Cookie Consent byPrivacyPolicies.comChampionat de France de bouche pourrie, c'est parti ! - Eugenol

Championat de France de bouche pourrie, c'est parti !

Img 3657 cwjvqm - Eugenol
alapex

06/12/2011 à 11h08

Pas bien de se moquer des patients qui se brossent 3 fois par jour , je change de forum !


Capture d  cran 2015 03 12 12.28 - Eugenol
chicot29

06/12/2011 à 11h25

La solution l'envoyer chez le "magic smile" le plus proche, ils ont un produit super efficace il parait.


Avatar 46 aoi1yc - Eugenol
HononLulu

06/12/2011 à 13h21

samlion écrivait:
-----------------
> Ben ouais mais sans photos, tu peux pas gagner le concours :)
Perso je pense que tu as décroché le pompon.
Difficile de faire mieux...


Capture d  cran 2015 03 12 12.28 - Eugenol
chicot29

06/12/2011 à 13h30

T'as raison, j'ai une légère cacosmie subjective docteur !


Index vakr2r - Eugenol
pgc

06/12/2011 à 14h26

chicot29 écrivait:
------------------
> La solution l'envoyer chez le "magic smile" le plus proche, ils ont un produit
> super efficace il parait.

oui la Javel


Roger federer 300x217 eqdnuv - Eugenol
Patatrasse

06/12/2011 à 17h38

je suis dans le concours là ? ( je vous évite les clichés sur les postérieures,c'est à pleurer)
65 ans de sexe féminin ,2 paquets par jour.

Mme v - Eugenol

Roger federer 300x217 eqdnuv - Eugenol
Patatrasse

06/12/2011 à 17h42

J'ai bien récupéré le coup quand même .

Mme v - Eugenol

marco17

06/12/2011 à 17h47

33 ans,
juste gêné par la perte de la 11

14 lzfkmw - Eugenol
Dsc 0052 n82rnl - Eugenol

Avatar hjdsnm - Eugenol
TiGabi

21/12/2011 à 14h51

Oh Yeah!

Img 1094 jtexh2 - Eugenol
Img 1137 cn1kyw - Eugenol

Capture d  cran 2015 03 12 12.28 - Eugenol
chicot29

22/12/2011 à 13h31

20 ans et toutes ses dents ! A la CMU de générations en générations....... status incomplet de 2003, et l'autre aujourd'hui 8 ans après. Et en 2003 avait poursuivi ses soins avec un lapin! ) On voit ce que donnent les dents dévitalisées et non couronnées dans le temps ) les autres aussi d'ailleurs ! ) C'est de la faute aux mauvais dentisss mon cousin !
Ceci dit c'est pas une star qui a couronné 31 et 41 )

F2  eim5ng - Eugenol
F3  k1zz9h - Eugenol

guttapercha

22/12/2011 à 14h32

Le patient souhaiterait "des prothèses un peu mieux que les siennes" (54 ans)

Img 3509 gsmoa0 - Eugenol

Avatars  181  hqw4ds - Eugenol
messabots

22/12/2011 à 19h10

TiGabi écrivait:
----------------
> Oh Yeah!


Vraiment incroyable...


Avatars  181  hqw4ds - Eugenol
messabots

22/12/2011 à 19h12

Patatrasse écrivait:
--------------------
> J'ai bien récupéré le coup quand même .


Franchement?........oui.


Avatar ow44t3 - Eugenol
Chicot

22/12/2011 à 20h44

motif de consult. : Halitose......



je confirme.......




--
;O)

Championnat cj9m5m - Eugenol

canard59

22/12/2011 à 21h41

Chicot écrivait:
----------------
> motif de consult. : Halitose......
>
>
>
> je confirme.......
>
>
>
>
> --
> ;O)

Ça , c'est brossé au moins trois fois par jour !!!!

( Mais faut le voir le bon jour)


666Xenia666

22/12/2011 à 21h50

Cetains patients sont adorables: quand ils entrent pour la première fois, et nous parlent de "check-up", on se dit "oh, une hygiène parfaite, et on ne trouvera rien, meme pas un peude métal"...Puis deja sur le pano, les choses se gatent...Et lors de l'examen endobuccal, la, la situation parait un peu plus compliquée que prévu...Le prat le leur explique, et eux: "oh, vous savez, on a toujours eu les dents gatées dans la famille, mais comme ca ne fait pas mal...."

--
Перевод с французского на русский
Не удалось найти перевод всей фразы.


Bouchewc dsjkae - Eugenol
Yiponmac

13/01/2012 à 18h08

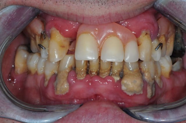
Patient de 51 ans, très gentil, très souriant (!!), je l'ai vu début décembre en urgence pour extraction de la 24 (mobilité 72) et comme je l'ai revu hier j'en ai profité pour prendre des photos, ce n'est pas le champion, mais je l'ai jugé digne de concourir :

Deuxième photo après 3/4h de détartrage, pas encore fait de surfaçage et de polissage, je voyais la gencive redevenir rose au fur et à mesure, il ne mérite pas une gencive si costaud :-)

Désolé les photos ne sont pas dans le bon ordre.

Champion1 ktr1yd - Eugenol
Champion2 sxixgi - Eugenol
Champion0 tgrk3v - Eugenol

Grueavatar nptrc9 - Eugenol
Le Choixpeau magique

13/01/2012 à 19h27

666Xenia666 écrivait:
---------------------
> Cetains patients sont adorables: quand ils entrent pour la première fois, et
> nous parlent de "check-up", on se dit "oh, une hygiène parfaite, et on ne
> trouvera rien, meme pas un peude métal"...

Quand un patient d'un certain âge (plus de 40) te dit qu'il n'est jamais allé chez le dentiste et qu'il n'a jamais eu de problème, 9 fois sur 10 tu as de la paro +++.


666Xeиia666

13/01/2012 à 20h35

C'est vrai en plus...Nous, nous avons un public dont la moyenne d'age est environ 40-45 ans...Il y a de tout: des serieux, des moins serieux, des plus vulnérables que d'autres (et ce, malgré une hygiene correcte)...Mais au fur et a mesure, jai moi aussi constaté que les gens qui n'etaient pas tres reguliers chez leur CD, à partir de 35 ans....C'est au mieux des caries partout (souvent faces proximales), des dents devitalisées et non couronnées dont il ne reste pas grand chose...

Et evidemment de la paro (mais ca, bien souvent, il l'ignorent, car les dents ne sont pas encore mobiles quand ils arrivent, et que ce n'est pas forcément douloureux)

--
Здесь делают грязным, предавала Госпожа, летит манипулятором, кто дает мне тошноту не поддающийся контролю... Я ненавижу вас...


Avatar ow44t3 - Eugenol
Chicot

14/01/2012 à 11h26

Yiponmac écrivait:
------------------
> Patient de 51 ans, très gentil, très souriant (!!), je l'ai vu début décembre en
> urgence pour extraction de la 24 (mobilité 72) et comme je l'ai revu hier j'en
> ai profité pour prendre des photos, ce n'est pas le champion, mais je l'ai jugé
> digne de concourir :
>
> Deuxième photo après 3/4h de détartrage, pas encore fait de surfaçage et de
> polissage, je voyais la gencive redevenir rose au fur et à mesure, il ne mérite
> pas une gencive si costaud :-)
>
> Désolé les photos ne sont pas dans le bon ordre.

Punaise, lui il a un parodonte béton: paro chronique non agressive

--
;O)


3f3boxni50k58rq7e9ce9ddqrxgk - Eugenol
dentiste57

16/01/2012 à 13h38

j'avais gardé précieusement les morceaux, pour faire des photos mais l'assistante a tout jeté...

Dsc 4359 k5orts - Eugenol

01 ukhwbq - Eugenol
Bobby

16/01/2012 à 13h58

dentiste57 écrivait:
--------------------
> l'assistante a tout jeté...

Quel gâchis! ^^


dent2669

16/01/2012 à 14h17

dentiste57 écrivait:
--------------------
> j'avais gardé précieusement les morceaux, pour faire des photos mais
> l'assistante a tout jeté...

Et je suis presque certain que ce patient est arrivé en disant : "bonjour Dr, il me manque une dent de devant, ce n'est pas joli, est-ce que vous pouvez me faire une dent sur pivot ??"

...


7313935 les metaux lourds roche et rouleau devil cornes main signe avec un bracelet en cuir noir cloutes yoxyzx - Eugenol
kinetic

16/01/2012 à 16h11

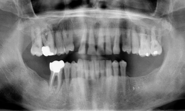
Patient de 35 ans

Il voulait tout refaire, mais pour une raison financiere il souhaitait faire le haut puis le bas. Je n'aime pas trop séparer les 2 arcades mais j'ai essayé de gerer au mieux.

Bref, le maxillaire a été traité par une pac immédiate qui aux dernieres nouvelles allait bien.

Mais il n'est pas encore revenu pour la réhabilitation de l'arcade mandibulaire.

Pano tisvzz - Eugenol
P1010025 y6b2au - Eugenol

Bouchewc dsjkae - Eugenol
Yiponmac

23/01/2012 à 15h29

Chicot écrivait:
----------------

> Punaise, lui il a un parodonte béton: paro chronique non agressive
>
> --
> ;O)


En effet, je m'attendais à plus de mobilité pour les incisives inférieures, il y en a, mais pas tant que ça.


1...567...