Cookie Consent byPrivacyPolicies.comChampionat de France de bouche pourrie, c'est parti ! - Eugenol

Championat de France de bouche pourrie, c'est parti !

doczi

27/06/2012 à 20h23

@vivimax: pour un nouveau inscrit, tu ne risques pas de te faire beaucoup d'amis par ici, d'ennemis non plus d'ailleurs, car un post comme le tien,ça ne dérange personne.

Sinon pour tout te dire, le secret médical est bien gardé, t’inquiètes pas, sauf si tu arrives à reconnaître l'une d'entre ces têtes, tu ne serais pas l'une d'entre elle??

Ce n'est pas diffamatoire ni une violation du secret médical, mais passes un jour chez moi, je te garderai bien une bouche pareille et montres moi ce que tu feras. A moi , ça m'est arriver d'arrêter un soin pour aller vider mon estomac(et pas intestins) , malheureusement j'ai pas de photos du cas, mais t'as une petite idée déjà de ce qu'on peut avoir à ....je ne trouve pas de mots. Nonoliens, auriez vous des phots de l’après , que notre nouvel ami puisse être moins dégoûté et surtout plus respectueux envers les dentistes????

partager, ce n'est pas pour se ficher des têtes de nos chers patients, mais partager...c'est surtout pour aider l'autre à ne pas se sentir seul au monde

Sinon, une brosse à dent, ça ne coûte pas grande chose

Bien à toi


king_zoulou

27/06/2012 à 20h26

vivimax écrivait:
-----------------
> eh beh je crois que je suis dégoûtée du dentiste maintenant merci vous ne
> connaissez pas "le secret médical"? la honte pour vous...

Ce forum est réservé aux professionels de santé.
La honte pour nous: je suis bien d'accord. La honte pour nous de ne pas avoir su faire en sorte que les français ne soient pas ce qu'ils sont: les champions toute catégorie du monde développé des bouches mal entretenues.


doagui

27/06/2012 à 20h34

Perdez pas votre temps, il ou elle a déjà été exclu du forum je crois.


belette

03/07/2012 à 21h43

24 ans , propre sur lui, timide, très timide...
J'espère qu'il sera souriant sur sa photo de fin de traitement.
edit : septembre, octobre, novembre ouf!
je motive pour de l'odf...


^ ... ^
Ô"""Ô
= o =

24 ans.. - Eugenol
2   11 sept 2012 xdbhqh - Eugenol
3   27 09 2012 fgyyd0 - Eugenol
4   21 nov 2012 iahs21 - Eugenol

Index vakr2r - Eugenol
pgc

07/07/2012 à 12h19

Le pauvre garçon.
Souvent ils se laissent entraîner: ça n'a jamais été très propre, un jour il y a un peu de gingivite, ça saigne, ça fait mal. Le brossage qui n'avait jamais été performant devient complètement inefficace, par crainte de se faire mal et de faire saigner. Ce genre de situation s'installe assez vite et conduit à des situations épouvantables.
Il y a beaucoup de patients qui disent en arrivant "vous allez me disputer" "vous allez prendre peur". Comme si on était les gendarmes de la bouche.
Plus on culpabilise le patient dans ce genre de situations et plus on le conforte dans l'idée qu'il aurait mieux fait de ne pas venir, de poster sur doctissimo dans la rubrique "gencives sensibles", et d'essayer tous les bains de bouche.
Responsabiliser fait avancer le traitement, faire honte, culpabliser et infantiliser le fait reculer.


Charlie tn4wmz - Eugenol
lordofthedam

07/07/2012 à 13h10

just for fun

Photo 004 y9yxqy - Eugenol
Photo 001 clvv99 - Eugenol

Marque a3 orange fyvhyq - Eugenol
Marc Apap

07/07/2012 à 14h57

Et dire qu'il y en a qui demandent 1500 € pour une contention métallique ! Là au moins, c'est biologique, économique et esthétique.


3f3boxni50k58rq7e9ce9ddqrxgk - Eugenol
dentiste57

07/07/2012 à 21h27

Marc Apap écrivait:
-------------------
> Et dire qu'il y en a qui demandent 1500 € pour une contention métallique ! Là au
> moins, c'est biologique, économique et esthétique.

oui, mais le seul problème c'est que c'est un traitement long..


Marque a3 orange fyvhyq - Eugenol
Marc Apap

08/07/2012 à 01h46

Tu veux dire de longue (mauvaise) haleine ?


Bagheera tudzjy - Eugenol
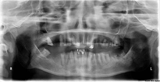
bagheerra

11/10/2012 à 15h40

Patient perdu de vue pendant 1 an seulement après son ttt paro. Pffff.

Dsc 0001 bmlj8n - Eugenol

Xenia1985

11/10/2012 à 22h47

...Pour avoir rencontré pas mal de cas paro, cette situation n'est malheureusement pas si marginale...:((

neanmoins, un an, ca fait court tout de meme, surtout s'il a eu greffes d'os, de gencive...:(

--
...Je n'ai peur de rien.Sauf de me retrouver face a l'insensibilité humaine....


3f3boxni50k58rq7e9ce9ddqrxgk - Eugenol
dentiste57

12/10/2012 à 00h55

bagheerra écrivait:
-------------------
> Patient perdu de vue pendant 1 an seulement après son ttt paro. Pffff.

y a pas à dire! t'es vraiment bon en "motivation à l’hygiène
" !!

;)


Bagheera tudzjy - Eugenol
bagheerra

12/10/2012 à 16h55

Xenia1985 écrivait:
-------------------
> ...Pour avoir rencontré pas mal de cas paro, cette situation n'est
> malheureusement pas si marginale...:((
>
> neanmoins, un an, ca fait court tout de meme, surtout s'il a eu greffes d'os, de
> gencive...:(
>

Non, juste un paquet d'extractions des dents non conservables à l'époque, et un débridement radiculaire non chirurgical. La réévaluation était prévue à 2 mois avant d'éventuellement aller plus loin. En dépannage, et pour éviter l'adjointe, j'avais collé la couronne de la 11 aux voisines.
C'est sûr, ma "motivation" du patient est un échec total. Il me dit qu'il est "habitué, maintenant" à la situation. On verra s'il s'habitue aussi bien au complet bimax.


120 81 mdkvjo - Eugenol
Monaco

12/10/2012 à 20h32

J'ai eu un cas magique cet aprem .. Mon record de tartre !
J'ai pas osé prendre en photo ...


Xenia1985

12/10/2012 à 20h59

....quel gachis tout de meme....:((

mais la pire situation que j ai vue, c est une patiente qui a perdu deux implants environ deux ans apres la mise en charge....

"ne savait pas" que ses soucis paro pouvaient recidiver apres avoir fait la greffe et les implants...:(((


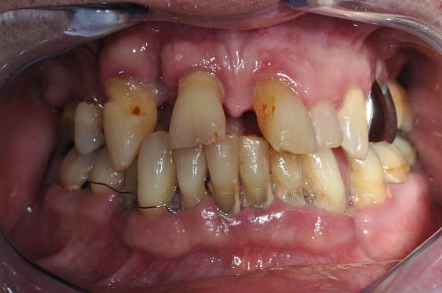
dentatronche

11/02/2013 à 23h39

J'ai gagné le concours!!!

Photo2 e7wjad - Eugenol
Photo2 xubvrb - Eugenol

Images jm2g2g - Eugenol
dr_0le

11/02/2013 à 23h44

dentatronche écrivait:
----------------------
> J'ai gagné le concours!!!

il le fait a combien le gramme de cocaine ?


dentatronche

13/02/2013 à 23h32

a 0 !! Hollande va créer les salles de shoot avec prise en charge dans la panier soin cmu :)


Icon hase505so n7k1wb - Eugenol
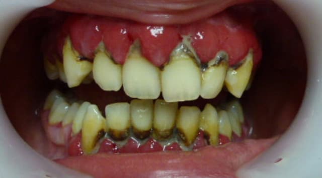
airylis

14/03/2013 à 18h41

Vu sur internet !Dur de faire plus degueu ....

Dent pourries tei6ue - Eugenol

Bazaruto 2007 ircsez - Eugenol
jumpingjackflash

14/03/2013 à 18h48

airylis écrivait:
-----------------
> Vu sur internet !Dur de faire plus degueu ....


il ne faudrait pas confondre bouche dégueu dont le patient est généralement responsable et pathologie lourde dans des populations qui ont subit 20 ans de guerre et autant de communisme.....


Icon hase505so n7k1wb - Eugenol
airylis

14/03/2013 à 20h06

jumpingjackflash écrivait:
--------------------------
> airylis écrivait:
> -----------------
> > Vu sur internet !Dur de faire plus degueu ....
>
>
> il ne faudrait pas confondre bouche dégueu dont le patient est généralement
> responsable et pathologie lourde dans des populations qui ont subit 20 ans de
> guerre et autant de communisme.....


Mon propos degueu n’était peut être pas approprié ,et je m'en excuse, mais c'est quand même une bouche pourrie et le patient étant thaï, je ne crois pas qu'a ce point de vue ce pays soit sous médicalisé ? Pour connaitre des confrères y exerçant, je peux te dire qu'ils sont parfaitement pourvus !
Mais ok pour mon degueu, d'autant qu'il s'agit de problèmes parodontaux sans doute associés a un problème plus important .


Bagheera tudzjy - Eugenol
bagheerra

18/03/2013 à 19h44

Il m'arrive de dire en plaisantant à un patient qui a une dent très mobile qu'elle risque de tomber au prochain éternuement.
Mais là, c'est vraiment arrivé.

Dsc 0637 s3gkvl - Eugenol

Jack 2 wm3tqs - Eugenol
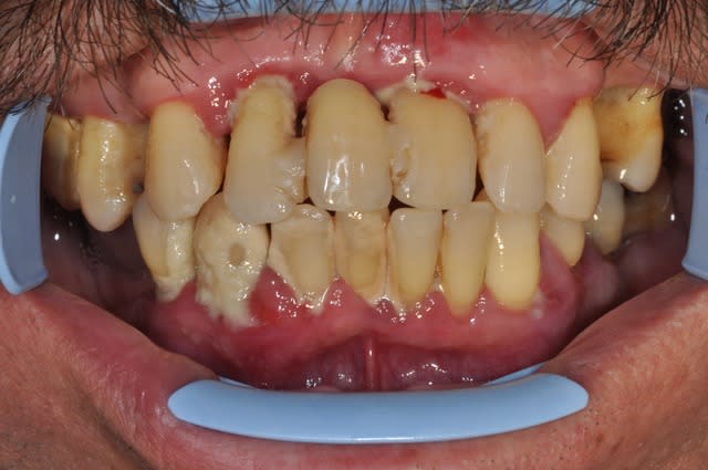
trepo

30/07/2014 à 18h32

26 ans et toutes ses den... Ha non !J'ai les dents toutes pourrites (un classique)
CMU de mère en fille, je fais quoi je dégage tout ou je ceramise tout ce qui reste ... :)
Vous remarquerez le bel effort du confrère sur 21,22 et 23.

P1 ndqeb6 - Eugenol
Tof kkvg2e - Eugenol

Capture d  cran 2015 03 12 12.28 - Eugenol
chicot29

30/07/2014 à 21h08

RDV pris en urgence bien sur ? Une patiente très motivée ! Bien sur l'état dans sa grande clémence lui paye ses céramiques en vue de sa réinsertion prochaine. Peine perdue a mon avis il n'y aura ni l'un ni l'autre, car c'est un pur produit de notre charmant pays, une créature purement végétative qui ne consulte qu'en cas de problème.
Une chance dans sa vie quand meme, le terme "toutes pourrites" nous laisse penser qu'elle n'a pas eu a subir (bien que ce soit obligatoire jusqu'à 16 ans) le lavage de cerveau de l'EDNAT ni la persécution fiscale. Finalement les moins emmerdés dans ce pays foutu, sont ceux qui voyagent beaucoup !-))))


3f3boxni50k58rq7e9ce9ddqrxgk - Eugenol
dentiste57

30/07/2014 à 23h53

Y faut pas les soigner épicétou !


1...789