Cookie Consent byPrivacyPolicies.competit travail du matin - Eugenol

petit travail du matin

Marque a3 orange fyvhyq - Eugenol
Marc Apap

20/05/2010 à 22h51

Tu vois, toi aussi tu interprètes parfois de travers mes propos. Comme quoi, on n'écrit pas toujours exactement ce qu'on pense.


Marque a3 orange fyvhyq - Eugenol
Marc Apap

20/05/2010 à 22h51

.


19066 1223810679128 1344811835 30546764 2261510 n medium ozxaxj - Eugenol
vitalic

20/05/2010 à 22h53

pxav écrivait:
--------------
> pas osé faire des facettes, donc ceram pressées
> taille empreinte et provisoires 2 heures.
> la suite au prochain numero


un vrai massacre:)


S2y2o1v7q53ws4r5wy6ou8czrpom - Eugenol
pxav

20/05/2010 à 22h54

.

--
xbk


Marque a3 orange fyvhyq - Eugenol
Marc Apap

20/05/2010 à 22h56

Vitalic, tu ne vas pas nous dire ici que tu trouves odieux le racisme anti-dents jaunes ?


19066 1223810679128 1344811835 30546764 2261510 n medium ozxaxj - Eugenol
vitalic

20/05/2010 à 23h00

Marc Apap écrivait:
-------------------
> Vitalic, tu ne vas pas nous dire ici que tu trouves odieux le racisme anti-dents
> jaunes ?

non non
le racisme c'est une autre rubrique
mais si tu as des choses à dire sur le racisme, tu peux t'exprimer

ici je parle des photos que j'ai vu sur cette rubrique


Logo vuaztn - Eugenol
mac

20/05/2010 à 23h10

dentiste57 écrivait:
--------------------
> et ça tient comment ?
> c'est toujours la question que je me pose pour les facettes qui sont collées.


la réponse est dans ta question ;)


Grueavatar nptrc9 - Eugenol
Le Choixpeau magique

20/05/2010 à 23h20

Marc Apap écrivait:
-------------------
> 1/ Jamais eu de problème avec les résines que j'ai utilisé (et j'en ai testé pas
> mal). Le Rest automix prima et le Phoenix de chez Elsodent me donnent entière
> satisfaction (le Phoenix est plus agréable car il ne fait pas de film gras, mais
> le Rest est plus résistant pour les bridges longs).

Dans le cas d'éléments multiples où tu fais de l'automoulage, tu arrives à démonter les provs au rendez vous suivant sans découper ?

>
>
> 2/ Je ne connais pas l'interaction avec le sulfate ferrique. J'en ai utilisé
> hier (Viscostat) mais j'ai bien rincé et je n'ai pas eu de problème.
> A moins que tu n'utilises ce produit avant de faire la provisoire, je te
> conseille de faire la provisoire d'abord, puis de prendre l'empreinte ensuite.

Non, ce n'est pas avec la résine de provisoire que j'ai un problème, mais avec le ciment provisoire résine.


gandhi

20/05/2010 à 23h29

Hé marc, je sais que ça n'a rien à voir avec le sujet du topic mais...je suis en train de faire la biblio de ma thèse..Y a ton nom dedans...Ca m'a fait plaisir de te citer..

Voila je c'était juste pour dire ça .


S2y2o1v7q53ws4r5wy6ou8czrpom - Eugenol
pxav

20/05/2010 à 23h36

vitalic écrivait:
-----------------
> un vrai massacre:)
soit moins laconique, étaie ton point de vue.
je suis apte à comprendre mon erreur

--
xbk


Marque a3 orange fyvhyq - Eugenol
Marc Apap

20/05/2010 à 23h38

Le Choixpeau magique écrivait:
------------------------------

> > A moins que tu n'utilises ce produit avant de faire la provisoire, je te
> > conseille de faire la provisoire d'abord, puis de prendre l'empreinte ensuite.
>
> Non, ce n'est pas avec la résine de provisoire que j'ai un problème, mais avec
> le ciment provisoire résine.

Excuse moi, j'avais compris mais ma réponse n'était pas adaptée. Je vais faire l'expérience pour voir.
Cependant, tu dis que les résidus de sulfate ferrique ont empêché la polymérisation du ciment et le patient a eu une pulpite.
Peut être que tu n'as pas assez rincé la dent pour éliminer complètement le sulfate ferrique. Peut être également que de ce fait, ce produit a irrité la pulpe car je pense qu'il est acide (à confirmer) et rend la dent plus perméable (à confirmer également).

Pour ce qui concerne le démontage des provisoires à la séance suivante, je n'ai absolument plus aucun ennui depuis que j'utilise le seal temp S qui a une souplesse parfaite et adhère juste ce qu'il faut.


Grueavatar nptrc9 - Eugenol
Le Choixpeau magique

21/05/2010 à 00h18

Marc Apap écrivait:
-------------------
> Cependant, tu dis que les résidus de sulfate ferrique ont empêché la
> polymérisation du ciment et le patient a eu une pulpite.

En fait j'ai eu pas mal de problèmes similaires avec le sulfate ferrique et des résines.
Deux fois, j'ai des patients qui se sont pointés avec des composites que je venais de leur faire avec l'utilisation de fils imbibés. Non seulement les compos étaient devenus noirs au niveau des interfaces (truc classique), mais le collage avait également l'air d'être foiré.
Avec le seal temp s, j'ai eu la même chose, mon patient avec la pulpite quand j'ai retiré la provisoire, l'intrados était tout noir...
Dans tous les cas bien sûr la dent n'était pas imbibtée de sulfate ferrique, j'avais rincé, peut être pas suffisamment, mais ce produit a l'air d'être assez traitre et je me demande donc si il n'empêche pas également les polymérisations.

> Pour ce qui concerne le démontage des provisoires à la séance suivante, je n'ai
> absolument plus aucun ennui depuis que j'utilise le seal temp S qui a une
> souplesse parfaite et adhère juste ce qu'il faut.

En fait chez moi ce n'est sans doute pas un problème de ciment mais plutôt de résine qui se rétracte.
Quand on fait une provisoire en bisacryl, la résine reste souple pendant très longtemps, ce qui permet de la remettre en place toujours facilement. Mais au bout d'un certain temps elle se rigidifie, et je suppose qu'à la moindre contre-dépouille on l'a dans l'os.
Je soigne actuellement une patiente chez qui j'ai réalisé des provisoires multiples avec cette technique, le travail en cours (prothèse combinée) impose de nombreuses séances de dépose/repose des provisoires, à chaque fois je suis obligé de perdre 10-15 minutes au début à les découper, puis 5-10 minutes pour refaire des provisoires. Pour le coup, je me dis que j'aurais mieux fait de faire faire des provisoires de labo...


Marque a3 orange fyvhyq - Eugenol
Marc Apap

21/05/2010 à 00h41

Lorsqu'il y a des essayages multiples, je trouve qu'il vaut mieux utiliser un ciment non résineux qui s'enlève plus facilement des provisoire et évite les surépaisseurs. J'aime beaucoup le Zone de Dux / Cadco car il est bien dur après la prise, contrairement aux Tempbond NE ou Freegenol.
Sinon, je pense qu'il te faut revoir la forme de tes préparations qui ne sont peut être pas assez de dépouille.


rene

21/05/2010 à 01h03

Choipeau : au debut tu as preconisé de sceller avec un adhesif pour les sensibilités

si tu fais cela , le sealtemp colle a l'adhesif et impossible a enlever sinon tout casser
ça m'est arrivé qqfois avant que je comprenne

maintenant je scelle au freegenol
tiptop dans ces cas la


pas de pb non plus de sensibilités
mais je n'utilise pas de sulfate ferrique mais l'expasyl pour les empreintes


Blue eye thumb medium dx1i0w - Eugenol
bill

21/05/2010 à 01h37

Alain écrivait:
---------------
> pxav écrivait:
> --------------
> >faire le haut et le bas dans la mâtiné je ne me sentais pas.
>
>
>
>
> feignasse!
>
> ;)))



+1

MDR!!! Ah, ces jeunes...


Smile beach jgh0a1 - Eugenol
Céramik

21/05/2010 à 06h05

pxav écrivait:
--------------
> pas osé faire des facettes, donc ceram pressées
> taille empreinte et provisoires 2 heures.
> la suite au prochain numero
> --
> xbk
>

Moi, ce sont les belle couronnes métal qui me font flipper...c'est la grande classe...

Taille haut et bas...bof 30 minutes de plus...

--
Céramik


Smile beach jgh0a1 - Eugenol
Céramik

21/05/2010 à 06h10

Marc Apap écrivait:
-------------------
> J'ai fait ça hier. Automoulage, Rest Automix Prima comme résine et Seal Temp S
> pour le scellement provisoire (deux produits de chez Elsodent)
> On ne le voit pas bien, mais c'était deux bridges collés remplaçant les
> latérales, et 6 dents de toutes les couleurs, dont centrales grises à cause du
> métal visible par transparence.


Tu vas placer quoi comme bridge ? Céram ?

File nous des photo rétractées des finales


PS Merci pour le compliment sur mes «foto», elles sont prises à la volé, durant mes traitements, sans plus.
Je bosse comme simple omni.

Mais les céram, ça n'intéresse plus personne, et les implants, Growler est au vidéo, j'ai plus de chance...





--



Céramik


rene

21/05/2010 à 08h50

question
j'utilise le structur voco pour faire mes provisoires
super produit mais il casse parfois sur les bridges longs
je l'arme donc , c'est mieux mais pas parfait

MA , tu viens d'ecrire que restmixt d'elsodent ne cassait pas
c'est y vrai?

et les autres , qu'utilisez vous pour les grandes portées?


S2y2o1v7q53ws4r5wy6ou8czrpom - Eugenol
pxav

21/05/2010 à 09h45

rene écrivait:
--------------
>
> et les autres , qu'utilisez vous pour les grandes portées?

dentocrown A3 scellé provisoire même pour bridge complet haut et bas
(je te passe les photos plus tard) mais d'aprés wax up pour que les forces soient réparties.
Pour les retouches et les renforts (pontic) si besoin, je me sers de texton au pinceau qui colle bien sur le dentocrown, exceptionnellement armé mais en principe rien.

--
xbk


Logo vuaztn - Eugenol
mac

21/05/2010 à 10h21

pour les grandes portées, style plus de 2-3 dents en inter c'est bridge provisoire avec armature systématiquement, ne pas l'oublier dans le devis parce que ça douille!!


S2y2o1v7q53ws4r5wy6ou8czrpom - Eugenol
pxav

21/05/2010 à 10h35

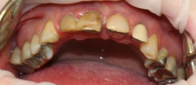
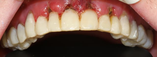
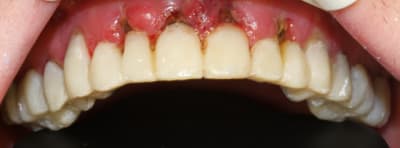
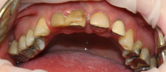
les photos
waw up avec renfort pré formé
origine
provisoire haut
haut et bas

--
xbk

2010 04 16 0067c rhdqgx - Eugenol
2010 04 16 0069c hcrjld - Eugenol
Img 0797c jggbex - Eugenol
Img 1027c jw5nzx - Eugenol

Grueavatar nptrc9 - Eugenol
Le Choixpeau magique

21/05/2010 à 10h45

rene écrivait:
--------------
> Choipeau : au debut tu as preconisé de sceller avec un adhesif pour les
> sensibilités
>
> si tu fais cela , le sealtemp colle a l'adhesif et impossible a enlever sinon
> tout casser
> ça m'est arrivé qqfois avant que je comprenne


Oui oui, je scelle au Freegenol.


S2y2o1v7q53ws4r5wy6ou8czrpom - Eugenol
pxav

21/05/2010 à 10h59


scellé dentotemp
--
xbk


Marque a3 orange fyvhyq - Eugenol
Marc Apap

21/05/2010 à 15h26

Le rest automix prima est largement plus résistant que le stuctur 2 sc


Img 3657 cwjvqm - Eugenol
alapex

21/05/2010 à 18h39

pxav écrivait:
--------------
> les photos
> waw up avec renfort pré formé
> origine
> provisoire haut
> haut et bas
>
> --
> xbk
>



Ca t'em......la paro , ou bien ?