Cookie Consent byPrivacyPolicies.comc'est calme - Eugenol

c'est calme

Photo pluton1b h9n4ea - Eugenol
pluton

03/11/2010 à 22h15

mac écrivait:
-------------

> ben non c'est justement fait pour ça.

bein oui, çà je savais...;-)
maintenant, je ne juge pas ce choix...il est probablement dicté par les dimensions de ton implant le plus court...
c'est quoi les tailles et diamètres que tu as utilisé?


Logo vuaztn - Eugenol
mac

03/11/2010 à 22h29

pluton écrivait:
----------------
> mac écrivait:
> -------------
>
> > ben non c'est justement fait pour ça.
>
> bein oui, çà je savais...;-)
> maintenant, je ne juge pas ce choix...il est probablement dicté par les
> dimensions de ton implant le plus court...
> c'est quoi les tailles et diamètres que tu as utilisé?


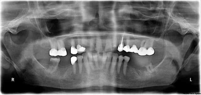
non c'est pas du aux dimensions de l'implant, c'est dès que c'est possible je fais du transvissé.

c'est des implants de 4 mm de diamètre, un en 8 l'autre en 13 mm.


Photo pluton1b h9n4ea - Eugenol
pluton

03/11/2010 à 22h43

ok, la radio est trompeuse, j'aurais dit plus court pour tes deux implants...
et tu préfères systématiquement jumeler? et si oui pourquoi? résistance mécanique?


Logo vuaztn - Eugenol
mac

03/11/2010 à 22h54

pluton écrivait:
----------------
> ok, la radio est trompeuse, j'aurais dit plus court pour tes deux implants...
> et tu préfères systématiquement jumeler? et si oui pourquoi? résistance
> mécanique?

en posterieur oui c'est plus simple, j'ai pas de points de contact à gérer.


Casque beotien a3jo39 - Eugenol
beotien

06/11/2010 à 09h17

mac écrivait:
-------------
> non c'est pas du aux dimensions de l'implant, c'est dès que c'est possible je fais du transvissé.
>
> c'est des implants de 4 mm de diamètre, un en 8 l'autre en 13 mm.

dans ce cas tu peux expliquer?
hormis fragiliser les cérams, mettre un compo qui vieillira mal, faire une belle photo des puits
pour le reste c'est vraiment très bien, j'aimerais faire aussi bien


Casque beotien a3jo39 - Eugenol
beotien

06/11/2010 à 09h19

.


Logo vuaztn - Eugenol
mac

07/11/2010 à 23h34

beotien écrivait:
-----------------
> mac écrivait:
> -------------
> > non c'est pas du aux dimensions de l'implant, c'est dès que c'est possible je
> fais du transvissé.
> >
> > c'est des implants de 4 mm de diamètre, un en 8 l'autre en 13 mm.
>
> dans ce cas tu peux expliquer?


pourquoi je fais du transvissé, parce que moins on dévisse le pilier supra-implantaire mieux c'est pour la stabilité des tissus mous ( Abrahamsson ), or avec du scellé j'aurais du passer par un pilier provisoire, faire une empreinte de l'implant, ce qui implique de nombreux vissages/ dévissages.


Blason dql7mj - Eugenol
growler

07/11/2010 à 23h37

He FM, Liu L, Zhang K, Chen S, Hu JA. Histological observation of the interface of oral
epithelium and titanium implant with titanium dioxide on the surface. Zhejiang Da Xue Xue
Bao Yi Xue Ban. 2002 Aug;31(6):444-447.


Abrahamsson I, Berglundh T, Lindhe J. The mucosal barrier following abutment
dis/reconnection. An experimental study in dogs. J Clin Periodontol. 1997 Aug;24(8):
568-72.


Img 8465 fqhxid - Eugenol
noahaxeltiger-olivier

07/11/2010 à 23h42

+ 1 avec toi mac.

On a tout à gagner à faire du vissé dès qu'on le peut. Cela permet de tout contrôler.
Le problème inesthétique du puit d'accès est un faux problème. 95% de mes patients ne sont absolument pas gênés par un composite occlusal. Pour les 5% restant, mon prothesiste fait un inlay occlusal et le resultat est parfait.


Blason dql7mj - Eugenol
growler

07/11/2010 à 23h52

+1
moi je n'y vois que des avantages.
En plus sur ce type de connexion, retirer parfaitement les excès de ciment de scellement c'est parfois du sport.


flicflac

08/11/2010 à 03h02

transvissé vs scellé?
en scellé tu peux mettre ton pilier le jour de la pose de l'implant et ne jamais le dévissé, prendre l'emprinte du pilier hors bouche avant de le vissé de facon permanente et faire empreinte le jour de la fabrication de la couronne finale et se servir de l'empreinte du pilier du jour de la pose d'implant ( genre pick-up tranferts).... en scellé le ciment ne devrais pas être plus difficile à enlever que sur une dent =naturelle, on ne vas pas 2-3mm sous gingivale.
avantages de la prothèse cimentée:
- diminue le dévissage
- passivité
- force axiales pour l'occluson
-occlusion plus stale sur la porcelaine dans le cas présent puits dans la cuspide de support sera sur du composite)
- temps plus courts
-coût de la prothèses moindrer
- diminue les risques de fracture de la porcelaine causé par le puit
-temporisation plus facile
-accès en postérieur de la visse peut-être difficiles
-niveau de la ligne de finition
-technique connue en denture naturelle


Img 0812 mvp6i0 - Eugenol
jeamba

08/11/2010 à 12h01

Plus de 10 ans de transvissé (bien avant que je commence à en poser) et jamais de fracture de porcelaine à cause du puits. Jamais de plainte esthétique non plus. Tous les implanto confirmés conseillent le transvissé.


Smile beach jgh0a1 - Eugenol
Céramik

08/11/2010 à 14h36

jeamba écrivait:
----------------
> Plus de 10 ans de transvissé (bien avant que je commence à en poser) et jamais
> de fracture de porcelaine à cause du puits. Jamais de plainte esthétique non
> plus. Tous les implanto confirmés conseillent le transvissé.

Sauf Misch...si si

--
Céramik


flicflac

09/11/2010 à 05h38

jeamba, du dévissage?? perte d'occlusion sur composite... perte d'implant du à la non passivité des structures?


Casque beotien a3jo39 - Eugenol
beotien

09/11/2010 à 13h09

jeamba écrivait:
----------------
> Plus de 10 ans de transvissé (bien avant que je commence à en poser) et jamais
> de fracture de porcelaine à cause du puits. Jamais de plainte esthétique non
> plus. Tous les implanto confirmés conseillent le transvissé.


N'y voit rien de personnel, je ne sais pas si je dois être amusé ou désabusé

C'est quoi un "implanto confirmé"?

Ta démonstration ne prouve qu'une chose, si vraiment en dix ans tu n'as vu aucun problème c'est que le transvissé est inutile cqfd mdr

Mac, growly, noah, sur X implants avec prothèses transvissées, combien en % de déposés à 5ans, et pourquoi?

par contre 100% d'accord pour les tissus mous, je n'ai pas lu l'article du dr abrahamson, parle t'il du switching platform?


Noah je ne doute pas de ce que tu dis,donc ton prothésiste silanise le puit afin de coller à froid un cylindre de céramique bravo


Smile beach jgh0a1 - Eugenol
Céramik

09/11/2010 à 14h15

beotien écrivait:
-----------------
> Noah je ne doute pas de ce que tu dis,donc ton prothésiste silanise le puit afin
> de coller à froid un cylindre de céramique bravo
>

Faire cela pour quel avantage ? Ça devient non démontable sans fraisage complexe...

Je crois que chaque situation est différente et parfois on peut cimenter ou visser...

Quand l'axe n'est pas bien pour le vissé, je cimente, quand la hauteur est trop faible, je visse.
Si demande esthétique : cimenté, et oui, il y en a pas mal qui après avoir payer le top, ne veullent pas de trous sur les couronnes...j'ai même refait un cas d'un confrère, car le patient ne voulait pas de trou, avec un truc grisâtre qui se tâche et doit être refait souvent...

Bien informé le patient avant, choisir les cas et hop une vissée, 2 cimentées...



--
Céramik


Utilisateur banni

09/11/2010 à 14h41

Céramik écrivait:
-----------------
> Bien informé le patient avant, choisir les cas et hop une vissée, 2 cimentées...
>
ou un mixte brige vissé avec surcouronne sellé sur les puits


Img 0812 mvp6i0 - Eugenol
jeamba

09/11/2010 à 19h41

Béotien et flicflac, je vous répète qu'en un peu plus de 10 ans pas de dévissage, pas de fracture de céramique et aucune perte d'implants. A moins que mes patients souffrent en silence et que je ne le sais pas .
Pou béotien,un implanto confirmé c'est un exclusif qui pose des implants à plein temps et qui a un pourcentage de perte compris dans les normes actuelles. Autrement dit pas comme toi.


RépondreCiter
S2y2o1v7q53ws4r5wy6ou8czrpom - Eugenol
pxav

09/11/2010 à 23h03

jeamba écrivait:
----------------

> Autrement dit pas comme toi.

quelle classe !!!
amitiés Béotien.
--
xbk
"Si tous ceux qui croient avoir raison n'avaient pas tort, la vérité ne serait pas loin".Pierre Dac.


bouboule

10/11/2010 à 00h38

Parmis ceux qui m ont appris les bases de l implanto les deux principaux ( plusieurs centaines a l année) font du scellé principalement pour les histoires bien connues de passivité dans les cas de bridges complets... comme quoi ça ressemble plus a une guerre de clocher qu a une règle édictée par des stats significatives...


Casque beotien a3jo39 - Eugenol
beotien

10/11/2010 à 13h15

jeamba cette attaque est navrante

je me moque bien d'être confirmé ou pas, je respecte tous mes confrères qu'ils en posent 10, 400 implants ou même pas du tout.
Ne vendant rien et ayant des patients je suis heureux!

Et pour les normes actuelles, ou est le problème?

http://www.eugenol.com/sujets/387142-c-est-la-merde?page=2#post_462017

en 2010, à ce jour + de 150 posés et 0 de chute,çà prouve QUOI?

soyons clair, je viens d'arrêter les sagesses car j'avais toujours dit que les dernières seraient celles de ma fille et c'est fait. Plus de 20 000 germectomies, sans être confirmé!!

Alors faire des trous en se prenant pour des dieux!!!!!
tout ou presque fonctionne (cf confrère avec ses tekka)et certaines chapelles s'effondrent plus vite que d'autres.

Quant-à être exclusif, on a un trop beau métier pour se cantonner à une seule discipline, c'est une question de choix de chacun.Mais pour cela aussi se méfier des chiffres annoncés, tous les conférenciers ne posent 2000/an.


Je réitère si "aucun" échec en transvissé, c'est que c'était inutile.
mais si le fait de savoir qu'éventuellement tu pourrais, en cas de problème que tu n'as pas, démonter te sécurise alors c'est bien continu.

Tiens ce matin j'ai enlevé celle là, mon correspondant l'avait un peu cassée avant de l'envoyer, patiente de 85 ans, facile 5 mn à 4 mains, mais pas à 2. 50€
et je ne poserais pas d'implant.
j'suis content de pas être exclusif!!!

Le béotien confraternellement te salue, et te souhaite beaucoup d'implants transvissés ou pas.









Ch1 keenqk - Eugenol

Photo pluton1b h9n4ea - Eugenol
pluton

10/11/2010 à 14h18

+1 béotien...de sages paroles...


S2y2o1v7q53ws4r5wy6ou8czrpom - Eugenol
pxav

10/11/2010 à 14h38

pluton écrivait:
----------------
> +1 béotien...de sages paroles...

voire même des paroles de sages :-))

--
xbk
"Si tous ceux qui croient avoir raison n'avaient pas tort, la vérité ne serait pas loin".Pierre Dac.


Img 0812 mvp6i0 - Eugenol
jeamba

10/11/2010 à 17h11

beotien écrivait:
-----------------
>
> Le béotien confraternellement te salue, et te souhaite beaucoup d'implants
> transvissés ou pas.
>


Je suis désolé béotien, je me suis senti agressé alors j'ai réagi avec le même style ressenti.
Encore désolé.


flicflac

15/11/2010 à 05h15

Je ne vois toujours pas l'avantage du vissé?