Cookie Consent byPrivacyPolicies.comEntrainement Photos pour un nul! - Eugenol

Entrainement Photos pour un nul!

Utilisateur banni

22/04/2010 à 21h48

je continue l'entrainement

je sais, c'est pas très disco Céramik

01positdental  003 c7vzaz - Eugenol

S2y2o1v7q53ws4r5wy6ou8czrpom - Eugenol
pxav

25/04/2010 à 13h03

posit écrivait:
---------------
> je continue l'entrainement
>

moi aussi, plus bucolique


--
xbk

Img 1072r etpzey - Eugenol
Img 1052r db9fix - Eugenol
Img 1066r kmjbqe - Eugenol
Img 1073r b2uaqs - Eugenol

Image19 iebot6 - Eugenol
athos

25/04/2010 à 18h23

t'aime les tits trucs?


Utilisateur banni

27/04/2010 à 02h47

Après le clair obscur le blanc sur blanc

Www.positdental - Eugenol
Www.positdental - Eugenol

Logo vuaztn - Eugenol
mac

27/04/2010 à 09h57

...

Img 9532 ryxg5m - Eugenol
Img 9538 hhbkdy - Eugenol
Img 9539 nshjy4 - Eugenol

S2y2o1v7q53ws4r5wy6ou8czrpom - Eugenol
pxav

27/04/2010 à 10h21

personne ne donne d'avis sur les photos, je me lance.
Posit blanc trop blanc
Mac superbe travail de taille et empreinte quasi parfaite semble t il, par contre pour les photos j'aurais préféré un éclairage diffèrent, il y a (pour mon œil) trop d'ombres en distal, et le sujet me semble un peu écrasé.
mais se ne sont que de toutes petites remarques le travail est semble t il de bon aloi.
je voulais poster un montage barre sur implant j'ai fait les photos avant que ça ne parte à la coulée, juste oublié de mettre la carte dans l'appareil... grrr.

--
xbk


Logo vuaztn - Eugenol
mac

27/04/2010 à 10h37

pxav écrivait:
--------------

> Mac superbe travail de taille et empreinte quasi parfaite semble t il, par
> contre pour les photos j'aurais préféré un éclairage diffèrent, il y a (pour mon
> œil) trop d'ombres en distal, et le sujet me semble un peu écrasé.
> mais se ne sont que de toutes petites remarques le travail est semble t il de
> bon aloi.


c'est le flash twin qui fait ça, ça fait pas très longtemps que je l'ai je maîtrise pas encore, pour les photos en postérieur je pense que je vais revenir à l'annulaire.


Utilisateur banni

27/04/2010 à 10h44

j'aurai dû prendre un fond noir

Copie de www.positdental - Eugenol

Smile beach jgh0a1 - Eugenol
Céramik

28/04/2010 à 05h43

Je place pour la digue, utile en implanto aussi !


Patiente ref pour un bridge qui bouge..

Hop, 2 implants, comblement et provisoire
Je voulais faire une MCI, mais pas assez de nonos autour de la 32, j'aime pas le risque, suis très conservateur.

--
Céramik

Montage 32 42 implants 2  vde50k - Eugenol

Utilisateur banni

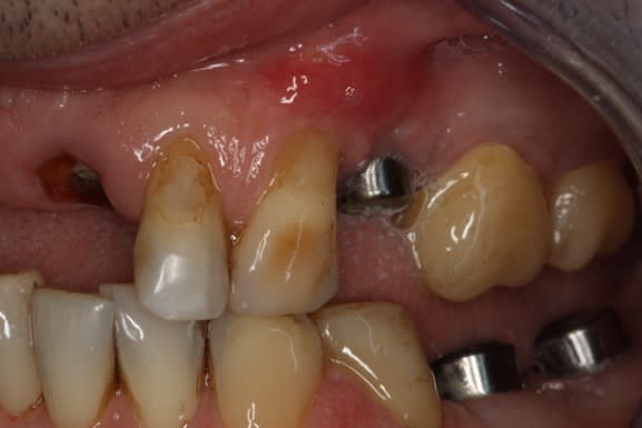
28/04/2010 à 10h02

sur fond noir c'est mieux ?

Www.positdental - Eugenol

nolive

28/04/2010 à 11h04

posit écrivait:
---------------
> sur fond noir c'est mieux ?
Si je peux me permettre... L'ouverture est trop importante. Ceci permet une bonne lumière sans risquer de flou de bougé. Par contre la profondeur de champ est un peu trop juste.

Il serait intéressant de connaître tes réglages pour ce cliché. (pour mieux critiquer ... :-) )


Utilisateur banni

28/04/2010 à 11h14

mode macro en automatique


le titre ma inspiré


Utilisateur banni

28/04/2010 à 11h28

même "réglage" cadré + serré

Guide chirurgical positdental 04 srwz5i - Eugenol

Smile beach jgh0a1 - Eugenol
Céramik

28/04/2010 à 14h29

posit écrivait:
---------------
> même "réglage" cadré + serré


Joli, mais pas de profondeur.
Le mode auto, pas tjs bon en macro.
Faut monter le f-stop
--
Céramik


S2y2o1v7q53ws4r5wy6ou8czrpom - Eugenol
pxav

28/04/2010 à 15h30


fond noir plus sympa, et avec le cadrage serré c'est presque bon.
essaye en réglages manuels.
--
xbk


Avatar ow44t3 - Eugenol
Chicot

28/04/2010 à 20h22

mon matos:
flash MR-14EX
boitier EOS1000D
objectif macro canon 105mm
reglage M
F 16
ISO 400
Vitesse 1/200




bof les photos sont petites avec powerpoint


--
;O)

Diapositive1 dpumyp - Eugenol
Diapositive2 f5sbox - Eugenol

Avatar ow44t3 - Eugenol
Chicot

28/04/2010 à 20h24

en vrac.... mais les vues miroir sont brutes (j'ai pas fait la rotation 180°)


zut j'ai oublié de préciser: petit conjonctif enfui bien sur en 23 et lambeau tracté coronnairement
--
;O)

Img 0650 fjfzgn - Eugenol
Img 0655 gk3lqs - Eugenol
Img 0654 v7e5at - Eugenol
Img 0657 hs3g9p - Eugenol
Img 0659 vwfmmh - Eugenol
Img 0865 cf2rab - Eugenol
Img 0866 cxwrvo - Eugenol
Img 0867 nf1yaa - Eugenol
Img 0997 tdfsk8 - Eugenol
Img 1003 rh7ytr - Eugenol
Img 1004 mqmm7h - Eugenol

Avatar ow44t3 - Eugenol
Chicot

28/04/2010 à 20h30

Céramik écrivait:
-----------------
> Je place pour la digue, utile en implanto aussi !
>
>
> Patiente ref pour un bridge qui bouge..
>
> Hop, 2 implants, comblement et provisoire
> Je voulais faire une MCI, mais pas assez de nonos autour de la 32, j'aime pas le
> risque, suis très conservateur.
>
> --
> Céramik

Toujours sympa comme cas. Joli planche

ton "bridge" "pap" avec moule thermo et résine, tes patients prennent ça comment ???

ils portent ça réellement combien de temps ?? jusqu'à la phase finale ??

Généralement j'ai remarqué qu'il portent ce genre de truc les premiers jours avant d'abandonner.

Prévois tu une petite pap au bout de 1 à 2 semaines ?


--
;O)


Blason dql7mj - Eugenol
growler

28/04/2010 à 20h45

en vue directe

2010 02 19 016 qmcg5z - Eugenol

Blue eye thumb medium dx1i0w - Eugenol
bill

28/04/2010 à 20h58

posit écrivait:
---------------
> je dirais + Italien, inspiration le Caravage


G. de la Tour c'est plus français...

Et copyrigHT c'est mieux. ;-)

Sinon belles photos.


Blue eye thumb medium dx1i0w - Eugenol
bill

28/04/2010 à 20h59

growler écrivait:
-----------------
> en vue directe

C'est un évèque ? :-)


alhoun

28/04/2010 à 21h16

non c'est la gay pride!!
sacré bill ;)


Blue eye thumb medium dx1i0w - Eugenol
bill

28/04/2010 à 21h28

alhoun écrivait:
----------------
> non c'est la gay pride!!



Ahhh... growly ???
je savais pas...
Tu as des photos ? :-))


Blason dql7mj - Eugenol
growler

28/04/2010 à 21h47

http://www.eugenol.com/sujets/388573-entrainement-photos-pour-un-nul?page=3#post_486392


S2y2o1v7q53ws4r5wy6ou8czrpom - Eugenol
pxav

28/04/2010 à 22h02

growler écrivait:
-----------------
> en vue directe

je peux jouer aussi?
--
xbk

Img 1124 zr8o1c - Eugenol

1...789...