Cookie Consent byPrivacyPolicies.comKes-Kon-fait avec ceci - Eugenol

Kes-Kon-fait avec ceci

aldo74

11/04/2010 à 17h53

désolé nos réponses ce sont croisés ,on est sur la mème longueur d'ondes.


Smile beach jgh0a1 - Eugenol
Céramik

11/04/2010 à 18h21

aldo74 écrivait:
----------------
> sur des photos on n'entend pas sa phonation ,on ne la
> voit pas déglutir , respirer etc ,etc, donc on ne pourra envisager que des
> pistes .
> et effectivement la dentisterie seule risque de conduire à certaine désillusion.



J'ai placé ce cas sur un autre forum, et j'ai eu plusieurs pistes (ortho, apnée, etc) et cela sans jugement et sans autre info que les photos...certains ont l'esprit plus ouvert, c'est pour cela que je place le cas.


--
Céramik


209209668 fh2mys - Eugenol
fredo667

11/04/2010 à 20h49

Vu les charges qu'elle va mettre sur un PAProvisoire,
- je mettrai déjà les implants en place,
-une fois la mise en fonction faites, brige pro en surelevant le bas de quelques mm ,
-bridge pro complet du haut en maintenant des plans plats,
-PAProvisoire plans plats ou provisoires sur les impalntsmais la pap sera plus facile à retoucher

Tu devrais observer un recul mandibulaire important qui devrait faire basculer le plan de celle ci en n'augmentant pas la dv postérieure et en libérant de la place devant, donc plus besoin d'élongation coronaire.
Ensuite réalisation du définitif


Smile beach jgh0a1 - Eugenol
Céramik

12/04/2010 à 00h48

fredo667 écrivait:
------------------
>
> Tu devrais observer un recul mandibulaire important qui devrait faire basculer le plan de celle ci en n'augmentant pas la dv postérieure
----------------------

mais j'ai besoin de DV postérieure...
le profil est écrasé.

-------------

et en libérant de la place devant, donc plus besoin d'élongation coronaire.

---------------------
Avec une longueur de 3.5 mm pour la 21 et un "gummy" smile, je crois avoir besoin d'élongation (12 à 22 et 32 à 42 au moins).

--------------


--
Céramik


209209668 fh2mys - Eugenol
fredo667

12/04/2010 à 21h52

rien ne t'empêche d'en rajouter sans problème une fois que tu aura défini ton besoin réelle dans ta nouvelle position.

J'ai exactement le même cas d'égression du processus alvéolaire maxillaire chez un copain.

J'ai dévitalisé et meulé un max avec une petite élongation les postérieures du haut , les aient solidarisées car la hauteur de FM est un peu courte.

L'érosion antérieure est moins marquée car il a 33 ans, donc je n'ai pas augmenté les antérieures. Sur les implant postérieurs du bas, je ne met pas de FM, je transfixe direct afin d'évacuer le problème de l'épaisseur de la céram


Smile beach jgh0a1 - Eugenol
Céramik

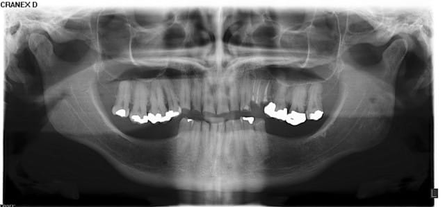
14/04/2010 à 04h33

Pour PXAV et les autres

--
Céramik

Pano yacadh - Eugenol
Pa jy0pvc - Eugenol

S2y2o1v7q53ws4r5wy6ou8czrpom - Eugenol
pxav

14/04/2010 à 10h48

grandiose!
il faut un temps de réflexion, pour analyser les problèmes.
méthodes mécaniques( wax up etc..) évidement mais pas toutes seules sinon retour à la case départ.
je ne suis pas sur d'avoir une vision assez large pour te donner un avis sérieux.

--
xbk


letropezien

14/04/2010 à 11h05

Céramik écrivait:
-----------------
> Femme de 39 ans
> Histoire médicale RAS
> Pas de douleur (ATM, muscles, dents RAS)
> Demande solution globale/esthétique.
>
>
> La 21 mesure 8,6 mm par 3,6 mm de haut...
> hummm je crois qu'il y a usure...
>
> Alors des solutions ?
>
> --
> Céramik

cas classique d'abrasion avec compensation au niveau des procès alvéolaires donc pas de perte de DV donc pas de surélévation

au niveau antérieur suivre ls principes de Peter Dawson
au niveau postérieur, coronoplasties , élongations coronaires pour recréer un plan occlusal correct,
après implants ou partiel


Casque beotien a3jo39 - Eugenol
beotien

14/04/2010 à 11h12

letropezien écrivait:
---------------------

> cas classique d'abrasion avec compensation au niveau des procès alvéolaires donc
> pas de perte de DV donc pas de surélévation

tu es sûr de toi?


letropezien

14/04/2010 à 14h05

beotien écrivait:
-----------------
> letropezien écrivait:
> ---------------------
>
> > cas classique d'abrasion avec compensation au niveau des procès alvéolaires
> donc
> > pas de perte de DV donc pas de surélévation
>
> tu es sûr de toi?

oui car pas de pathologie de l'ATM ....

l'erreur consisterait à augmenter la DV


letropezien

14/04/2010 à 14h09

beotien écrivait:
-----------------
> letropezien écrivait:
> ---------------------
>
> > cas classique d'abrasion avec compensation au niveau des procès alvéolaires
> donc
> > pas de perte de DV donc pas de surélévation
>
> tu es sûr de toi?

c'est le cas très ( trop ) classique du patient qui a été appareillé en rigide , qui de ce fait n'a pas porté sa prothèse , avec résorption par absence de stimulation et bien sur égression des antgonistes non calées

une certitude pas de pb paro sinon il ya longtemps que les dents antérieures auraient disparues ...


Smile beach jgh0a1 - Eugenol
Céramik

14/04/2010 à 14h59

letropezien écrivait:
---------------------
>>
> cas classique d'abrasion avec compensation au niveau des procès alvéolaires donc
> pas de perte de DV donc pas de surélévation


Sorry j'y crois pas trop...
Une certaine compensation des procès alvéolaire OK, mais pas de perte de DV, non mais, le profil est criant.

Je vais avoir un Ceph + scan 3D d'ici 1 semaine.

A suivre


PXAV, tu veux quoi comme info ?


--
Céramik


S2y2o1v7q53ws4r5wy6ou8czrpom - Eugenol
pxav

14/04/2010 à 15h10

Céramik écrivait:
-----------------

> PXAV, tu veux quoi comme info ?

> --
> Céramik

quand je dis:
je ne suis pas sur d'avoir une vision assez large pour te donner un avis sérieux.
c'est pour te signifier que mon esprit et mes connaissances ne me permettent pas, en ce moment de te donner un avis autre que basique (mécanique, dv,implant etc) si j'ai le déclic, je t'en ferais part, bien sur.
je m'occupes de tes patients des que 5 minutes (Combloux)
--
--
xbk


l adan

14/04/2010 à 17h06

beotien écrivait:
-----------------
> letropezien écrivait:
> ---------------------
>
> > cas classique d'abrasion avec compensation au niveau des procès alvéolaires
> donc
> > pas de perte de DV donc pas de surélévation
>
Les racines dentaires etaient donc intra sinusiennes ou le plancher du sinus suit il l'eggression dentaire ?


alhoun

14/04/2010 à 20h57

ça ne sert à rien de tirer des plans sur la comète.
c'est un cas de prothèse totale: on part des fondamentaux: le sourire, le plan maxillaire, la DV au repos, la DV en occlusion.
savoir en regardant une radio s'il y a perte de DV ou pas , en dehors de St Tropez, on ne sait pas faire.


alhoun

14/04/2010 à 21h06

http://www.eugenol.com/sujets/303836-un-cas-comme-je-les-aime?page=1

voilà un vieux cas qui s'est réglé à DV constante.


Cuisinier2 vnbbxx - Eugenol
jeff2

14/04/2010 à 22h06

Je ne suis pas d'accord, il y a perte de dv, voir les photos en IM et relaché
perso je fais faire tout dévitaliser en haut
Plus brige provisoire complet avec coronoplastie des secteurs postérieurs et bridge en bas sur tout le bloc, j'augmente la DV en IM de 6 mm au culot

Pour les secteurs postérieurs en bas, cone beam, savoir si greffe osseuse nécessaire (mentonnière) après trois implants de chaque coté
et tout en ceramo ceramo,


S2y2o1v7q53ws4r5wy6ou8czrpom - Eugenol
pxav

14/04/2010 à 23h08

jeff2 écrivait:
---------------

dévitalisation pas obligatoire pour les antérieurs, mais pour la partie mécanique, ok pour des provisoires, mais ceramo ceram en définitif?
mais ce n'est peut etre que la partie cachée de l'iceberg, le coté mécanique.
--
xbk


Cuisinier2 vnbbxx - Eugenol
jeff2

14/04/2010 à 23h26

pxav écrivait:

> mais ce n'est peut etre que la partie cachée de l'iceberg, le coté mécanique.

Le coté mécanique sans les muscles? ils sont dans quel état les muscles?


12