Cookie Consent byPrivacyPolicies.comEntrainement Photos pour un nul! - Eugenol

Entrainement Photos pour un nul!

S2y2o1v7q53ws4r5wy6ou8czrpom - Eugenol
pxav

26/05/2010 à 20h59

mac écrivait:
-------------
> ma photo du jour

tu es très poilu ou tes pulls "polluent" les photos!
je trouve trop sombre

la mienne:
--
xbk

Img 1599r jhgq4p - Eugenol

Avatar 46 aoi1yc - Eugenol
HononLulu

27/05/2010 à 00h57

Pourquoi t'as pas pris la trompe en photo ??


Mmmm

27/05/2010 à 12h26

Bonjour tout le monde, j'ai besoin d'aide en phto...mon appareil très vieux me lache ( nikon coolpix 4500, avec lumière annulaire) et je l'aimais bien...je cherche une solution de remplacement, j'ai essayé D70+ obj macro...c'est trop lourd pour moi ( je suis une fille...avec des petits poignets et je tiens l'appareil d'une main...)...
Quelqu'un aurait une idée de matos pas trop lourd...je ne fais casi que des vues d'arcades globales.
Je suis assez ouverte sur le budget mais pas sur le poids du matériel...
Merci d'avance pour votre aide!


S2y2o1v7q53ws4r5wy6ou8czrpom - Eugenol
pxav

27/05/2010 à 12h53

Mmmm écrivait:
--------------
> Bonjour


je suis une fille...avec des petits poignets

et je tiens l'appareil d'une main...)...

Je suis assez ouverte

Merci d'avance!

si avec ça tu ne recueille pas de nombreuses propositions....
--
xbk


200106 10150128247663588 709988587 6466236 5598391 n d7mksb - Eugenol
hallboy

27/05/2010 à 12h56

http://www.magazinevideo.com/comparatif-apn-583.htm


Image 4 lrchtq - Eugenol
Alain

27/05/2010 à 12h58

bin, s'il te plait tant que çà, t'en reprends un!

http://www.leboncoin.fr/image_son/115691994.htm?ca=12_s


2013 03 05 16.04 - Eugenol
styves

27/05/2010 à 15h31

la société française opsyse
,http://www.opsyse.fr/,
commercialise les produits dentaleyes ,http://www.doctorseyes.com/
,possibilité de choisir un apn sur lequel sont adaptés une bague ,un éclairage annulaire à led etc pour ma part j'ai un nikon p6000 avec le dispositif annulaire à led et j'ai de bons résultats l'ensemble est trés léger

Nat de pres 022 f9jp40 - Eugenol

Utilisateur banni

27/05/2010 à 18h11

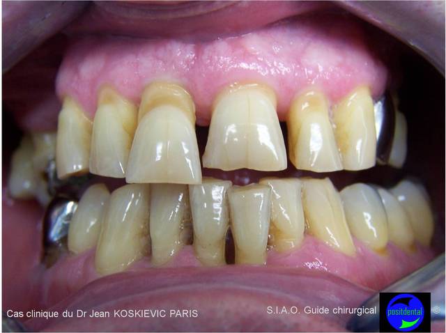
Appareil photo KODAK Z7590 EASYSHARE, zoom X 10 objectif SCNEIDER, 5 millions de pixels, flash annulaire par redirection de celui de l'appareil.


L'intervention se déroulant en 1 temps chirurgical et n'étant qu'un amateur, j'ai choisi des réglages simples en macro automatique afin de suivre le déroulé sans prise de tête.

Guide chirurgical dentaire 02 ekubld - Eugenol
Guide chirurgical dentaire 04 qstru3 - Eugenol
Guide chirurgical dentaire 05 ktmwr2 - Eugenol
Guide chirurgical dentaire 01 lc936x - Eugenol
Guide chirurgical dentaire 03 w7ubpg - Eugenol

Cuisinier2 vnbbxx - Eugenol
jeff2

27/05/2010 à 22h51

posit écrivait:
---------------
> Appareil photo KODAK Z7590 EASYSHARE, zoom X 10 objectif SCNEIDER, 5 millions de
> pixels, flash annulaire par redirection de celui de l'appareil.
>
>
> L'intervention se déroulant en 1 temps chirurgical et n'étant qu'un amateur,
> j'ai choisi des réglages simples en macro automatique afin de suivre le déroulé
> sans prise de tête.

effectivement mais en te faisant de la pub!! pas mal joué!!


S2y2o1v7q53ws4r5wy6ou8czrpom - Eugenol
pxav

28/05/2010 à 00h00

jeff2 écrivait:
---------------
> effectivement mais en te faisant de la pub!! pas mal joué!!

c'est vrai mais "il le vaut bien!"

--
xbk


Smile beach jgh0a1 - Eugenol
Céramik

28/05/2010 à 05h01

styves écrivait:
----------------
> la société française opsyse
> ,http://www.opsyse.fr/,
> commercialise les produits dentaleyes ,http://www.doctorseyes.com/
> ,possibilité de choisir un apn sur lequel sont adaptés une bague ,un éclairage
> annulaire à led etc pour ma part j'ai un nikon p6000 avec le dispositif
> annulaire à led et j'ai de bons résultats l'ensemble est trés léger


Joli cadrage, mais aucune profondeur de champs... moyen
--
Céramik


Smile beach jgh0a1 - Eugenol
Céramik

28/05/2010 à 05h18

Photo clinique de Posit...
très moyen, aucune profondeur, déformation de l'image(objectif grand angle non adapté au macro dentaire...), couleur non réaliste

Guide +1, photo -1

Bref, voir tout les fils sur la photo dans les archives de nonol...



--
Céramik


Grueavatar nptrc9 - Eugenol
Le Choixpeau magique

28/05/2010 à 10h00

Céramik écrivait:
-----------------
> Joli cadrage, mais aucune profondeur de champs... moyen

+1 et pourquoi avoir choisi d'enregistrer en gif ?


Mmmm

28/05/2010 à 13h26

Alors doctorseyes , je crois que le lien est un peu vieux, les apn d'aujourd'hui n'ont quasi plus de moyen de mettre une bague pour mettre une lumière annulaire dessus...dommage
Du coup, j'ai pris le G11 ( Canon, je crois) avec un flash annulaire...je verrai bien
Je pense que ce sera moins lourd qu'un reflex avec obj macro et flash annulaire....


Smile beach jgh0a1 - Eugenol
Céramik

28/05/2010 à 14h54

Canon serie G, très bon apn, car tout les réglages d'un reflex sont possible, mais c'est le f-stop qui est limité

Mon 1er système(2003)était un Canon G3 + flash Canon MR14-X
Seul défaut, la lenteur du déclencheur et le f-stop de 8 maxi...faut au moins f25, voir f32 pour du macro

J'ai toujours le flash (du solide), mais sur un boitier reflex (j'en suis même à mon 2e boitier, tjs même flash)



--
Céramik


Mmmm

28/05/2010 à 15h10

Heu Ceramik...c'est quoi le f-stop?
Oui je sais je suis nulle, et j'ai d'autant plus honte que mon sujet de thèse c'était la photo intrabuccale en ortho.....mais c'était il y a longtemps..!


200106 10150128247663588 709988587 6466236 5598391 n d7mksb - Eugenol
hallboy

28/05/2010 à 15h13

Mmmm écrivait:
--------------
> Alors doctorseyes , je crois que le lien est un peu vieux, les apn d'aujourd'hui
> n'ont quasi plus de moyen de mettre une bague pour mettre une lumière annulaire
> dessus...dommage
> Du coup, j'ai pris le G11 ( Canon, je crois) avec un flash annulaire...je verrai
> bien
> Je pense que ce sera moins lourd qu'un reflex avec obj macro et flash
> annulaire....

qd tu as tout poste qq photos

j'ai le G11 je voudais voir si je pousse jusqu'au flash annulaire


3f3boxni50k58rq7e9ce9ddqrxgk - Eugenol
dentiste57

28/05/2010 à 15h19

styves écrivait:
----------------
> la société française opsyse
> ,http://www.opsyse.fr/,
> commercialise les produits dentaleyes ,http://www.doctorseyes.com/
> ,possibilité de choisir un apn sur lequel sont adaptés une bague ,un éclairage
> annulaire à led etc pour ma part j'ai un nikon p6000 avec le dispositif
> annulaire à led et j'ai de bons résultats l'ensemble est trés léger


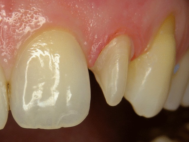
BOF!!
l'image n'est pas assez net, trop flou au niveau de la canine ce qui signifie que soit l'appareil ne permet de faire la mise au sur une zone donnée que l'on choisit (ici c'est l'appareil qui décide) soit que tu as photographié en priorité l'incisive centrale et non le sujet principal qui est l'incisive latérale...

pas convaincu.


S2y2o1v7q53ws4r5wy6ou8czrpom - Eugenol
pxav

28/05/2010 à 15h24

dentiste57 écrivait:
--------------------

> BOF!!

>
> pas convaincu.

et ça?
--
xbk

2010 05 28 0295r vx5btm - Eugenol

Smile beach jgh0a1 - Eugenol
Céramik

29/05/2010 à 04h17

pxav écrivait:
--------------
> dentiste57 écrivait:
> --------------------
>
> > BOF!!
>
> >
> > pas convaincu.
>
> et ça?
> --
> xbk
>

Moyen, manque de lumière, espace couleur trop faible...
;-)


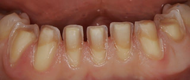
Tient, un petit cas de facettes sur les incisives du bas pour changer du haut...cas de décoloration, résistant au blanchiment...c'était pas mon apn...je testais un Canon 50D, 100mm canon, flash Mr-14X...pas mal.

Bof, les tailles sont moches, ça va pas coller, besoin de 5 ou 6 endo, puis des implants...

--
Céramik

Img 2439 2 ljasqv - Eugenol

Grueavatar nptrc9 - Eugenol
Le Choixpeau magique

29/05/2010 à 10h12

Céramik écrivait:
-----------------
> Mon 1er système(2003)était un Canon G3 + flash Canon MR14-X
> Seul défaut, la lenteur du déclencheur et le f-stop de 8 maxi...faut au moins
> f25, voir f32 pour du macro

Oui, mais sur un compact ça se compense grâce à la taille du petit capteur.


Utilisateur banni

29/05/2010 à 10h25

Bon dès que possible j'investie dans du matériel plus performant et m'attache à relire tous vos conseils pour améliorer la qualité des prises de vue.L'enregistrement est en jpg.

Celle- là, j'aime bien car on ressent le geste du chirurgien.

Guide chirurgical dentaire 06 kl2oj5 - Eugenol

S2y2o1v7q53ws4r5wy6ou8czrpom - Eugenol
pxav

29/05/2010 à 10h51



> Céramik

trop "écrasé" et couleur gencive fade
--
xbk


Photo pluton1b h9n4ea - Eugenol
pluton

29/05/2010 à 11h57

pxav écrivait:
--------------

> trop "écrasé" et couleur gencive fade
> --
> xbk
>

no comment...

Xavier...une photo, c'est un tout...et c'est surtout un sujet à l'instant T
la technicité de la prise de vue de Céramik est irréprochable, même si ce cliché me conforte dans l'idée que le 50D délivre des images moins "chaleureuses" que le 350D...mais si le sujet n'est pas "beau"...il en est de même pour la photo...


Smile beach jgh0a1 - Eugenol
Céramik

29/05/2010 à 18h03

+1 photo manque de couleur, mais c'était un test avec le 50D, fait rapido, de plus, la compression utilisé est moche (passer de 8 mp à 275k )

Personne ne râle contre mes tailles ?

J'aime mieux mon 450D

--
Céramik


1...101112...