Cookie Consent byPrivacyPolicies.comAgénésie de 13 et 23 - Eugenol
Séverine

10/06/2010 à 01h42

Je vois une patiente de 15 ans dans le cadre de MTDents. Je constate que 13 et 23 sont absentes avec 13 que l'on arrive à palper sous la gencive.
Le problème, c'est qu'il n'y a pas du tout de place pour 13 et 23 puisque 12/14 et 22/24 sont en continuité.
La patiente a priori est pas forcément hyper motivée par de l'ortho et elle n'a pas d'autres problèmes par ailleurs.
J'attends la pano pour objectiver 13 et 23 : 13 au moins est présente, on peut la palper au niveau de la gencive.
Du coup, je ne sais pas trop quelle attitude avoir : je pense prendre l'avis d'un ortho de toute façon. Mais, est-ce que çà vaut vraiment le coup ??? Si elle risque d'abandonner son trt en cours, ne vaut-il mieux pas envisager l'extraction de 13 et 23 ???
Je précise qu'elle a eu un trt ortho vers 8-9 ans qu'elle a abandonné déjà. Apparemment, il s'agissait d'un appareil à porter la nuit, mais je n'ai pas pu en savoir plus.

Merci pour vos avis éclairés...

--
Séverine


Avatar hjdsnm - Eugenol
TiGabi

10/06/2010 à 02h04

Elle a la chance de pouvoir bénéficier d'un traitement presque gratuit avec tout le bénéfice esthétique et fonctionnel qui en découle. Il faut lui faire comprendre ce qu'elle y gagnera, la motiver.
Il ne faut pas lui présenter les avulsions de 13/23 comme une alternative acceptable.

---------------

Aujourd'hui, j'ai reçu une petite fille de 7 ans : agénésies "atypiques" car asymétriques : 13-12-22-35.


Logo vuaztn - Eugenol
mac

10/06/2010 à 08h54

Agénésie???


Casque beotien a3jo39 - Eugenol
beotien

10/06/2010 à 09h33

Une agénésie correspond à l'absence de formation d'un organe lors de l'embryogenèse
et c'est pas moi qui le dit


fab33

10/06/2010 à 22h32

je suis ortho, l'agénésie des canines est excessivement rare, il s'agit certainement d'une rétention des dents par manque de place, voire de dents incluses. La bonne atttitude est évidemment d'effectuer un examen radiologique et ensuite d'adresser la patiente à un ortho. Même si le patient ne veut pas faire de traitement, au moins il aura reçu toutes les informations. L'extraction des canines n'est certainement pas la bonne décision.


Avatar ow44t3 - Eugenol
Chicot

10/06/2010 à 23h12

mac écrivait:
-------------
> Agénésie???

ben oui une est palpable, l'autre pas encore.........

lol



--
;O)


Séverine

11/06/2010 à 00h08

Chicot écrivait:
----------------
> mac écrivait:
> -------------
> > Agénésie???
>
> ben oui une est palpable, l'autre pas encore.........
>
> lol
>
>
>
> --
> ;O)


Excusez-moi pour mon erreur : je pensais à absence et j'ai retranscris agénésie. Evidemment, il n'y a pas agénésie de 13, peut-être de 23. J'attends la pano.
Ce que je cherche, ce sont les arguments pour la motiver à entreprendre l'orthodontie. Je vais évidemment la motiver, mais je n'ai pas l'impression que ce soit gagné...
--
Séverine


Gbazylo1 fvg1vg - Eugenol
Aron

11/06/2010 à 18h24

Est-ce que quelqu'un (un ortho?) pourrait expliquer le véritable et indéniable avantage qu'il y a à remettre à toute force les canines en place, vraisemblablement toutes horizontales qu'elles sont, outre l'évident bonheur de se faire ouvrir la gencive du palais et le moindre bonheur (mais plus long heureusement!) de porter un multibague?

Sans rire, si l'on considère tous les éléments en faveur et en défaveur des 2 possibilités, et si l'on considère qu'il n'y a pas de dogme qui prévale, je ne serais pas aussi affirmatif que vous sur l'absolue nécessité du ttt ortho.

En revanche, j'abonde dans le sens de la consultation ODF, au moins la patiente aura tous les éléments en main.


1 eugenol dmj5np - Eugenol
Dancha

11/06/2010 à 21h02

S’il y a effectivement continuité entre les incisives latérales et les premières prémolaires et qu’il n’y a rien d’autre qui justifie un traitement orthodontique par ailleurs, il est inutile de mettre en place un multibague pour tracter et mettre en place des canines incluses.
On peut utiliser un CT8-1, système autonome extrêmement discret tout en étant très efficace.
Si j’ai à choisir entre conserver une prémolaire et conserver une canine, il est évident que c’est cette dernière que je garderai, quitte à la chercher et la tracter si nécessaire avec un CT8-1 lorsqu’elle est incluse. A 15 ans, il n’y a aucune raison de craindre un échec.
Le CT8-1 est simple, très bien toléré, ne se voit quasiment pas et les résultats sont remarquables.

Daniel


Séverine

11/06/2010 à 23h38

Ce que je crains, c'est qu'elle commence le trt et qu'elle abandonne en cours de route. Et là, je pense qu'il vaut mieux rien qu'un trt inachevé...
D'où l'envie d'être persuasive mais de ne pas l'envoyer vers un échec si elle doit arrêter au milieu ...

--
Séverine


Avatar ow44t3 - Eugenol
Chicot

12/06/2010 à 00h45

C'est ses dents, la décision finale lui revient, arrête de t'investir autant.

Pour ta fille tu ferais quoi ? Alors dit lui et basta.

--
;O)


3f3boxni50k58rq7e9ce9ddqrxgk - Eugenol
dentiste57

12/06/2010 à 01h09

un bon coup de pied au cul oui !

pour les parents essentiellement...


1 eugenol dmj5np - Eugenol
Dancha

12/06/2010 à 14h39

Séverine écrivait:
------------------
> Ce que je crains, c'est qu'elle commence le trt et qu'elle abandonne en cours de
> route. Et là, je pense qu'il vaut mieux rien qu'un trt inachevé...
> D'où l'envie d'être persuasive mais de ne pas l'envoyer vers un échec si elle
> doit arrêter au milieu ...


A 15 ans, c’est normal qu’elle réagisse comme ça, mets-toi à sa place !
Tu te serais vu, toi, à cet âge là, avec un appareillage comme les gamins sans même savoir combien de temps ça durera ?

Dis lui qu’on est au XXIème siècle, qu’on peut faire en sorte qu’elle n’ait quasiment rien de visible dans la bouche et que ça se passera très bien. Personne ne verra rien.
Il n'y a alors aucune raison de craindre qu'elle abandonne.

Et si ton orthodontiste n’est pas familiarisé avec les CT8-1, dis-lui qu’un article très documenté et très didactique a été publié là-dessus dans la Revue d’ODF (volume 43/n°1-mars 2009). Tu peux lui dire aussi qu'une conférence sera donnée sur le sujet aux JO de novembre prochain et si cela ne lui suffit pas qu'un cours d'une journée avec TP est programmée par la Société Française d'ODF à Paris en novembre 2011..

Je suis orthodontiste, je dégage et je tracte les canines moi-même de cette façon avec bonheur depuis plusieurs années et si c’était ma fille je le ferais sans l’ombre d’une hésitation.

Daniel


Séverine

12/06/2010 à 20h38

dentiste57 écrivait:
--------------------
> un bon coup de pied au cul oui !
>
> pour les parents essentiellement...

Je suis assez d'accord : je suis toujours surprise du nombre de mômes qui décident eux-même de faire ou pas le trt ortho, ou da faire ou pas les soins ou la pano prescrite !!! Je suis d'accord que ce n'est pas à eux de décider mais dans les faits quand çà se passe comme çà, c'est toujours affligeant pour moi !
--
Séverine


EloD

14/06/2010 à 15h43

ça veut dire quoi "CT8-1", et ça vient d'ou? T'aurais pas une titite Photo. S'il te plait, Missieux?


1 eugenol dmj5np - Eugenol
Dancha

14/06/2010 à 19h31

EloD écrivait:
--------------
> ça veut dire quoi "CT8-1", et ça vient d'ou? T'aurais pas une titite Photo. S'il
> te plait, Missieux?

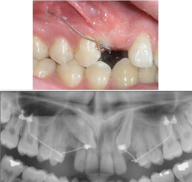
Le « CT8-1 » (Cortical TMA, terminaison en forme de « 8 », 1 brin) est une des différentes connectiques des « nouveaux ancrages sous-muqueux » que nous avons développés et qui concurrencent directement les plaques vissées sans en avoir les inconvénients. Il y en a quatre types suivant le nombre de contrôles directionnels souhaités. Avec le CT8-1, on a du « 3D ».

Sa terminaison en forme de « 8 » permet de fixer deux vis côte à côte, son long brin faisant office de ressort de traction.

Sa fabrication et son utilisation sont détaillés dans l’article de la Revue d’ODF de mars 2009 qui s’intitule « Un dispositif à ancrage squelettique pour la traction et la mise en place des canines incluses ». Je peux éventuellement en envoyer un « tiré à part » en pdf à ceux qui le souhaiteraient s’ils me donnent en MP leur nom et leur adresse mail.

Daniel

Ct8 1 - Eugenol

EloD

15/06/2010 à 11h46

Merci. C'est interessant.
J'émets 2 bémols :
1. Je ne vois pas le côté "3D" du système
2. Si ta canine arrive en rotation sur l'arcade ( ce qui est fréquemment le cas), il faudra bien appareiller plus largement afin de la positionner correctement? idem en cas de version et/ou de besoin de torque? et dans ce cas ne perds tu pas le bénéfice de l'aspect "peu visible" de ce dispositif?


Avatar transparent iqadnc - Eugenol
adhoc

15/06/2010 à 16h19

dancha, ton cas exposé laisse une autoroute pour la 23....
Le cas exposé est 24 14 a la place des 3, c a dire continuité.
As tu une iconographie et des exemples de traitement qui tienne compte de ce cas particulier? avec une ch'tite classe II, en plus, pour ne rien gacher!!!!


1 eugenol dmj5np - Eugenol
Dancha

15/06/2010 à 20h44

EloD écrivait:
--------------
> ..
> 1. Je ne vois pas le côté "3D" du système

Le fait d’avoir un appui sur deux vis permet de faire agir la traction, au choix, dans les trois directions de l’espace.

> 2. Si ta canine arrive en rotation sur l'arcade (ce qui est fréquemment le
> cas), il faudra bien appareiller plus largement afin de la positionner
> correctement? idem en cas de version et/ou de besoin de torque? et dans ce cas
> ne perds tu pas le bénéfice de l'aspect "peu visible" de ce dispositif?

Non, ce n’est pas forcément nécessaire, il y a d’ailleurs dans l’article quelques exemples où des canines ont été redressées en fin de traction grâce au même fil, en changeant simplement son accrochage et son mode d’action.

Ajoutons qu’il y a d’autres avantages à ce système (liste non exhaustive):
- Puisqu’il n’y a aucun ancrage dentaire nécessaire, il n’y pas de risque de mouvements intempestifs des autres dents suite à la traction.
- Comme les dents adjacentes ne sont pas attachées dans un dispositif contraignant, elles peuvent se déplacer spontanément pour laisser passer la canine (« poussez-vous, que je m’y mette.. »). Il n’est donc pas forcément nécessaire de lui faire une place suffisante avant de tracter, comme c’est le cas classiquement. La canine force le passage.
- Et même si on prévoit un traitement orthodontique par ailleurs, quel confort pour le patient de n’être appareillé que lorsque la canine est en place. Cela lui raccourcit d’autant le traitement.
- ..

Daniel


EloD

16/06/2010 à 11h59

Thanks for your explanations and point of view !!


1 p3qrc4 - Eugenol
Bjc.

17/06/2010 à 16h12

"""- Comme les dents adjacentes ne sont pas attachées dans un dispositif contraignant, elles peuvent se déplacer spontanément pour laisser passer la canine (« poussez-vous, que je m’y mette.. »). Il n’est donc pas forcément nécessaire de lui faire une place suffisante avant de tracter, comme c’est le cas classiquement. La canine force le passage. """
dixit Dancha


un système qui choisi tout seul de reculer 4/5/6/7 et de ne pas verso-vestibuler les Ant.,... plus de Pbs. d'ancrages... !
merveilleux, vous m'en mettrez deux douzaines

@+ Bjc.


EloD

17/06/2010 à 17h18

Bjc, je pense que dans le cas présentement proposé à discussion, le dispositif évoqué par Dancha est envisageable après extraction de la 4, cette dernière étant accolée à l'incisive latérale. Ceci permet de mettre la canine en place sans mb...c'est une solution, avec ses avantages et ses inconvénients.


1 eugenol dmj5np - Eugenol
Dancha

17/06/2010 à 22h18

EloD écrivait:
--------------
> Bjc, je pense que dans le cas présentement proposé à discussion, le dispositif
> évoqué par Dancha est envisageable après extraction de la 4, cette dernière..

Tu as parfaitement raison, EloD. J'avais d'ailleurs écrit textuellement plus haut :

"Si j’ai à choisir entre conserver une prémolaire et conserver une canine, il est évident que c’est cette dernière que je garderai, quitte à la chercher et la tracter si nécessaire avec un CT8-1 lorsqu’elle est incluse. A 15 ans, il n’y a aucune raison de craindre un échec.
Le CT8-1 est simple, très bien toléré, ne se voit quasiment pas et les résultats sont remarquables. "

Voici d'ailleurs un complément d'information sur la partie destinée à être enfouie.

Daniel

Fiche vis 12 h5oy0f - Eugenol

Gbazylo1 fvg1vg - Eugenol
Aron

18/06/2010 à 20h06

Pour résumer: choix entre

- abstention thérapeutique avec des 4 certes en malposition mais qui y sont venues toutes seules, dans un certain équilibre dento-musculaire. Éventuellement une surveillance occlusale pour vérifier les interférences en latéralité sur parodonte fin plus tard.

- dégagement chir des 13 23, pose de 2 vis d'ostéosynthèse au niveau de l'apex des 6, pose du CT8-1, procédé soumis ici même à controverse, voire à dédain (si j'ai bien lu), j'allais dire "vendu" par dancha, qui a participé à sa mise au point.
Extraction vraisemblable des 4 ou antériorisation de 12 11 etc... suivi donc d'un multibague pour tout remodeler.
Le tout pour une gamine qui a déjà arrêté son ttt odf (sacrés parents, la petite...) une fois.

Hum, le choix n'est pas évident...


Avatar transparent iqadnc - Eugenol
adhoc

19/06/2010 à 13h06

>Extraction vraisemblable des 4 ou antériorisation de 12 11 etc... suivi donc d'un multibague pour tout remodeler.
<

Si multiattaches, tu n'as pas besoin du (bon) procédé dancha , qui devient redondant (pas dancha, le traitement:-): ta mise en place chirurgico ortho devient alors classique.

Sinon, tu as mal lu, en effet , aron, le procédé de dancha est extra si non multiattaches, mais tu as eu avant ton inscription une floppée de vierges effaouchées qui disaient 'moi extraction des 4, JAMAIS!' M'font ben marrer!


12