Cookie Consent byPrivacyPolicies.comChampionat de France de bouche pourrie, c'est parti ! - Eugenol

Championat de France de bouche pourrie, c'est parti !

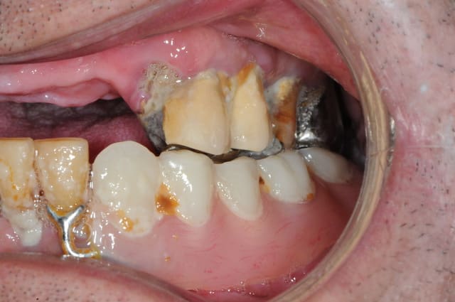
Pa050055 igyagy - Eugenol
mark

26/10/2010 à 22h38

alapex écrivait:
----------------

> Les photos non plus mais ce n'est pas mon appareil et j'ai des doutes sur la qualité du flash annuaire .

T'as utilisé les pages jaunes au lieu des blanches?


Essai belle fille 1 qlvlrg - Eugenol
tsuki

26/10/2010 à 23h03

Pas mal l'échantillonage...J'en vois pas bcp des comme ça..
Est-ce qu'on peut faire un petit sondage pour savoir où vous bossez ?
Moi le pire c'est ça 25 ans, vue une fois.
cabinet nord yvelines.

Le bescond 2 mzcm4o - Eugenol

Bbpanda vyfmu4 - Eugenol
kung fu panda

12/11/2010 à 17h27

Je relance le sujet.

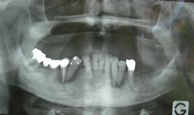
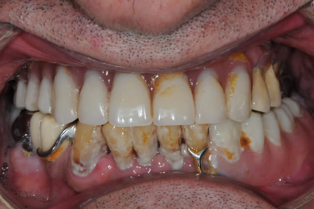
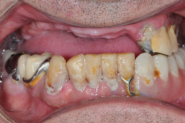
Patient vu en début d'année, parodontite en phase terminale, "monsieur je pense qu'il faudrait vous enlever quelques dents" (voir pano). Lui pas trop pressé apparemment.

Il revient me voir ce mois-ci pour faire sa prothèse. Je lui dit qu'il faut extraire ses dents d'abord.
Il me répond : "ah ben non, elles sont déjà tombées, mais je les garde en bouche ... en attendant!"


Et donc à chaque étape, empreinte, RIM, essayage, je demandais à monsieur d'enlever ses dents, qu'il remettait en place à la fin de la séance.
Du jamais vu pour moi, même si je suis encore jeune dans le métier!!

Fallait que je fasse partager!

Af2 obh1rv - Eugenol
Af3 oxy7yx - Eugenol
Af1 yaeb1i - Eugenol

Fouilla h6plsy - Eugenol
fouilla

12/11/2010 à 18h13


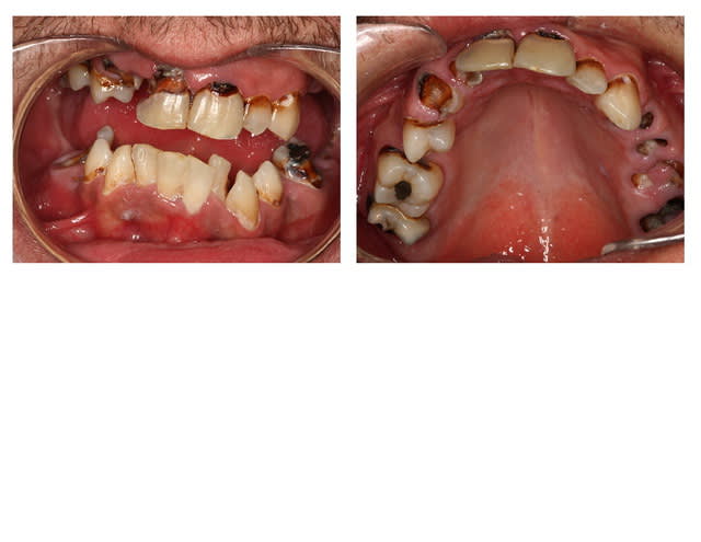
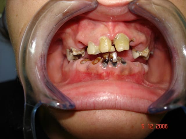
petite question tu fais quoi avec ce qui reste ???(41 42 31 32 34)
il les a remises pour la photo ou tu gardes pour faire une pap ?


--
.


Bbpanda vyfmu4 - Eugenol
kung fu panda

13/11/2010 à 08h37

fouilla écrivait:
-----------------
>
> petite question tu fais quoi avec ce qui reste ???(41 42 31 32 34)
> il les a remises pour la photo ou tu gardes pour faire une pap ?
>

Je les ai gardées, il avait l'air d'y tenir...
Vu l'énergumène, il sera bien capable de les faire tenir 20 ans! Comme quoi tout est dans le mental


colza2

13/11/2010 à 09h49

j'ai également eu une patiente comme cela , tout les soirs elles faisant tremper ses dents (2 ou 3 supports de p a ) dans du bain de bouche le soir et les remettait le lendemain matin dans les alvéoles : gencive nickel


Pépélaratiche

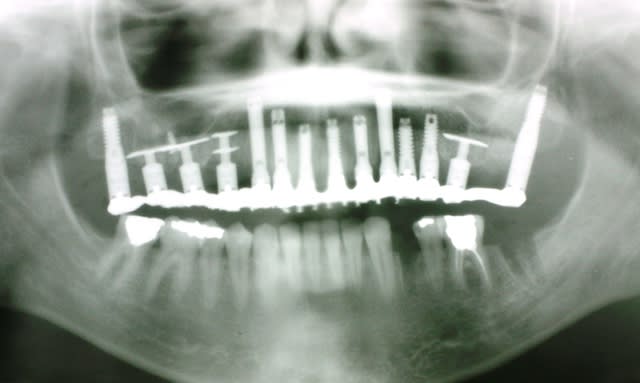
13/11/2010 à 11h09

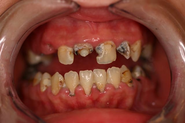
Joli aussi ça non ???

Pp ;-)

Img 2213 wxhyma - Eugenol

3f3boxni50k58rq7e9ce9ddqrxgk - Eugenol
dentiste57

13/11/2010 à 14h38

suis actuellement en egypte.
y a du boulot ici aussi!
des colorations en tout genres...


Smile beach jgh0a1 - Eugenol
Céramik

13/11/2010 à 18h17

Pépélaratiche écrivait:
-----------------------
> Joli aussi ça non ???
>
> Pp ;-)


un auto-portrait ?

;-)

--
Céramik


Pépélaratiche

14/11/2010 à 10h36

Non hélas patiente de 28 ans...

Si c était Pp , vu son grand âge, ce serait moins grave

LOL

Pp


Pépélaratiche

14/11/2010 à 12h01

Néanmoins patiente traitée ...

Pp ;-)

Img 2224 reca asmlcg - Eugenol
Copie de img 2223 fdyqus - Eugenol

salima

14/11/2010 à 12h10

OOOOOH MEWDE!!!!! C'est du show sur ce fil!!! :-p

--
Salima


ad-hugo

14/11/2010 à 12h30

Pépélaratiche écrivait:
-----------------------
> Néanmoins patiente traitée ...
>
> Pp ;-)
c'est le provisoire PP ?


Pépélaratiche

14/11/2010 à 12h55

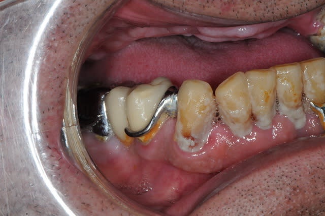
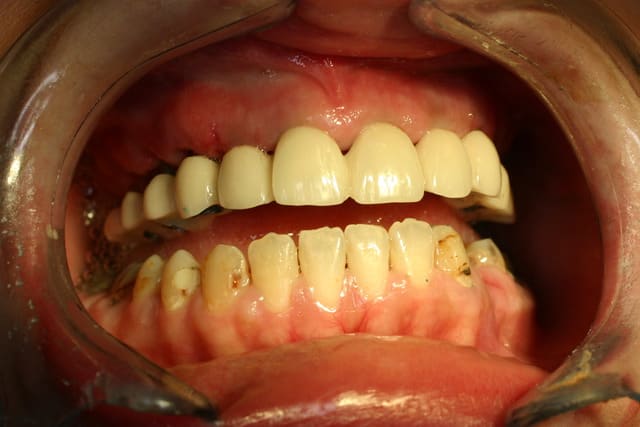
Oui bien sûr placé sous 48 h

Les piliers seront retirés sur les molaires par la suite

Pp


Img 3657 cwjvqm - Eugenol
alapex

14/11/2010 à 14h02

Pépé ,arrête de dévoiler le prochain montage !
Pis je te prépare une surprise...et aux autres aussi .
Un grand débat sur les cylindres et les disks , sur une idée éblouïssante et géniale de Gulguch ...


Smile beach jgh0a1 - Eugenol
Céramik

21/11/2010 à 22h51

Pépélaratiche écrivait:
-----------------------
> Oui bien sûr placé sous 48 h
>
> Les piliers seront retirés sur les molaires par la suite
>
> Pp


Pour me faire un idée...
c'est combien le devis de cette arcade d'implants,
au total. Merci

--
Céramik


3f3boxni50k58rq7e9ce9ddqrxgk - Eugenol
dentiste57

22/11/2010 à 17h14

-vous vous êtes brossé les dents avant de venir ?
-ah oui! pendant 3 minutes

(au moins...! et réparti sur 3 semaines)

la prothèse sup , c'est moi qui l'ai nettoyé. imaginez comment elle devait être!

Dsc 0075 ceum0t - Eugenol
Dsc 0074 qowuf4 - Eugenol
Dsc 0072 udjduv - Eugenol
Dsc 0071 gqxez1 - Eugenol

king_zoulou

22/11/2010 à 17h55

Ca me fait penser que la semaine dernière, j'ai fait un détartrage à un édenté complet que je recevais pour la première fois au cabinet (motif de la consultation: douleur au palais)
Dans le doute, c'est passé en HN.
Je voyais bien venir le CDC au téléphone "pourriez-vous m'expliquer comment vous avez pu côter sc12 à un patient ayant reçu deux spr85 il y a 5 ans ?"


Smile beach jgh0a1 - Eugenol
Céramik

22/11/2010 à 18h53

Bonjour, c'est pour un nettoyage...
Le noir , il va partir ?
Douleur ? non , pourquoi ?
Des caries? non, je pense pas.
Les dents cassées ?
Ben elles tombent, c'est comme cela dans la famille, ont a pas des dents solides...
Je dois partir dans 30 minutes, j'ai un autre rdv...alors pour le noir ?

Avec du dentifrice blanchissant, ça devrait aller...


--
Céramik

Untitled at2wt2 - Eugenol

Utilisateur banni

02/12/2010 à 22h47

Et dire qu'il y en a qui se foutent ça dans le bec....Beeuuuuaaarrr...8,<
(photo prise avec le portable: je vous ai évité une trop bonne définition de la chose...)

P241110 16 - Eugenol

Img 3657 cwjvqm - Eugenol
alapex

08/12/2010 à 22h13

RV 16 h , se pointe à 16 h 20 .
Demande constat après "agression" le 30/11/10...

Exobuc , coquard œil gauche.
Endobuc , 12 sensible.



Tu me prends pour un jambon !...))))))
Ou tu crois au Père Noël qui va te payer des dents toutes neuves...

P1010114 o1qn22 - Eugenol

Abeille lzfkas - Eugenol
domi38

09/12/2010 à 16h19

Ouah! La gencive est encore toute tuméfiée! :-)


Grueavatar nptrc9 - Eugenol
Le Choixpeau magique

09/12/2010 à 17h00

Et l'agresseur a dû la frapper avec un bloc de calcaire, y a pas d'autre explication.


Img 3657 cwjvqm - Eugenol
alapex

09/12/2010 à 20h47

P'tain , il m'a bien fait marrer celui là . A mon avis il a du se dire qu'il était évident pour un dentiste que seule la 12 était plausible...
Il est reparti avec sa pano , sa femme , la poussette , et sa c*nn*r** , parce que les cousins étaient pas là , faisaient un déménagement express ...


Avatar 46 aoi1yc - Eugenol
HononLulu

09/12/2010 à 21h52

J'aime bien quand un père de famille vient avec sa femme, les enfants, les poussettes et landaus avec le gouter.
C'est plus convivial pour bosser :-((

--
FSDL , what else ?


1234...