Cookie Consent byPrivacyPolicies.comvis de fx moignon cassee dans l'implant - Eugenol

vis de fx moignon cassee dans l'implant

ned

15/09/2010 à 20h53

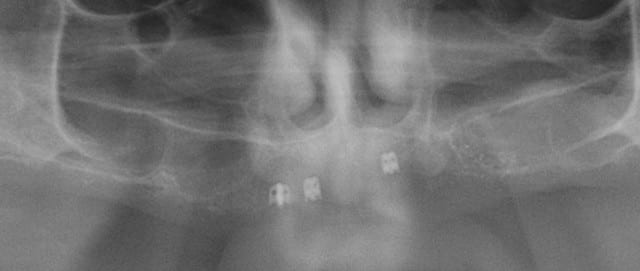
deux implants posés en 1994 et les deux vis de faux moignon sont cassees dans les deux implants
les implants sont solides
comment démonter les vis
merci pour vos conseils


Photo pluton1b h9n4ea - Eugenol
pluton

15/09/2010 à 21h06

surtout pas les ultrasons!!!
prends une vieille turbine au rotor mort...au pire tu le colles à la cyano...mais il faut que la griffe pour la fraise marche encore...tu mets une fraise diamantée fine neuve type "de touati" (neuve pour que çà accroche bien sur la vis, turbine bloquée pour pas que la fraise tourne...) et tu dévisses...enfin tu tentes de dévisser...patience obligatoire, aides optiques bienvenues (loupes, voir mieux encore...microscope...)

PS: c'est un truc que m'a donné un confrère implanto très réputé et expérimenté...dieu merci, je n'ai pas encore eu à le tester...
sinon, je crois qu'il existe des trousses de "tournes à gauche" spécifiques...mais je n'ai pas de liens...et çà doit coûter quand même beaucoup plus cher...


Images 5  n6rze9 - Eugenol
zebob

15/09/2010 à 21h49

ca me rappelle une conf faite par marc bert ton truc...


Cuisinier2 vnbbxx - Eugenol
jeff2

15/09/2010 à 21h52


Première chose est ce que c'est des couronnes tranvissées ou des couronnes scellées sur des piliers titane dont la vis s'est cassée.
c'est pas le le même problème

--
FSDL What Else?


Photo pluton1b h9n4ea - Eugenol
pluton

15/09/2010 à 23h21

zebob écrivait:
---------------
> ca me rappelle une conf faite par marc bert ton truc...


vi, c'est çà...au CURAIO...


Mosquitogif zt3c7k - Eugenol
mosquito

16/09/2010 à 00h11

http://www.anthogyr.com/fr/implants/anthofit-oi-straight/descriptif.html
page 50 et 51
kit de retouche HE (hexagone externe je suppose !)


Blason dql7mj - Eugenol
growler

16/09/2010 à 01h17

http://www.eugenol.com/sujets/387471-devissage-protheses-sur-implants?page=1#post_467473


ned

16/09/2010 à 09h56

il s'agit de fx moignons monoblocs cad non transvissés
ceux que l'on vissait sur les implants tbr impactés


S2y2o1v7q53ws4r5wy6ou8czrpom - Eugenol
pxav

16/09/2010 à 14h23

ned écrivait:
-------------
> il s'agit de fx moignons monoblocs cad non transvissés
> ceux que l'on vissait sur les implants tbr impactés

pas pour te faire peur, mais pratiquement indévissable (matage à froid) expérience perso...
les implants sont vraiment solide?
ils peuvent ne tenir que par la "croix" apicale comme là
--
xbk

Co fr12.06 - Eugenol

Ylfwcw979cz1jnx9gfqeaxndiuzk - Eugenol
Algi

16/09/2010 à 15h00

Pluton, j'ai absolument rien compris! La turbine bloquée c'est uniquement pour faire un "manche à fraise"???? Si c'est bien le but de la manoeuvre, ne serait-ce pas plus simple de solidariser une touati avec de la resine sur un manche de sonde ou de miroir?

Sinon j'ai eu le cas en mai 2010, 2 vis cassées, j'en suis venu à bout avec loupes, detartreur sonique (type titan S), une pince gouge bien affutée et ensuite une boulette de composite polymerisée sur le debut de vis dévissée pour faire manche de tournevis.

Si jamais la vis dépasse un peu il est aussi possible de solidariser à la resine auto un tournevis "creux" pour tenons endodontiques et de devisser avec.

--
"On a toujours le choix! Mais entre quoi et quoi?
Vas-y boulégue et l'avenir te le dira!"


Image 4 lrchtq - Eugenol
Alain

16/09/2010 à 16h04

pluton écrivait:
----------------
> zebob écrivait:
> ---------------
> > ca me rappelle une conf faite par marc bert ton truc...
>
>
> vi, c'est çà...au CURAIO...

ah! Marc Bert au CURAIO: "Avant j'avais quatre membres souples et un membre raide, maintenant j'ai quatre membres raides et..." ;)


Photo pluton1b h9n4ea - Eugenol
pluton

16/09/2010 à 18h48

Algi écrivait:
--------------
> Pluton, j'ai absolument rien compris! La turbine bloquée c'est uniquement pour
> faire un "manche à fraise"???? Si c'est bien le but de la manoeuvre, ne
> serait-ce pas plus simple de solidariser une touati avec de la resine sur un
> manche de sonde ou de miroir?

oui, c'est pour faire un manche à fraise...mais je pense qu'il faut quand même exercer une certaine pression sur la fraise, pour que çà accroche sur ce qu'il reste de la vis...d'où cette technique avec la vieille turbine, bien rigide et solide...je doute de la solidité du simple montage/collage avec ta résine...ou alors, faire une soudure avec de la brasure argent...mais çà tous les CD ont pas forcément dans les tiroirs...alors que le tube de cyano, oui...


Fresh watermelon 640x562 udulqz - Eugenol
gulguch

16/09/2010 à 19h52

> ah! Marc Bert au CURAIO: "Avant j'avais quatre membres souples et un membre
> raide, maintenant j'ai quatre membres raides et..." ;)

...et quand il appelait Madame Langer (USA) la "silicone valley"!
Moi aussi Bertiste convaincu.


3f3boxni50k58rq7e9ce9ddqrxgk - Eugenol
dentiste57

16/09/2010 à 20h27

pxav écrivait:
--------------

> ils peuvent ne tenir que par la "croix" apicale comme là


Seigneur ! pardonnez lui ! il ne sait pas ce qu'il dit...


Casque beotien a3jo39 - Eugenol
beotien

01/10/2010 à 16h30

sinon en pratique cela donne çà