Cookie Consent byPrivacyPolicies.comEntrainement Photos pour un nul! - Eugenol

Entrainement Photos pour un nul!

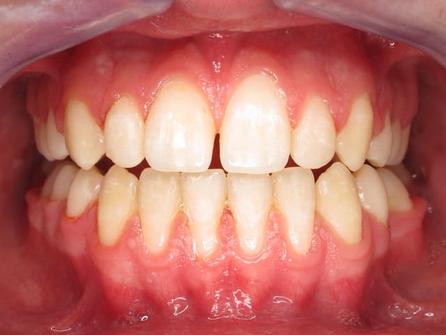
200106 10150128247663588 709988587 6466236 5598391 n d7mksb - Eugenol
hallboy

22/06/2010 à 13h34

fais voir des photos??


Mmmm

22/06/2010 à 13h45

oui j'avais cliqué trop vite sur poster.....


3f3boxni50k58rq7e9ce9ddqrxgk - Eugenol
dentiste57

22/06/2010 à 14h00

ou trouver des écarteurs noirs type contrasteurs

et des contrasteurs aussi car les miens sont nuls ils viennent de chez nichrominox (beaucoup trop grand)


200106 10150128247663588 709988587 6466236 5598391 n d7mksb - Eugenol
hallboy

22/06/2010 à 14h02

En arcade complete t'es mieux avec le mirroir qui doit fair office de diffuseur de lumiere. essaye avec differntes distances et recadre apres?


Mmmm

22/06/2010 à 14h15

Ben justement je voudrais essayer de ne pas avoir à recadrer du tout...mais pour l'instant, j'ai pas encore trouvé la solution...
Je ne peux pas m'approcher plus car le flash macro me gène...et plus je zoom, plus je dois me mettre loin pour pouvoir faire la mise au point...
J'ai baissé l'intensité du flash car ça cramait les dents de devant mais je vais l'augmenter un peu.


S2y2o1v7q53ws4r5wy6ou8czrpom - Eugenol
pxav

22/06/2010 à 15h14

Pour le traitement de charpente, je connais mais pour les prothèses?

--
xbk

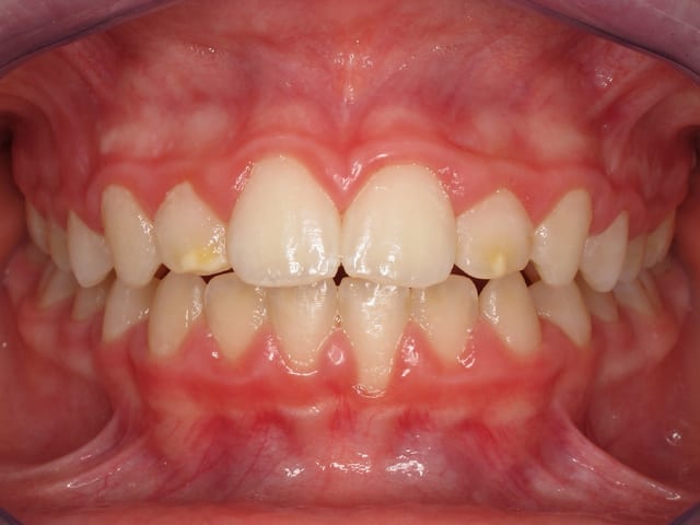
Img 2346 tjhcdt - Eugenol
Img 2347 ubg6qg - Eugenol

Smile beach jgh0a1 - Eugenol
Céramik

22/06/2010 à 15h29

D'abord, le G11, c'est un bon appareil, mais pas conçu pour la macro dentaire.

J'avais un G4 + flash annulaire, puis je suis passé au reflex.


Avec ton G11, place nous tes réglages...
si tu fais cela en mode auto...pas bon !


Ton f-stop est trop petit.
Tu dois éviter de faire tes photo en grand angle
(elles sont déformées au max, en vue frontal).

Enlève le zoom numérique dans les réglages.
Ton zoom optique est de combien ? 6X ?

A+





--
Céramik


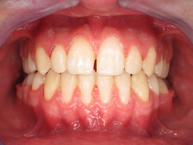
Mmmm

22/06/2010 à 16h07

je suis en mode Av, avec l'ouverture du diaphragme à f8.0
j'ai désactivé le zoom numérique


Mmmm

22/06/2010 à 17h38

Alors, c'est beau, hein? c'est moi qui l'ai fait.... ;-)

Pfff, trève de plaisanterie, j'ai recadré tout simplement mais j'aimerais pouvoir éviter de le faire...
Je voudrais aussi augmenter le flash mais je crois que les photos de face ne le supporteront pas !

01353724 iyhozj - Eugenol
01353725 bzkuhd - Eugenol
01353726 liqdtw - Eugenol
01353727 bjd9vh - Eugenol
01353728 iigwrm - Eugenol
01353729 bnj8dw - Eugenol
01353730 alpent - Eugenol

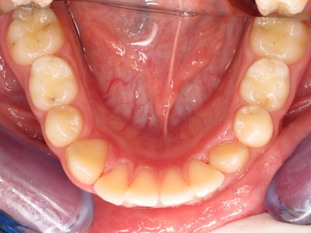
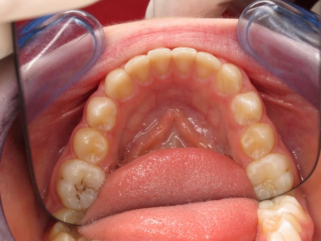
Mmmm

22/06/2010 à 18h13

bon ben ça crame....
la première série "rose violet" est avec l'ancien appareil sans avoir à recadrer quoi que ce soit.

01761306 unxwsq - Eugenol
01761307 kkrkp3 - Eugenol
01761308 u3b3zn - Eugenol
01761309 zygi9l - Eugenol
01761310 k1a8q6 - Eugenol
01761316 ek2g0c - Eugenol
01761319 pyekka - Eugenol
01761320 u8d9el - Eugenol
01761321 flujpc - Eugenol
01761322 hdjwgq - Eugenol

Mmmm

22/06/2010 à 18h59

Natures ...puis recadrées!
Quand je m'éloigne du sujet, forcément c'est mieux...mais travail de recadrage non négligeable qui va vite me saouler même s'il m'amuse aujourd'hui!

Img 0145 uvuyg1 - Eugenol
01723626 c2yx41 - Eugenol
01723627 mz0spq - Eugenol
01723628 q8gpar - Eugenol
01723629 xfubcd - Eugenol
01723630 smnswl - Eugenol
01723631 iggkpc - Eugenol
01723632 i1pgii - Eugenol
Img 0139 ukj5oi - Eugenol
Img 0140 pyxzgy - Eugenol
Img 0141 ky9uyy - Eugenol
Img 0142 wtxnbt - Eugenol
Img 0143 plfdk9 - Eugenol
Img 0144 m7kjlm - Eugenol

Aube lwzlzd - Eugenol
Collaverdey

22/06/2010 à 20h49

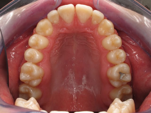
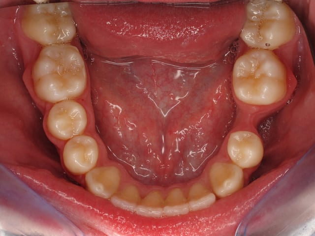
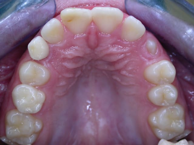
Comment faut-il se placer (opérateur et patient) pour faire des photos en vue occlusale (max et mand) au miroir ? Avec ou sans écarteurs ?

Une photo en situation serait le top !

Merci de vos conseils.


Aube lwzlzd - Eugenol
Collaverdey

25/06/2010 à 13h21

Je n'inspire personne ?


Grumpy cat ifik8s - Eugenol
radich_a_tord

25/06/2010 à 15h32

Extrait de ma thèse :

"a)Vue latérales

Ce sont les clichés les plus difficiles à réaliser avec les vues occlusales. Ils peuvent se faire directement, ou indirectement, avec l’utilisation de miroirs. (61)

Le plan occlusal doit être horizontal et être au milieu du cadre (62). Le maximum de dents doit être visible, de la canine à la deuxième molaire. Le cadre est centré sur la seconde prémolaire. Le rapport de grandissement est soit 1 :1, soit 1 :1,2.

Dans le sens vertical, il faut orienter le photoscope perpendiculairement à la surface dentaire pour éviter les orientations en plongée et en contreplongée qui faussent les dimensions et l’état de surface

Pour les vues latérales directes, on utilise deux écarteurs unitaires (61). Cette méthode requiert une laxité importante des tissus mous.

Pour les vues latérales indirectes (avec miroirs) :

La tête du patient doit être tournée vers l’opérateur. Le miroir doit être orienté à 45 degrés par rapport à la face vestibulaire dentaire et servira à rétracter les tissus mous. Du coté opposé, un écarteur unique est utilisé.
L’appareil photo sera lui-même incliné à 45 degrés par rapport au miroir, l’image sera donc prise sous un angle de 90 degrés par rapport à la surface dentaire.

b)Vues occlusales

Le patient doit ouvrir aussi largement qu’il le peut sans effort. Le miroir occlusal doit être inséré à 45 degrés, le plus postérieurement possible. Il doit donner une image symétrique. Il ne doit pas y avoir contact avec les surfaces dentaires. Le cliché sera pris à 45 degrés par rapport au miroir, réalisant un cliché orienté à 90 degrés par rapport aux faces occlusales.

L’image doit inclure le secteur antérieur jusqu’à au moins la surface distale de la première molaire. Au mieux le cliché inclura toutes les dents. La face vestibulaire des dents ne doit pas être visible.

A la mandibule, la présence de la langue crée des interférences. Il faut demander au patient de toucher le palais avec l’extrémité de la langue. L’opérateur poussera la langue vers l’arrière à l’aide du miroir (qui s’appuie sur la muqueuse en arrière des dernières molaires) si besoin. A la mandibule, le praticien se place face au patient.
Le centre de l’image est formé par l’intersection du plan sagittal et d’une ligne joignant horizontalement les deuxièmes prémolaires. Le rapport de grandissement est d’environ 1 :2.

Au maxillaire, le miroir s’appuiera sur la muqueuse en distal des dernières molaires, et sur les incisives mandibulaires. Le centre de l’image est de la même façon l’intersection entre la ligne du plan sagittal et une ligne horizontale joignant les deuxièmes prémolaires. Au maxillaire, le praticien se place derrière le patient."

Quelques références :

61. D'Incau, E. Photographie dentaire : Les méthodes. I.D. inf dent. 2006, Vol. 88, 41, p. 2649.
62. Vargas M, Lloyd P. Maxillary and mandibular lateral view photographs. J Prosthodont. Septembre 2003, Vol. 12, 3, pp. 227-229.

40. Ettorre G., Weber M., Schaaf H., Lowry JC., Mommaerts MY., Howaldt HP. “Standards for digital photography in cranio-maxillo-facial surgery - Part I: Basic views and guidelines. J Craniomaxillofac Surg. Mars 2006, Vol. 34, 2, pp. 65-73.
41. Cranin, A.N. Developing skills in clinical photography. J Oral Implantol. 1998, Vol. XXIV, 3, pp. 119-120.
42. McKeown H.F., Murray A.M., Sandler P.J. How to avoid common errors in clinical photography. J Orthod. 2005, Vol. 32, 1, pp. 43-54.
43. Bengel, W. Mastering Digital Dental Photography. s.l. : Quintessence Publishing, 2006.
44. Sandler J., Murray A. Clinical photographs: The gold standard. J Orthod. Juin 2002, Vol. 29, 2, pp. 158-161.
45. Peterson, B. Preventing mouth mirrors from fogging. J Am Dent Assoc. Novembre 1997, Vol. 128, 11, p. 1574.
46. Goldstein, B. The five worst mistakes made by digital dental photographers. Parkell : Solutions for the problem-solving dental professional. [En ligne] [Citation : 31 05 2007.] http://www.parkell.com/goldsteinphotos.html.

56. Vargas, MA. Photographs of the face for publication and presentations. J Prosthodont. Mars 2003, Vol. 12, 1, pp. 47-50.


Aube lwzlzd - Eugenol
Collaverdey

25/06/2010 à 17h30

MERCI


Michel4 ve7g1x - Eugenol
chabit

26/06/2010 à 01h19

Salut à tous les pros,
Perso, je suis un vrai nul, et j'ai fait faire mes premières photos ce matin par l'assistante...
Redimensionnées à 50%
J'attends la volée de bois vert

Char bis qrguql - Eugenol
Char2bis qjxu04 - Eugenol
Char3bis vs0qii - Eugenol
Char5bis u76m3b - Eugenol

Smile beach jgh0a1 - Eugenol
Céramik

26/06/2010 à 05h51

1ere photo ?
en chirurgie, avec le champs, et l'accès pas facile,
je dis bravo, très bonne AD !

Bon, le cadrage est peut-etre une peu à revois, mais
dans l'ensemble, le rendu est bon.

Quel matos photo ?

--
Céramik


Michel4 ve7g1x - Eugenol
chabit

26/06/2010 à 11h52

Panasonic TZ8, prise de vue à 2m du sujet, tout en automatique. Pour te donner l'idée de la position du photographe

Char6bis tlufg7 - Eugenol

Blason dql7mj - Eugenol
growler

26/06/2010 à 14h00

pour des premières photos , c'est très très bien!


as-tu déjà essayé de faire tes chirurgies debout et non assis?


Marque a3 orange fyvhyq - Eugenol
Marc Apap

26/06/2010 à 14h32

Les photos sont excellentes, car en plus d'être nettes, elles montrent très exactement ce qu'il faut voir et rien de plus.
En revanche les positions de travail de l'équipe sont nulles à chier. Quand est-ce que vous allez vous préoccuper un peu plus de votre santé plutôt que de tout sacrifier aux patients ?
Ce n'est pas en travaillant debout que les choses s'arrangeront. Apprendre à travailler de façon à préserver sa santé, c'est une formation à part entière !
(tout ceci est dit avec amitié et compassion, que ce soit bien clair )


Michel4 ve7g1x - Eugenol
chabit

26/06/2010 à 16h18

Je suis d'accord Marc, mais au lieu de renverser un peu plus la tête de la patiente pour être plus droit, j'ai opté sur cette intervention pour une position moins ergonomique pour les photos justement. D'habitude, je bosse à midi, et là il aurait fallu un escabeau stérile pour la photographe!
Sinon merci pour vos encouragements. Growly, je suis sur le coup pour la vidéo, tes tuyaux me tentent, c'est à l'étude.


003 penrd2 - Eugenol
Cingulum

10/07/2010 à 22h22

Faut pas prendre la mouche !

--
Dr Cingulum
-----Ancien interné----
----Attaché à l'apex----
www.clinic-all.fr formation par passion

Mouche jh9vj0 - Eugenol

alhoun

10/07/2010 à 22h52

curieux, elle est passée d'un onglet à l'autre!!
:)


003 penrd2 - Eugenol
Cingulum

10/07/2010 à 23h20

:) tu surfs trop :)

--
Dr Cingulum
-----Ancien interné----
----Attaché à l'apex----
www.clinic-all.fr formation par passion


S2y2o1v7q53ws4r5wy6ou8czrpom - Eugenol
pxav

11/07/2010 à 04h08

Cingulum écrivait:
------------------
> Faut pas prendre la mouche !
>
superbe photo!
je n'ai pas les mêmes couleurs alors.....


--
xbk

Img 2659r fwhzdb - Eugenol

1...12131415