128247663588 709988587 6466236 5598391 n d7mksb - Eugenol
hallboy

06/04/2010 à 17h26

ton eclairage est pour les reflex. pas dit qu'il s'adapte sur un G11


Le Gaucher

06/04/2010 à 17h32

hallboy écrivait:
-----------------
> ton eclairage est pour les reflex. pas dit qu'il s'adapte sur un G11

La est le problème ! Le G11 est compatible avec le MR14-EX c'est officiel sur le site canon . Par contre est t-il compatible avec ça nettement moins cher :

http://www.pixmania.com/fr/fr/4029875/art/canon/inter-image-flash-ttl-ma.html qui est compatible avec les canon ?

Pour ce qui est de l'éclairage led , la seule question de compatibilité concerne la bague d'adaptation à l'objectif, car il n'y a pas de lien electronique entre cet éclairage led et le boitier.


200106 10150128247663588 709988587 6466236 5598391 n d7mksb - Eugenol
hallboy

06/04/2010 à 17h43

J'ai un G11 ala maison donc si tu fais ton marché, poste qq photos pour montrer ce que tu obtiens


Photo pluton1b h9n4ea - Eugenol
pluton

06/04/2010 à 18h08

Le Gaucher écrivait:
--------------------
> En fait je ne vois pas trop quels sont les plus d'un reflex.
> A priori reflexe = gros capteur donc profondeur de champ réduite.
> Techniquement qu'apporte un reflex par rapport à un Canon G11 + flash (en fait
> éclairage led) annulaire compatible sur lequel je lorgne ? a ton avis.

les plus du reflex:
-la qualité d'image car tu peux monter en iso surtout si ton flash est pas très puissant...(celui que tu mets à 190€ par ex...)
-la visée...sans commune mesure avec le trou de serrure d'un G11...tu peux vraiment apprécier la netteté du cliché, la profondeur de champs (testeur), etc...la visée sur écran...bof...mais un réflex "moderne" le fait aussi...
-la réactivité pour la mise au point...et plus encore si tu as un objectif à motorisation ultrasonique...
-la possibilité de mettre différents objectifs...mais en pratique dentaire, un 100mm (160mm avec le coeff capteur) est idéal...

un eos 1000D neuf...environ 315€ boitier nu...un sigma 105mm macro d'occase 250/300€, le flash annulaire que tu mets 190€... pour 750/800€ tu en auras pour ton argent...et de bien belles photos...;-))
et finalement, pour pas beaucoup plus cher...


Grueavatar nptrc9 - Eugenol
Le Choixpeau magique

06/04/2010 à 18h13

Le Gaucher écrivait:
--------------------
> En fait je ne vois pas trop quels sont les plus d'un reflex.
> A priori reflexe = gros capteur donc profondeur de champ réduite.
> Techniquement qu'apporte un reflex par rapport à un Canon G11 + flash (en fait
> éclairage led) annulaire compatible sur lequel je lorgne ? a ton avis.


En macro, soit tu fais la mise au point à l'AF pour les faibles grossissements (style portraits de sourire), et là le compact sait faire, soit tu fais la mise au point à la main (en t'avançant/te reculant) par rapport au sujet, et là pour juger d'une mise au point dans un écran de compact, bon courage !


3f3boxni50k58rq7e9ce9ddqrxgk - Eugenol
dentiste57

06/04/2010 à 18h19

le gaucher, ce qui fait la différence entre un aveugle et un pilote de ligne, ceux sont les yeux!

la différence entre un g11 inadapté à la photo prof dentaire mais pratique pour les vacances et un reflexe sur lequel tu mettra un objectif de qualité (c'est ça les yeux..) il te faut faire le choix entre ce qui est fait pour et qui reste au cabinet et ce qui part en vacances occasionnellement.

toute la question est là; veux tu un appareil pour ne faire que des belles photos irréprochables en bouche ou un truc qui puisse un peu faire de tout.


Photo pluton1b h9n4ea - Eugenol
pluton

06/04/2010 à 18h26

D57...le même boitier, tu lui colles un objo polyvalent...et il fait aussi les photos de vacances...
un 18/55 de base se trouve à moins de 100€...pour pas beaucoup plus un sigma 18/125 voir 18/200 (j'en ai un...)en fait le parfait compagnon de voyage...pour peu qu'on ait en plus un petit 50mm f1.8 (une centaine d'€ aussi d'occase) pour les photos en faible éclairage et qu'on a pas envie de mettre un coup de flash...


Le Gaucher

06/04/2010 à 19h45

Je suis convaincu à 100% de la supériorité technique des réflex sur les compact. Pour mon usage perso j'utilise depuis 3 ans un Canon 350D.

Outre le prix ce qui m'interesse dans le compact c'est l'apect pratique et le faible encombrement qui incitent à le sortir plus souvent qu'un reflex je pense.

La visé avec un écran orientable c'est aussi un plus niveau ergonomie . Ca existe en réflex mais les prix s'envolent. Et je compte utiliser l' autofocus avec une bonne profondeur de champ (caractéristique propre aux compact grace à leur petit capteur). La mise au point manuelle dans mon 350D (je sais son viseur n'est pas comparable à du haut de gamme) c'est pas simple non plus.

En tout cas je vous remercie de votre aide, mais pour l'instant vous ne m'avez pas convaincu de la supériorité du reflex niveau image pour l'usage que j'en aurai. Certe le piquet sera meilleur en reflex, mais j'envoie mes photos par mail et sont recompréssées de toute façon.
Reste la sensibilité favorable aux réflexes mais les compact pointus tels que le G11 semblent bien se défendre.
http://www.lesnumeriques.com/article-322-6103-1.html


Il semblerait que personne n'utilise de compact en dentaire, il doit bien y avoir une raison. Pas d'autre suggestion poru choisir le moins mauvais ?


Grueavatar nptrc9 - Eugenol
Le Choixpeau magique

06/04/2010 à 19h57

Le Gaucher écrivait:
--------------------
> Il semblerait que personne n'utilise de compact en dentaire, il doit bien y
> avoir une raison.

Bah écoute, il me semble t'avoir répondu.
J'avais le coolpix 4500 qui à un moment était la référence de la photo dentaire quand les réflexes numériques étaient peu répandus.
Pour des photos de sourire, comme je te l'ai écrit, ça allait, mais dés que je voulais monter en grossissement, l'autofocus était à la rue, et la mise au point manuelle était quasiment impraticable.
Une fois j'ai eu une belle fêlure qu'on voyait bien par transilumination, j'ai essayé de faire une photo, l'autofocus n'a jamais voulu... C'était ma dernière photo avec cet appareil !


Photo pluton1b h9n4ea - Eugenol
pluton

06/04/2010 à 20h19

Le Gaucher écrivait:
--------------------

> La visé avec un écran orientable c'est aussi un plus niveau ergonomie . Ca
> existe en réflex mais les prix s'envolent.

visée écran...on est plusieurs à te dire bof...

Et je compte utiliser l' autofocus
> avec une bonne profondeur de champ (caractéristique propre aux compact grace à
> leur petit capteur).

oui et non...un petit capteur a en effet "naturellement" une grande profondeur de champs...mais un objectif macro "de qualité" permet de fermer le diaphragme pour compenser et te donner encore de meilleurs résultats...

La mise au point manuelle dans mon 350D (je sais son viseur
> n'est pas comparable à du haut de gamme) c'est pas simple non plus.

c'est sans problème!!!, j'en ai un au cab...avec le MR14ex et l' ef 100mm macro...
n'oublie pas que ces objos sont ultralumineux...f2.8...et que le viseur du 350D, aussi perfectible soit-il, y est particulièrement sensible!
si tu veux plus de confort, sans te ruiner, prends un 20D ou un 30D d'occase


>
> En tout cas je vous remercie de votre aide, mais pour l'instant vous ne m'avez
> pas convaincu de la supériorité du reflex niveau image pour l'usage que j'en
> aurai.

fais comme tu veux...mais on est plusieurs à avoir testé les 2...et comme on dit "y a pas photo..."

Certe le piquet sera meilleur en reflex, mais j'envoie mes photos par
> mail et sont recompréssées de toute façon.

et bien un peu moins bon que bon...çà passe...mais encore plus nul que nul...

> Reste la sensibilité favorable aux réflexes mais les compact pointus tels que le
> G11 semblent bien se défendre.

le G11 est un super appareil expert...mais c'est pas fait pour les photos dentaires, c'est tout...c'est comme prendre des patins à roulettes pour faire du patin à glace...

> Il semblerait que personne n'utilise de compact en dentaire, il doit bien y
> avoir une raison.

et bien on te les donne, ces raisons...mais tu veux pas les entendre...


Le Gaucher

06/04/2010 à 20h23

Mais si je les entends vos réponses.
Et je comprend vos arguments qui poussent naturellement vers l'excellence comme dans beaucoup de domaines sur eugénol.
Je vais réfléchir à tout ça.


Blason dql7mj - Eugenol
growler

06/04/2010 à 20h47

le Gaucher: "A cela s'ajoute la difficulté de prise en main pour un néophyte (mes confrères)."

on a quand même pas affaire à des débiles profonds?

franchement, il n'y a rien de compliqué.


Pa050055 igyagy - Eugenol
mark

07/04/2010 à 03h41

Si le sujet est bien APN compact, je recommande un Canon avec écran inclinable et pivotant, car je crois bien que c'est la seule marque à en faire encore (comme avec viseur optique, d'ailleurs)

Je précise, car quelques rares reflex ont un écran inclinable seulement à la verticale (dont Sony)

Or, s'il est un avantage à un compact c'est bien celui de la maniabilité car léger, à écran pivotant donc déclenchable d'une main donc à bout de bras, pour une prise de vue sans lever son cul du fauteuil ni se contorsionner ni se pencher sur le patient.

Et puis un écran pivotant vaut largement les meilleurs viseurs électronique de bridge, qui obligent à se tenir en face du sujet comme avec un reflex...

Pour ce qui est de la lumière, sans flash je n'en vois pas l'intérêt si c'est pour batailler avec une lumière ambiante ou inadaptée. Et avec flash additionnel on retombe dans l'aspect encombrement-poids de l'ensemble.

La solution que j'ai retenue c'est donc un APN avec bague adaptatrice et diffuseur de flash à miroir distribué par un vieux de la vieille sur la place. La définition de l'image permet toujours un recadrage zoomé de qualité suffisante pour écran PC ou impression en vue de communication avec le labo.

Bien sûr un reflex fera de meilleurs clichés dans l'absolu... mais pour quel usage professionnel? A chacun de voir selon son cahier des charges.

Quant au budget... c'est selon la fortune et celle qu'on voudra mettre au service de la qualité, de son plaisir ou de son narcissisme.

Personnellement je ne veux pas passer trop de temps à m'interrompre pour un cliché durant une séance clinique, même si cela flatte le plus souvent le patient qui pense participer à l'immortalisation d'un geste clinique de haute volée ou à un moment historique...


Grumpy cat ifik8s - Eugenol
radich_a_tord

07/04/2010 à 04h41

Avec un simple compact tu n'auras jamais assez de lumière pour accrocher la mise au point, et tu auras beaucoup de photos floues.

Avec un flash externe ou un diffuseur c'est mieux, mais déjà il faudrait savoir pourquoi tu veux faire des photos. Si comme ton premier message le laisse penser c'est pour t'aider dans la prise de couleur, un flash de ce type ou un flash LED ne sont pas du tout adaptés.
Par exemple as tu déjà essayé de voir l'effet du réglage de balance des blancs en photo loisir ? alors imagine sur une photo pour de l'esthétique...sans parler de l'indice de rendu des couleurs, de la dominante bleuté des flash LED, etc etc.

Si tu as déjà un boitier 350D tu as juste à mettre un objectif et un flash macro, même budget qu'un compact + flash/diffuseur.

Quant au problème des réglages ça n'en est pas un, ils sont fixés une fois pour toute, ensuite tu n'as qu'à cadrer et déclencher.


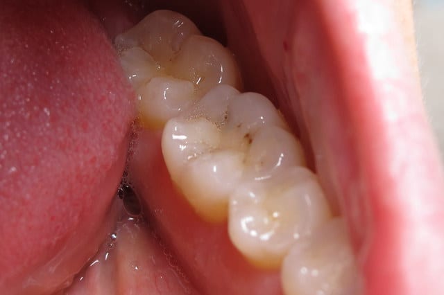
Le Gaucher

22/04/2010 à 21h50

Je viens de recevoir le canon G11.
Les premiers tests (sur ma femme) sont plutot positifs : pas de soucis de mise au point, bonne lumière même sans flash.
Je tiens à préciser que je débute en photo dentaire.
Que pensez vous de cette photo (à part la salive , je n'ai pas de souflette chez moi) :

G11 ozzgbk - Eugenol

cyberquenottes

22/04/2010 à 23h01

Le Gaucher écrivait:
--------------------
(à part la salive , je n'ai pas de souflette chez
> moi)
===============================================
et bien je crois que pour une fois je vais me retenir....


Le Gaucher

23/04/2010 à 01h49

de quoi ?


burnax

08/11/2017 à 08h50

Je ressors ce sujet pour des pistes pour un appareil photo compact pas cher, léger, efficace en macro en complément de mon Nikkon .

merci


burnax

08/11/2017 à 08h55

Etant une brêle en photo, quel critère vérifier pour étudier la qualité en macro.


12