Cookie Consent byPrivacyPolicies.comheu ... la y a plus beaucoup d'os - Eugenol

heu ... la y a plus beaucoup d'os

S2y2o1v7q53ws4r5wy6ou8czrpom - Eugenol
pxav

13/05/2010 à 14h57

Zorglub écrivait:
-----------------
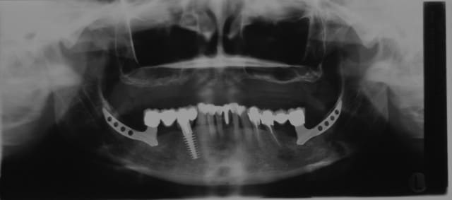
> T'as pas dû regarder la mandibule mon gars. C'est elle le vrai blème...

tu parles de quel cas?
--
xbk


Zorglub

13/05/2010 à 15h32

La pano du premier post...


S2y2o1v7q53ws4r5wy6ou8czrpom - Eugenol
pxav

13/05/2010 à 17h07

oui mais là les solutions existent aussi:
de 2 à 5 implants
ou 4/5 +2
ou divers trucs bizarre, déplacement du V (pas utile je pense) lames ramique +implants antérieurs etc...
ou même pire...:-))

--
xbk

Fa sdim0828 a0hdxr - Eugenol
Cadre ramique tatum ft58bg - Eugenol

Pépélaratiche

13/05/2010 à 19h27

pxav écrivait:
--------------
> oui mais là les solutions existent aussi:
> de 2 à 5 implants
> ou 4/5 +2
> ou divers trucs bizarre, déplacement du V (pas utile je pense) lames ramique
> +implants antérieurs etc...
> ou même pire...:-))
>
> --
> xbk
>


Tu sais, pxav, la basale est bien plus normée que ces drôles de cadres ramiques ou autres implants ramiques...

Alors c est rigolo de voir cette pano de cadre ramique que certains trouvent presque normale alors que qd les praticiens voient des cas de basale ils nous sautent à la gorge sans réfléchir et presque comme si c était un réflexe conditionné

Pépé


Fresh watermelon 640x562 udulqz - Eugenol
gulguch

13/05/2010 à 21h11

pxav écrivait:
--------------
> oui mais là les solutions existent aussi:
> de 2 à 5 implants
> ou 4/5 +2
> ou divers trucs bizarre, déplacement du V (pas utile je pense) lames ramique
> +implants antérieurs etc...
> ou même pire...:-))

....ce forum est redevenu interessant depuis l'arrivée du vieux pxav et de ses lames ramiques, tatums, etc.
Du plu-ra-lisme.


S2y2o1v7q53ws4r5wy6ou8czrpom - Eugenol
pxav

13/05/2010 à 21h31

tu sais ce qu'il te dit le "vieux"?

--
xbk


Casque beotien a3jo39 - Eugenol
beotien

13/05/2010 à 21h36

bientot on relance les implants aiguille


Fresh watermelon 640x562 udulqz - Eugenol
gulguch

13/05/2010 à 21h44

beotien écrivait:
-----------------
> bientot on relance les implants aiguille

...impossible le tantale est devenu cher.


S2y2o1v7q53ws4r5wy6ou8czrpom - Eugenol
pxav

13/05/2010 à 21h46

beotien écrivait:
-----------------
> bientot on relance les implants aiguille

salut beotien

j'ai une trousse complète d'implants aiguille, à céder contre bon soins?
et j'ai encore une patiente (moins de 60 ans)à qui il reste un (sur trois) implants aiguille avec la dent dessus.
--
xbk


Fresh watermelon 640x562 udulqz - Eugenol
gulguch

13/05/2010 à 21h58

....diamètre plus petit = moins de bactéries, du platform switching avant l'heure.


Utilisateur banni

20/05/2010 à 21h42

y a plus beaucoup d'os

Positdental lorekr - Eugenol

S2y2o1v7q53ws4r5wy6ou8czrpom - Eugenol
pxav

20/05/2010 à 22h03


cool, j'arrive....
--
xbk


Utilisateur banni

20/05/2010 à 22h22

y a une belle gencive

Positdental 10 cpzr2n - Eugenol

Utilisateur banni

20/05/2010 à 22h29

mince trop tard pxav

2010.05 - Eugenol

Utilisateur banni

20/05/2010 à 23h50

y n'a plus qu'il n'y parait

2010.05 - Eugenol