Cookie Consent byPrivacyPolicies.comheu ... la y a plus beaucoup d'os - Eugenol

heu ... la y a plus beaucoup d'os

Img 3657 cwjvqm - Eugenol
alapex

11/05/2010 à 14h47

Je me félicite tous les jours de mon inscription sur ce forum , car on y apprend beaucoup de chose .lol...))


ad-hugo

11/05/2010 à 15h49

alapex écrivait:
----------------
> drmarcus écrivait:
> ------------------
> A moins que Dieu soit sur ce
> > forum!
>
>
> Qui me dérange ?

alapex ou allah-pex


Logo vuaztn - Eugenol
mac

11/05/2010 à 20h53

hey pxav c'est pas un forum gyneco!


Img 3657 cwjvqm - Eugenol
alapex

11/05/2010 à 21h30

ad-hugo écrivait:
-----------------
> alapex écrivait:
> ----------------
> > drmarcus écrivait:
> > ------------------
> > A moins que Dieu soit sur ce
> > > forum!
> >
> >
> > Qui me dérange ?
>
> alapex ou allah-pex

Allan Peix .(O O)


Ikimine xg3119 - Eugenol
ikimine

11/05/2010 à 21h54

je pense que vous êtes allez loin du sujet d'implantologie pour vous remettre sur rails: qu'en pensez vous de de ce cas?surtout secteur 2.

Dsc00686 k1x15v - Eugenol
Dsc00690 zzoeqw - Eugenol
Dsc00688 e4oybd - Eugenol

Avatar 46 aoi1yc - Eugenol
HononLulu

11/05/2010 à 22h38

Ikimine, sont sympas tes photos, bien cadrées.....
Je rigoleu.


Pépélaratiche

11/05/2010 à 22h42

drmarcus écrivait:
------------------
> Arrêtez de vous prendre le chou! nous sommes ici pour profiter des expériences
> de tous. Personne n'a complètement raison ou tort! A moins que Dieu soit sur ce
> forum! Tiens ça me fait penser à une blague!
> Je suis en étroite collabo avec un implanto basale, on travaille d'ailleurs
> chacun de notre coté et on compare, il en revient lui aussi de sa basale rien
> n'est tout blanc ni tout noir, il faut trouver le juste milieu pour répondre aux
> attentes des patients.
> Bref sérieusement, Pxav, je suis très intéressé par ta pratique d'expansion,
> dans un tel cas je n'aurai pas osé, alors tiens nous au courant du principe.
> Sans os alvéolaire apparemment ( os bi cortical uniquement) je croyais impossible
> du fait de l'absence de vascularisation. J'ai d'ailleurs perdu un fois un pan
> palatin pour avoir voulu être plus royaliste que le roi(ce fut la merde à
> corriger) Merci d'avance de nous transmettre tes compétences.



Bonsoir Dr Marcus,

tu me plais...beaucoup car justement partager nos expériences est chose plaisante...

Au vu d un os aussi sec au maxillaire et totalement corticalisé, je ne pense pas que de l expansion soit un plan très fiable... Voire même il est dangereux car si on foire l expansion on peut perdre de grandes zones du maxillaire voire toute la crête restante

Connais tu le système d ostéotension qui pourrait revitaliser cet os blanc au point de pouvoir l expanser en sécurité voire l implanter en basale sans expanser avec facilité et sécurité ???

Si tu ne connais pas ce système, je serai ravi de t en parler
et de t envoyer un pdf sur ce sujet

Bien à toi

Pépé lui est tjs très content de la basale ;-) mais qui pose des cylindres là où c est tout simplement facile car pourquoi s en priver... ;-)


3f3boxni50k58rq7e9ce9ddqrxgk - Eugenol
dentiste57

11/05/2010 à 23h05


> PS salue bien D57 de ma part qd tu le vois ( il y a ds le coin de D57 un super
> pro en basale mais tu l ignores sûrement et volontairement)

j'l'avais pas vu ça !

saches mon cher pplaratiche que je connais très bien Alain et à la différence de toi, le respect est mutuel entre nous.


Pépélaratiche

11/05/2010 à 23h12

Je suis content que que tu connaisses Alain A....

C est mon ami alors je ne vois pas pourquoi tu "dénigres" tant la basale sans en donner l impression...

Il faudra que tu m expliques ça un jour en détails...

Pépé te salue cordialement et pépé apprécie que tu reconnaisses donc ipso facto qu'Alain est un très grand professionnel

Pépé


3f3boxni50k58rq7e9ce9ddqrxgk - Eugenol
dentiste57

12/05/2010 à 01h21

je ne "dénigre" pas la basale comme tu pourrais "dénigrer" mon travail ou celui d'autres confrères.
je n'aime pas les tout grands tout puissants meilleurs que tous le monde et plus forts que les autres.
c'est juste une question de formes...
mais peut être es tu simplement un peu provocateur :)


Ikimine xg3119 - Eugenol
ikimine

12/05/2010 à 08h29

HononLulu écrivait:
-------------------
> Ikimine, sont sympas tes photos, bien cadrées.....
> Je rigoleu.
Merci, mais c'est l'avis de l'implanto que j'aurais aimé lire pas du photographe.


S2y2o1v7q53ws4r5wy6ou8czrpom - Eugenol
pxav

12/05/2010 à 09h22

ikimine écrivait:
-----------------
> HononLulu écrivait:
> -------------------
> > Ikimine, sont sympas tes photos, bien cadrées.....
> > Je rigoleu.
> Merci, mais c'est l'avis de l'implanto que j'aurais aimé lire pas du photographe.
photos: avis de photographe
scann : avis d'implanto

sur le pano : pas de problème particulier (même si la crête semble fine) mais pas assez de données.


--
xbk


S2y2o1v7q53ws4r5wy6ou8czrpom - Eugenol
pxav

12/05/2010 à 09h28

dentiste57 écrivait:
--------------------
> je n'aime pas les tout grands tout puissants meilleurs que tous le monde et plus forts que les autres.


salut Thomas
désolé pour toi, tu va en subir un autre ce matin,
fiston (de Dieu) est bien arrivé il sera à ton cabinet à 9 heures pour bricoler un peu.

--
xbk


Pépélaratiche

12/05/2010 à 09h35

dentiste57 écrivait:
--------------------
> je ne "dénigre" pas la basale comme tu pourrais "dénigrer" mon travail ou celui
> d'autres confrères.
> je n'aime pas les tout grands tout puissants meilleurs que tous le monde et plus
> forts que les autres.
> c'est juste une question de formes...
> mais peut être es tu simplement un peu provocateur :)

Hello Dentiste 57,

oui provocateur est certainement ne chose qui me plaît...

Par contre me prendre pour Dieu ne m agrée pas du tout... Je laisse ce douloureux privilège à Pxav

Cordialement

Pépé ;-)


Ikimine xg3119 - Eugenol
ikimine

12/05/2010 à 21h12

pxav écrivait:
-------------
>
> sur le pano : pas de problème particulier (même si la crête semble fine) mais
> pas assez de données.
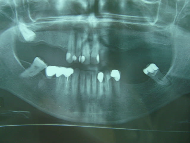
Merci pxav,en réalité c'est une patiente d'une collégue qui demande un avis, et c'est l'image de l'os au niveau 22 ,23 qui m'inquiéte,
>

Pano s8hcv8 - Eugenol

S2y2o1v7q53ws4r5wy6ou8czrpom - Eugenol
pxav

12/05/2010 à 21h17

ikimine écrivait:
-----------------
c'est l'image de l'os au niveau 22 ,23 qui m'inquiéte,
> >
même chose on a une vue plate.
qu'est ce qui te gène?le manque de hauteur?
ça peut se corriger, mais quid de l'épaisseur

--
xbk


Logo vuaztn - Eugenol
mac

12/05/2010 à 21h50

pxav écrivait:
--------------
> ikimine écrivait:
> -----------------
> c'est l'image de l'os au niveau 22 ,23 qui m'inquiéte,
> > >
> même chose on a une vue plate.
> qu'est ce qui te gène?le manque de hauteur?
> ça peut se corriger,


comment tu corriges le manque de hauteur?


S2y2o1v7q53ws4r5wy6ou8czrpom - Eugenol
pxav

12/05/2010 à 22h24

mac écrivait:
-------------
> pxav écrivait:
> --------------
> > ikimine écrivait:
> > -----------------
> > c'est l'image de l'os au niveau 22 ,23 qui m'inquiéte,
> > > >
> > même chose on a une vue plate.
> > qu'est ce qui te gène?le manque de hauteur?
> > ça peut se corriger,
>
>
> comment tu corriges le manque de hauteur?

distraction, (il y a des études...etc.)
ou peut être greffe en Onlay, voir avec les spécialistes de la greffe.

--
xbk


Avatar ow44t3 - Eugenol
Chicot

12/05/2010 à 23h43

ikimine écrivait:
-----------------

> c'est l'image de l'os au niveau 22 ,23 qui m'inquiéte,
> >

c'est vrai que l'on a une impression de tissus osseux "flottant" au dessus de la crête.

Y a t-il eu déjà une greffe ? un comblement type xenogreffe ? une racine comme sous le cantilever en bas....

y'a t il un scan ou au moins des rétro alvéolaire pour préciser ?


--
;O)


Pépélaratiche

13/05/2010 à 11h03

dentiste57 écrivait:
--------------------
>
> > PS salue bien D57 de ma part qd tu le vois ( il y a ds le coin de D57 un super
> > pro en basale mais tu l ignores sûrement et volontairement)
>
> j'l'avais pas vu ça !
>
> saches mon cher pplaratiche que je connais très bien Alain et à la différence de
> toi, le respect est mutuel entre nous.



Cher dentiste57,

Et bien alors ferme donc ton cabinet un seul jour et va voir opérer Alain ... ça vaudra toutes les formations du monde car non seulement il opère bien mais en plus il réalise des cas superbes

Pépé


Logo vuaztn - Eugenol
mac

13/05/2010 à 11h13

pxav écrivait:
--------------
> mac écrivait:
> -------------
> > pxav écrivait:
> > --------------
> > > ikimine écrivait:
> > > -----------------
> > > c'est l'image de l'os au niveau 22 ,23 qui m'inquiéte,
> > > > >
> > > même chose on a une vue plate.
> > > qu'est ce qui te gène?le manque de hauteur?
> > > ça peut se corriger,
> >
> >
> > comment tu corriges le manque de hauteur?
>
> distraction, (il y a des études...etc.)


effectivement mais c'est pas c'est compliqué à gérer pour le patient.


> ou peut être greffe en Onlay, voir avec les spécialistes de la greffe.


je savais pas qu'on pouvait faire une greffe en onlay en vertical.


S2y2o1v7q53ws4r5wy6ou8czrpom - Eugenol
pxav

13/05/2010 à 11h32

mac écrivait:
-------------

> je savais pas qu'on pouvait faire une greffe en onlay en vertical.

moi non plus c'est pour ça que je dis:
"ou peut être greffe en Onlay, voir avec les spécialistes de la greffe."

--
xbk


Zorglub

13/05/2010 à 14h14

pxav écrivait:
--------------
> mac écrivait:
> -------------
>
> > je savais pas qu'on pouvait faire une greffe en onlay en vertical.
>
> moi non plus c'est pour ça que je dis:
> "ou peut être greffe en Onlay, voir avec les spécialistes de la greffe."
>
> --
> xbk
>


Les spécialistes de la greffe, ils se débinent devant des cas pareils...


S2y2o1v7q53ws4r5wy6ou8czrpom - Eugenol
pxav

13/05/2010 à 14h40

Zorglub écrivait:
-----------------
> Les spécialistes de la greffe, ils se débinent devant des cas pareils...
>
je ne crois pas,c'est un long WE et je crois savoir que dans les bons certains sont occupés à monter de la vidéo...
sinon, le cas ne parait pas dramatique, un peu comme ça:

--
xbk

Va he 23.06 - Eugenol

Zorglub

13/05/2010 à 14h43

T'as pas dû regarder la mandibule mon gars. C'est elle le vrai blème...