Cookie Consent byPrivacyPolicies.comCONE BEAM - Eugenol
philippe92

20/04/2010 à 20h05

J'aimerais acquérir un cone beam.
Que pensez-vous du Kodak 9000?
Un grand capteur a t-il un intéret?

Merci d'avance


003 penrd2 - Eugenol
Cingulum

21/04/2010 à 18h17

tu veux faire quoi avec ton cone beam ?


--
Dr Cingulum
-----Ancien interné----
----Attaché à l'apex----
www.clinic-all.fr formation par passion


philippe92

21/04/2010 à 18h29

imagerie pré implantaire principalement.
je travaille avec un endo et un paro au sein de mon cabinet

Le Kodak me semble un peu juste au niveau du capteur (5x3.7):
- dents antagonistes pour axes implantaires et espaces prothétiques difficiliement visibles
- sinus non visibles en globalité

Je regarde de près le planméca avec capteur 5x8, 12000 euros plus cher d'après les propositions que j'ai eu.


003 penrd2 - Eugenol
Cingulum

22/04/2010 à 13h48

je pense qu'avec ce genre d'appareil en implanto, il faut avoir les deux arcades complètes... Pour pouvoir réaliser des guides d'imagerie et chirurgicaux...

La taille des capteurs vont se stabiliser et les petits champ disparaitre...
On aura en général des champs tournant autour de 8cm*8cm

Aprés les qualités d'image surtout en présence de métal sont assez variable.
Aussi voir l'ergonomie du logiciel....
Je te renvois à un petit comparatif auquel je m'étais amusé...

http://www.eugenol.com/sujets/387271-cone-beam?page=1#post_462638

--
Dr Cingulum
-----Ancien interné----
----Attaché à l'apex----
www.clinic-all.fr formation par passion


Smile beach jgh0a1 - Eugenol
Céramik

24/04/2010 à 04h50

NewTom VGi

http://www.afpimaging.com/newtomvgmobile


http://www.conebeam.com/scannersold


http://www.prexion.com/dental/case.html



--
Céramik

Newtom vgi mkhile - Eugenol

003 penrd2 - Eugenol
Cingulum

24/04/2010 à 09h42

Les images sans métal sont toujours les plus belles...


--
Dr Cingulum
-----Ancien interné----
----Attaché à l'apex----
www.clinic-all.fr formation par passion


Smile beach jgh0a1 - Eugenol
Céramik

24/04/2010 à 16h53

Cingulum écrivait:
------------------
> Les images sans métal sont toujours les plus belles...
>
>

D'où l'important de la dépose des amalgames, et vive la céram !

Le zircone, ça donne quoi ?


--
Céramik


szmok

26/04/2010 à 15h11

Je possède une Kodak 9000 et je suis très satisfait par la qualité de la pano et de la 3 D.
Cependant malgré mes demandes depuis plus de 6 mois chez Kodak
et bds je n'ai à ce jour pas de notice surtout pour le logiciel 3d qui est assez ardu.


philippe92

26/04/2010 à 15h29

Arrive-tu à voir les sinus (pré greffe par exemple), les antagonistes pour les planifications implantaires (Simplant par exemple)?

Merci


Utilisateur banni

01/05/2010 à 11h07

S.I.A.O réalisée à partir des données DICOM du faisceau conique 3D NewTom technologie

Guide chirurgical positdental 08 bqto2u - Eugenol

003 penrd2 - Eugenol
Cingulum

01/05/2010 à 13h43

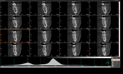
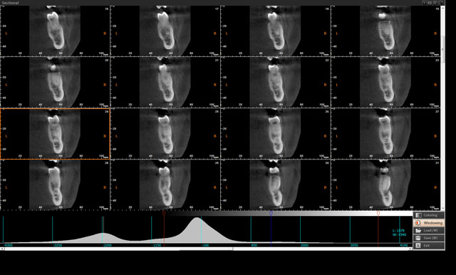
exemple de coupe mandibulaire pour visualiser le nerf dentaire
renommer le .txt en .avi pour avoir un film de toute les coupes...
--
Dr Cingulum
-----Ancien interné----
----Attaché à l'apex----
www.clinic-all.fr formation par passion

Test cd zucwcy - Eugenol