Cookie Consent byPrivacyPolicies.comChampionat de France de bouche pourrie, c'est parti ! - Eugenol

Championat de France de bouche pourrie, c'est parti !

Coyote hfbg68 - Eugenol
coyote32

23/01/2012 à 18h57

samlion écrivait:
-----------------
>
> Nouveau produit : l'enregistrement de la RIM avec le tartre!!
> Patiente de mon associé, je n'ai pas encore les photos de suivi


-- la je crois que l'on a le gagnant! du lourd , du très lourd

un bip bip à tous


Img 3657 cwjvqm - Eugenol
alapex

05/03/2012 à 18h16

21 ans .

Img 0798 fyzrxh - Eugenol

Amibien

05/03/2012 à 19h28

rerou1313 écrivait:
-------------------
> et de cette bouche,vous en pensez quoi?? ouvrez vos fenêtres!!

*******************


Magnifique !!!!!


Amibien

05/03/2012 à 19h29

La France est un pays vraiment extraordinaire !


3f3boxni50k58rq7e9ce9ddqrxgk - Eugenol
dentiste57

05/03/2012 à 21h23

roooohh! tu n'as pas un petit cas à nous poster ?
tu ne vas pas nous dire que chez toi, tout n'est que luxe et volupté, si ?

:)


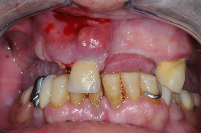
Bagheera tudzjy - Eugenol
bagheerra

13/03/2012 à 20h10

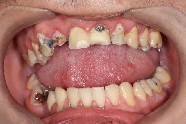
Ca y est, j'en tiens un !
Désolé pour la photo, l'appareil était là par hasard mais sans son flash.
Ce patient n'a pas vu de dentiste (ni de brosse à dent) depuis 40 ans. Le motif de consultation est une "légère gêne" à la mastication côté gauche.
Admirez le mouvement poétique et gracieux de la 47, figé en plein élan telle une danseuse.

Dsc 0159 d4qz4v - Eugenol
Bouche pourrie xvdvwy - Eugenol

aimpi

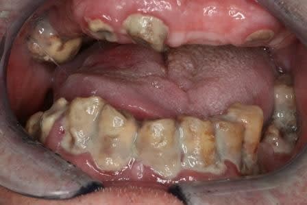
13/03/2012 à 20h35

55 ans, infarctus, pontage, stens
et toujours 20 clopes par jour

Dscn4964 xhabxs - Eugenol

Img 3657 cwjvqm - Eugenol
alapex

13/03/2012 à 21h12

J'espère que ta traçabilité est au top , et que tu connais les recommandations de la HAS par cœur , pour lui prodiguer les meilleurs soins .


Mario ycg44a - Eugenol
Mario180

13/03/2012 à 22h23

C'est normal qu'on en arrive là quand on pense que la sécu rembourse ni le dentifrice ni les brosses à dents...


Blason dql7mj - Eugenol
growler

14/03/2012 à 00h39

dentiste57 écrivait:
--------------------

> tu ne vas pas nous dire que chez toi, tout n'est que luxe et volupté


et le calme alors?

http://www.eugenol.com/sujets/396226-baisse-activite


Directionsasuivre3   copie cxr7lb - Eugenol
ailleurs

03/04/2012 à 22h21

ma copine zombie.

407557 346868228677842 120958514602149 1092160 1252455292 n iy3njs - Eugenol

Rape p0as4f - Eugenol
rapelapente

03/04/2012 à 22h39

Sexy une grande bouche comme ça, j'adore!


Avatar 46 aoi1yc - Eugenol
HononLulu

04/04/2012 à 00h42

Accident ou maladie ?


Cuisinier2 vnbbxx - Eugenol
jeff2

04/04/2012 à 01h20

HononLulu écrivait:
-------------------
> Accident ou maladie ?

Maquillage cinéma!


3f3boxni50k58rq7e9ce9ddqrxgk - Eugenol
dentiste57

04/04/2012 à 01h44

ailleurs écrivait:
------------------
> ma copine zombie.
>

carton rouge ailleurs!

ici pour jouer il ne faut montrer que de vrai cas clinique de dedans ton vrai cabinet. sinon il suffit d'aller sur internet et d'y chercher à la rubrique des petites horreurs comme ici un noma.

Noma wmb8co - Eugenol

Icon hase505so n7k1wb - Eugenol
airylis

04/04/2012 à 11h35

dentiste57 écrivait:
--------------------
> ailleurs écrivait:
> ------------------
> > ma copine zombie.
> >
>
> carton rouge ailleurs!
>
> ici pour jouer il ne faut montrer que de vrai cas clinique de dedans ton vrai
> cabinet. sinon il suffit d'aller sur internet et d'y chercher à la rubrique des
> petites horreurs comme ici un noma.

Ici, a Cherbourg, on a un chirurgien maxillo-faciale qui part chaque année en Afrique pour opérer ces "noma" !
Chapeau bas Docteur B...., car en plus de ces lésions (qu'ils suffiraient de traiter médicalement au tout début...)certains parents , y voyant un signe des sorciers, mettent leurs propres gosses a la porte !!!!!!!!!!


Imagesca1x6rbd kwb9r6 - Eugenol
Dr Nedjat

05/04/2012 à 14h36

c´est fantastique ici ! Est ce que les Allemands peuvent jouer ? ou c est que la France ? :-)

je peux faire un "sondage" dans mon pays pour récupérer des photos!! :-)


paulman

05/04/2012 à 15h03

Pas de problème, envoie nous tes photos et fait nous rever.
Paulman.


Imagesca1x6rbd kwb9r6 - Eugenol
Dr Nedjat

05/04/2012 à 16h13

paulman écrivait:
-----------------
> Pas de problème, envoie nous tes photos et fait nous rever.
> Paulman.

Super! j ai commencé le même chose en Allemagne sur un autre forum , pour sélectionner des photos...j attends de recevoir
Mais ca va être difficile, c´est vrai que Les Allemands ont plutôt des bouches comme ça ;-) :

Ja  znwxd3 - Eugenol

Imagesca1x6rbd kwb9r6 - Eugenol
Dr Nedjat

25/04/2012 à 00h22

Voilà les confrères Allemands m´ont envoyé quelques photos.... nous avons aussi des champions ici!!! :-)

3 la58kb - Eugenol
4 otfo0a - Eugenol
2 hgapkf - Eugenol

Imagesca1x6rbd kwb9r6 - Eugenol
Dr Nedjat

25/04/2012 à 00h25

j´ai oublié une...mon favori!

1 tbz0h3 - Eugenol

malimor33

25/04/2012 à 02h54

L'avant dernière, c'est le Yéti ?


3f3boxni50k58rq7e9ce9ddqrxgk - Eugenol
dentiste57

10/05/2012 à 16h23

miam !

Dsc 5333 cso3gd - Eugenol
Dsc 5332 s1hk7o - Eugenol

vivimax

27/06/2012 à 19h58

Ce forum est réservé aux professionnels.
Prenez note qu'aucune identité n'est liée a ce cas.

Le modérateur


Img 3657 cwjvqm - Eugenol
alapex

27/06/2012 à 20h14

D57 , tu comptes faire une greffe de conjonctif enfoui en place de la 21 ?
...)))


1...6789