Cookie Consent byPrivacyPolicies.comFausse route: une petite idée??? - Eugenol

Fausse route: une petite idée???

leroux

02/07/2010 à 18h38

Bonjour à tous,

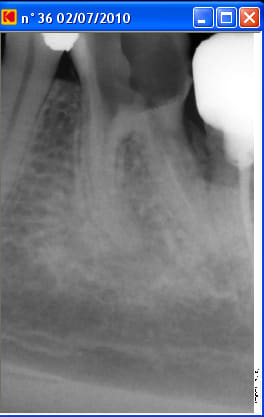
Un patient est venu pour la première fois en urgences pour douleur mandibulaire gauche: bilan radioclarté apicale sous la racine mésiale de 36, test percussion +++, ATB, disparition des douleurs à ce jour.

A la radio il y a une fausse route dans la racine mésiale.

J'ai élargi la cavité d'accés, ouvert les entrées canalaires bien évidemment j'irrigue à fond.Désole mais je mets pas la digue encore à chaque fois.

J'ai réussi une fois à passer la fausse route et aller à l'apex à la lime 8. J'ai raclé au maximun les parois du canal.

Je remonte pour changer le diamètre de la lime et là le drame, plus moyen de descendre!!!

Que faire???????

36 r1h7eh - Eugenol
Radiolime en place1 nwxqra - Eugenol
Radiopreop1 reyqas - Eugenol

aquarium

02/07/2010 à 18h40

Essaye avec un peu d'EDTA/de glyde, ça peut aider.


leroux

02/07/2010 à 18h41

Petite précision: j'ai réussi à descendre dans le canal mésio vestibulaire, ça bloque dans le mésio lingual.


leroux

02/07/2010 à 18h42

J'ai essayé avec le glyde après, rien n'y a fait.


aquarium

02/07/2010 à 18h45

Irriguer irriguer, peut-être avec une lime ultrasonore car c'est sûrement un bouchon...
Sinon si t'as un confrère sympa qui veut bien te prêter un laser, avec des "ondes de choc" au nd Yag c'est censé déboucher.
Après, j'ai pas trop d'autres idées...
Attends un peu, Marc Apap va venir à la rescousse et il va te trouver une idée.
Bon courage!


Tozzi

02/07/2010 à 19h05

à part endo exclusif il semble impossible d'obtuter convenablement les 2 canaux mésiaux.
Cà semble être une bonne indication de la résection apicale de la racine mésiale.


aquarium

02/07/2010 à 19h09

Tozzi écrivait:
---------------
> à part endo exclusif il semble impossible d'obtuter convenablement les 2 canaux
> mésiaux.
> Cà semble être une bonne indication de la résection apicale de la racine
> mésiale.

Mouais...les résections apicales de molaires, c'est près de 100% d'échecs à 1 an quel que soit l'opérateur...


vincent64

02/07/2010 à 20h07

aquarium écrivait:
------------------
> Tozzi écrivait:
> ---------------
> > à part endo exclusif il semble impossible d'obtuter convenablement les 2
> canaux
> > mésiaux.
> > Cà semble être une bonne indication de la résection apicale de la racine
> > mésiale.
>
> Mouais...les résections apicales de molaires, c'est près de 100% d'échecs à 1 an
> quel que soit l'opérateur...
C'est quoi tes sources? Ca me parait énorme prêt de 100%...
Sinon a part de la patiente et un gros paquet de lime...si t'es passé une fois tu dois pouvoir retomber dedans, precourbe mesure garde précieusement tous ces repaires, met la digue pour y voir mieux et évacuer tous les problème de langue salive et autre qui vont te déconcentrer détent toi et ne met pas de rdv derrière ton patient...


aquarium

02/07/2010 à 20h14

Ah j'ai pas de sources, c'est juste les 10aines de résections apicales de molaires que j'ai vu passer... à chaque fois qu'il y en a eu une, ça a été un échec.


Marque a3 orange fyvhyq - Eugenol
Marc Apap

02/07/2010 à 21h25

Commencez par apprendre les fondements de la technique endodontique :si l'instrument ne passe pas dans le canal et bute, il faut (et de toutes les manières, c'est un principe initial) précourber l'extrémité de la lime pour que ce ne soit pas la pointe qui tape en premier. En tournant délicatement l'instrument à la main, on arrive, avec un peu de doigté et de chance, à s'engager dans le vrai canal.
Rajouter du glyde ou de l'EDTA ne fait qu'augmenter les risques de pénétrer plus avant dans la perforation ou la butée.
Deuxième remarque : la pose d'une digue permet de réduire le stress et de mieux se concentrer sur sa tâche. Accessoirement, elle évite aux fluides buccaux d'inonder le canal et de le réensemencer de bactéries inutiles.


Smile beach jgh0a1 - Eugenol
Céramik

02/07/2010 à 21h42

Solution : titane

--
Céramik


aquarium

02/07/2010 à 21h48

Je pense quand même qu'il avait précourbé sa lime, c'est le B A BA! On lui a pas fait l'insulte de lui faire ce genre de réflexion! (et j'espère qu'il va confirmer mes dires sinon Marc tu as ma bénédiction pour te foutre de moi)


leroux

02/07/2010 à 22h36

effectivement j'ai précourbe ma lime.


aquarium

02/07/2010 à 22h41

leroux écrivait:
----------------
> effectivement j'ai précourbe ma lime.

OUF!!!! Merci! ;o)


leroux

02/07/2010 à 22h51

en regardant les radio de nouveau je me suis fait une réflexion (qui est peut être foireuse)

peut-on
1.prendre la longueur de la gutta dans le canal jusqu'à son extrémité
2. désobturer jusqu'à 0,5mm en amont de la fausse route
3. passer une lime qui du coup devrait suivre le canal
puis faire la bio

est ce que vous trouvez ça possible?

Pour revenir à mon truc:
soit j'obture comme je peux (le patient sait deja que ca va recidiver je lui ai dit)
soit je passe et je prie le saint patron de l'endo
soit je l'envoie chez un endo chez qui il ira pas

c'est quand même pas cool comme avenir...




aquarium

02/07/2010 à 22h55

J'ai pas bien compris. Tu veux obturer le faux canal, et celui-ci une fois obturer essayer de passer dans le vrai canal, c'est ça?
Pourquoi pas mais ne risques tu pas de boucher avec le ciment ton vrai canal dont l'entrée est déjà bien foireuse? Parce que là dans ton cas c'est plutôt un bouchon de smear layer le souci, non? Vu que tu y es passé une fois puis plus du tout...


leroux

02/07/2010 à 23h11

en gros je laisse o.5 mm de gutta dans le canal la ou la fausse route débute, du coup la fausse route est bouchée
Après je peux passer puis que ma lime ne devrait plus bloquer mais prendre la courbe du canal.
Ça parait très simple à dire, après à faire....

Comment ça peux être un bouchon? J'ai passé notre temps à irriguer! La boue dentinaire ça porte son nom, c'est mou? sinon faut appeler ça du beton dentinaire!!!!!


aquarium

02/07/2010 à 23h30

Ben si t'as pu passer et élargir et qu'après tu passais plus, c'est que t'as eu un bouchon... enfin à mon humble avis...


vincent64

03/07/2010 à 00h55

leroux écrivait:
----------------
> en gros je laisse o.5 mm de gutta dans le canal la ou la fausse route débute, du
> coup la fausse route est bouchée
> Après je peux passer puis que ma lime ne devrait plus bloquer mais prendre la
> courbe du canal.
> Ça parait très simple à dire, après à faire....
>
> Comment ça peux être un bouchon? J'ai passé notre temps à irriguer! La boue
> dentinaire ça porte son nom, c'est mou? sinon faut appeler ça du beton
> dentinaire!!!!!
Déjà que tu ne retrouves pas le canal...alors si tu obtures le faux canal tu peux dire adieu berthe!
Non tu l'as fait une fois donc tu dois pouvoir le refaire, encore une fois, enlève toi un maximum de stress (digue, pas de rdv après, au moins 2h devant toi), de l'hypo, des limes de 06 et 08, tu repaire bien la profondeur a laquelle tu penses trouver ta lumière canalaire, tu repères le sens de ta courbure, tu imagines vers ou tu dois chercher, bref tout ce que tu sais déjà faires et tu le fais, après hop tu nous montre la radio.


Pubg2 rjl8jc - Eugenol
vincent71

03/07/2010 à 14h55

Je viens apporter ma modeste contribution de jeune praticien : la digue en cabinet, c'est un plaisir ! J'ai longtemps cherché le matériel qui me va, je suis pas très doué alors des digues verte extrafine j'en ai déchiré des boites entières et ca me faisait HAÏR la dique à la fac ... et puis j'ai découvert des digues épaisses ! Et là crois moi, je me fait vraiment plaisir, un trou, un crampon, j'ai du en déchirer une en 9 mois. temps de pose : 5 minutes car j'ai encore un peu du mal à trouver le crampon adapté du premier coup. Travailler sans salive, en se disant que l'on peut irriguer tranquillement, je trouve que c'est vraiment confortable !

--
Jeune dentiste !

Vive les petites villes loin des facs !! 5 dentistes pour 20000 habitants, ca vaut le coup !!


Logo vuaztn - Eugenol
mac

03/07/2010 à 15h08

aquarium écrivait:
------------------

>
> Mouais...les résections apicales de molaires, c'est près de 100% d'échecs à 1 an
> quel que soit l'opérateur...


bocal tu racontes vraiment n'importe quoi.


aquarium

03/07/2010 à 15h17

mac écrivait:

> bocal tu racontes vraiment n'importe quoi.

MDR.. celle-là elle vient du coeur!


leroux

08/07/2010 à 10h53

Le patient est revenu : voici la lime et une cône en place pour voir ce que ca donnera.

Y' a plus qu'à finir

Lime en place fywlmj - Eugenol
Cone en place vb8yof - Eugenol

patrickdb

08/07/2010 à 16h56

Pour moi, c'est extration...
Mais c'est bien de s"entrainer à l'endo sur dents extraites (ou en voie de l'etre)

Salut à tous


Marque a3 orange fyvhyq - Eugenol
Marc Apap

08/07/2010 à 17h00

Le clamp est en plastique ? Parce qu'après ce qu'on a dit, refaire une radio lime en place sans digue...
Tu as essayé l'irrigation à l'eau de Lourdes ?


12