Cookie Consent byPrivacyPolicies.combeotien content - Eugenol
Casque beotien a3jo39 - Eugenol
beotien

19/06/2010 à 13h30

jeune fille pour une désinclusion de 23, 10 ans sur la carte vitale, dentition en avance pour son age

je suis content car l'intervention est banale, mais je n'en avais jamais trouvé autant, + 2 autres dans l'aspiration

la mise en traction c'est un associé ortho

sur la pano j'étais parti pour 2 surnuméraires

pour la cotation je note quoi?

ex° 63 + 10 germes?


M1 ijybap - Eugenol
Ph3 ylli4v - Eugenol
Ph1 hqfodm - Eugenol
Ph2 kudev9 - Eugenol
Ph4 zdoum5 - Eugenol
Ph5 hizfyu - Eugenol

Logo m4n3gc - Eugenol
drmarcus

19/06/2010 à 14h07

Nouveaux implants? Il faut creer une banque de bourgeon LOL


Canin

19/06/2010 à 14h51

Avant tout, je pense qu'il y a un problème de contraste sur ton appareil photo, le fond est vraiment très foncé voir noir !!! :-)

Sinon c'est un odontome composé ton truc = tumeur odontogène

DOnc tu cotes en principe : avulsion d'un odontoïde ou d'une dent surnuméraire = dc 40

si le collage est fait par ton collègue ortho, tu peux rien coter d'autre.

j'imagine que tu ne fais pas ce genre d'actes pour gagner ta vie


faudra nous montrer quand la dent est en place
--
Canin


Avatar transparent iqadnc - Eugenol
adhoc

19/06/2010 à 19h30

Question toute bete, mon beotien, l'ortho associé a du faire le collage juste avant l'excision du "machin", non?
Good job, en tout cas, chapeau!


S2y2o1v7q53ws4r5wy6ou8czrpom - Eugenol
pxav

19/06/2010 à 22h49

Canin écrivait:
---------------
> Avant tout, je pense qu'il y a un problème de contraste sur ton appareil photo,
> le fond est vraiment très foncé voir noir !!! :-)
>
en tout cas je dis chapeau pour les photos parce que maintenant elles sont top!

--
xbk


Casque beotien a3jo39 - Eugenol
beotien

20/06/2010 à 10h01

drmarcus écrivait:
------------------
> Nouveaux implants? Il faut creer une banque de bourgeon LOL

C'est trop tard , on a déjà un chercheur du coté de marseille qui va les faire repousser


Casque beotien a3jo39 - Eugenol
beotien

20/06/2010 à 10h17

Canin écrivait:
---------------
> Sinon c'est un odontome composé ton truc = tumeur odontogène

Sans doute hormis les deux surnumerairaires tout était dans un sac, mais comme, je ne m'y attendais pas je ne peux pas dire s'il était fermé ou ouvert.

> DOnc tu cotes en principe : avulsion d'un odontoïde ou d'une dent surnuméraire = dc 40

cotation 53 dc? je sais meme pas
puis DC50+ 50/2 , je fais cadeau des germes

> si le collage est fait par ton collègue ortho, tu peux rien coter d'autre.
> j'imagine que tu ne fais pas ce genre d'actes pour gagner ta vie

tu as raison, c'est moins rentable qu'un "boulon"
Le plaisir c'est de gérer sous AL un enfant (10ans dans ce cas), les assistantes doivent être au top.
>
> faudra nous montrer quand la dent est en place
Sans problème ce ne sera pas long, elle est déjà en traction


Canin

20/06/2010 à 12h27

beotien écrivait:
-----------------
>
> cotation 53 dc? je sais meme pas
> puis DC50+ 50/2 , je fais cadeau des germes

J'ai pas compris le dc 53 et dc 50 ???

si tu estimes avoir globalement enlever 2 odontoïdes alors tu comptes dc 40 + dc 40/2

Puis bien sûr tu as le droit de coter l'extraction de la dent de lait en plus car pas le même type d'acte DC8


Au final tu auras en global DC68, ça te paye au moins le fil, la lame de bistouri l'AL et la sté.

--
Canin


Casque beotien a3jo39 - Eugenol
beotien

20/06/2010 à 23h20

Canin écrivait:
---------------
> beotien écrivait:
> J'ai pas compris le dc 53 et dc 50 ???

tu raison la dent de lait c'était une 63
>
> si tu estimes avoir globalement enlever 2 odontoïdes alors tu comptes dc 40 + dc 40/2

Ce sont 2 "canines incluses" meme petites DC 50+ DC50/2+ DC8

> Au final tu auras en global DC68, ça te paye au moins le fil, la lame de bistouri l'AL et la sté.

Donc au final DC 83 tu as oublié qu'il faut aussi payer le bracket et l'élastique


Casque beotien a3jo39 - Eugenol
beotien

20/06/2010 à 23h48

adhoc écrivait:
---------------
> Question toute bete, mon beotien, l'ortho associé a du faire le collage juste
> avant l'excision du "machin", non?
> Good job, en tout cas, chapeau!

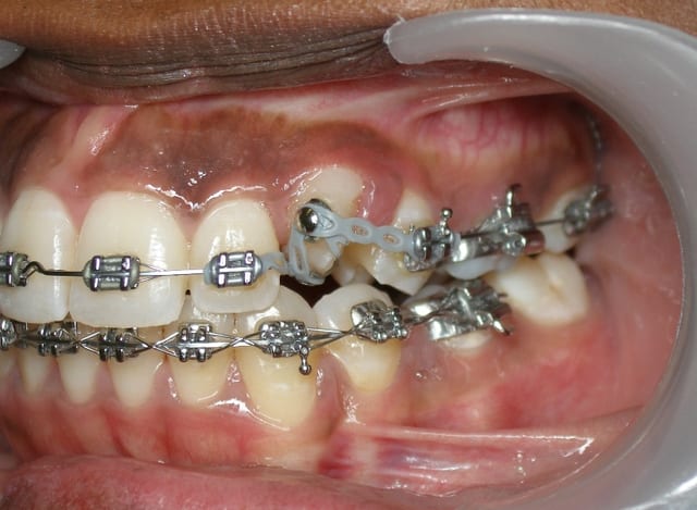
Merci chef, Un ortho qui s'interesse çà fait plaisir

Pour ce cas collage de l'arcade 15 jours avant
sur la photo 2 on distingue les 2 germes l'un au dessus de l'autre (eh non pxav je n'y arrive tjrs pas pour les photos)
trajet , "excision" sinon cela saigne un peu trop, dégagement de la couronne a minima,collage pose de la chainette en traction, régularisation des cretes, sutures
30 minutes entre l'entrée et la sortie de la patiente
dans 8 jours contrôle et pose d'un mainteneur d'espace


Canin

21/06/2010 à 00h24

beotien écrivait:
-----------------
> Canin écrivait:
> ---------------
> > beotien écrivait:
> > J'ai pas compris le dc 53 et dc 50 ???
>
> tu raison la dent de lait c'était une 63
> >
> > si tu estimes avoir globalement enlever 2 odontoïdes alors tu comptes dc 40 +
> dc 40/2
>
> Ce sont 2 "canines incluses" meme petites DC 50+ DC50/2+ DC8
>
> > Au final tu auras en global DC68, ça te paye au moins le fil, la lame de
> bistouri l'AL et la sté.
>
> Donc au final DC 83 tu as oublié qu'il faut aussi payer le bracket et
> l'élastique
>



POur le DC 50 je pense pas car il ne s'applique d'après moi qu'aux canines incluses DEFINITIVES. L'odontoïde c'est DC 40 en toute rigueur même si tu es dans le site 23.

Le prix du bracket et chainette c'est cadeau de l'ortho, ça rentre dans le cadre de son traitement coté en TO puisque c'est lui qui a fait le collage.

--
Canin


Casque beotien a3jo39 - Eugenol
beotien

21/06/2010 à 12h04

mdr
elles ne seront plus jamais définitives


19066 1223810679128 1344811835 30546764 2261510 n medium ozxaxj - Eugenol
vitalic

22/06/2010 à 10h17

Canin écrivait:
---------------
> Avant tout, je pense qu'il y a un problème de contraste sur ton appareil photo,
> le fond est vraiment très foncé voir noir !!! :-)


excellent :)))))))))


EloD

22/06/2010 à 12h00

beotien écrivait:
-----------------
>
> la mise en traction c'est un associé ortho

Pour info, il est préférable :

1. de faire le collage avec un anneau ou bouton à bords mousses, afin de limiter le traumatisme de la gencive. Le bracket sera positionné en supra-gingival. Il est de toute façon quasiment impossible de le placer correctement en première intention.

2. d'utiliser un auxiliaire métallique ( ligature avec toron, chainette or...) dans la partie sous muqueuse et de réserver la chainette ou fil élastomérique à la zone supra-gingivale.


Casque beotien a3jo39 - Eugenol
beotien

22/06/2010 à 21h25

EloD écrivait:
--------------

> 1. de faire le collage avec un anneau ou bouton à bords mousses, afin de limiter
> le traumatisme de la gencive. Le bracket sera positionné en supra-gingival. Il
> est de toute façon quasiment impossible de le placer correctement en première
> intention.
>
> 2. d'utiliser un auxiliaire métallique ( ligature avec toron, chainette or...) dans la partie sous muqueuse et de réserver la chainette ou fil élastomérique à
> la zone supra-gingivale.

je te remercie pour toutes ces infos qui me seront tres utiles
lors de ma prochaine désinclusion!
Peux tu avoir la gentillesse de mettre un de tes cas que l'on comprenne mieux


Canin

22/06/2010 à 23h38

vitalic écrivait:
-----------------
> Canin écrivait:
> ---------------
> > Avant tout, je pense qu'il y a un problème de contraste sur ton appareil
> photo,
> > le fond est vraiment très foncé voir noir !!! :-)
>
>
> excellent :)))))))))


enfin, au moins un qui réagit à mes supers vannes !

--
Canin


Photo pluton1b h9n4ea - Eugenol
pluton

23/06/2010 à 00h12

beotien écrivait:
-----------------

> je te remercie pour toutes ces infos qui me seront tres utiles
> lors de ma prochaine désinclusion!
> Peux tu avoir la gentillesse de mettre un de tes cas que l'on comprenne mieux

le truc que j'utilise le plus: une petite boucle avec du fil (0,10 ou 0,08) que je colle direct sur la dent avec du compo flow...
je double l'arc avec un NiTi 0,12 sur lequel je viens fixer le fil avec un toron en activant bien l'arc titane...
promis...je fais des photos pour la prochaine...


EloD

23/06/2010 à 19h24

Bonne idée la boucle de "Pluton".

voici un cas/ jeune adulte 20ans/
collage du bouton en sous-gengival

Zz 2 ssdlja - Eugenol
Zz 1 hxvhy2 - Eugenol

EloD

23/06/2010 à 19h26

retournement de la canine

Zz 4 neua2l - Eugenol
Zz 3 v8flxm - Eugenol

EloD

23/06/2010 à 19h27

collage br

Zz 4 2 bzijdx - Eugenol

EloD

23/06/2010 à 19h32

et fin...

dsl pour la qualité du miroir...trop pourri...je l'ai renvoyé depuis.

Mais puisqu'on m'a demandé qq photos et que jsuis bien élévée...

Zz 7 opkfia - Eugenol
Zz 6 rxta4x - Eugenol
Zz 5 ppzcw6 - Eugenol

Photo pluton1b h9n4ea - Eugenol
pluton

24/06/2010 à 01h01

EloD écrivait:
--------------
> Bonne idée la boucle de "Pluton".

merci...pas bête non plus la chainette qui fais le tour de la dent pour la faire tourner...

pour le P de pluton...pas la peine d'y mettre une majuscule...je n'ai pas cette prétention...;-)

promis je mets de photos de ma prochaine canine incluse...
j'en ai une sûre dans quelque mois...plutôt "hot"...parce qu'elle est bloquée...dans l'épine nasale...de la bonne grosse chir...;-))


Dentiste oa9i0v - Eugenol
DavierCrocket

25/06/2010 à 14h13

Pour EloD:

faisant pas mal de chir ortho (copains dans le métier), nous on a arrêté le métal en sous gingival: cicat fibreuse et c'est plus souvent le bracket qui fait éruption que la dent en labourant bien la gencive au passage.

par contre, tu peux utiliser une chainette dont tu noies 2 anneaux dans du compo flow et tu attends bien qu'il s'étale avant de polymériser; ça te fait une canine juste un peu plus bombée et pas de décollement (jamais eu en 10 ans) car tu es sur de ta polym/bracket opaque (à moins que colle auto mais galère car long à prendre qd ça saigne un peu).
l'ortho colle son bracket une fois la dent émérgée (donc faisable sans) et de toute façon collage difficile en chir que le spé refera pour son ttt.

autre avantage: s'adapte sur les faces palatines en cas de dent tournée alors quun bracket vestibulaire ne va pas tjrs sur ces faces.

la chainette élasto en plus est super bien tolérée/fil: seul hic, l'elastomérique est à réserver à des tractions courtes (enfant, dent en assez bonne position) car si la traction traine, elle peut se casser: sinon mini vis sur la crête pour augmenter la force de traction sans effet parasite sur les dents en place.

enfin c'est ma méthode, elle en vaut certainement d'autre. a bon entendeur, amitiés adhésives.


1 eugenol dmj5np - Eugenol
Dancha

28/06/2010 à 14h31

Pour DavierCrocket

C’est étonnant ce que tu dis, j’ai moi-même toujours utilisé des ligatures métalliques pour tracter les dents incluses et pourtant je n’ai jamais observé de cicatrisations fibreuses ni de labourages de gencive. Je suis orthodontiste qualifié et je m'impose de les dégager moi-même chirurgicalement où qu'elles soient avant de les coller et ce depuis plus de trente ans !

Il m’arrive souvent de noyer comme toi une chaînette dans du « flow » pour la coller directement sur une couronne, mais toujours sur une dent qui a fait éruption, le plus souvent une prémolaire qui est arrivée à 90 ou 180° et pour laquelle on manque de place en vestibulaire pour coller autre chose.

Il m’arrive de temps en temps (très rarement) de coller directement la ligature sur la couronne d’une dent incluse, c’est alors l’extrémité en anneau de son toron que je colle. On a alors les mêmes avantages que tu décris mais on a aussi un inconvénient qui est le manque de liberté qu’on impose à la dent qu’on tracte, et dans les cas où elle est particulièrement loin et où sa venue est acrobatique, cette rigidité peut être un frein à son déplacement.

Comme tu le dis bien, la méthode avec chaînette telle que tu l’exposes n’est utilisable que lorsque la canine est très proche. Lorsque qu’elle est loin et que le placement d’une vis dans le septum n’est pas possible, que fais-tu ?

Dans ces deux cas-ci dont je joins les photos, je ne vois pas très bien comment tu aurais pu faire avec ta méthode. Le premier avait 4 canines incluses, j’ai utilisé un système traditionnel en haut (boutons collés sur les couronnes, ligatures et traction par cantilever) et des ligatures collées directement sur les couronnes et traction par CT8-1 en bas. Pour le second, je me suis servi de l’alvéole déshabitée de la 53 pour passer la ligature, avec un CT8-1. Dans ce dernier cas, où aurais-tu mis ta vis ?

Daniel

Canine 1 lvpmga - Eugenol
Canine 2 owzd04 - Eugenol

3f3boxni50k58rq7e9ce9ddqrxgk - Eugenol
dentiste57

28/06/2010 à 15h54

tu sembles ne pas trop apprécier les chainettes en or ?

que me conseillerai tu ? et pourquoi ? je vois que tu fais toi même tes chir, tu as raison, on est jamais mieux servi que par soit même...


12