Cookie Consent byPrivacyPolicies.comgestion d'un cas par provisoire sur unitaire - Eugenol

gestion d'un cas par provisoire sur unitaire

laflutaille

14/09/2010 à 17h51

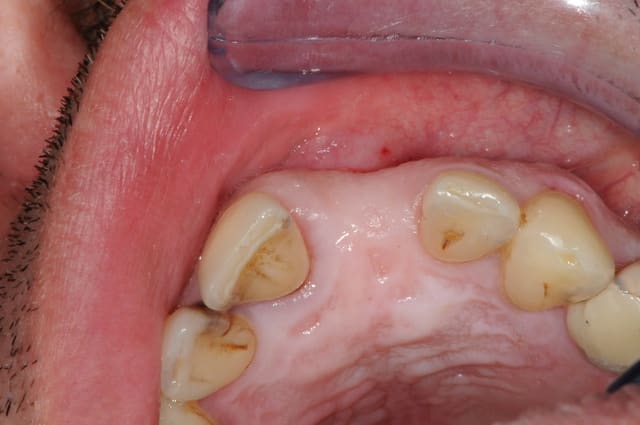
Pourriez vous me donner les étapes pour gérer un cas implnataire esthetique par provisoire. Faut il nécessairement utiliser une mise en charge immediate pour festoner la gencive comme on le souhaite . Merci d'avance


Img 8465 fqhxid - Eugenol
noahaxeltiger-olivier

14/09/2010 à 19h24

laflutaille écrivait:
---------------------
Faut il nécessairement utiliser une mise en charge immediate pour
> festoner la gencive comme on le souhaite.

Ce n'est absolument pas une obligation. Tu peux gerer tout cela lors de ton deuxieme temps chirugical aussi.

Tu peux former ton profil d'emergence de differentes façons, soit par le biais d'un pilier de cicatrisation customisé, soit par le biais d'une reconstruction provisoire implantoportée.
Il est aussi important d'apprecier le volume de tissus mou present parce que tu peux etre amené à l'augmenter par greffes de conjonctifs diverses.

Je ne veux pas donner l'impression de faire de la pub, mais sii tu es interesse par ce sujet là et que tu veux en savoir plus, tant en theorie qu'en pratique, contacte growler en m.p. et viens te joindre à nous à Lyon le 24 et 25 septembre ... Il ne reste plus qu'1 place.


laflutaille

14/09/2010 à 19h31

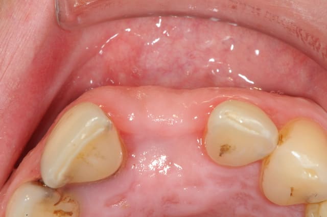
ok donc si j'ai bien compris le 1 temps chir pour un pilier customiser , et 2 temps chir avec pil ou prov implanto portée.
Qu'est ce que tu appeles customiser, moi par exemple je travaille avec camlog.


Img 0812 mvp6i0 - Eugenol
jeamba

14/09/2010 à 20h51

Customisé c'est personnalisé.


ad-hugo

14/09/2010 à 22h29

bonsoir Olivier, je n'étais pas au courant pour 24 sept Lyon, et c'est trop court pour piquer la dernière place à laflutaille donc c'est quand la prochaine session (s'il y en a une dans le pipe) que je book tout de suite!
merci


piezodoc

14/09/2010 à 23h16

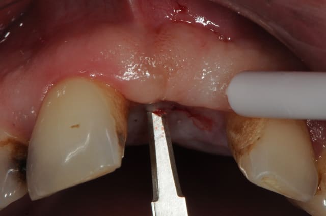
au cas où vous ne fait la provisoire immediatement, vous pouves choisir le" one stage procedure" . Dans ce cas, vous conservez la profile de la gomme avec une "gingiva former".

dans la zone estetique e tres important a fere extraction atraumatique e forage palatine pour preserver l os vestibularie.

le placement du implant doivent suivre( respecte) les règles de "3D insertion in estetic zone".

je vous recomendextraction avec la piezo.( piezotome satelec-est que ce j utilise)


prothèse définitive après 6 mois

Piezodoc

DDS,MsD Ph.D.
www.implantforum.org

2 ki7ze1 - Eugenol
3 l4icp4 - Eugenol
1 qnvrhw - Eugenol
4 rbog27 - Eugenol
6 zo6ih6 - Eugenol
7 jyfhcg - Eugenol
8 cilgbe - Eugenol
9 djuif7 - Eugenol
10 u9mnmg - Eugenol
11 mrjb2e - Eugenol
12 sgakkw - Eugenol
9999 coxceo - Eugenol

Smile beach jgh0a1 - Eugenol
Céramik

15/09/2010 à 04h59

piezodoc écrivait:
------------------
> au cas où vous ne fait la provisoire immediatement, vous pouves choisir le" one
> stage procedure" . Dans ce cas, vous conservez la profile de la gomme avec une
> "gingiva former".


gum = gencive et non gomme
gomme = chewing gum
;-)



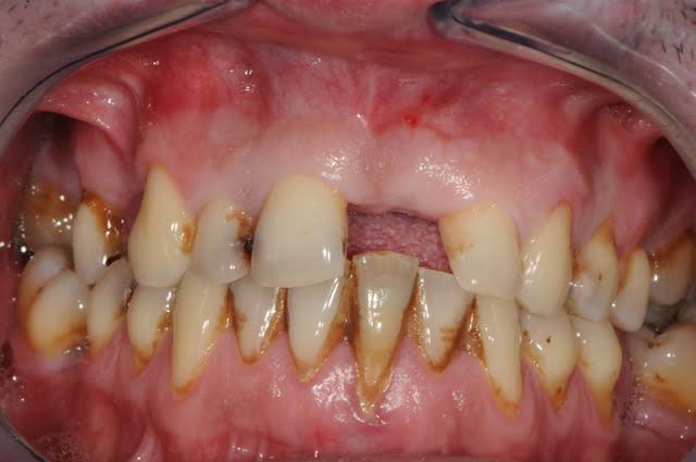
Dans le cas présenté, les images sont sur-exposées, couleur fade.

Need better white balance on your picture.
Set your camera white balance to flash, and reduce your flash output.

Avec un parodonte épais comme celui-ci, former la gencive n'est pas trop difficile.

With a gum biotype like this on, manipulating the gum is not very difficult.


Il y a aussi un gummy-smile et un sourire inversé, dommage après tant de couronnes.


The final result is a gummy smile with reverse smile line...too bad after all those crowns. A simple perio surgery could have give better result.


Ouf, c'est long en fran-glais...

--
Céramik


piezodoc

15/09/2010 à 11h25


:))

--
Piezodoc

DDS,MsD Ph.D.
www.implantforum.org


laflutaille

15/09/2010 à 18h24

comment vous personnalisez vos piliers ou vis de cica??


Img 0812 mvp6i0 - Eugenol
jeamba

15/09/2010 à 19h03

Cà veut dire que c'est une dent provisoire que tu confectionnes toi même sur le pilier de l'implant que tu as posé et ensuite tu la travailles au fur et au mesure de la cicatrisation afin de guider ta gencive.
Il y a un post bien fait sur eugénol qui me semble s'intituler "mise en vitrine" fais ta recherche sur le site.


laflutaille

15/09/2010 à 19h31

ok merci jeamba


Img 8465 fqhxid - Eugenol
noahaxeltiger-olivier

15/09/2010 à 19h52

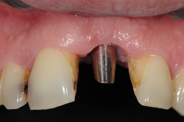
Un pilier de cicatrisation customisé ou personnalisé c'est une vis de ciatrisation individualisée : elle peut être faite de plusieurs facons par exemple à partir de ton porte implant que tu modifies par apport successif de composite.

Ca ressemble à cela :

Customized healing abutment c8863q - Eugenol

Img 0812 mvp6i0 - Eugenol
jeamba

15/09/2010 à 22h04

Oui olivier mais certains implants n'ont pas de porte implant comme le sustème nobel par exemple, et la vis de cicatrisation n'est pas "personnisable" par apport de résine. As-tu une solution pour ce système implantaire que tu connais trés bien d'ailleurs.


Img 8465 fqhxid - Eugenol
noahaxeltiger-olivier

15/09/2010 à 23h12

Tu peux utiliser des transferts d'empreinte sur implant pour porte empreinte à ciel ouvert. J'en ai sacrifié une vingtaine que je n'utilise qu'à cet effet. Tu peux en effet les réutiliser en faisant déposer le composite par ton labo puis en les stérilisant.

C'est une parfaite alternative pour les patients qui n'ont peut être pas les moyens financiers de faire une couronne provisoire implantoportée mais pour lesquels tu veux bien sûr obtenir un résultat esthétique des plus satisfaisant.

P.S: on aura l'occasion d'en rediscuter jeamba puisque tu viens à Lyon.

Amicalement
Olivier


3f3boxni50k58rq7e9ce9ddqrxgk - Eugenol
dentiste57

16/09/2010 à 01h41

sinon, tu peux toujours partir d'un pilier standard et tu fait une provisoire dessus qui s'adapte au mieux...

comme olivier tu en sacrifies une vingtaine, mais bon, c'est pas grave tu peux t'en re-servir.

Dsc 6182 cut3f9 - Eugenol
Dsc 6183 taumct - Eugenol
Dsc 6185 bqpmyw - Eugenol
Dsc 6190 xk6rpf - Eugenol
Dsc 6196 rufizq - Eugenol
Dsc 6287 bwvmon - Eugenol
Dsc 7566 usyx74 - Eugenol
Dsc 7570 k8lxxm - Eugenol
Dsc 7572 oilgl4 - Eugenol
Dsc 7576 fgb3fh - Eugenol

3f3boxni50k58rq7e9ce9ddqrxgk - Eugenol
dentiste57

16/09/2010 à 01h49

zut alors! j'ai pas assez de place pour tout mettre..

Dsc 7631 dplmhu - Eugenol
Dsc 7636 t73qbt - Eugenol
Dsc 7637 ibngi9 - Eugenol
Dsc 7642 byyio0 - Eugenol
Dsc 7644 g2j27t - Eugenol
Dsc 7648 zyewxe - Eugenol
Dsc 7650 ws8lsi - Eugenol
Dsc 7996 dnxt9f - Eugenol
Dsc 9027 vmtsxb - Eugenol

S2y2o1v7q53ws4r5wy6ou8czrpom - Eugenol
pxav

16/09/2010 à 10h01

dentiste57 écrivait:
--------------------
> zut alors! j'ai pas assez de place pour tout mettre..

et pas suffisamment de composite pour la latérale!
Goret!
très bien les photos:-))
--
xbk


laflutaille

16/09/2010 à 11h15

merci pour ces belles photos , j'ai cependant deux questions, le pilier que tu utilses pour la provisoire servira pour la définitive? et rebases tu a chaque fois avec du flow composite? quel interet ? merci d'avance


3f3boxni50k58rq7e9ce9ddqrxgk - Eugenol
dentiste57

16/09/2010 à 12h50

laflutaille écrivait:
---------------------
> merci pour ces belles photos , j'ai cependant deux questions, le pilier que tu
> utilses pour la provisoire servira pour la définitive?
non, je note seulement les références du pilier.
le prothésiste commande un pilier identique en forme , mais en zircone (pour les antérieurs en tout cas), et reproduit au mieux l'émergence de ma provisoire. le pilier initial sera réutilisé pour quelqu'un d'autre...

et rebases tu a chaque
> fois avec du flow composite? quel interet ? merci d'avance
une fois positionnée en bouche, je remet la courone sur le pilier que je démonte et réalise l'émergence avec le flow.
c'est assez précis et propre.
ici, c'est un implant AXIOM, le diamètre à la sortie du col de l'implant est très fin (cône et platform switching) et permet donc de travailler l'émergence au mieux.
je dis cela car sur les autres type d'implants avec une connexion plate, l'utilisation d'un pilier personnalisé est plus souvent nécessaire.


laflutaille

16/09/2010 à 13h21


> non, je note seulement les références du pilier.
> le prothésiste commande un pilier identique en forme , mais en zircone (pour les
> antérieurs en tout cas), et reproduit au mieux l'émergence de ma provisoire. le
> pilier initial sera réutilisé pour quelqu'un d'autre...


ok, et en cas ou l'impant est top vestibulé ou axe incompatible avec cette technique , quel recourt a t on ?


Casque beotien a3jo39 - Eugenol
beotien

16/09/2010 à 13h52

dentiste57 écrivait:
--------------------

> le prothésiste commande un pilier identique en forme , mais en zircone (pour les
> antérieurs en tout cas), et reproduit au mieux l'émergence de ma provisoire. le
> pilier initial sera réutilisé pour quelqu'un d'autre...


juste pour savoir
ton pilier est en zircone OK
et la vis?


3f3boxni50k58rq7e9ce9ddqrxgk - Eugenol
dentiste57

16/09/2010 à 20h08

laflutaille écrivait:
---------------------
>
> > non, je note seulement les références du pilier.
> > le prothésiste commande un pilier identique en forme , mais en zircone (pour
> les
> > antérieurs en tout cas), et reproduit au mieux l'émergence de ma provisoire.
> le
> > pilier initial sera réutilisé pour quelqu'un d'autre...
>
>
> ok, et en cas ou l'impant est top vestibulé ou axe incompatible avec cette
> technique , quel recourt a t on ?

pareille que chez Nobel, je fais faire un pilier anatomique comme cela se fait déjà sur d'autre marques. il faut juste connaître les bon labos...
mais bon, quand je pose l'implant, je teste dés le premier forage la compatibilité des piliers. j'en ai toujours plusieurs types sous la main, ça évite de se casser la tête après coup. ça empêche pas de se planter parfois comme tout le monde. si la préparation est correcte dés la pose , les piliers anatomiques sur mesures sont beaucoup moins nécessaires.


3f3boxni50k58rq7e9ce9ddqrxgk - Eugenol
dentiste57

16/09/2010 à 20h16

beotien écrivait:
-----------------

> juste pour savoir
> ton pilier est en zircone OK
> et la vis?

ben heuuuu!!?? c'est une question piège? en titane comme partout non ?

ici, pilier zircone pour Axiom ...avec vis ..titane (enfin je pense, je vais me renseigner quand même pour savoir si c'est pas un autre matériaux)

pfff!!
t'en as de ces questions...

Dsc 6475 xmxoc5 - Eugenol

Casque beotien a3jo39 - Eugenol
beotien

17/09/2010 à 12h23

dentiste57 écrivait:
--------------------

> pfff!!
> t'en as de ces questions...

normal c'est une question de beotien!
en fait c'est juste que cela me gene
un pilier ZIRCONE serré avec une vis titane ou autre dans un implant en titane
mais il y a surement des études sur les différences de résilience


Utilisateur banni

17/09/2010 à 14h17

beotien écrivait:
-----------------

> en fait c'est juste que cela me gene
> un pilier ZIRCONE serré avec une vis titane ou autre dans un implant en titane
> mais il y a surement des études sur les différences de résilience
>
pour les vis de piliers je ne connais que 2 types de métaux le titane et l'or, pour la résilience titane zircone des études en ortho prothèse devraient amener des éléments de réponses


12