Cookie Consent byPrivacyPolicies.comc'est calme - Eugenol

c'est calme

Img 0812 mvp6i0 - Eugenol
jeamba

15/11/2010 à 21h30

Toi tu ne vois pas tout court.


Img 8465 fqhxid - Eugenol
noahaxeltiger-olivier

18/11/2010 à 01h04

.


Logo vuaztn - Eugenol
mac

03/07/2012 à 14h26

up.

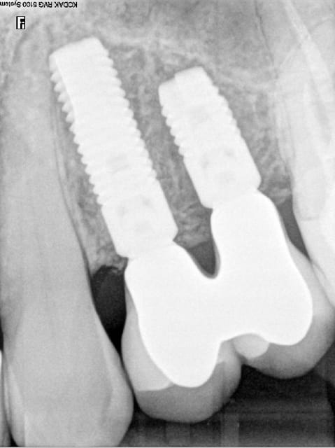
contrôle à 2 ans, niveau osseux pas trop mal.

Controle2ans a3nyrb - Eugenol

200106 10150128247663588 709988587 6466236 5598391 n d7mksb - Eugenol
hallboy

03/07/2012 à 15h50

tres propre... !