Cookie Consent byPrivacyPolicies.comFausse gencive, un avis? - Eugenol

Fausse gencive, un avis?

S2y2o1v7q53ws4r5wy6ou8czrpom - Eugenol
pxav

01/05/2010 à 19h52

.

--
xbk


87 ujotte - Eugenol
Spatouille

01/05/2010 à 20h08

très joli Alain ...

XBK, pourquoi ce choix entre deux ? ok les résines permettent de réintervenir, mais pourquoi gencive ceram ?
super photos/boulot.


S2y2o1v7q53ws4r5wy6ou8czrpom - Eugenol
pxav

01/05/2010 à 20h22


spatouille
merci pour le compliment, j'expliquerai le boulot à la fin, si tout se passe bien.
en particulier pourquoi gencive céram/dents résine (ce qui est peu être un mauvais choix, l'avenir le dira).
pour le moment, ça bidouille dans la tête, au labo, et un peu dans la bouche du patient.
--
xbk


Image 4 lrchtq - Eugenol
Alain

01/05/2010 à 21h20

je peux jouer?

couronnes avec cosmétique résine pour permettre l'abrasion, donner un chouia de jeu axial et éviter des futurs éclats de céram sur les couronnes téléscopes (bruxomane, dents résiduelles) et fausse gencive céramique parceque c'est plus sain que la résine en juxtagingival.

j'ai bon?

je gagne une boite de jeux ou bien je passe en deuxième semaine?


S2y2o1v7q53ws4r5wy6ou8czrpom - Eugenol
pxav

01/05/2010 à 21h33

c'est pas rigolo si tu trouves tout de suite Alain, ce qui prouve que quand on se parle tu écoutes!
presque tout juste...

--
xbk


Utilisateur banni

01/05/2010 à 21h51

simplet

Positdental fs0hrj - Eugenol

S2y2o1v7q53ws4r5wy6ou8czrpom - Eugenol
pxav

01/05/2010 à 21h55


possible mais regarde les chapes, pas de rétention...
sinon l'idée de la clavette est en balance avec le ciment provisoire.

--
xbk


Utilisateur banni

01/05/2010 à 22h04

pxav écrivait:
--------------
>
> possible mais regarde les chapes, pas de rétention...

>

c'est parfait, il suffit de fraiser une simple logette dans la barre et de faire un trou dans la chape.

ainsi la chape se désincérera facilement au besoin après avoir meulé le composite qui sert à la maintenir.


aldo74

01/05/2010 à 22h56

bonsoir,quel métal pour l'armature ?,

pourquoi n'y-a-t-il pas de rainures verticales sur l'armature afin de sectoriser les prothèses?
si résine sur l'armature et céram sur les dents naturelles il va y avoir une différence d'usure dans le temps entre les deux entités prothétique: à prévoir: fracture ou mobilités dents naturelles (je sais je suis désagréable mais l'expérience..ou l'age...)
résine ce répare facilement et rapidement et plus facile à gérer pour les teintes de gencive ,mais adhérence de la plaque plus importante...
donc pas de solution idéale mais prévenir le patient d'une maintenance dans cinq ans, et le temps passe vite.......


Utilisateur banni

01/05/2010 à 23h03

aldo74 écrivait:
----------------

> donc pas de solution idéale mais prévenir le patient d'une maintenance dans
> cinq ans, et le temps passe vite.......

d'ou l'importance de prévoir un dispositif simple pour monter et démonter


S2y2o1v7q53ws4r5wy6ou8czrpom - Eugenol
pxav

02/05/2010 à 00h03

aldo, pourquoi des rainures verticales?
je ne comprends pas bien.
de même je ne suis pas assez fou pour faire des cérams sur les dents et de la résine sur les implants, surtout chez un bruxo, et pour la maintenance, d'accord avec toi 5 ans c'estdemain, mais demain pour le patient c'est tout à l'heure, il a 85 ans!
ce qui joue dans l'utilisation des matériaux, je pense qu'il sera supportable pour le patient d'avoir une usure des matériaux (résines), plutôt que des fractures (cérams)
--
xbk


aldo74

02/05/2010 à 00h43

je me demandais comment allait se présenter la partie cosmétique et si tu allais la sectoriser?
effectivement 85 ans , on peut relativiser
donc éventuellement rainures verticales sur l'infrastucture pour stabiliser.

quel métal??


aldo74

02/05/2010 à 00h43

je me demandais comment allait se présenter la partie cosmétique et si tu allais la sectoriser?
effectivement 85 ans , on peut relativiser
donc éventuellement rainures verticales sur l'infrastucture pour stabiliser.

quel métal??


S2y2o1v7q53ws4r5wy6ou8czrpom - Eugenol
pxav

02/05/2010 à 00h50

je n'ai pas la réf exacte,mais c'est un non précieux pour céram.
wiron 99 ou équivalent.
--
xbk


aldo74

02/05/2010 à 00h53

OK (cobalt chrome)et la supra structure? monobloc?


S2y2o1v7q53ws4r5wy6ou8czrpom - Eugenol
pxav

02/05/2010 à 01h05

trois parties indépendante, 17 à 21, 22 à 25 et 26 27.

--
xbk


aldo74

02/05/2010 à 01h31

perso, j'aurai fait la suprastructure deux parties de 21 à 17 par prudence et pour simplifier les réparations en cas de souci ; bien que la probabilité soit faible ,mais on se rapelle le film le viager avec Michel Sereault...!!!...


macadam

04/05/2010 à 15h27

bonjour,
a mon avis tu devrais déjà demander un montage d'étude à ton prothé.
Il n'est peut etre pas utile de confectionner une fausse gencive sur toute l'étendue du bridge.Si la partie coronaire est supéieure à 12mmalors tu doit en réaliser une.Aprés ,voir avant, je te conseilles de verifier la ligne de sourire de ton patient.Découvre t il ?enfin attache t il une grande importace a son hygiène ?
Pour la partie cosmétique la céramique apparait comme la solution la mieux conseillée(moindre rétention à la plaque bactérienne ,viellissement du matériau)


S2y2o1v7q53ws4r5wy6ou8czrpom - Eugenol
pxav

04/05/2010 à 22h03

macadam
le patient ne découvre pas.... c'est surtout pour le "fun" que j'essaye une fausse gencive "spéciale" et le premier essai est à la benne... pas bon.

--
xbk


Utilisateur banni

05/05/2010 à 09h32

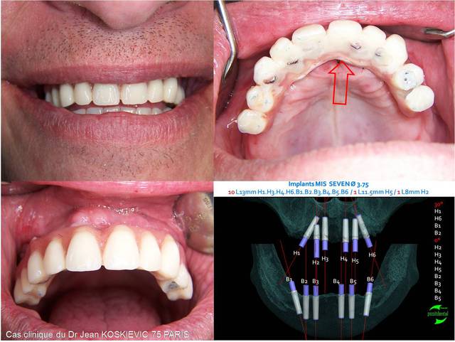
Pxav, la fausse gencive en céramique est délicate à réaliser et souvent peu esthétique. Pour éviter le développement de la plaque bactérienne accentué par la porosité de la résine, une solution peut être la céramisation de l’intrados de la barre.
Les bridges sur pilotis nécessitent un contrôle régulier, les parties accessibles peuvent être entretenues mécaniquement au même titre qu’un détartrage.


Ci-joint, le jour de la chirurgie, pose d’implants simultanée haut et bas avec lambeaux et provisoire avec barre céramisée. Les provisoires sont restés en place plus d’1 an.

Mci guide chirurgical positdental up9lo5 - Eugenol

87 ujotte - Eugenol
Spatouille

05/05/2010 à 10h10

pxav écrivait:
--------------
> macadam
> le patient ne découvre pas.... c'est surtout pour le "fun" que j'essaye une
> fausse gencive "spéciale" et le premier essai est à la benne... pas bon.
>
> --
> xbk
>

qu'est-ce qui n'allait pas ? tu as pris des photos ?


S2y2o1v7q53ws4r5wy6ou8czrpom - Eugenol
pxav

05/05/2010 à 11h15

l'ajustage de la selle ne me plaisait pas.
modèle en revêtement préparé par un prothésiste avec masquage des défauts (pour lui) qui ne correspondent pas à ce que je souhaite en bouche.
mauvaise communication c'est ma faute, ma très grande faute.
photos? oui sur le modèle avec bonding on note la visibilité des piliers.
bilan: modèle d'entrainement...
--
xbk

Img 1210 iqdiim - Eugenol
Img 1211 sq62vu - Eugenol
Img 1285 zhvmui - Eugenol
Img 1309 uebn7c - Eugenol

Utilisateur banni

05/05/2010 à 15h38

pxav, comment les coiffes résines vont tenir sur la sur-barre ?

dans ce dispositif j'aurai plutôt cuit la gencive céramique sur la barre et réaliser les couronnes en sur-coiffe.


Image 4 lrchtq - Eugenol
Alain

05/05/2010 à 18h55

+1

tu ne fais pas des couronnes télescopes sur ta barre?

PS: vanille/fraise, c'est joli!


S2y2o1v7q53ws4r5wy6ou8czrpom - Eugenol
pxav

05/05/2010 à 20h41

posit écrivait:
---------------
> pxav, comment les coiffes résines vont tenir sur la sur-barre ?
>
c'est là qu'est la petite astuce, si ça marche!

> dans ce dispositif j'aurai plutôt cuit la gencive céramique sur la barre et réaliser les couronnes en sur-coiffe.

oui mais toi tu es prothésiste!:-))
--
xbk