Cookie Consent byPrivacyPolicies.comIC or not ? - Eugenol

IC or not ?

Smile beach jgh0a1 - Eugenol
Céramik

21/09/2010 à 04h44

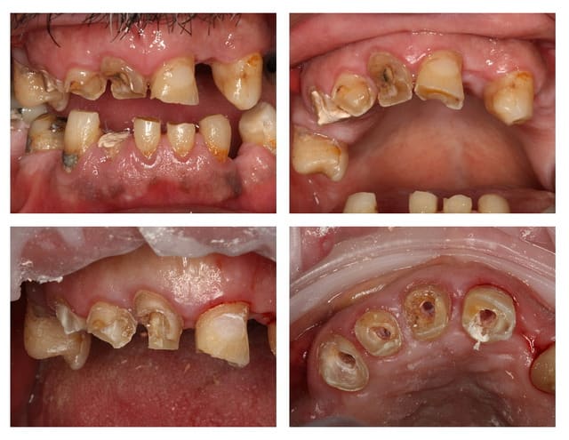
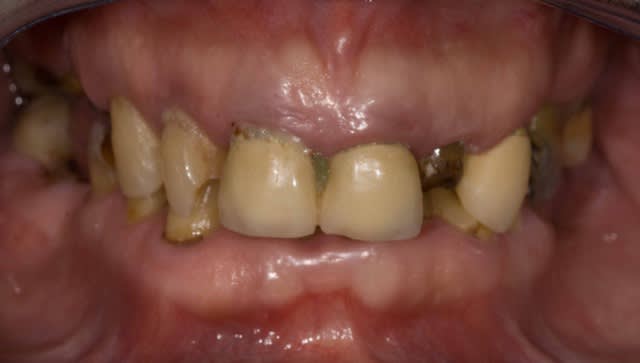
Patient vu vendredi passé...

Endo 21-11-12-13
Il reste aussi 15 et 26

Plan de tx :
Pas d'implants...pour l'instant
Couronnes 12, 11 et 26
Bridges 15-X-13 et 21-X-23
Stellite

Alors, IC ou pas sur les endo ?
13 ?
12 ?
11 ?
21 ?

Pour le bas...vendredi prochain...à suivre

--
Céramik

Ic or not eqzkid - Eugenol

200106 10150128247663588 709988587 6466236 5598391 n d7mksb - Eugenol
hallboy

21/09/2010 à 10h49

3 sur 4


3f3boxni50k58rq7e9ce9ddqrxgk - Eugenol
dentiste57

21/09/2010 à 12h05

dans des cas complexes comme celui ci:
relever la dv
bridges provisoires haut et bas avec ou sans ic (tenon au début) et voir comment ça se passe
si un stellite est existant, mettre du compo dessus pour relever dv.

pas simple bon courage.

dans ce genre de cas, si le patient ne dit pas oui à tout, c'est pas la peine de commencer...c'est dure mais c'est comme ça


Grueavatar nptrc9 - Eugenol
Le Choixpeau magique

21/09/2010 à 12h40

Pour la question d'avec ou sans IC, il serait important de connaître les paramètres radiculaires (longueur principalement). Avec des longues racines de mamouth, je ne mettrai pas d'Ic.

--
FSDL, what else ?


Avatar 46 aoi1yc - Eugenol
HononLulu

21/09/2010 à 12h51

T'es gonflé Céramik de demander un avis en nous proposant juste des photos.

T'as de la chance qu'on soit pas susceptibles, ne recommence pas stp........:-)


Gutt-A

21/09/2010 à 13h27

IC foulée résine sur les 4.


Avatar 46 aoi1yc - Eugenol
HononLulu

21/09/2010 à 14h49

En fait t'es en train de nous dire que tu fais le devant en premier et éventuellement tu gères le postérieur plus tard ?

Le 20 septembre est l'équivalent de 1° avril au Canada ??


Smile beach jgh0a1 - Eugenol
Céramik

21/09/2010 à 15h53

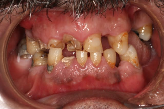
Plus d'info (radio ce soir...demain pour vous...)

Patient n'a pas de stellite
Bonnes racines, pas de mobilité

Le sujet n'est pas la séquence, ni le plan de tx, mais savoir quelles dents IC ou bien tenons fibrés + résine...

C'est pas un cas d'école, super bien préparé,trop parfait, avec devis de 30,000€, mais un cas assez banal, d'un patient ordinaire (plusieurs pensent que mes patients sont tous hyper soigneux de leurs dents...pffft....)

--
Céramik


Img 3657 cwjvqm - Eugenol
alapex

21/09/2010 à 16h03

Mets des IC en or jusqu'à l'apex sinon ...:)


Smile beach jgh0a1 - Eugenol
Céramik

21/09/2010 à 16h20

alapex écrivait:
----------------
> Mets des IC en or jusqu'à l'apex sinon ...:)

alapex...humm...pourquoi un peu plus et facturer IC + implant en même temps ?
;-)

--
Céramik


Grueavatar nptrc9 - Eugenol
Le Choixpeau magique

21/09/2010 à 17h07

Avec de bonnes racines, moi je mets des tenons fibrés partout.
Après je n'ai pas beaucoup de recul, peut être que tout va me revenir dans quelques années à la figure.

--
FSDL, what else ?


Marque a3 orange fyvhyq - Eugenol
Marc Apap

21/09/2010 à 17h24

Oui, ça serait bien : comme ça , tu croiras à la vraie vie, plutôt qu'à ceux, y compris les universitaires qui sont payés, directement ou non, par les fabricants de composite qui t'enfument, de bonne foi ou pas.


Img 3657 cwjvqm - Eugenol
alapex

21/09/2010 à 17h33

Je plaisantais , ceci à la vue de on IC sur la prémo . du cas précédent .

Tu as des moulages en occlusion , une pano ?


Grueavatar nptrc9 - Eugenol
Le Choixpeau magique

21/09/2010 à 17h43

Marc Apap écrivait:
-------------------
> Oui, ça serait bien : comme ça , tu croiras à la vraie vie, plutôt qu'à ceux, y
> compris les universitaires qui sont payés, directement ou non, par les
> fabricants de composite qui t'enfument, de bonne foi ou pas.


Qu'est-ce qui te permet d'être aussi définitif ?

Qui sont les universitaires dont tu parles ?

--
FSDL, what else ?


Photo 158 mluhia - Eugenol
robin

21/09/2010 à 18h18

Céramik écrivait:
-----------------
> > Mets des IC en or jusqu'à l'apex sinon ...:)
>
> alapex...humm...pourquoi un peu plus et facturer IC + implant en même temps ?
> ;-)
>
> --
> Céramik

un peu comme ça?

Inlay core - Eugenol

Marque a3 orange fyvhyq - Eugenol
Marc Apap

21/09/2010 à 19h03

Le Choixpeau magique écrivait:
------------------------------
> Marc Apap écrivait:
> -------------------
> > Oui, ça serait bien : comme ça , tu croiras à la vraie vie, plutôt qu'à ceux,
> y
> > compris les universitaires qui sont payés, directement ou non, par les
> > fabricants de composite qui t'enfument, de bonne foi ou pas.
>
>
> Qu'est-ce qui te permet d'être aussi définitif ?
>
> Qui sont les universitaires dont tu parles ?
>
> --
> FSDL, what else ?

Je suis définitif parce que j'ai un peu plus d'expérience que toi de la dentisterie en cabinet, mais aussi du monde universitaire et de celui de l'édition (c'est à dire ce qui s'écrit dans les revues et qui les sponsorise).
Le choix d'une méthode de reconstitution ne doit pas être une religion.


Avatar 46 aoi1yc - Eugenol
HononLulu

21/09/2010 à 21h07

robin écrivait:
---------------
k
>
> un peu comme ça?


Tu bosses bien ...... Pas trop de prothèses qui se descellent j'imagine...ouarffff ouarffff ouaarff


Smile beach jgh0a1 - Eugenol
Céramik

22/09/2010 à 07h13

dentiste57 écrivait:
--------------------
>>
> pas simple bon courage.
>

Justement, si c'est pas simple, c'est plus intéressant.



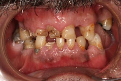
Autre photo et une radio


>--
Céramik

Occlusion pr  op cgna2r - Eugenol
Radio montage rdhjbj - Eugenol

Smile beach jgh0a1 - Eugenol
Céramik

22/09/2010 à 07h33

Le Choixpeau magique écrivait:
------------------------------
> Avec de bonnes racines, moi je mets des tenons fibrés partout.
> Après je n'ai pas beaucoup de recul, peut être que tout va me revenir dans
> quelques années à la figure.
>
>

Je suis 98% tenons fibrés + résines.

J'ai débuté en 1994, avec les tenons carbones, puis les quartz. C'est pas une études scientifique, ni pour la vente d'un produit, c'est seulement ma p'tite expérience.

Dans les molaires, parfois pas de tenon, selon le cas.

--
Céramik


 mg 0207 xwjxcl - Eugenol
Tillc

22/09/2010 à 12h27

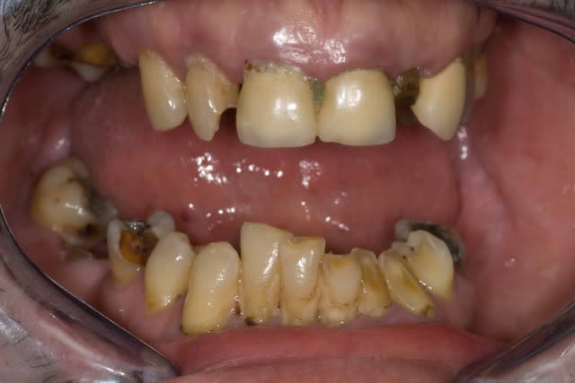
1) Patient qui semble bruxoman
2) Perte du calage postérieur donc propulsion de la mandibule pour rechercher de la proprioception avec les dents antérieures ( bonne change pour le remettre en relation centrée !).
3) Augmentation de DV ou elongation coronaire semble nécéssaire
4) Vu le parodonte du Patient et le sexe masculin .Il doit avoir des masseters comme des biceps
5) Le patient ne semble pas avoir une exigence esthétique enorme
6) Tu vas faire des stellites avec attachements qui vont encore plus augmenter la tension sur les cérams.

Si tu cherches les limites mécaniques des reconstitutions fibrées , crois moi tu vas dans le mur direct. Si tu poses la question juste pour faire polémique sache que c'est débile car face a un cas comme ca meme ma grand mere poserait des IC.


 mg 0207 xwjxcl - Eugenol
Tillc

22/09/2010 à 12h38

Tiens dans la serie question stupide

Patient adulte male méditeranéen 50 ans
Ancien fumeur et buveur
Parodontite chronique generalisée severe sur 80% modérée sur 20% . Indice de plaque 110%.
Supraclusion avec morsure palatine
Bruxisme diurne unilatérale ( coté gauche pour ceux qui n'avait pas vu ) suite a la perte du calage postérieur et de la DV il y a plusieurs années.
Il a comme exigence 1 : Ne pas poser d'implants ( tabac/argent) 2:Ne pas toucher aux dents saines (31 41 42 43 44 ).

Alors Ceramik IC or not :) ?

 mg 0006 tszohd - Eugenol
 mg 0005 i2tjyi - Eugenol

Harley davidson fat boy special 2010 2 pqsaxa - Eugenol
elmex

22/09/2010 à 13h06

on peut encore avoir des exigences à ce stade là?


Gonzo k0qhwz - Eugenol
matten

22/09/2010 à 13h53

Mon avis eclairé.

Ne fais rien, laisse le pourrir un peu plus et dans 10 ans tu lui fais 2 complets sur implants.

Voila un traitement fiable.

Rien ne marchera sur ces dents et sur cet homme. Sauf si tu as envie de jouer du SAV avec lui, parce que ne t'inquiete pas:
IL VIENDRA T'EMM...DER TOUS LES JOURS SI CA MERDE! : )


Grueavatar nptrc9 - Eugenol
Le Choixpeau magique

22/09/2010 à 13h54

Céramik écrivait:
-----------------
> Dans les molaires, parfois pas de tenon, selon le cas.

En France, si tu ne mets pas de tenon tu n'es pas payé, donc on met des tenons décoratifs pour faire joli sur les radis.

--
FSDL, what else ?


Grueavatar nptrc9 - Eugenol
Le Choixpeau magique

22/09/2010 à 13h58

Marc Apap écrivait:
-------------------
> Je suis définitif parce que j'ai un peu plus d'expérience que toi de la
> dentisterie en cabinet, mais aussi du monde universitaire et de celui de
> l'édition (c'est à dire ce qui s'écrit dans les revues et qui les sponsorise).

Splendide argument d'autorité.

> Le choix d'une méthode de reconstitution ne doit pas être une religion.

Sauf quand c'est toi qui fait le prêche ?

Quels sont tes paramètres décisionnels ?

--
FSDL, what else ?