Cookie Consent byPrivacyPolicies.comChampionat de France de bouche pourrie, c'est parti ! - Eugenol

Championat de France de bouche pourrie, c'est parti !

3f3boxni50k58rq7e9ce9ddqrxgk - Eugenol
dentiste57

06/07/2010 à 12h58

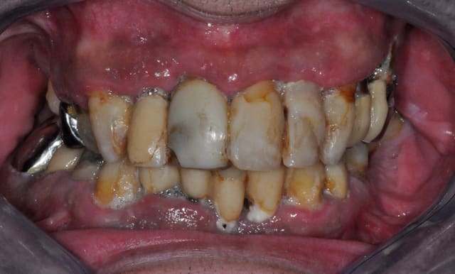
sans avoir l'intention de me moquer, parce que chacun rencontre ses propres difficultés au quotidien, je vous propose d'envoyer vos meilleurs photos de bouche la plus dégueu que vous ayez rencontré.
on votera à la fin du mois!

je commence:
vu ce matin (j'ai encore la nausée, l'odeur est tenace, même avec les fenêtres ouvertes)...
l'assistante; de quand date votre dernier rdv ?
" ho! ça fait un bail, mais comme je n'ai aucun problème je ne viens pas"
moi; et mis à part cette petite douleur qui vous empèche de dormir depuis trois jours, tout va bien ?
" oui, c'est parfait"

Dsc 8097 bele9h - Eugenol

Grumpy cat ifik8s - Eugenol
radich_a_tord

06/07/2010 à 13h11

A moi
JF la trentaine...

H2 mv2i0f - Eugenol
H1 dkkhjx - Eugenol

Aube lwzlzd - Eugenol
Collaverdey

06/07/2010 à 13h24

JH, 40 ans,

motif de consult: sa femme ne veux plus l'embrasser ...

Capture d  cran 2010 07 06   11.22 - Eugenol

Avatar 46 aoi1yc - Eugenol
HononLulu

06/07/2010 à 14h12

Merde, vous attaquez trop fort.
J'en vois jamais des comme ça !!!!!
Et l'autre, sa femme ne veut plus l'embrasser, et la petite gâterie? aussi impec ??
;-))))))))))))))))))


S2y2o1v7q53ws4r5wy6ou8czrpom - Eugenol
pxav

06/07/2010 à 14h49

hors concours?

--
xbk

Tu m plais toi tu sais  mkaibp - Eugenol

19066 1223810679128 1344811835 30546764 2261510 n medium ozxaxj - Eugenol
vitalic

06/07/2010 à 14h53

.

003249 jujnag - Eugenol

3f3boxni50k58rq7e9ce9ddqrxgk - Eugenol
dentiste57

06/07/2010 à 15h27

pxav écrivait:
--------------
> hors concours?

j'étais sure que tu la posterai celle ci...


Gaudi parc guell lezard  ntokms - Eugenol
lezard

06/07/2010 à 15h53

Ce qui m'étonne déjà c'est qu'elle soit restée...




jaung

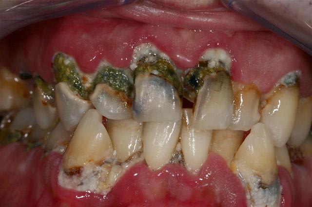
06/07/2010 à 16h18

50 ans diabetique ...

P1000339 m1bw59 - Eugenol
P1000338 vqkorv - Eugenol
P1000337 ylzhyf - Eugenol

Fouilla h6plsy - Eugenol
fouilla

06/07/2010 à 16h26

!
est venu nous voir uniquement parce que le scellement (quatre fois en un an) de 21 ne tenait pas pour qu'on lui rescelle définitivement...

un peu de colle et hop
--
.

Initiale 1 j3jdd2 - Eugenol
Initiale 2003 fy6dhe - Eugenol

3f3boxni50k58rq7e9ce9ddqrxgk - Eugenol
dentiste57

06/07/2010 à 16h32

du vert! c'est un écolo !


Img 3657 cwjvqm - Eugenol
alapex

06/07/2010 à 16h52

Comment tu vas gérer l'agénésie de la 12 ?


003 penrd2 - Eugenol
Cingulum

06/07/2010 à 16h55

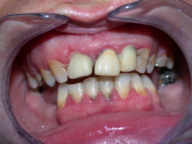
allez je suis joueur :)
JH 28 ans
--
Dr Cingulum
-----Ancien interné----
----Attaché à l'apex----
www.clinic-all.fr formation par passion

Img 8509  custom  lj4utj - Eugenol

cyberquenottes

06/07/2010 à 16h56

l'extraire ?

--
bénéficions tous les deux de 250 Mo supplémentaire de stockage
grace à ce lien de parrainage :
https://www.dropbox.com/referrals/NTgyODMyMTQ5
merci


19066 1223810679128 1344811835 30546764 2261510 n medium ozxaxj - Eugenol
vitalic

06/07/2010 à 17h11

.

Dent nsjzsb - Eugenol

aquarium

06/07/2010 à 17h39

Juste une question: vous dites que vous les prenez en photo pour quoi?


003 penrd2 - Eugenol
Cingulum

06/07/2010 à 18h02

pour garder une trace de la situation de départ, pour avoir des éléments de diagnostic... etc

--
Dr Cingulum
-----Ancien interné----
----Attaché à l'apex----
www.clinic-all.fr formation par passion


Logo vuaztn - Eugenol
mac

06/07/2010 à 19h47

aquarium écrivait:
------------------
> Juste une question: vous dites que vous les prenez en photo pour quoi?


pour se foutre de leur gueule ;)


aquarium

06/07/2010 à 19h53

Cingulum écrivait:
------------------
> pour garder une trace de la situation de départ, pour avoir des éléments de
> diagnostic... etc
>
> --
> Dr Cingulum
> -----Ancien interné----
> ----Attaché à l'apex----
> www.clinic-all.fr formation par passion

ok merci!


Fouilla h6plsy - Eugenol
fouilla

06/07/2010 à 20h17

oui on peux aussi les prendre en photo pour les traiter...

--
.


M xowzvs - Eugenol
orvieto2

06/07/2010 à 20h21

fouilla écrivait:
-----------------
> oui on peux aussi les prendre en photo pour les traiter...


J'y avais pas pensé ...


3f3boxni50k58rq7e9ce9ddqrxgk - Eugenol
dentiste57

06/07/2010 à 20h54

perso, les photos de départ sont systématiques chez moi, alors...


Wra300x300 gotue6 - Eugenol
hop

06/07/2010 à 21h19

Vous croyez qu'ils font pareil sur les forums de gynécologues ?


Img 3657 cwjvqm - Eugenol
alapex

06/07/2010 à 22h13

hop écrivait:
-------------
> Vous croyez qu'ils font pareil sur les forums de gynécologues ?

Oui .



3f3boxni50k58rq7e9ce9ddqrxgk - Eugenol
dentiste57

06/07/2010 à 22h33

je crois que tu confonds gynéco et véto.


12...