Cookie Consent byPrivacyPolicies.comChampionat de France de bouche pourrie, c'est parti ! - Eugenol

Championat de France de bouche pourrie, c'est parti !

Utilisateur banni

06/07/2010 à 23h09

pxav écrivait:
--------------
> hors concours?
>
> --
> xbk
>
Je suis sûr qu'avec toutes les bactéries qu'il collectionne, si un serpent le pique, c'est le serpent qui meurt.......


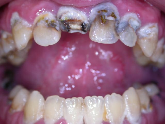
marcus

07/07/2010 à 01h10

Et moi qui croyais qu'avec un asticot vivant dans une 45 pourrie chez un patient de 80 piges je décrocherais le pompon !!!! (j'ai pas osé prendre une photo,sorry men !)


Utilisateur banni

07/07/2010 à 10h59

hop écrivait:
-------------
> Vous croyez qu'ils font pareil sur les forums de gynécologues ?

Chez les proctologues ça se fait...

--
http://soundcloud.com/narik/tracks
d-.-b


19066 1223810679128 1344811835 30546764 2261510 n medium ozxaxj - Eugenol
vitalic

07/07/2010 à 13h05

www.eugenanal.com


mark's

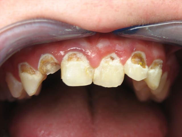
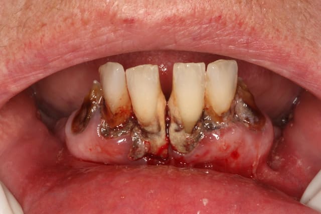
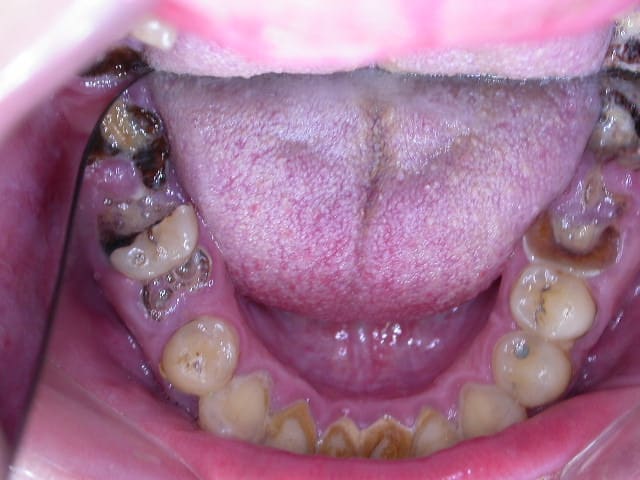
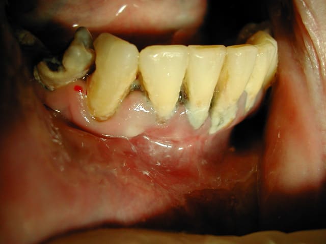
09/07/2010 à 14h17

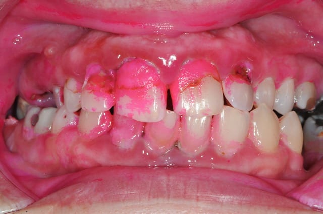
recommandé par une patiente... son amie...

la bridge "amovible"... "réparé au centre médical"...

motif de la consultation: "une infection de la dent du fond" commencée à traiter par 1 clamoxyl, en automédication...

Cabinet juillet 2010 013 ltkhzl - Eugenol
Cabinet juillet 2010 012 s9bftq - Eugenol
Cabinet juillet 2010 014 th1gjx - Eugenol

Pa050055 igyagy - Eugenol
mark

11/07/2010 à 19h47

celle-là c'est pour rire...

Aulnes 2010 004 fbp0wy - Eugenol

budwest

19/07/2010 à 01h18

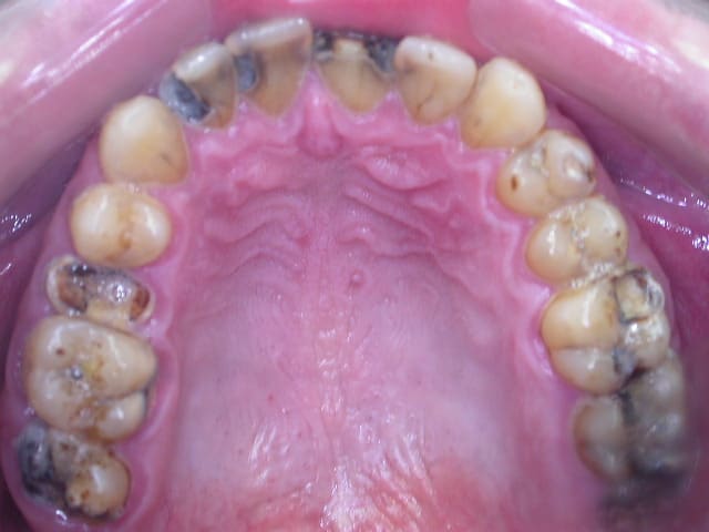
H47 ans avec un brossage annuel et une visite chez le dentiste par décennie.

Photo 023 e7liil - Eugenol
Photo 021 haqmw7 - Eugenol

juninho56

19/07/2010 à 03h35


Vendredi apres midi, j'ai eu un sacré spécimen
Patient 50ans, et apparement, d'apres ses dires, c 'est la toute 1ere fois qu'il voit un dentiste.
En bouche, c'est dans la catégorie des champions pour ce post. Aucune trace de soins en bouche, des caries sur toutes les dents, de tres grosses caries ou des racines résiduelles partout!!!

dsl, j'ai pas pris de photos, mais j'y ai pensé fortement. Je n'avais pas d'appareil, juste mon téléphone dans un tiroir, mais je suis pas sur qu'il aurait bien pris que je fasse des photos avec mon tel pour vous les montrez.
J'attends la pano à présent.


Canin

25/07/2010 à 11h40

vu le contexte, il était difficile de faire une photo buccale.

mais la radio est suffisament éloquente.

le patient n'a pas 25 ans.

Je pense à mise en place des dents de sagesse par mini-vis et traitement ortho puis faire deux bridges complets. Qu'en pensez-vous ??

--
Canin


Marque a3 orange fyvhyq - Eugenol
Marc Apap

25/07/2010 à 12h16

Canin écrivait:
---------------

>
> le patient n'a pas 25 ans.
>
> Je pense à mise en place des dents de sagesse par mini-vis et traitement ortho
> puis faire deux bridges complets. Qu'en pensez-vous ??
>

Qu'à moins d'un miracle ou d'un pouvoir de persuasion hors du commun de la part du praticien, les gens qui se laissent aller à cet état n'ont aucune chance de suivre jusqu'à son terme un traitement long, coûteux, pénible, surtout lorsqu'ils sont si jeunes.


Canin

25/07/2010 à 12h26

Marc Apap écrivait:
-------------------
> Canin écrivait:
> ---------------
>
> >
> > le patient n'a pas 25 ans.
> >
> > Je pense à mise en place des dents de sagesse par mini-vis et traitement ortho
> > puis faire deux bridges complets. Qu'en pensez-vous ??
> >
>
> Qu'à moins d'un miracle ou d'un pouvoir de persuasion hors du commun de la part
> du praticien, les gens qui se laissent aller à cet état n'ont aucune chance de
> suivre jusqu'à son terme un traitement long, coûteux, pénible, surtout
> lorsqu'ils sont si jeunes.

Je te rassures, dans ce cas là, il a été décidé d'un commun accord avec le patient une édentation totale bixamillaire sous AG.


--
Canin


Marque a3 orange fyvhyq - Eugenol
Marc Apap

25/07/2010 à 12h57

Bravo pour ton sens de l'humour. Tu m'as piégé. Mais c'est vrai qu'ici, c'est un peu trop souvent du premier degré.


Images oecc9d ijdijh - Eugenol
Akrobat

28/07/2010 à 15h49

Pas de photo mais une anecdote.
Homme de 40 ans avec une croute de plaque dentaire masquant harmonieusement ses chicots cariés. La conversation s'engage:
"et depuis quand est ce que vous ne vous étés pas brossé les dents?"
" ouf..."
"3 mois?"
"oh a peu près..."
"Vous avez une brosse a dents et du dentifice?"
"oui oui, c'est bon ça j'ai!"
Rendez vous suivant, bouche toujours aussi sale, le patient me demande:
"Qu'est ce qu'il faudrait que j'achète comme dentifrice?"
"Finalement vous n'en avez plus?"
"Si si mais il est tout sec, j'arrive plus à le faire sortir du tube"


3f3boxni50k58rq7e9ce9ddqrxgk - Eugenol
dentiste57

24/08/2010 à 15h34

-vous vous êtes lavé les dents avant de venir ?
-ben, oui docteur.
-vous êtes sure ?
-ben oui, comme d'habitude!
-ah! comme d'habitude... c'est pour ça alors..

Dsc 9057 mfnqqu - Eugenol
Dsc 9058 rinyzl - Eugenol

Smile beach jgh0a1 - Eugenol
Céramik

02/10/2010 à 18h35

la semaine passée...

-Docteur, les 2 dents du centre bougent...
-Ben, on les enlèvent...
-Je ne peux pas rester sans dent, c'est pas joli...



--
Céramik

Img 4156 uzbh0m - Eugenol

Utilisateur banni

02/10/2010 à 18h47

Céramik écrivait:
-----------------
> la semaine passée...
>
> -Docteur, les 2 dents du centre bougent...
> -Ben, on les enlèvent...
> -Je ne peux pas rester sans dent, c'est pas joli...


-Mais, chère madame, savez-vous qu'une étude récente turkménisto-congolaise a démontré que les mauvaises dents entrainaient des cancers des fesses? Et c'est pas joli non plus! Alors?


Blason dql7mj - Eugenol
growler

02/10/2010 à 19h33

Céramik écrivait:
-----------------
> la semaine passée...
>
> -Docteur, les 2 dents du centre bougent...
> -Ben, on les enlèvent...
> -Je ne peux pas rester sans dent, c'est pas joli...
>
>
>
> --
> Céramik


les étrangers peuvent participer aux championnats de France ?

tout fout le camp :)


Smile beach jgh0a1 - Eugenol
Céramik

02/10/2010 à 20h48

growler écrivait:
-----------------

> les étrangers peuvent participer aux championnats de France ?
>
> tout fout le camp :)

et si je te dis que la dame est française ?
en plus, est patiente chez toi...
très fort la paro mon growler, tu as sondé ?

;-)

--
Céramik


Maxime34

02/10/2010 à 21h29

Il bruxe...
--
D3 Montpellier


Smile beach jgh0a1 - Eugenol
Céramik

02/10/2010 à 22h17

Maxime34 écrivait:
------------------
> Il bruxe...

Growler ?
Je pense que oui !
;-)


--
Céramik


Blason dql7mj - Eugenol
growler

03/10/2010 à 18h14

Céramik écrivait:
-----------------
> growler écrivait:
> -----------------
>
> > les étrangers peuvent participer aux championnats de France ?
> >
> > tout fout le camp :)
>
> et si je te dis que la dame est française ?
> en plus, est patiente chez toi...
> très fort la paro mon growler, tu as sondé ?
>
> ;-)
>
> --
> Céramik


bah quoi! ma greffe de tartre a bien fonctionné non?


Smile beach jgh0a1 - Eugenol
Céramik

04/10/2010 à 00h01

growler écrivait:
-----------------
> bah quoi! ma greffe de tartre a bien fonctionné non?

mdr
Tu nous fais un TP sur ta technique pour 2011 ?


--
Céramik


Img 3657 cwjvqm - Eugenol
alapex

21/10/2010 à 14h10

Tout nouveau de ce matin , mais pas glop ! 34 ans mâle célibataire , à du psoriasis ...a décidé de se prendre en main .
Les photos non plus mais ce n'est pas mon appareil et j'ai des doutes sur la qualité du flash annuaire .


Dscn6845 n10j0a - Eugenol
Dscn6848 mswae6 - Eugenol
Dscn6847 o0nq8a - Eugenol
Dscn6844 pbhgtw - Eugenol

mark's

21/10/2010 à 23h02

17 ans , un client pour le professeur de hontologie.

La honte c'est un peu aussi pour la célèbre boisson au goût acidulé.

Cabinet 148 ois2qa - Eugenol

Avatar 46 aoi1yc - Eugenol
HononLulu

21/10/2010 à 23h43

Bien sûr, c'est la faute au coca, pas aux parents.....
On ne va quand même pas priver nos enfants de tous ces produits chimiques, c'est bon pour ce qu'ils ont.
--
FSDL , what else ?


123...