Tous les forums
Que faire sur cette dent ?
25/10/2010 à 20h16
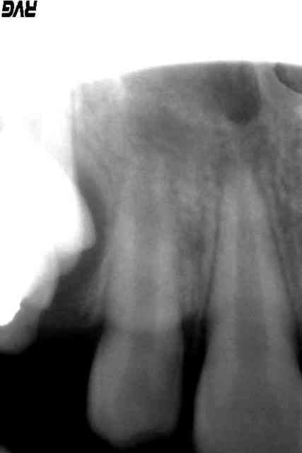
nous sommes donc au moins 2 à voir cette image radio claire, donc cette ENORME LESION et pensez qu'il faut intervenir.
la perte de cette dent est tout à fait possible à court terme.
le traitement d'apexification est un traitement rarement réalisé dans un cabinet d'omnipratique, d'où la peur de certain de mal le réaliser.
me trompe je?
ce traitement est courament réalisé par un endodontiste ou un dentiste pédiatrique exclusif.
Ne pensez-vous pas que ces spécialités auraient un intérêt à être clairement reconnue pour la population en général et aussi pour les dentistes évidemment?
26/10/2010 à 21h26
Bonsoir à tous, voici enfin des nouvelles de la petite patiente.
J'ai grand peur que le résultat de l'examen clinique de ce soir n'appaise pas le débat...
Rappel de la chronologie :
juin : cellulite autour de 53
fin juillet : cf les radios du début qui vous divisent tant.
AUJOURD'HUI
1° Test au froid normal sur 11-21-22
2° Pas de réponse au froid sur 12 (Je vois d'ici Mauve se frotter les mains et se dire qu'elle avait raison)
3° Radiographie : jugez-en vous-même, je ne vois pas d'image apicale flagrante pour 22. Les apex de 12 et 22 sont comparables.
4° Devant cela, j'ai fait un test de cavité pour en avoir le coeur net : test positif, la petite patiente a vite eu mal. En espérant que l'interprétation est fiable (ce genre de patiente est du style à appeler "douleur" une vibration un peu aiguë)
CONCLUSION
pour ma part, je reste dans le wait and see.
27/10/2010 à 02h06
Je suis effectivement très contente que tu aies revu cette patiente et que tu nous en fasses part et absolument pas que sa dent ne réponde pas au froid!
Je préfère être claire!!!
Comment est la palpation, la percussion?
Y a t il eu des douleurs qui ont provoqué ce nouveau rv?
Consultant le site sur mon iPhone, je n'arrive pas a voir correctement les radios. Si je clique sur la radio ça ne fait rien. Quelqu'un peut il m'aider?
Merci d'avance.
Sinon il est vrai qu'il est très difficile d'interpréter les test chez les enfants, même celui de la cavité.
D'où l'intérêt de développer la spécialité de dentisterie pédiatrique. Non vous ne trouvez pas que l' approche des enfants nécessite un savoir faire particulier?
En tout cas, si tu penses que tu ne peux pas la soigner correctement, fais lui en part et réfère!
Si tu penses que tu peux attendre attends
27/10/2010 à 02h12
Conclusion de normande que je suis!!!
Mon mail est parti un peu plus vite que prévu...
27/10/2010 à 10h47
MAUVE écrivait:
---------------
>
> Je suis effectivement très contente que tu aies revu cette patiente et que tu
> nous en fasses part et absolument pas que sa dent ne réponde pas au froid!
> Je préfère être claire!!!
> Comment est la palpation, la percussion?
> Y a t il eu des douleurs qui ont provoqué ce nouveau rv?
> Consultant le site sur mon iPhone, je n'arrive pas a voir correctement les
> radios. Si je clique sur la radio ça ne fait rien. Quelqu'un peut il m'aider?
> Merci d'avance.
> Sinon il est vrai qu'il est très difficile d'interpréter les test chez les
> enfants, même celui de la cavité.
> D'où l'intérêt de développer la spécialité de dentisterie pédiatrique. Non vous
> ne trouvez pas que l' approche des enfants nécessite un savoir faire
> particulier?
> En tout cas, si tu penses que tu ne peux pas la soigner correctement, fais lui
> en part et réfère!
> Si tu penses que tu peux attendre attends
Pas de douleur pour ce rdv de contrôle.
RAS à la percussion, RAS à la palpation si ce n'est une grosse bosse là où la canine arrive, en vestibulaire haut. C'est du ressort de l'ODF mais celui de la famille "préfère attendre, il n'y a pas besoin pour le moment"
Les radios sont en JPEG, je ne peux rien faire de plus...
En ce qui concerne la spécialité odonto pédiatrique, oui et non... C'est l'éternel débat du médecin généraliste contre ou avec les spécialistes... C'est vrai pour la pédo, mais alors aussi pour la chir, l'occluso, la paro, l'endo, la prothèse...