Cookie Consent byPrivacyPolicies.comChampionat de France de bouche pourrie, c'est parti ! - Eugenol

Championat de France de bouche pourrie, c'est parti !

rerou1313

10/07/2011 à 23h16


oui, pauvre gars!!!


Pépélaratiche

10/07/2011 à 23h18

fouilla écrivait:
-----------------
>
> qui tient quoi ?
> quoi tient qui ?
> photos pas terribles mais vue en urgence pour resceller les deux dents qui
> "tiennent" son stellite 12 dents !
>
> --
> .

Resceller les dents... Ah ces patients ils sont parfois simplement mignons...

Pp mortderire


Xenia2685

11/07/2011 à 12h54

...par chez moi, vaus auriez eu un cas interessant: ma soeur, très belle jf de 22 ans, etudiante en notariat, parigote lissée et bien arrangée...m'a dit qu"elle n'etait pas allée voir de dentiste depuis 7 ans, car, pourquoi faire, j'ai pas mal"

moi: "ah? mais quand ca fait mal, c'est deja trop tard"
elle: "oh, tu sais, tous les matins, je recolle mes composites avec du fixodent, tu sais, ca evite bien des dépenses inutiles.."

-bien, bien...va falloir que je me mette à jour, si je veux repondre au plus près à mes patients...MDRRR

--
hardcore 4 life


Dos02 qpcfgi - Eugenol
Rick

11/07/2011 à 13h20

Xenia2685 écrivait:
-------------------
> ...par chez moi, vaus auriez eu un cas interessant: ma soeur, très belle jf de
> 22 ans, etudiante en notariat, parigote lissée et bien arrangée...m'a dit
> qu"elle n'etait pas allée voir de dentiste depuis 7 ans, car, pourquoi faire,
> j'ai pas mal"
>
> moi: "ah? mais quand ca fait mal, c'est deja trop tard"
> elle: "oh, tu sais, tous les matins, je recolle mes composites avec du fixodent,
> tu sais, ca evite bien des dépenses inutiles.."
>
> -bien, bien...va falloir que je me mette à jour, si je veux repondre au plus
> près à mes patients...MDRRR
>
> --
> hardcore 4 life


La maturité des humains a évolué.
"Ils ne vivent que pour l'argent, pas avec ce qu'ils ont.
Vive les primates.


Xenia2685

11/07/2011 à 22h32

c'est vrai, quand meme...

mais négliger sa santé à ce point, je ne comprends pas, surtout qu'on a la sécu, et que les etudiants (du moins le cas que je vous ai cité), sont sur la mutuelle des parents...

--
hardcore 4 life


Avatar ow44t3 - Eugenol
Chicot

19/07/2011 à 18h49

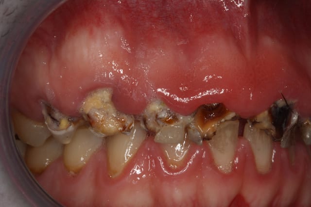
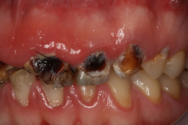
et celui là (toxico ???)

Avant y'avais même un poil de c..

Après y'a des efforts sur le brossage mais.... il m'a pété une céram'


comme quoi tout est possible !



--
;O)

140 etpqxr - Eugenol
139 o3c0ql - Eugenol
17 oyufj0 - Eugenol
16 dnifrq - Eugenol
15 i9z5ip - Eugenol

Img 3657 cwjvqm - Eugenol
alapex

19/07/2011 à 18h55

alapex écrivait: le 06/07/11
----------------
> 20ans , toutes ses dents , parodonte sain (donc : pas de motivation à
> faire...)))). De quoi on se plaint ?
> CMU bien entendu , une nana , un gamin ...


Celui là déjà 2 rv décommandés donc jamais revu en rv, pas fait la pano , m'étonnerait que je fasses des cérams...))))


Avatars  181  hqw4ds - Eugenol
messabots

19/07/2011 à 20h18

Chicot écrivait:
----------------
> et celui là (toxico ???)
>
> Avant y'avais même un poil de c..
>
> Après y'a des efforts sur le brossage mais.... il m'a pété une céram'
>
>
> comme quoi tout est possible !
>
>
>
> --
> ;O)

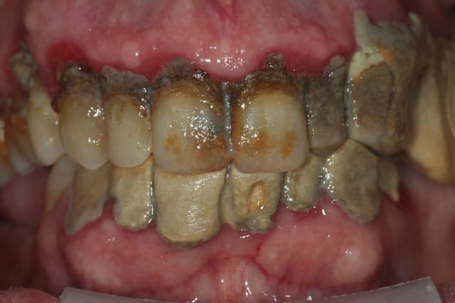
Punaise, ça relève presque du miracle!


Avatar ow44t3 - Eugenol
Chicot

20/07/2011 à 15h53

messabots écrivait:
-------------------
>
> Punaise, ça relève presque du miracle!

tu me gênes un peu là............

lol



--
;O)


Xenia2685

20/07/2011 à 21h38

pire!
on est passé d'une cata a une belle dentition!
felicitation a l'auteur de ce...miracle, en effet!:)

--
hardcore 4 life


Avatar ow44t3 - Eugenol
Chicot

20/07/2011 à 21h58

Xenia2685 écrivait:
-------------------
> pire!
> on est passé d'une cata a une belle dentition!


denture denture parlons avec professionnalisme


> felicitation a l'auteur de ce...miracle, en effet!:)
>

ouille mes chevilles....



Quelle est la différence entre un dentiste et Dieu ?

Dieu ne se prend pas pour un dentiste.......

lol



--
;O)


Xenia2685

20/07/2011 à 22h05

mdrr
sauf qu'au contraire de Dieu (desolée pour ce blasphème), le dentiste, lui, réalise des miracles tous les jours, x20 ou 30...

--
hardcore 4 life


Avatars  181  hqw4ds - Eugenol
messabots

21/07/2011 à 00h45

Xenia2685 écrivait:
-------------------
> mdrr
> sauf qu'au contraire de Dieu (desolée pour ce blasphème), le dentiste, lui,
> réalise des miracles tous les jours, x20 ou 30...
>
> --
> hardcore 4 life

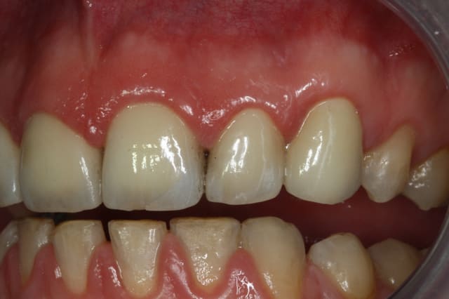
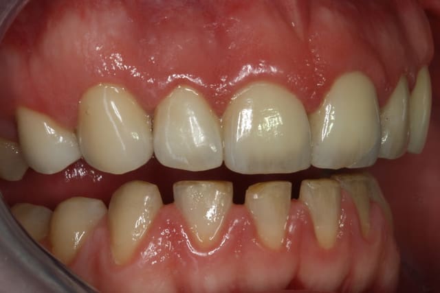
Point trop n'en faut ;))
Mais bon, il faut bien reconnaître que c'est du beau travail.


Avatar hjdsnm - Eugenol
TiGabi

05/12/2011 à 19h51

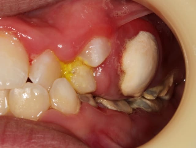
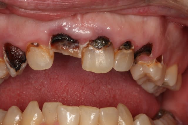
Dans la catégorie "graine de champion", voici ce jeune garçon de 10 ans.

Mais qu'y a t-il derrière cette mystérieuse coque de tartre ?

Surprise, une 24 !

Img 0974 m0xnpr - Eugenol

666Xenia666

05/12/2011 à 21h36

..Il a 10 ans seulement?
Et les dents du fond, qui semblent cariées, dites moi que ce ne sont pas des 6 et des 7 permanentes:((((

--
....Encore 12 mois, et je pars travailler en paro/implanto loin d'ici....


Avatar ow44t3 - Eugenol
Chicot

05/12/2011 à 22h18

666Xenia666 écrivait:
---------------------
> ..Il a 10 ans seulement?
> Et les dents du fond, qui semblent cariées, dites moi que ce ne sont pas des 6
> et des 7 permanentes:((((
>
> --
> ....Encore 12 mois, et je pars travailler en paro/implanto loin d'ici....

euh des 7 à 10 ans............. pas sur !!!

du tartre oui , des dents non !


--
;O)


Image 2 b0jqpm - Eugenol
samlion

05/12/2011 à 22h56


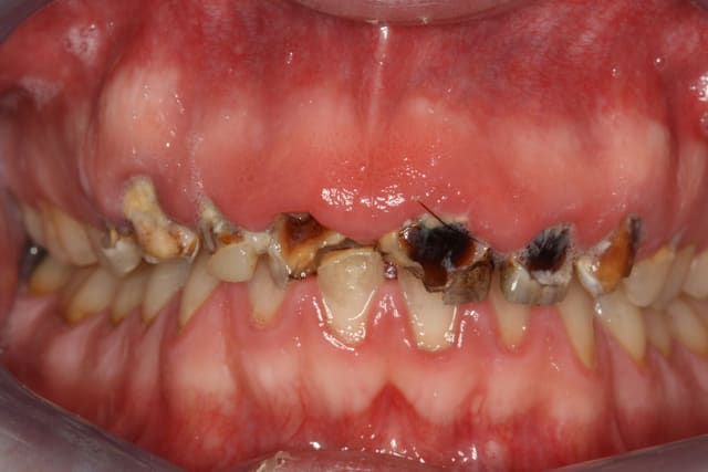
Nouveau produit : l'enregistrement de la RIM avec le tartre!!
Patiente de mon associé, je n'ai pas encore les photos de suivi

Tartre lqmiuj - Eugenol
Occlusion mwde16 - Eugenol

Capture d  cran 2015 03 12 12.28 - Eugenol
chicot29

05/12/2011 à 23h20

Euh ? sc 12 ou hn? ))))) Ca vaut le coup de l'envoyer au dentiste conseil !
Bonne bouche de vainqueur, la classe mondiale, peut être même la championne du monde !)


Roger federer 300x217 eqdnuv - Eugenol
Patatrasse

06/12/2011 à 00h24

Sc12 et 4 heures de boulot !
Yes !!!!!!


Image 2 b0jqpm - Eugenol
samlion

06/12/2011 à 00h34

2 fois SC12 plutôt, au moins pour le "détartrage supra gingival",
le CDC ne rigole pas chez nous!!!
Après je ne sais pas trop ce qui a été proposé et réalisé en terme de pdttt
je voulais juste vous faire profiter de ces superbes clichés qui m'avaient horrifiés à l'époque
apparemment c'est une jolie femme dans la cinquantaine, BCBG...


Smile beach jgh0a1 - Eugenol
Céramik

06/12/2011 à 00h35

mince, j'aurais même pas fait de photo.
J'aurais adressé au cabinet d'en face...

--
Céramik


Image 2 b0jqpm - Eugenol
samlion

06/12/2011 à 00h41

Ben ouais mais sans photos, tu peux pas gagner le concours :)


jean 57

06/12/2011 à 01h20

nouvelle technique d'empreinte ecolo au tartre


Smile beach jgh0a1 - Eugenol
Céramik

06/12/2011 à 02h59

samlion écrivait:
-----------------
> Ben ouais mais sans photos, tu peux pas gagner le concours :)

Bon, ma contribution ...
vu la semaines dernière, 28 ans, veux un sourire pour Noel...


--
Céramik

Img 8118  desktop resolution  srj7gn - Eugenol

3f3boxni50k58rq7e9ce9ddqrxgk - Eugenol
dentiste57

06/12/2011 à 04h44

samlion écrivait:
-----------------

> je voulais juste vous faire profiter de ces superbes clichés qui m'avaient
> horrifiés à l'époque
> apparemment c'est une jolie femme dans la cinquantaine, BCBG...

BCBG? ça veut dire: Bien Crade, Bien Gore ?


1...456...