Tous les forums
petit travail du matin
22/05/2010 à 11h59
dentiste57 écrivait:
--------------------
> un p'ti détartrage nom de nom
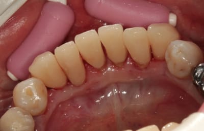
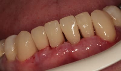
A la réflexion , le patient a une hygiène irréprochable , Pxav a eu la main lourde , la turbine était faussée et la fraise un peu grosse , d'où cette image de coloriage enfantin quand le gamin déborde de partout...lol
22/05/2010 à 13h59
alapex écrivait:
----------------
> dentiste57 écrivait:
> --------------------
> > un p'ti détartrage nom de nom
>
> A la réflexion , le patient a une hygiène irréprochable , Pxav a eu la main lourde , la turbine était faussée et la fraise un peu grosse , d'où cette image de coloriage enfantin quand le gamin déborde de partout...lol
la couleur?
la paro?
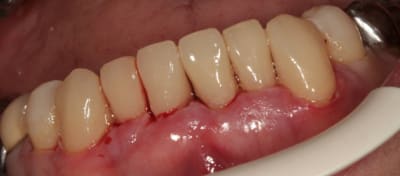
vous avez tout faux, mes amis, après avoir bricolé pendant une bonne année sur les antérieures, j'ai du reconnaitre mon incompétences et extraire (diabète 1.30 peut être en rapport et CI les implants pour moi)
donc extrac et éponges gelatemp d'où la coloration.
--
xbk
23/05/2010 à 14h15
Gelatamp
. Eponge de gélatine résorbable hémostatique, qui garantit une cicatrisation sans problème des plaies fraiches et non infectées. Traitement des plaies cavitaires et alvéolaires Après extraction, résection apicale, perforation de sinus maxillaires, toutes interventions chirurgicales. En prophylaxie infections de plaies, hémorragies secondaires, formation des cavités secondaires. Comme matériau de pansement après chirurgie parodontale. Hémostase initiale rapide. Stabilisation du coagulum. Résorption complète et régulière. Large spectre antibactérien argent colloïdal, avec effet retard de longue durée. Absorbe 55 à 75 fois son propre poids de sang sans se dilater. Livrée stérile. Prête à l emploi. Adaptable à la taille de la plaie ciseaux, scalpel. Une éponge 14 x 7 x 7 mm contient 9,5 mg de gélatine durcie EAB, 0,5 mg d argent colloïdal.. . Conditionnement Boite de 50 pièces.
--
xbk
23/05/2010 à 15h30
Sais tu que tu as du matos gratuit à disposition ?
Pourquoi ne pas utiliser un matériau qui drope la cicatrisation ?
Dès que tu me trouves un side car BMW de l'Africa korps , je remonte avec ma centrifugeuse CE pour PRF , je te ferais les prélèvements moi même ...parce que comme tu le sais faut avoir fait la formation...pour pouvoir .
Non sérieux , fais un essai , un jour , ta pratique évoluera , tu n'en reviendras pas . Même pas tu seras obligé de me dire merci sur nonol .
23/05/2010 à 15h42
alapex écrivait:
----------------
> Non sérieux , fais un essai , un jour , ta pratique évoluera , tu n'en
> reviendras pas . Même pas tu seras obligé de me dire merci sur nonol .
si le matériau miracle existait......
--
xbk
23/05/2010 à 18h14
alapex écrivait:
----------------
> Sais tu que tu as du matos gratuit à disposition ?
Le PRP, PRGF et autre n'est pas gratos...
faut quand même avoir la petite machine...et le kit de prélèvement non ?
> Pourquoi ne pas utiliser un matériau qui drope la cicatrisation ?
«qui drope», sorry, pige pas...
--
Céramik
23/05/2010 à 18h58
Céramik écrivait:
-----------------
> «qui drope», sorry, pige pas...
Un "r" de trop ?
23/05/2010 à 19h00
Céramik écrivait:
-----------------
> alapex écrivait:
> ----------------
> > Sais tu que tu as du matos gratuit à disposition ?
>
>
> Le PRP, PRGF et autre n'est pas gratos...
> faut quand même avoir la petite machine...et le kit de prélèvement non ?
Certes mais tu ne payes pas le sang qui coule dans tes veines , le patient non plus , enfin ça viendra peut-être .
> > Pourquoi ne pas utiliser un matériau qui drope la cicatrisation ?
> «qui drope», sorry, pige pas...
La fibrine est la principale matrice cicatricielle .
04/06/2010 à 03h38
Wow, sous digue en plus !
C'est du HN, la digue ?
On dirait que tu lis mes trucs!
;-)
--
Céramik
04/06/2010 à 09h57
Céramik écrivait:
-----------------
> Wow,
> On dirait que tu lis mes trucs!
>
> ;-)
> --
> Céramik
Ne m'en veux pas Céramik, les bons, voir les très bons, je préfère lire leurs trucs et essayer de les copier, plutôt que de les critiquer, stérilement!
c'est vrai en plus que tu m'interpelle souvent dans ce que tu présente (dans certain cas, à l'opposé de ce que je pense)et après réflexions, je me dis pourquoi pas.
Ps ma pince à clamps pour la digue date de 1978;-))
--
xbk
04/06/2010 à 20h29
héhé, il n'est pas mauvais qu'en implanto...
c'est l'expansion du domaine de la lutte...
keep on the good work camarade.
04/06/2010 à 21h16
alhoun écrivait:
----------------
> héhé, il n'est pas mauvais qu'en implanto...
> keep on the good work camarade.
tant que je serais mauvais comme ça, je dormirais bien.
moi aussi je t'aimes:-))
--
xbk
07/06/2010 à 01h42
pxav écrivait:
--------------
> Ps ma pince à clamps pour la digue date de 1978;-))
>
j'te dis pas quel âge j'avais en '78 !
PS mes trucs, je les ai principalement appris des autres..
et ça me fais plaisir de les voir copiés
--
Céramik
07/06/2010 à 09h27
Céramik écrivait:
-----------------
> j'te dis pas quel âge j'avais en '78 !
La dessus je considère que tu me copie : tu avais tout comme moi 32 ans de moins....;-))
> PS mes trucs, je les ai principalement appris des autres..
et ça me fais plaisir de les voir copiés
> +1
C'est même le seul intérêt de montrer, ceux qui gardent leurs petits secrets pour eux n'ont rien compris.
Merci de m'aider à progresser, Céramik.
> --
> Céramik
--
xbk