Cookie Consent byPrivacyPolicies.competite astuce pour refermer après une extraction - Eugenol

petite astuce pour refermer après une extraction implantation immédiate

sinclair

05/10/2010 à 22h28

Le cas EII sur 12
positionnement de l'implant en ménageant un espace en vestibulaire qui st comblé avec de l'os synthétique car l'espace est important et il y a une perforation de la corticale vestibulaire en regard de l'apex de la dent.

pour recouvrir tout cela et gagner un peu de volume vestibulaire
un lambeau palatin pédiculé qui après une rotation va recouvrir l'implant et la greffe.

PS ce sont mes premières photos de chirurgie donc....

Img 1238 j2ub5n - Eugenol
Img 1240 fklqjb - Eugenol
Img 1241 posc4q - Eugenol

alhoun

05/10/2010 à 22h34

j'aurais mis quelques fils de plus, quand même!!
;)


Img 8465 fqhxid - Eugenol
noahaxeltiger-olivier

05/10/2010 à 23h30

C'est beaucoup mieux si tu fais un conjonctif pediculé palatin.

Amicalement.
Olivier


Blason dql7mj - Eugenol
growler

05/10/2010 à 23h32

super tes photos sinclair, tu maîtrise déjà très bien ton canon.
Tu vas mettre en fonction ton implant dans combien de temps?

@+


Photo pluton1b h9n4ea - Eugenol
pluton

05/10/2010 à 23h36

super les photos...c'est avec les réglages que je t'avais donné?

en tout cas bravo

j'ai appris l'astuce avec noah à Lyon...;-)


sinclair

06/10/2010 à 00h08

pour pluton
ce sont en effet les réglages que Growler et toi m'ont donné
merci pour vos conseils éclairés

Pour Growler
je pense faire la mise en fonction dans 3-4 mois
mais cela n'ira pas plus loin car c'est le cas d'un correspondant...

Pour Noah-Olivier
j'ai désépithélialisé la portion que j'ai glissé sous le lambeau vestibulaire, par contre j'ai laissé l'épithélium sur la partie qui recouvre l'implant et qui est "à l'air libre"


3f3boxni50k58rq7e9ce9ddqrxgk - Eugenol
dentiste57

06/10/2010 à 00h54

Très bien!
petit conseil, change de fils.


Avatar ow44t3 - Eugenol
Chicot

06/10/2010 à 10h22

Et arrose au sérum phy avant une photo chi en cours, ça fait moins sanglant

--
;O)


Avatar ow44t3 - Eugenol
Chicot

06/10/2010 à 10h22

Et arrose au sérum phy avant une photo chi en cours, ça fait moins sanglant

--
;O)


Img 8465 fqhxid - Eugenol
noahaxeltiger-olivier

06/10/2010 à 11h48

Voila un exemple de conjonctif pédiculé palatin.

Les gros avantages par rapport à ta technique sinclair sont :
1- mobilisation d'un plus gros volume de tissus pour gonfler en vestibulaire.
2- cicatrisation de première intention au niveau du palais puisque l'ensemble du site prélevé est couvert par ta fenêtre d'accès
3- peu de suite post opératoire.

En ce qui concerne la technique de prélèvement je laisse parler les participants des 2 jours de formation à Lyon qui pourront nous dire si cela était vraiment compliqué:

growler, fouilla, humator, candide candida, pluton, marcB6, jeamba, zian, qu'en pensez vous ?

@+
Olivier

Lambeau conjonctif p dicul  palatin uxih95 - Eugenol

Photo pluton1b h9n4ea - Eugenol
pluton

06/10/2010 à 12h18

non, noah, c'est plus difficile à expliquer qu'a montrer en fait...


Image0003 h8bton - Eugenol
jf560

06/10/2010 à 15h47

si j'ai bien compris tu fais un volet d'acces palatin tu fais une dissection au niveau du conjonctif puis rotation de ce conj puis fermeture du site de prelevement par ton epithelium.ai je bien compris,par rapport a sinclair qui un recouvrement epithelio conjonctif.merci d'avance.


Photo pluton1b h9n4ea - Eugenol
pluton

06/10/2010 à 16h13

oui, c'est çà...


3f3boxni50k58rq7e9ce9ddqrxgk - Eugenol
dentiste57

06/10/2010 à 16h16

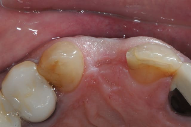
parfois ça rend bien service...

suite à une splendide ratage incontrôlé ( méa culpa, méa culpa...)
1-après pose de l'implant; nécrose du lambeau, beurkk..

2-nouveau lambeau

3-prélèvement d'un énorme steak pédiculé (faut pas avoir peur d'aller loin!)

4-sutures à donf

pour la petite histoire j'ai fait ça en urgence un 23 décembre: tu parles d'un cadeau!

5-cicatrisation, c'est mieux mais c'est pas encore ça, donc rebelote!

6-prélèvement d'un p'tit bout du palais

7- un peu de collagène sur la plaie palatine

8-greffon

9 sutures

10-11- cicatrisation

j'ai oublié de faire des photos la dernière fois que j'ai vu la patiente mais l'aspect de la gencive est nickel et l'implant est parfaitement ostéo-intégré.

Img 1049 kzlqcc - Eugenol
Img 1053 eklwv1 - Eugenol
Img 1056 rtvohx - Eugenol
Img 1061 dfgbhh - Eugenol
Dsc 1700 rfwg0c - Eugenol
Dsc 4736 xaftau - Eugenol
Dsc 4739 vrkv5z - Eugenol
Dsc 4740 i6qp3k - Eugenol
Dsc 4745 xzqz6d - Eugenol
Dsc 4834 v5wzm0 - Eugenol
Dsc 4929 ftkknj - Eugenol

Blason dql7mj - Eugenol
growler

06/10/2010 à 20h24

noahaxeltiger-olivier écrivait:
-------------------------------
> Voila un exemple de conjonctif pédiculé palatin.
>
> Les gros avantages par rapport à ta technique sinclair sont :
> 1- mobilisation d'un plus gros volume de tissus pour gonfler en vestibulaire.
> 2- cicatrisation de première intention au niveau du palais puisque l'ensemble du
> site prélevé est couvert par ta fenêtre d'accès
> 3- peu de suite post opératoire.
>
> En ce qui concerne la technique de prélèvement je laisse parler les participants
> des 2 jours de formation à Lyon qui pourront nous dire si cela était vraiment
> compliqué:
>
> growler, fouilla, humator, candide candida, pluton, marcB6, jeamba, zian, qu'en
> pensez vous ?
>
> @+
> Olivier


il est vrai que l'utilisation d'instruments appropriés (notamment une micro-lame) facilite la dissection du tissu conjonctif, comme nous avons pu nous en rendre compte durant nos TP.
D57, entre la photo de départ et celle de fin, on voit bien le service que peu rendre ces déplacement de tissu conjonctif.
Et en fait, l'indication est assez fréquente.


3f3boxni50k58rq7e9ce9ddqrxgk - Eugenol
dentiste57

06/10/2010 à 22h18

à propos des microlames, il existe des lames avec deux types d'angulation chez MJK
l'une est hyper pratique pour les secteurs postérieurs (type 2)et l'autre pour les dissections au niveau du palais (type 1).

http://www.identix.fr/html/index.php?page=19&id_pro=98&id_cat=1&id_scat=37


Img 3657 cwjvqm - Eugenol
alapex

06/10/2010 à 23h20

dentiste57 écrivait:
--------------------

>
> j'ai oublié de faire des photos la dernière fois que j'ai vu la patiente mais
> l'aspect de la gencive est nickel et l'implant est parfaitement ostéo-intégré.
>


Je confirme .

D57 cekjgi - Eugenol

Avatar ow44t3 - Eugenol
Chicot

06/10/2010 à 23h27

alapex écrivait:
----------------
> dentiste57 écrivait:
> --------------------
>
> >
> > j'ai oublié de faire des photos la dernière fois que j'ai vu la patiente mais
> > l'aspect de la gencive est nickel et l'implant est parfaitement ostéo-intégré.
> >
>
>
> Je confirme .

photoshop ?

--
;O)


3f3boxni50k58rq7e9ce9ddqrxgk - Eugenol
dentiste57

07/10/2010 à 00h13

soit tu es le dieu vivant du photoshop soit tu as revu ma patiente...


je suis sur le cul! beau montage! chapeau bas!

maintenant, moi qui ne fais jamais de retouches photo, je commence à avoir des doutes sur les résultats esthétiques qu'on peut parfois nous présenter dans les confs.


3f3boxni50k58rq7e9ce9ddqrxgk - Eugenol
dentiste57

07/10/2010 à 11h37

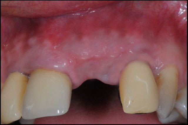
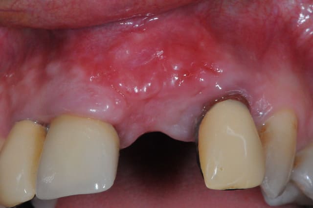
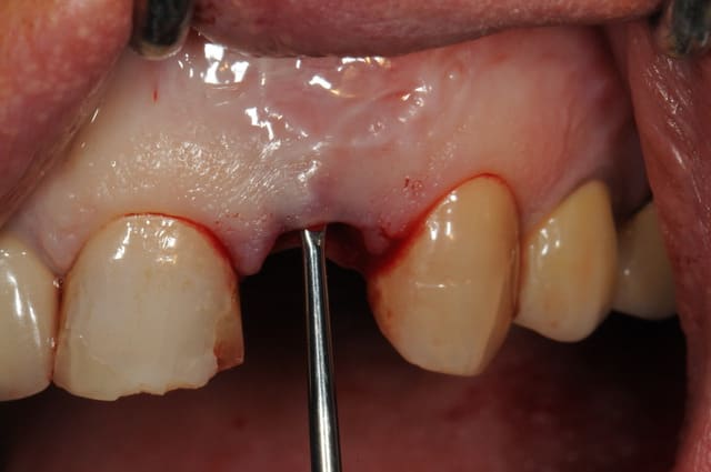
ça vous dit un autre cas ?


Photo pluton1b h9n4ea - Eugenol
pluton

07/10/2010 à 11h40

oui...;-)

faut détendre l'atmosphère...électrique ce matin...;-)


3f3boxni50k58rq7e9ce9ddqrxgk - Eugenol
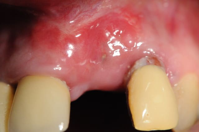
dentiste57

08/10/2010 à 02h00

-22:dent foutue

-avulsion au périotome' un p'tit coup à gauche, un ptit coup à droite...)

- la dent avec du beurk au bout

-le site d'extraction

-vérification de l'existence d'une table externe

-implantation (je passe les détails)

- prélèvement d'une petite pièce de gencive libre

- suture de la "pastille" de gencive

-j+10 jours

-+1 mois

( la suite n'a n'a plus d'intérêt ici sur ce poste)

Dsc 5989 rsvzij - Eugenol
Dsc 5998 pn6arl - Eugenol
Dsc 6002 jylq7j - Eugenol
Dsc 6005 a3fucc - Eugenol
Dsc 6994 jhh16c - Eugenol
Dsc 5313 qtwmvf - Eugenol
Dsc 5984 gxqbqg - Eugenol
Dsc 5986 uoxyfr - Eugenol
Dsc 5988 z9vt2s - Eugenol
Dsc 5993 tbs5j1 - Eugenol
Dsc 5997 pdfld8 - Eugenol
Dsc 5999 czqabh - Eugenol
Dsc 6003 jesdzq - Eugenol
Dsc 6239 iwc7sv - Eugenol

3f3boxni50k58rq7e9ce9ddqrxgk - Eugenol
dentiste57

08/10/2010 à 09h50

.


Img 3657 cwjvqm - Eugenol
alapex

08/10/2010 à 09h55

..


Img 3657 cwjvqm - Eugenol
alapex

08/10/2010 à 09h56

Soigne les embrasures !


12