Cookie Consent byPrivacyPolicies.competite astuce pour refermer après une extraction - Eugenol

petite astuce pour refermer après une extraction implantation immédiate

Img 3657 cwjvqm - Eugenol
alapex

08/10/2010 à 11h09

Questions:
Pourquoi recouvrir par greffon ?
Pourquoi pas simplement un vis ?
La vascularisation du greffon dans l'esprit semble problématique , non ?


Blason dql7mj - Eugenol
growler

08/10/2010 à 11h25

alapex écrivait:
----------------
> Questions:

> La vascularisation du greffon dans l'esprit semble problématique , non ?


il est vascularisé par les berges, donc il faut privilégier un greffon épais et désépithélialiser les berges gingivales de l'alvéole.


Img 0812 mvp6i0 - Eugenol
jeamba

08/10/2010 à 12h21

On voit que ce diable de noah est passé par là.


flicflac

08/10/2010 à 12h27

si l'implant a un torque initiale de plus de 35N 'ideal ne serait pas de temporisé immédiatement afin de guidé les papilles..

Implant dent 11 009 ryfyox - Eugenol
Implant dent 11 004 d6n4pz - Eugenol
Implant dent 11 010 geibyc - Eugenol

3f3boxni50k58rq7e9ce9ddqrxgk - Eugenol
dentiste57

08/10/2010 à 13h11

flicflac écrivait:
------------------
> si l'implant a un torque initiale de plus de 35N 'ideal ne serait pas de
> temporisé immédiatement afin de guidé les papilles..

dans un cas comme celui ci, je fait systématiquement une mise en esthétique immédiate, la cicatrisation est bien plus prévisible est le résultat esthétique au niveau papillaire est plus facile à obtenir que quand on doit à nouveau ré intervenir sur un site où la gencive s'est aplatie.
mais là, j'ai pas pu, la stabilité primaire de l'implant n'était pas suffisante parce que le granulome avait fait trop de dégâts, il n'y avait pas assez d'os pour un ancrage suffisant même si j'y ais mis un implant de grande longueur.


3f3boxni50k58rq7e9ce9ddqrxgk - Eugenol
dentiste57

09/10/2010 à 21h07

je peux mettre un autre cas ?

il me semble en ce moment que tous le monde s'en moque un peu; nada, rien , aucun commentaire, y a plus d'échanges...
c'est pourtant ça , l'échange, la seule chose qui soit vraiment sympa sur ce forum.


king_zoulou

09/10/2010 à 21h16

Je ne suis pas suffisamment "implanto-compétent" pour commenter, mais crois bien que, pour ma part au moins, tes photos sont particulièrement intéressantes.


Photo pluton1b h9n4ea - Eugenol
pluton

10/10/2010 à 00h39

vi D57, encore un cas...

et que dire quand le traitement est bien mené...quand c'est bon, c'est bon...;-)


sinclair

10/10/2010 à 01h02

mais oui D57 mets les cas
il n'y a pas grand chose à dire mais si tu y tiens...

on pourrait préférer les solution qui prennent en compte la revascularisation comme des greffons partiellement désépithélialisé et enfoui en périphérie
ou
des lambeaux pédiculés comme je l'ai essayé de le montrer au début du post

mais sinon

tes résultats plaident pour toi

le travail est parfait


Img 3657 cwjvqm - Eugenol
alapex

10/10/2010 à 01h08

dentiste57 écrivait:
--------------------
> je peux mettre un autre cas ?


Il est 23 h , nous attendons avec patience ...mais dépêche toi .


>
> il me semble en ce moment que tous le monde s'en moque un peu; nada, rien ,
> aucun commentaire, y a plus d'échanges...


Meuh non .


> c'est pourtant ça , l'échange, la seule chose qui soit vraiment sympa sur ce
> forum.


A force on va demander à Edmond qu'il revienne ...))


P1010130 jpci1f - Eugenol
MarcB6

10/10/2010 à 01h17

Salut D57,

bravo pour tes 2 cas, bien iconographiés et parfaitement menés.

j'ai quelques questions STP.
1: dans quels cas tu choisi un simple punch plutôt qu' un greffon pédiculé
2: as tu comblé le gap vestibulaire dans le second cas ?
3: as tu interposé un matériau quelconque entre la partie coronaire de ton implant et ton punch ?
4: d'après toi, un comblement osseux vestibulaire, une vis de cicatrisation pas trop longue n'ayant pas de contact avec ta temporisation et des sutures étanches pour protéger ta greffe n'auraient pas étaient suffisants ?

merci pour tes réponses
cordialement

Marc


3f3boxni50k58rq7e9ce9ddqrxgk - Eugenol
dentiste57

10/10/2010 à 16h39

MarcB6 écrivait:
----------------
> Salut D57,
>
> bravo pour tes 2 cas, bien iconographiés et parfaitement menés.
>
> j'ai quelques questions STP.
> 1: dans quels cas tu choisi un simple punch plutôt qu' un greffon pédiculé

ben, quand je sens que je vais pas avoir le temps...je sais, c'est une réponse de Normand, mais le punch permet d'avoir une gencive attachée à coup sure.
je fais un lambeau pédiculé quand il ne peut y avoir la moindre chance d'exposition et que la revascularisation est Hyper importante (greffe osseuse..)

> 2: as tu comblé le gap vestibulaire dans le second cas ?
oui, avec du bio-os je crois

> 3: as tu interposé un matériau quelconque entre la partie coronaire de ton
> implant et ton punch ?
oui et car si fonctionne, on évite effondrement gingivale.

> 4: d'après toi, un comblement osseux vestibulaire, une vis de cicatrisation pas
> trop longue n'ayant pas de contact avec ta temporisation et des sutures étanches
> pour protéger ta greffe n'auraient pas étaient suffisants ?
dans le dernier cas, j'avais un peu de couple lors du vissage en apicale mais certainement pas suffisament d'os autour de l'implant pour pouvoir permettre le moindre effort en latéralité sur l'implant, donc...pas de vis.
de toute façon, si je peux mettre une vis, je peux mettre une couronne (sans charge)

>
> merci pour tes réponses

ça me fait plaisir :))


P1010130 jpci1f - Eugenol
MarcB6

11/10/2010 à 00h07

Merci D57 d'avoir pris le temps de me répondre.

tu as raison l'échange c'est vraiment la finalité d'un forum comme celui ci

a+

--
Marc


3f3boxni50k58rq7e9ce9ddqrxgk - Eugenol
dentiste57

11/10/2010 à 00h56

juste un p'tit truc pour fixer le greffon...
ce n'est qu'une astuce,mais c'est le sens de ce fil non ?

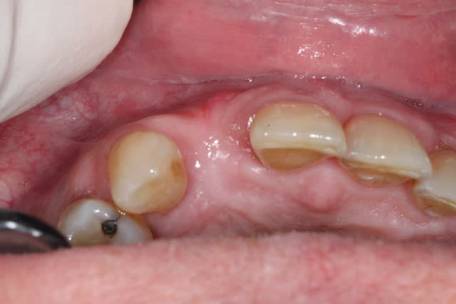
ici une extraction d'une 13 avec implantation de 14 et 13 direct.

14 pas beaucoup d'os en vestibulaire , donc expansion avec ostéotomes et ROG plus tard.

13 implantation dans une cavité+++, l'implant tient peu il baigne dans le bio-os.
il doit être recouvert d'une membrane (pour 14 surtout).
mais, j'ai de craintes de ne pas avoir suffisamment d'étanchéité.
c'est le cas, car une fois les sutures terminées, il me reste la membrane qui est exposée.

Dsc 6732 oq6b0q - Eugenol
Dsc 6736 vhaqdb - Eugenol
Dsc 6740 wi3ui5 - Eugenol
Dsc 6747 yn8lu8 - Eugenol
Dsc 6733 k1mcdz - Eugenol
Dsc 6744 fifsmn - Eugenol
Dsc 6746 fzaznq - Eugenol
Dsc 6749 nzamcz - Eugenol

3f3boxni50k58rq7e9ce9ddqrxgk - Eugenol
dentiste57

11/10/2010 à 01h03

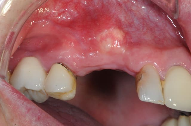
je prélève un petit lambeau au palais, l'incision se fait à l'opposé du centre du greffon de façon à avoir un biseau partout.

je passe un fil de suture avant de suturer. c'est trop difficile de travailler un truc fin comme du papier.
je replace le greffon au dessus de la membrane et il vient tout naturellement se plaquer à celle ci.
je précise que c'est un fil de suture avec une aiguille à chaque extrémité du fil.
après 3 mois, la bosse canine commence seulement à être lissée par le remaniement osseux.

voilà, c'est tout.

bonne nuit et bonne journée à tous.

Dsc 6750 pusq5e - Eugenol
Dsc 6752 uxnrez - Eugenol
Dsc 6756 wbe2wk - Eugenol
Dsc 6757 tvvb2q - Eugenol
Dsc 6758 x4vxec - Eugenol
Dsc 6751 ngfgea - Eugenol
Dsc 6763 ri2mcl - Eugenol
Dsc 9450 cfcinz - Eugenol

S2y2o1v7q53ws4r5wy6ou8czrpom - Eugenol
pxav

11/10/2010 à 09h59

il serait temps que tu utilise les bons outils pour l'expansion!
je ne t'ai pas montré comme ça:-))
Joli cas quand même, bien pour la gencive...
à bientôt, tu ne m'a pas donné ton avis pour le cas de MCI, 8 implants avec expansion c'est mieux non?

--
xbk
" Tous savaient que c'était impossible.
Est arrivé un imbécile qui ne le savait pas...et qui l'a fait!"
Marcel Pagnol


sinclair

04/02/2011 à 14h27

la suite après 4 mois de cicatrisation

Img 1593 azuvuo - Eugenol

flicflac

05/02/2011 à 04h43

et maintenant est-ce que tu temporise immédiatement ou tu mets seulement une visse de guérison


Avatar ow44t3 - Eugenol
Chicot

06/02/2011 à 13h23

flicflac écrivait:
------------------
> et maintenant est-ce que tu temporise immédiatement ou tu mets seulement une
> visse de guérison


STOP AVEC VISSE

mais qu'est ce que vous avez tous avec les vis... ça deviens du vice.........



--
;O)


flicflac

07/02/2011 à 04h45

chicot préfère peut-etre pilier de guérison...


12