Cookie Consent byPrivacyPolicies.comEntrainement Photos pour un nul! - Eugenol

Entrainement Photos pour un nul!

Blason dql7mj - Eugenol
growler

11/07/2010 à 11h06

petit APN compact et sans flash

La religieuse rw5z6y - Eugenol

S2y2o1v7q53ws4r5wy6ou8czrpom - Eugenol
pxav

11/07/2010 à 13h00

growler écrivait:
-----------------
> petit APN compact et sans flash

c'est pas la grosseur qui compte:-))
qui reconnais cette "bestiole" que vous devez tous avoir rencontré au moins une fois?
--
xbk

Img 2726r3 egapvb - Eugenol
Img 2726r2 binwce - Eugenol

S2y2o1v7q53ws4r5wy6ou8czrpom - Eugenol
pxav

11/07/2010 à 14h27

Cingulum écrivait:
------------------
> Faut pas prendre la mouche !
>

je t'ai à l'œil Cingulum:-))

--
xbk

Img 2733r w8v8cl - Eugenol

S2y2o1v7q53ws4r5wy6ou8czrpom - Eugenol
pxav

19/07/2010 à 12h40

pas génial mais j'ai réussi ma première prise "en vol"
--
xbk

Img 2948r x64wsm - Eugenol

S2y2o1v7q53ws4r5wy6ou8czrpom - Eugenol
pxav

08/08/2010 à 19h15

Mon prochain cas d'implanto!
(le petit biker, pas le grand)
:-)))
--
xbk

Img 3547r xhqhim - Eugenol
Img 3548 ad5hek - Eugenol

Smile beach jgh0a1 - Eugenol
Céramik

14/08/2010 à 04h08

Merde, ma carte mémoire sur mon APN fait des conneries...


--
Céramik

Photo  trange mlieie - Eugenol

Blason dql7mj - Eugenol
growler

20/08/2010 à 21h48

comme promis la toute première vidéo test avec ma nouvelle caméra sony

vidéo prise vite fait ce matin lors d'une chirurgie pour tester la caméra et son dispositif de fixation.

à regarder en 720 HD




@+


Smile beach jgh0a1 - Eugenol
Céramik

21/08/2010 à 02h45

Joli ton système vidéo...je demande au Père Noel.



C'est quoi qui sort durant le forage ?
Du Bio-os ?
Pourquoi 2 temps ?
Une p'tite radio...

Je sais, je sais , le sujet c'est la vidéo, pas l'implanto....


--
Céramik


S2y2o1v7q53ws4r5wy6ou8czrpom - Eugenol
pxav

21/08/2010 à 12h38

Céramik écrivait:
-----------------
> Joli ton système vidéo...je demande au Père Noel.
>
>
>
> C'est quoi qui sort durant le forage ?
> Du Bio-os ?
> Pourquoi 2 temps ?
> Une p'tite radio...
>


même question?

> Je sais, je sais , le sujet c'est la vidéo, pas l'implanto....
non Céramik le sujet c'est photo pour un nul:-))
>
>
> --
> Céramik


je trouve les couleurs "pales", peut être l'éclairage ou les réglages (habitude))?)
et surtout le léger "bougé", je crois que tu utilise un bras peut être trop près, et les mouvements du patient sont amplifiés?
la main devant le champ, c'est compliqué quand on est tout seul, as tu la vidéo sur écran en directe.




--
xbk


Smile beach jgh0a1 - Eugenol
Céramik

21/08/2010 à 15h46

pxav écrivait:
--------------
> je trouve les couleurs "pales", peut être l'éclairage ou les réglages
> (habitude))?)
> et surtout le léger "bougé", je crois que tu utilise un bras peut être trop
> près, et les mouvements du patient sont amplifiés?
> la main devant le champ, c'est compliqué quand on est tout seul, as tu la vidéo
> sur écran en direct quand tu travail.
> --
> xbk
>

C'était un premier test...
La prochaine fois ça sera plus "regardable"...

;-)




--
Céramik


S2y2o1v7q53ws4r5wy6ou8czrpom - Eugenol
pxav

21/08/2010 à 19h00

Céramik écrivait:
-----------------
> C'était un premier test...
> La prochaine fois ça sera plus "regardable"...
> ;-)
> --
> Céramik

j'en suis persuadé.
tiens pour toi Céramik, photo mode M pendant l'intervention.
c'est mieux?
--
xbk

Img 3769 yi6ica - Eugenol

Smile beach jgh0a1 - Eugenol
Céramik

21/08/2010 à 20h09

Mieux pour la profondeur de champs,
Cadrage moyen,



--
Céramik


Smile beach jgh0a1 - Eugenol
Céramik

21/08/2010 à 23h49

Horreur, j'ouvre mon sac...et p... de m... crash !
;-((

--
Céramik

Canon accident nxcfhn - Eugenol

Blason dql7mj - Eugenol
growler

22/08/2010 à 00h54

ce test a été fait en mise au point auto et en ayant omis de régler la balance des blancs.
Malgré tout je trouve le résultat pas mal pour une caméra qui n'est pas HD.

Auparavant, j'utilisais une caméra HD mais qui ne donnait pas la possibilité au cameraman de visualiser en "live" sur grand écran durant la prise de vue.

La nouvelle caméra testée ici a de nombreux avantages:
-son coût modéré
-mise au point auto (ou manuel avec la telecommande)
-orientation de la caméra à distance par télécommande
-sortie vidéo Y/C et composite qui permet l'acquisition sur PC ou Mac via un boitier du style http://www.pixmania.com/fr/fr/5985050/art/dazzle/boitier-d-acquisition-vid.html
-contrôle de la prise de vue possible simultanément sur l'écran du PC et sur un grand écran TV durant l'acquisition.


j'ai donc fixé la caméra Sony evi d70P sur un pied de studio audio (pied micro perche avec base lestée et munie de roulettes verrouillables)ainsi ma camerawoman positionne le dispositif au meilleur endroit et indépendamment du scialytique . L'objectif de la caméra se situe à peu près à 50 cm de la zone à filmer.

Il faut: -régler la balance des blancs pour que les couleurs soient naturelles malgré les éclairages pas forcément rigoureusement type lumière du jour.
- idéalement se mettre en mise au point manuelle pour éviter des ajustements automatiques inopportuns
-rester dans la plage de zoom optique pour garder une bonne définition, pour cela j'ai placé une lentille close-up + 1 dioptrie devant l'objectif (cette lentille se visse comme un filtre) et permet donc d'être en macro en restant quand même à distance raisonnable du sujet et non pas trop près.

Il y a un truc pas mal sur cette caméra c'est le fait que ses mouvements motorisés de rotation et inclinaison sont d'une vitesse proportionnelle au taux de zoom (plus c'est zoomé plus les mouvements sont lents)

sur mon test vidéo, les petits mouvements sont ceux du patients. La prochaine vidéo sera réalisée en mise au point manuelle et après réglage de la balance des blancs.

coût total du dispositif (hors PC): 850 €


sony a sorti une camera de même type en HD mais son taux de zoom est inférieur et en plus il n'y a pas de filetage pour ajouter une lentille close-up.

@+


Blason dql7mj - Eugenol
growler

22/08/2010 à 00h55

Céramik écrivait:
-----------------
> Horreur, j'ouvre mon sac...et p... de m... crash !
> ;-((
>
> --
> Céramik


rassure-nous céram, c'est seulement le fitre anti UV qui est cassé ?


3f3boxni50k58rq7e9ce9ddqrxgk - Eugenol
dentiste57

22/08/2010 à 02h24

Céramik écrivait:
-----------------
> Horreur, j'ouvre mon sac...et p... de m... crash !
> ;-((

combien de fois faut il te le dire? Céramik, les sacs en plastiques que te donne le "dépaneur" ne sont pas des sacs adaptés pour mettre ton matos photo.


Smile beach jgh0a1 - Eugenol
Céramik

22/08/2010 à 04h12

growler écrivait:
-----------------
> Céramik écrivait:
> -----------------
> > Horreur, j'ouvre mon sac...et p... de m... crash !
> > ;-((
> >
> > --
> > Céramik
>
>
> rassure-nous céram, c'est seulement le fitre anti UV qui est cassé ?

ouf oui, mais pendant quelques secondes (très longues)
j'ai pensé avoir brisé ma 18-200 Canon...
Mais les bons filtres 72 mm c'est quand même quelques €...


Pour D57, les sacs plastiques sont bannis chez nous (presque), et l'APN était dans un bon sac de transport...
faut faire gaffe...




--
Céramik

Img 5567  desktop resolution  udumy6 - Eugenol
Img 5568  desktop resolution  qkxmyo - Eugenol

Img 3657 cwjvqm - Eugenol
alapex

22/08/2010 à 20h03

growler écrivait:
-----------------
> comme promis la toute première vidéo test avec ma nouvelle caméra sony
>
> vidéo prise vite fait ce matin lors d'une chirurgie pour tester la caméra et son
> dispositif de fixation.
>
> à regarder en 720 HD
>
>


>
>
> @+

Très bien tout ça .


leonardo

25/08/2010 à 07h44

Bonsoir.
Vos critiques sont sollicitées.
Merci d'être intransigeant.

 dsc5692 kbqid0 - Eugenol
 dsc5712 c8lgiq - Eugenol
 dsc5753 tvgjlx - Eugenol
 dsc5910 wj3mh6 - Eugenol
Edapres wjfzqp - Eugenol
Zirconeocclusal o22hwa - Eugenol
Dsc 0026 ql3tax - Eugenol
Vissee telescopee b7zkbc - Eugenol

Blason dql7mj - Eugenol
growler

25/08/2010 à 09h59

les photos de chir sont un peu sur-exposées, sinon belle netteté et beau gamin.

@+


S2y2o1v7q53ws4r5wy6ou8czrpom - Eugenol
pxav

25/08/2010 à 11h02

c'est scandaleux, Leonardo!
l'expansion c'est domaine réservé-:))
pour les photos un poil pale, objectif? ouverture?

--
xbk


Smile beach jgh0a1 - Eugenol
Céramik

25/08/2010 à 16h18

Les sutures...c'est quoi ?

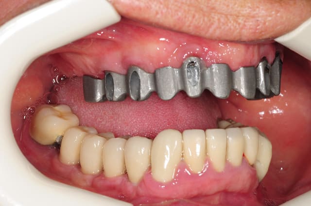
Arcade en zircone...zoli !

Les chapes sur armature métal, tu scelles avec quoi ?

Merci


--
Céramik


 mg 0207 xwjxcl - Eugenol
Tillc

25/08/2010 à 21h30

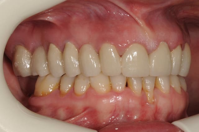
Les photos chir sont trop exposées ( blancs sont brulés)
Le reste ca manque un peu de contraste mais c'est un avis perso.
Les sutures sont un peu degueu parcontre . Depuis qu'Olivier m"as vanné sur les miennes je fais de tres belles sutures et la cicat a changée


leonardo

26/08/2010 à 03h34

Merci


leonardo

26/08/2010 à 03h42

Chers collègues,
Je scelle les ccm au ciment provisoire. Je descelle et re-scelle tout les 6 mois environ. Je dévisse aussi l'armature pour remettre du gel antiseptique dans la lumière des implants après un détartrage (insert spécifique).
Les photos de chir sont effectivement sur exposées.
Le matos: Nikon D3, Nikon D90. Macro 60mm fx, Macro 85 mm dx, flash annulaire Metz.
Le D3 associe au 60 mm sont un peu trop lumineux effectivement.
En tout cas, Merci pour vos critiques.


1...131415