Cookie Consent byPrivacyPolicies.comChampionat de France de bouche pourrie, c'est parti ! - Eugenol

Championat de France de bouche pourrie, c'est parti !

Capture d  cran 2015 03 12 12.28 - Eugenol
chicot29

23/12/2010 à 12h31

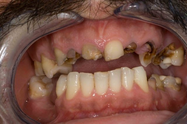
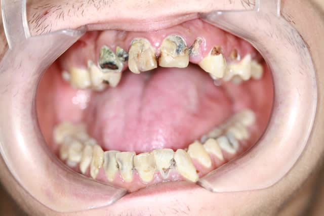
Modeste contribution, rebasage au tartre.... Mais on peut faire mieux je n'ai pas détecté de vers à l'intérieur !

Img 0528 ymaq4z - Eugenol

Pépélaratiche

23/12/2010 à 21h21

Céramik écrivait:
-----------------
> Bonjour, c'est pour un nettoyage...
> Le noir , il va partir ?
> Douleur ? non , pourquoi ?
> Des caries? non, je pense pas.
> Les dents cassées ?
> Ben elles tombent, c'est comme cela dans la famille, ont a pas des dents
> solides...
> Je dois partir dans 30 minutes, j'ai un autre rdv...alors pour le noir ?
>
> Avec du dentifrice blanchissant, ça devrait aller...
>
>
> --
> Céramik

Tu lui fais deux beaux complets amovibles et tu verras même ça il en fera de la merde

Pp :-))))))))))))))))))))))))))


3f3boxni50k58rq7e9ce9ddqrxgk - Eugenol
dentiste57

30/12/2010 à 21h36

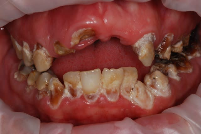
chicot29 écrivait:
------------------
> Modeste contribution, rebasage au tartre.... Mais on peut faire mieux je n'ai
> pas détecté de vers à l'intérieur

la vache!!
dire qu'ils mettent ça en bouche!


3 76 hchzpi - Eugenol
kingkong

12/01/2011 à 14h05

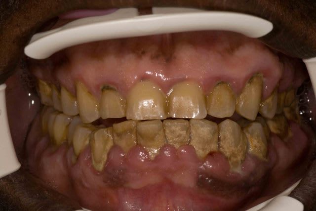
Pinaise quand tu vois le haut, tu te demandes ce qu'il peut bien se passer sous la ceinture Oo...


Capture d  cran 2015 03 12 12.28 - Eugenol
chicot29

18/01/2011 à 12h47

dentiste57 écrivait:
--------------------
> chicot29 écrivait:
> ------------------
> > Modeste contribution, rebasage au tartre.... Mais on peut faire mieux je n'ai
> > pas détecté de vers à l'intérieur
>
> la vache!!
> dire qu'ils mettent ça en bouche!

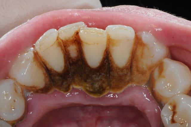
Ouais, il y a des pépins de pomme dedans, en attendant un peu on pourra faire du cidre ))))))
Ceci dit ca fait une super empreinte fonctionnelle !


3f3boxni50k58rq7e9ce9ddqrxgk - Eugenol
dentiste57

21/05/2011 à 15h32

j'étais pas très en forme ce matin et j'ai failli vomir!

Dsc 2351 i7epfj - Eugenol

levm

21/05/2011 à 16h12

Bande de petits joueurs

Img 4109 sc4kk2 - Eugenol

3f3boxni50k58rq7e9ce9ddqrxgk - Eugenol
dentiste57

21/05/2011 à 16h47

eh ben voilà! ça y est j'ai vomi...


cagagne

21/05/2011 à 17h47

dentiste57 écrivait:
--------------------
> eh ben voilà! ça y est j'ai vomi...

T'es sûr que ça vient pas des moules que t'as bouffé hier soir?


Smile beach jgh0a1 - Eugenol
Céramik

21/05/2011 à 17h59

Vu cette semaine, en 2 jours,
3 cas d'allergie à la brosse à dents...


--
Céramik

Dsc 0068  desktop resolution  khyjyp - Eugenol
Dsc 0048  desktop resolution  beuwaz - Eugenol
Dsc 0036  desktop resolution  fiirsw - Eugenol

cagagne

21/05/2011 à 18h02

Céramik écrivait:
-----------------
> Vu cette semaine, en 2 jours,
> 3 cas d'allergie à la brosse à dents...
>
>
> --
> Céramik

Qu'elle sorte d'animal tu soignes toi??


makaira

21/05/2011 à 18h15

holalà!!!!!!!
tu vas avoir des ennuis!!!!!!


Smile beach jgh0a1 - Eugenol
Céramik

21/05/2011 à 20h45

cagagne écrivait:
-----------------
> Céramik écrivait:
> -----------------
> > Vu cette semaine, en 2 jours,
> > 3 cas d'allergie à la brosse à dents...
> >
> >
> > --
> > Céramik
>
> Qu'elle sorte d'animal tu soignes toi??


Castor, caribou, orignal, un Francais parfois...
;-)


--
Céramik


3f3boxni50k58rq7e9ce9ddqrxgk - Eugenol
dentiste57

07/06/2011 à 14h49

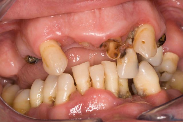
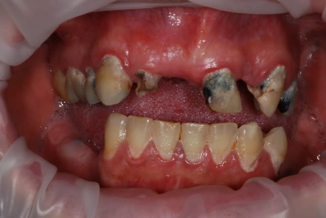
bridge ou contention tartrique ??

Dsc 2376 hnsbo9 - Eugenol

41467 100000418256397 4215 n ypxyho - Eugenol
belette57

29/06/2011 à 23h19

contention ! tu lui a pas enlevé j'espère... hihi. biz tom


Fouilla h6plsy - Eugenol
fouilla

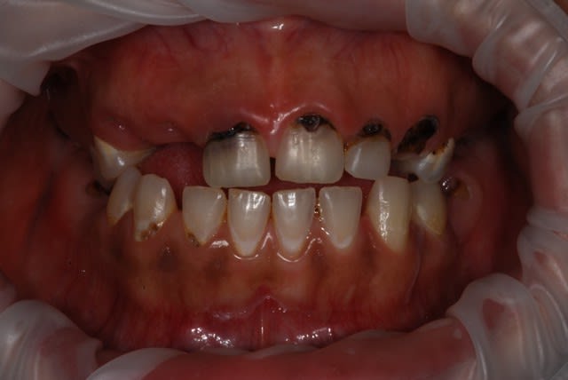
01/07/2011 à 16h02


qui tient quoi ?
quoi tient qui ?
photos pas terribles mais vue en urgence pour resceller les deux dents qui "tiennent" son stellite 12 dents !

--
.

Dent amovilbes d0hapo - Eugenol

cagagne

01/07/2011 à 16h28

fouilla écrivait:
-----------------
>
> qui tient quoi ?
> quoi tient qui ?
> photos pas terribles mais vue en urgence pour resceller les deux dents qui
> "tiennent" son stellite 12 dents !
>
> --
> .

Et la lévitation t'en fais quoi alors.
Oui-ja sais on va encore me faire le reproche de donner des cours ésotérix.
Déjà que mes chateaux hantés------> direct poubelle, comme si ...... enfin bref!
LE-VI-TA-TION te dis-je.
Chez moi c'est le principe prothétique de base.
Les implants moi connais pas :)))))


--
Utilisez les pouces dans l'angle en haut à droite pour voter SVP
Kikcéti kiadi quélénonol nété pas une arène
Avé César


P1060810  800x600  dlavv9 - Eugenol
Hebken

01/07/2011 à 16h30

Pépélaratiche écrivait:
-----------------------
> Joli aussi ça non ???
>
> Pp ;-)

C'est un pianiste non?


Fouilla h6plsy - Eugenol
fouilla

01/07/2011 à 17h36


j'oubliais de dire photos su haut en bas dans l'ordre ...au cas ou le doute subsiste

--
.


 mg 0207 xwjxcl - Eugenol
Tillc

01/07/2011 à 18h15

Bon un pti florilège des bouches Made in 9-3

Img 0006 in6nb2 - Eugenol
 mg 0051 srkv5p - Eugenol
 mg 0016 luc3ix - Eugenol
 mg 0012 ejirwc - Eugenol
 mg 0006 wrfkx5 - Eugenol

Img 3657 cwjvqm - Eugenol
alapex

06/07/2011 à 14h58

20ans , toutes ses dents , parodonte sain (donc : pas de motivation à faire...)))). De quoi on se plaint ?
CMU bien entendu , une nana , un gamin ...

Img 0300 utdy4y - Eugenol

rerou1313

08/07/2011 à 17h06

et de cette bouche,vous en pensez quoi?? ouvrez vos fenêtres!!

Dents awyaw6 - Eugenol

Index vakr2r - Eugenol
pgc

10/07/2011 à 21h40

cette photo traine sur le Net depuis toujours. Le pauvre type à qui elle appartient (appartenait?) est sûrement mort depuis des années!


Xenia2685

10/07/2011 à 22h44

c'est clair...je l'ai vue pas plus tard qu'hier, sur un site d'images "droles" (ca, ca ne l'est pas vraiment..)

--
hardcore 4 life


Pépélaratiche

10/07/2011 à 23h12

pgc écrivait:
-------------
> cette photo traine sur le Net depuis toujours. Le pauvre type à qui elle
> appartient (appartenait?) est sûrement mort depuis des années!

En tout cas on est déjà sûr que cette bouche était pas celle d une nana

Pp :-))))))))))))))))))))))))))


12345...