Cookie Consent byPrivacyPolicies.comcratérisation importante avec le krestal - Eugenol

cratérisation importante avec le krestal

trimarc

14/06/2010 à 02h07

Je vais peut être me faire haïr, mais je me pose une grosse question existentielle.
En 15 jours, j'ai fais rappeller tous les patients à qui j'avais posé du krestal soit environ 75 (j'avais un gros doute): résultat 75% des implants ont une cratérisation importante: de 2 à 4 mm en 1 an. Jamais vu avec SERF ou NOBEL.
Qui est dans mon cas?

Les réponses du style: zéro recul, zéro étude clinique ne seront pas très productives!!!


Fresh watermelon 640x562 udulqz - Eugenol
gulguch

14/06/2010 à 02h23

Implant conique + trés autotaraudant = on arrive toujours à le visser = tendance à sous-forer = forte compression crestale = vascularisation altérée.
Alése plus, ou change d'implant.
Rappelle toi, du temps des implants peu autotaraudants, de la fraise de counter-sink, du taraud spécial os dur..


trimarc

14/06/2010 à 02h27

je suis d'accord avec toi, mais je passe toujours le foret terminal sur 1/3 de la longeur justement pour éviter la compression crestale


Fresh watermelon 640x562 udulqz - Eugenol
gulguch

14/06/2010 à 02h38

Passe le peut-être sur toute la longueur.. le krestal est un des innombrables fils sprirituels de l'Alpha Bio Spiral que j'ai utilisé longtemps. Bon la tenue est miraculeuse, ça donne un sentiment de sécurité excessif, mais il faut se méfier dans l'os non mou, vu la conicité.
De plus, mais ce n'est que mon avis personnel, c'est totalement incompatible avec la mode actuelle des torques élevés; look, le meme torque sur un implant cylindrique, un Serf EVL par exemple donne infiniment moins de pression dans l'os crestal.


Img 8465 fqhxid - Eugenol
noahaxeltiger-olivier

14/06/2010 à 08h20

trimarc écrivait:
-----------------
> zéro recul, zéro étude clinique


Ben t'as tout dit. En gros c'est toi qui essuies les platres. Mais n'en veux pas à Tekka .... Tu savais tres bien quand tu as acqui ce systeme que son support scientifique avec experimentation chez l'animal et l'homme etait inexistant.
En bref quand on joue et bien c'est pas toujours qu'on gagne.

Cependant tu fais preuve d'un grand professionnalisme en reconvoquant tous tes patients ayant recu cet implant!!!
Bon courage pour la suite. Je te conseille de rentrer tres vite en contact avec Tekka et de demander des explications scientifiquememt valables! (fais en sorte de retrouver les numero de lots, le protocole de forage, toute la documentation clinique et radio de chaque patient avant et après la pose implantaire).

amicalement
olivier


Logo vuaztn - Eugenol
mac

14/06/2010 à 10h18

as tu des radios à nous montrer?


sinclair

14/06/2010 à 12h46

l'EVL avait une partie dans son forêt teminal pour préparer la partie crestale
on ne peut pas, à mon sens, avoir la même réduction de diamètre entre l'implant et le forêt pour l'os crestal et spongieux
je pense qu'il faut revenir vers des systèmes qui envisagent une préparation spécifique de l'os crestal


Little shop of horrors brzqjx - Eugenol
chatondecarte

14/06/2010 à 13h36

d'où l'intérêt des forets étagés.


Avatar ow44t3 - Eugenol
Chicot

14/06/2010 à 16h08

chatondecarte écrivait:
-----------------------
> d'où l'intérêt des forets étagés.

c'est pas si simple car ces forets étagés nous imposent un changement de diamètre là ou l'ingénieur l'a décidé.

Je préfère une trousse qui comporte bcp de forets de diamètre croissant comme chez la straight de chez Nobel:
pour poser un 4mm il faut passer 3 forets mais on peut en passer un terminal plus fin ou terminer avec un plus gros--> 5 forets dispo. Pour un 5 mm il y a 7 forets dispo, de quoi étager à volonté, là ou on veut. Et un taraud est dispo en plus

J'ai eu le même problème de cratérisation sur le speedy de nobel en os DI er DII

Pour des raisons de stock, pdt un moment j'ai posé essentiellement du speedy, et là arghhh perte de 2 à 3 mm sur la première année en os DI et même DII Mandibulaire. Mais c'est stable après un an.
J'en ai parlé à l'époque au commercial qui avait l'air étonné.....

Ce type d'implant compressif est à réserver aux sites post extractionnels récents ou au maxillaire post.


--
;O)


Img 8465 fqhxid - Eugenol
noahaxeltiger-olivier

14/06/2010 à 16h14

Chicot écrivait:
----------------
> J'en ai parlé à l'époque au commercial qui avait l'air étonné.....

Enfin Chicot, parce que tu crois que le commercial à les connaissances suffisantes pour te répondre. Toi tu as fait des formations approfondies en biologie (CES et autres) avant de faire différents D.U. Il est indéniable que TU as une expérience clinique que ne peut avoir le commercial!!! Lui, au meilleur des cas c'est sur des machoires en plastiques qu'il s'est essayé à poser au maximum 5 implants ....


sinclair

14/06/2010 à 16h52

il y a sans doute plus simple que de multiplier le nombre de forêts
en passant un dernier forêt "countersink" conique dont l'enfoncement varie en fonction de la densité osseuse rencontrée

Countersink oleni8 - Eugenol

Avatar ow44t3 - Eugenol
Chicot

14/06/2010 à 18h58

noahaxeltiger-olivier écrivait:
-------------------------------
> Chicot écrivait:
> ----------------
> > J'en ai parlé à l'époque au commercial qui avait l'air étonné.....
>
> Enfin Chicot, parce que tu crois que le commercial à les connaissances
> suffisantes pour te répondre. Toi tu as fait des formations approfondies en
> biologie (CES et autres) avant de faire différents D.U. Il est indéniable que TU
> as une expérience clinique que ne peut avoir le commercial!!! Lui, au meilleur
> des cas c'est sur des machoires en plastiques qu'il s'est essayé à poser au
> maximum 5 implants ....


lol


les .... c'était pour l'humour car les commerciaux sont ce qu'ils sont: des vendeurs !!!

on est tj les seuls à avoir des problèmes, et puis lorsque l'on en parle entre confrères, on se rend compte que l'on est loin d'être le seul !!!

d'où l'intérêt aussi d'aller su nonol

--
;O)


Fresh watermelon 640x562 udulqz - Eugenol
gulguch

14/06/2010 à 20h02

+1 avec tout le monde.
On sous estime la pression hydraulique engendrée par ce genre de vis à bois; une fois j'en mets un sur une 7 du bas et j'étais à + de 2mm du nerf: le patient, des l'implant en place se plaint de douleurs violentes, je me dis, bon je vais le dévisser un peu. Des que j'ai commencé à dévisser la vis de couverture, en fait, la douleur a disparu.


Blason dql7mj - Eugenol
growler

14/06/2010 à 20h30

sinclair écrivait:
------------------
> il y a sans doute plus simple que de multiplier le nombre de forêts
> en passant un dernier forêt "countersink" conique dont l'enfoncement varie en
> fonction de la densité osseuse rencontrée

oui sinclair, ce système permet vraiment de s'adapter à chaque situation de densité.


trimarc

14/06/2010 à 20h31

mac écrivait:
-------------
> as tu des radios à nous montrer?

je les prends demain au cabinet et je les poste


trimarc

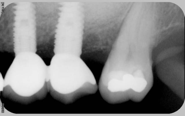
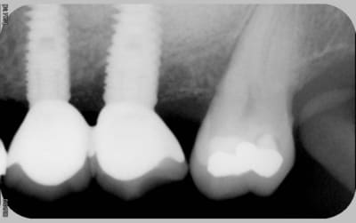
16/06/2010 à 16h05

comme promis

voici les cas vus ce mardi (il me manquait encore 10 patients: sur les 5 autres, tout est ok)

ps: la carie et le tartre sur la 7 ont été traités

017 igun75 - Eugenol
022 cbem89 - Eugenol
025 idfegw - Eugenol
042 pchisn - Eugenol
051 u3e9fm - Eugenol

Photo pluton1b h9n4ea - Eugenol
pluton

16/06/2010 à 16h28

comme je l'ai dit sur un autre post, j'ai le même problème que toi avec les implants drive...qui ont le même concepteur (ou co-concepteur)...à savoir Fromental...
les seuls implants qui vont bien (vraiment bien) sont ceux placé dans de l'os D3/D4 avec blocage à moins de 40Ncm...pour les autres, mêmes types de cratérisations qui s'arrêtent à la première grosse spire...
heureusement pour moi, peu d'implants en cause, et pas dans des secteurs esthétiques...
je pense que je vais systématiquement passer le foret terminal pour tous les types d'os (alors que normalement prévu que pour os D1/D2) pour ne pas dépasser cette valeur de 40Ncm...
problème...dans ces conditions, faut qu'ils arrêtent de "vanter" que les implants peuvent faire du 1 temps chir...


Utilisateur banni

16/06/2010 à 16h28

aurais-tu des radios des même cas le jour de la pose ?


Little shop of horrors brzqjx - Eugenol
chatondecarte

16/06/2010 à 18h39

ca cratérise que sur la radio ou y a un sondage aussi?


Logo vuaztn - Eugenol
mac

16/06/2010 à 19h03

pluton écrivait:
----------------
> comme je l'ai dit sur un autre post, j'ai le même problème que toi avec les
> implants drive



peux tu m'expliquer pourquoi tu trouves ces implants super alors?

y a quelque chose qui m'échappe...


Photo pluton1b h9n4ea - Eugenol
pluton

16/06/2010 à 19h33

mac écrivait:
-------------

> peux tu m'expliquer pourquoi tu trouves ces implants super alors?
>
> y a quelque chose qui m'échappe...

ahhh!!!
mac se réveille...j'sais pas pourquoi, je la sentais venir, la question...

ce que j'avais trouvé super: leur système de forets étagés avec butées de forage...très bien conçus...et d'une coupe tout simplement incroyable...

maintenant, retour des cas posés...et là, les résultats ne sont pas ceux escomptés...


Logo vuaztn - Eugenol
mac

16/06/2010 à 19h38

pluton écrivait:
----------------
> mac écrivait:
> -------------
>
> > peux tu m'expliquer pourquoi tu trouves ces implants super alors?
> >
> > y a quelque chose qui m'échappe...
>
> ahhh!!!
> mac se réveille...j'sais pas pourquoi, je la sentais venir, la question...
>
> ce que j'avais trouvé super: leur système de forets étagés avec butées de
> forage...très bien conçus...et d'une coupe tout simplement incroyable...
>
> maintenant, retour des cas posés...et là, les résultats ne sont pas ceux
> escomptés...


c'est pas sympa pour les confrères d'avoir fait la pub de ces implants depuis des mois alors que tu as des problèmes avec.


Logo vuaztn - Eugenol
mac

16/06/2010 à 19h40

trimarc écrivait:
-----------------
> comme promis
>
> voici les cas vus ce mardi (il me manquait encore 10 patients: sur les 5 autres,
> tout est ok)
>
> ps: la carie et le tartre sur la 7 ont été traités


as tu fait un sondage.

l'implant en centrale as tu une photo?
que comptes tu faire? le déposer?

que dit tekka?


Photo pluton1b h9n4ea - Eugenol
pluton

16/06/2010 à 19h58

mac écrivait:
-------------

> c'est pas sympa pour les confrères d'avoir fait la pub de ces implants depuis
> des mois alors que tu as des problèmes avec.

les problèmes, je viens de les découvrir, ok?
tu penses que çà m'enchante?
tu crois pas que c'est plus honnête de ma part de vous en tenir informé plutôt que de garder çà pour moi? surtout que ce système, (d'apparence au final) très simple d'emploi semblait indiqué pour ceux qui débutent en implanto...

maintenant, j'ai toujours été clair...je vous ai dit que les forets étaient épatants, que l'insertion de l'implant était agréable...
maintenant, je vous donne le retour clinique...


Blason dql7mj - Eugenol
growler

16/06/2010 à 19h59

ça reste de la connexion plat sur plat c'est à dire peu étanche et avec un micro-gap variable sous la contrainte mécanique occlusale.


il existe dorénavant pas mal de marques proposant des connexions coniques, allant du 11° type Astra jusqu'au cone morse (par exemple ankylos) plus étanches et stables mécaniquement.

je suis par ailleurs assez étonné des problèmes de calibrage de forets qui se font jour pour certaines marques, parfois 4 à 6 mois après le lancement d'un nouvel implant. On reçoit un nouveau jeu de foret remplaçant les premiers avec comme raison invoquée une meilleure calibration évitant un trop fort torque à l'insertion.

C'est mieux de poser des implants où le recul est plus important et pour lesquelles un vrai protocole de forage largement testé est précisément décrit.


12...