Cookie Consent byPrivacyPolicies.comLe même cas traité … - Eugenol

Le même cas traité …

1 p3qrc4 - Eugenol
Bjc.

19/09/2010 à 03h55

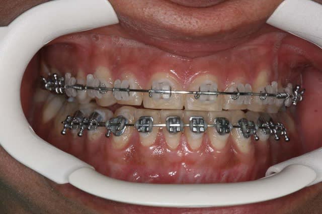
traité en technique de Burstone, puis en friction faible

Il s’agit d’un cas en transfert, qui n’est pas satisfaite du résultat de son traitement O.D.F. (Burstone)
Elle a consulté un chirurgien maxillo qui lui propose un chirurgie haut et bas, et lui a dit qu’elle aurait besoin d’une finition O.D.F.

Pourquoi pas

Comme elle me parle d’extractions des PM. Inf., je lui demande les coordonnées de son chirurgien, et lui demande s’il ne préfère pas que je réaligne les Inc. Inf. avant la chirurgie, quitte à la mettre provisoirement en inversé d’articulé Ant.

Il et elle me donnent leur accord, voici les photos de départ


@+ Bjc.
(S.S.Q.)

Dsc1 hfdtgk - Eugenol
Dsc2 evat7w - Eugenol
Dscf1191 bqotkn - Eugenol
Dscf1192 x0djbp - Eugenol
Dscf1193 trlafa - Eugenol
Img 0743 oqhmdw - Eugenol
Img 0745 wkq74j - Eugenol

1 p3qrc4 - Eugenol
Bjc.

19/09/2010 à 04h14

(traité en technique de Burstone, puis en friction faible)

je la traite par les techniques de friction faible, et voici le résultat 1 an après
je ne suis pas en inversé d’articulé Ant. comme je pensais me retrouver !!!

et son profil s’est bien modifié


@+ Bjc.
(S.S.Q.)

Img 1 hjhvut - Eugenol
Img 1959 mwyncs - Eugenol
Img 1960 cfhmb9 - Eugenol
Img 2675 b2hjzb - Eugenol
Img 2676 xbazij - Eugenol
Img 2677 fimxor - Eugenol

Grueavatar nptrc9 - Eugenol
Le Choixpeau magique

19/09/2010 à 11h42

Je ne comprends pas Bjc, où sont les documents avant la chir ?

--
FSDL, what else ?


Images 1 qtgoxf - Eugenol
ciwil

19/09/2010 à 12h07

comprends pô non plus :(
si elle a déjà subi une génioplastie, comment était son profil avant !?
les Dalton ont une sœur ?


1 p3qrc4 - Eugenol
Bjc.

19/09/2010 à 13h56

je n’ai pas de photos avant qu’elle vienne me voir

chronologiquement : elle a subi une chir du menton il y a 3 ans, puis insatisfaite du résultat, un traitement O.D.F. de 2 ans, tjs. insatisfaite , elle est allée consulter un 2° chirurgien, c’est alors qu’elle est venue me voir. Les 1° photos datent de cette époque

un an de TTT. en fiction faible, 2° série de photos, elle va aller voir son 2° chirurgien


@+ Bjc.


Picture1111 zburnd - Eugenol
saidkholoki

19/09/2010 à 14h32

Je ne vois pas tres bien la difference, peux-tu nous faire deux tracés et les superpositions pour mieux evaluer ce que tu a fait,

--
A suivre...
Said


Ares

19/09/2010 à 14h36

Bjc. écrivait:
--------------

> je la traite par les techniques de friction faible, et voici le résultat 1 an
> après

magnifique! extraordinaire! :-)
non, sans rire, qu'est ce qui a changé?
pourquoi voulais tu te retrouver en articulé inversé?
pas d'encombrement au départ, bonne inclinaison des incisives et bks de 5 à 5 sans niveler la courbe de spee, je ne vois pas pourquoi on serait en articulé inversé (à cause de la croissance? :))

ou alors j'ai pas compris la difficulté du cas et l'apport des frictions faibles!


Ares

19/09/2010 à 14h36

saïd a répondu + vite que moi...


1 p3qrc4 - Eugenol
Bjc.

19/09/2010 à 15h26

il vous faut un crayon, une règle et un rapporteur pour voir une différence?

Img 2748 kucytz - Eugenol

guiostooo

19/09/2010 à 15h44

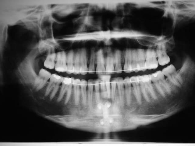
On voit bien le changement de profil sur les radios .


Images 1 qtgoxf - Eugenol
ciwil

19/09/2010 à 15h51

Ah si, elle a changé de coiffure !
l'ombre sous le menton a disparu
elle n'a plus de collier
elle a mis un chemisier
l'ombre sous le nez a disparu

'tain, ça fait longtemps que j'ai pas joué aux 7 erreurs !
:)

sérieusement, la génioplastie n'aurait pas été un peu timide ?


Ares

19/09/2010 à 17h06

tu as réussi à lui avancer le point A?
félicitations
ou alors c'est du à une légère version incisive supérieure + un soutien de la lèvre supérieure amélioré par l'épaisseur des brackets

pour ciwil, la génioplastie avait été faite avant les 2 photos de profil


1 p3qrc4 - Eugenol
Bjc.

19/09/2010 à 17h11

(traité en technique de Burstone, puis en friction faible)

la génioplastie n’a pas été une réussite la 1° fois, toutes les Rx. sont avec le résultat de cette génioplastie

pour ceux qui ne se rappellent pas bien de l’analyse esthétique de Ricketts, voici qq. tracés

Bjc.
(S.S.Q.)

Img 2749 bmtyca - Eugenol
Img 2750 yyncok - Eugenol
Img 2751 j0oig1 - Eugenol
Img 2752 m2hphb - Eugenol

Images 1 qtgoxf - Eugenol
ciwil

19/09/2010 à 17h15

Ares écrivait:
--------------
> pour ciwil, la génioplastie avait été faite avant les 2 photos de profil

justement, je ne trouve pas le tracé d'ostéotomie très clair, le résultat aurait ptêt pu être plus franc, tu ne trouves pas ?
(t'as un mp)


Smile beach jgh0a1 - Eugenol
Céramik

19/09/2010 à 17h36

Tu as placé du compo sur le post du bas, ouvrant la DV post, ce qui change le profil, non ?

PS à la fin, tu me l'envoies pour des céramik ant, car l'aspect très carré et usé des dents n'est pas très joli...


--
Céramik


1 p3qrc4 - Eugenol
Bjc.

19/09/2010 à 17h56

"""Tu as placé du compo sur le post du bas, ouvrant la DV post, ce qui change le profil, non ?"""

oui, en cours de TTT.
la derniere Rx. et les photos de visage sont prises avant qu'elle retourne voir son 2° chirurgien et sont sans compo

@+


1 p3qrc4 - Eugenol
Bjc.

19/09/2010 à 18h30

"""PS à la fin, tu me l'envoies pour des céramik ant,"""

j'en connais qui vont etre jalouse
:-))


1 p3qrc4 - Eugenol
Bjc.

19/09/2010 à 19h05

(traité en technique de Burstone, puis en friction faible)

"""ou alors c'est du à une légère version incisive supérieure + un soutien de la lèvre supérieure amélioré par l'épaisseur des brackets"""

arc et Bk. ne modifient pas un angle naso-nasal, les tissus mous ont un énorme potentiel d’adaptation (fait des photos de profil de tes patients 3 mois après la pose de ton matériel et tu verras toi-m que le matériel ne change pas un profil, encore une fausse idée reçue)
pas plus qu’ils ne modifient les lèvres, regarde bien l’évolution du volume des lèvres de ma patiente, ce n’est pas un matériel qui peut faire ça

"""tu as réussi à lui avancer le point A?
félicitations"""

peut être, avec une légère version des Inc. Sup., mais ce n’est pas ce que je voulais faire.
Ce cas a été traité en Burstone (technique délicate) par un praticien dont la réputation n’est plus à faire, et qui de surcroit enseigne cette technique. Je n’imaginais pas faire mieux, cela s’est fait sans moi

De plus en plus, je crois que j’ai été trop directif dans mes TTT., il se passe, avec les frictions faibles et les forces faibles, des phénomènes biologiques encore inexpliqués, mais ce n’est pas pour cela qu’il faut les rejeter


@+ Bjc.
(S.S.Q.)


Ares

19/09/2010 à 19h21

pourquoi alors une version incisive agirait sur la lèvre supérieure, mais pas l'épaisseur des brackets? le potentiel d'adaptation des tissus mous serait différent dans l'un ou dans l'autre cas?

néanmoins, il serait facile et très rapide de faire une petite mesure du SNA avant et après. Peux tu faire ça pour nous? :)
ça aiguise ma curiosité!


1 p3qrc4 - Eugenol
Bjc.

19/09/2010 à 19h26

très belle question
qui peut répondre à ma place ?


Ares

19/09/2010 à 19h33

Bjc. écrivait:
--------------
> très belle question
> qui peut répondre à ma place ?

personne, tu es unique!
une sorte d'Edward Angle d'eugénol!!!


1 p3qrc4 - Eugenol
Bjc.

19/09/2010 à 20h02

et le respect du aux anciens ?

tu me réciteras 3 Pater et 2 Ave pendant que je finis de souder mes nouveaux câble Hi-Fi

:-))


Ares

19/09/2010 à 20h46

Bjc. écrivait:
--------------
...pendant que je finis de souder mes nouveaux
> câble Hi-Fi
>
> :-))

http://www.audiovideohd.fr/tests/146-Philips-WACS-7500-0.html

si tu t'en sors pas avec les fils et les soudures!


1 p3qrc4 - Eugenol
Bjc.

19/09/2010 à 23h09

cela peut peut être t'aider

Img 2753 prhzht - Eugenol

takamatika

20/09/2010 à 01h23

bonsoir professeur
excuser moi,tu parle du faible friction
pour moi la faible friction nessite des brackets autoligaturants.
peut tu m'expliquer s'il te plait


12