Cookie Consent byPrivacyPolicies.comChampionat de France de bouche pourrie, c'est parti ! - Eugenol

Championat de France de bouche pourrie, c'est parti !

colza2

31/07/2014 à 00h02

trepo écrivait:
---------------
> 26 ans et toutes ses den... Ha non !J'ai les dents toutes pourrites (un
> classique)
> CMU de mère en fille, je fais quoi je dégage tout ou je ceramise tout ce qui
> reste ... :)
> Vous remarquerez le bel effort du confrère sur 21,22 et 23


Tu peux essayer c'est l'occasion ou jamais de voir si le code ccam. ext 28 dents fonctionne bien :-)))


Photo 158 mluhia - Eugenol
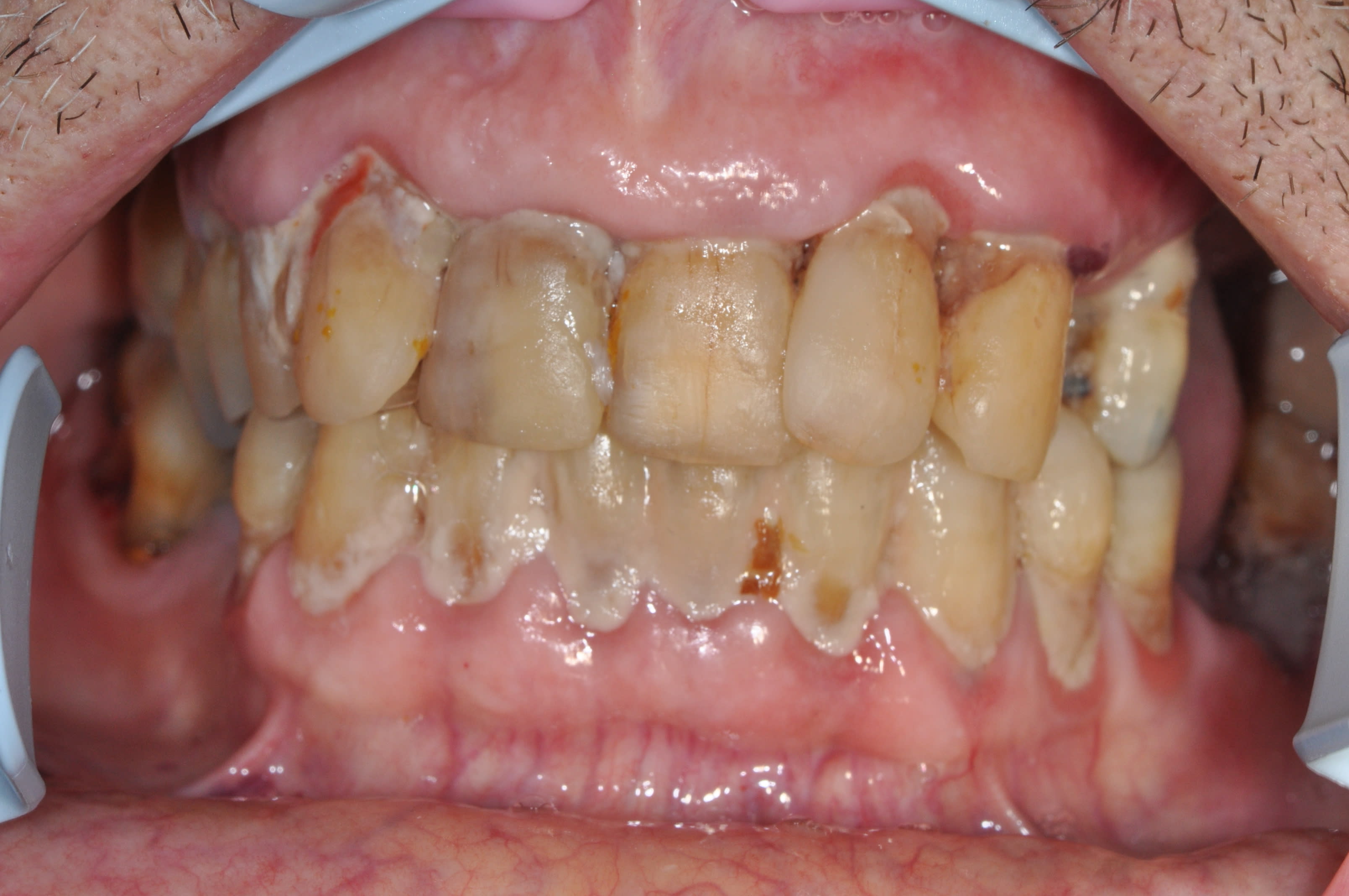
robin

01/08/2014 à 21h56

en voila un venu ne mars, parce qu'il voulait être présentable pour son mariage cet été... comme quoi faut pas désespérer...

Img 2559 iux5le - Eugenol
Img 2567 egl5x7 - Eugenol

Dr - Eugenol
JeRis

01/08/2014 à 22h29

... on imagine le même sujet sur un forum de gynécos ou de proctocologues


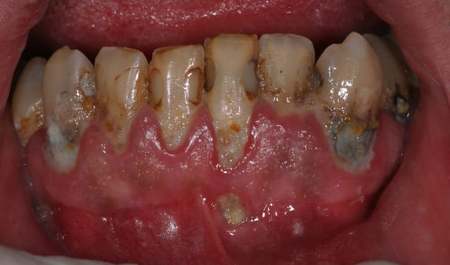
Hariboo uxvd6e - Eugenol
Harry Bo

12/09/2014 à 21h23

bonjour, je me ballade depuis peu sur le site et je suis tombée sur ce championnat qui perdure depuis 2010...et je me demande si ces photos et leurs commentaires ne risquent pas de poser de problèmes ("violation du secret professionnel ??? même s'il n'y a pas de noms, il y a quelque chose de gênant)
d'autant plus que ce site est ouvert à TOUS, donc n'importe qui peut "tomber dessus"...il suffit juste que je dise à mes enfants : "hey, venez voir les horreurs qu'on a parfois au cabinet"..".yerk, ouais, dégueu, je vais montrer ça à mes potes, ils vont bien rigoler"...et voilà c'est parti sur la toile on ne sais où...ça va en faire marrer plus d'un, voire hurler, mais j'imagine que quelques uns trouveront encore un moyen de nous taper dessus alors qu'en ce moment on s'en prend quand même plein la goule pour pas un rond...ce serait peut etre pas mal d'avoir un peu d'intimité pour ce genre de sujets...non ??? ou ptetre que je me pose trop de questions...


burnax

12/09/2014 à 21h52

Ca marche bien auprès des gamins rebelles à la brosse à dent dans les séances d'hygiène:

"Regarde mon petit voilà ce qui arrive !"

En général, les dents sont après brossées .


fgui

12/09/2014 à 22h33

Mais bordel c'est la réalité!!!!
A montrer et remontrer pour que chacun comprenne (journalistes compris) qu'une parti des gens qui ne peuvent pas se soigner (financièrement ) se sont foutus tout seuls dans la mouise; qu'une bonne santé taire se mérite; qu'une partie de nos contemporains sont des gros porcs....
Aucun secret pro là dedans


Darmon - Eugenol
Latin

21/03/2015 à 03h16

Ce n'est pas un peu dommage de mettre du blanc tipex derrière un joli bloc incisivo-canin?

Tipex qm0fek - Eugenol

clarafon

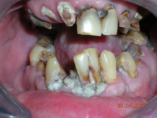
30/04/2015 à 16h49

"Mais fi docteur, ve passe les brofettes tous les zours"!!!

Dscn5025 akrf2a - Eugenol
Dscn5021 mckplh - Eugenol

carident

30/04/2015 à 17h15

clarafon écrivait:
------------------
> "Mais fi docteur, ve passe les brofettes tous les zours"!!!
>

celle des toilettes?


Capture d  cran 2015 03 12 12.28 - Eugenol
chicot29

30/04/2015 à 19h33

Harry Bo écrivait:
------------------
> bonjour, je me ballade depuis peu sur le site et je suis tombée sur ce
> championnat qui perdure depuis 2010...et je me demande si ces photos et leurs
> commentaires ne risquent pas de poser de problèmes ("violation du secret
> professionnel ??? même s'il n'y a pas de noms, il y a quelque chose de gênant)
> d'autant plus que ce site est ouvert à TOUS, donc n'importe qui peut "tomber
> dessus"...il suffit juste que je dise à mes enfants : "hey, venez voir les
> horreurs qu'on a parfois au cabinet"..".yerk, ouais, dégueu, je vais montrer ça
> à mes potes, ils vont bien rigoler"...et voilà c'est parti sur la toile on ne
> sais où...ça va en faire marrer plus d'un, voire hurler, mais j'imagine que
> quelques uns trouveront encore un moyen de nous taper dessus alors qu'en ce
> moment on s'en prend quand même plein la goule pour pas un rond...ce serait peut
> etre pas mal d'avoir un peu d'intimité pour ce genre de sujets...non ??? ou
> ptetre que je me pose trop de questions...

Et sur les paquets de clope il n'y a pas des bouches dégueu ? le tabac n'est pas le seul responsable c'est un facteur agravant, la cradosserie est devant.


Bagheera tudzjy - Eugenol
bagheerra

11/07/2017 à 15h54

"Je n'ai pas eu le temps de me brosser les dents ce midi avant de venir, mais sinon je le fais bien".

Dsc 0244 juioxx - Eugenol

1...89