Cookie Consent byPrivacyPolicies.comEntrainement Photos pour un nul! - Eugenol

Entrainement Photos pour un nul!

Blue eye thumb medium dx1i0w - Eugenol
bill

29/05/2010 à 18h38

Céramik écrivait:
-----------------
de
> plus, la compression utilisé est moche (passer de 8 mp à 275k )
>

essaie ça:

www.reduction-image.com

100% pur adhoc, ça dépote! ;-)


Img 8465 fqhxid - Eugenol
noahaxeltiger-olivier

29/05/2010 à 18h41

posit écrivait:
---------------
> Celle- là, j'aime bien car on ressent le geste du chirurgien.

on dirait un cordonnier !


Logo vuaztn - Eugenol
mac

29/05/2010 à 19h42

noahaxeltiger-olivier écrivait:
-------------------------------
> posit écrivait:
> ---------------
> > Celle- là, j'aime bien car on ressent le geste du chirurgien.
>
> on dirait un cordonnier !


:))))


S2y2o1v7q53ws4r5wy6ou8czrpom - Eugenol
pxav

29/05/2010 à 21h49

Céramik écrivait:
-----------------
> +1 photo manque de couleur, mais c'était un test avec le 50D, fait rapido, de
> plus, la compression utilisé est moche (passer de 8 mp à 275k )
>
> Personne ne râle contre mes tailles ?
>
> J'aime mieux mon 450D
>
> --
> Céramik

merci Céramik ça fait plaisir d'avoir le même avis qu'un tout bon;-))
les tailles: très bien finies.
--
xbk


Smile beach jgh0a1 - Eugenol
Céramik

30/05/2010 à 00h44

noahaxeltiger-olivier écrivait:
-------------------------------
> posit écrivait:
> ---------------
> > Celle- là, j'aime bien car on ressent le geste du chirurgien.
>
> on dirait un cordonnier !

mdr !

--
Céramik


Utilisateur banni

30/05/2010 à 01h02

noahaxeltiger-olivier écrivait:
-------------------------------
> posit écrivait:
> ---------------
> > Celle- là, j'aime bien car on ressent le geste du chirurgien.
>
> on dirait un cordonnier !

Celle- là, j'aime bien car on ressent le geste du chirurgien qui...!!


S2y2o1v7q53ws4r5wy6ou8czrpom - Eugenol
pxav

31/05/2010 à 14h39

mumuse?

--
xbk

Img 1978met  fmgnct - Eugenol

2013 03 05 16.04 - Eugenol
styves

31/05/2010 à 17h00

j'ai acheté le systeme bague +led il y a 2 mois adaptable à beaucoup d'apn


Mmmm

31/05/2010 à 19h06

Avec le système en plastique noir que l'on visse sur l'apn?
Et ça donne quoi?


2013 03 05 16.04 - Eugenol
styves

01/06/2010 à 16h10

la bague rallonge est metallique et le tout est léger et pratique

Image saisie 4 r7pgdw - Eugenol

2013 03 05 16.04 - Eugenol
styves

01/06/2010 à 16h12

images prise avec camera du fauteuil

Image saisie 5 pm83nh - Eugenol

3f3boxni50k58rq7e9ce9ddqrxgk - Eugenol
dentiste57

02/06/2010 à 14h57

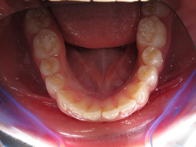
laquelle est la plus belle ? la 1 ou la 2 ?

Dsc 7281 kmshgf - Eugenol
Dsc 7282 t5wpjl - Eugenol

Utilisateur banni

02/06/2010 à 15h07

1


S2y2o1v7q53ws4r5wy6ou8czrpom - Eugenol
pxav

02/06/2010 à 15h12

la 1, la 2 est mal centrée

--
xbk


3f3boxni50k58rq7e9ce9ddqrxgk - Eugenol
dentiste57

02/06/2010 à 15h38

ce qui est nul , c'est le reflet du miroir.

il faudrait un miroir avec tin direct pour ne pas voir d'artéfacts.
quelqu'un connait où trouver ça ?


Blason dql7mj - Eugenol
growler

02/06/2010 à 19h27

oui sur les miroirs photos en métal poli.


S2y2o1v7q53ws4r5wy6ou8czrpom - Eugenol
pxav

03/06/2010 à 20h45


essai de flou
et couleur de la gencive?
--
xbk

Img 2031w afwvud - Eugenol
Img 2036 cmpgk7 - Eugenol

Blue eye thumb medium dx1i0w - Eugenol
bill

04/06/2010 à 01h34

pxav écrivait:
--------------
>
> essai de flou

c'est flou

> et couleur de la gencive?

c'est rose

Plus sérieusement sur quoi sont posées les ccc de mac ou de pxav pour donner ce fond noir et brillant ?


Cuisinier2 vnbbxx - Eugenol
jeff2

04/06/2010 à 02h11

tu prends un miroir photo pour intrabuccal du coté qui évite le dédoublement et tu prends au flash, tu auras cette impression.


Blue eye thumb medium dx1i0w - Eugenol
bill

04/06/2010 à 02h52

Ah ok merci.


Smile beach jgh0a1 - Eugenol
Céramik

04/06/2010 à 03h16

jeff2 écrivait:
---------------
> tu prends un miroir photo pour intrabuccal du coté qui évite le dédoublement et
> tu prends au flash, tu auras cette impression.

+1
Faut un peu jouer avec l'orientation de la photo (attention aux sources de lumière ambiante, et aux images parasites)

Voir

http://www.eugenol.com/sujets/385118-cas-du-jour



--
Céramik


S2y2o1v7q53ws4r5wy6ou8czrpom - Eugenol
pxav

04/06/2010 à 10h14

Céramik écrivait:
-----------------
> jeff2 écrivait:
> ---------------
> > tu prends un miroir photo pour intrabuccal du coté qui évite le dédoublement
> et
> > tu prends au flash, tu auras cette impression.
>
> +1
> Faut un peu jouer avec l'orientation de la photo (attention aux sources de
> lumière ambiante, et aux images parasites)

> --
> Céramik

exemples;
sur contrastor
sur miroir avec le reflet à éviter
sur miroir, avec un fond "sombre"
--
xbk

Img 2011w x7cs9e - Eugenol
Img 2014w njffry - Eugenol
Img 2016w wgyfti - Eugenol

Smile beach jgh0a1 - Eugenol
Céramik

04/06/2010 à 14h28

Aussi, le ring flash écrase un peu le sujet.
Je déporte l'angle du flash et avec 2-3 essais, on arrive à quelque chose de plus...artistique

--
Céramik


S2y2o1v7q53ws4r5wy6ou8czrpom - Eugenol
pxav

04/06/2010 à 14h30

oui ou avec en plus un éclairage en périphérie

--
xbk


Mmmm

22/06/2010 à 13h27

Bon, ça y est...j'ai tout reçu...et je déprime: je suis vraiment une bille en photo !! HELP!!
Canon G11 et flash annulaire...HELP !!

01863512 quypjw - Eugenol
01863506 mtnaww - Eugenol
01863507 ndjeal - Eugenol
01863508 zjrsai - Eugenol
01863509 cvxsoq - Eugenol
01863510 rwgmgr - Eugenol
01863511 hrrpgm - Eugenol

1...111213...