Cookie Consent byPrivacyPolicies.comUne journée plaisante en implanto . - Eugenol

Une journée plaisante en implanto .

Pépélaratiche

20/10/2010 à 16h28

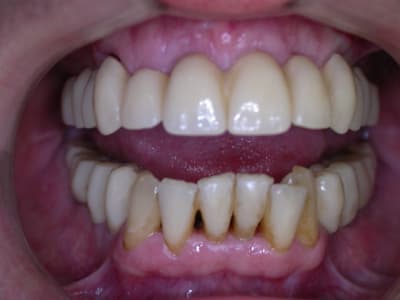
21 jours post-op

Pp

Dscn6837 rky0y7 - Eugenol

Utilisateur banni

20/10/2010 à 16h40

joli!


Pépélaratiche

20/10/2010 à 17h53

Oui patient très heureux même avec une petite "surcharge" implantaire selon certains ;-)

J ai mis un petit commentaire sur la MCI comme tu m y incitais , sans se fritter ;-))))))))))

Pp


Utilisateur banni

20/10/2010 à 18h20

Pépélaratiche écrivait:
-----------------------
> J ai mis un petit commentaire sur la MCI comme tu m y incitais , sans se fritter;-))))))))))

et pourtant tas la patate pour un Pp
je l'ai bien lu , remarque avertie pour l'armature, pour l'antagostiste en postèrieur réponse en vidéo
à+ posit


209209668 fh2mys - Eugenol
fredo667

21/10/2010 à 14h41

J'arrive un peu apres la bataille et je n'y connait rien en implants disques. Mais pourquoi en avoir mis secteur 3? parce que la trousse était sortie ou bien?


Img 3657 cwjvqm - Eugenol
alapex

21/10/2010 à 14h54

Pépé me demande de te fournir les documents ci joints , n'en abuse pas sauf si tu as prévu un voyage en Jamaïque .
;))))))

Img 3697 ttsop6 - Eugenol
Img 4227 zj4x4i - Eugenol
4228bis zeckxd - Eugenol

209209668 fh2mys - Eugenol
fredo667

21/10/2010 à 15h13

Promis je ne les fumerai pas


3f3boxni50k58rq7e9ce9ddqrxgk - Eugenol
dentiste57

21/10/2010 à 20h55

Pépélaratiche écrivait:
-----------------------
> 21 jours post-op
>
> Pp

comme quoi , finalement, même si nous ne sommes pas d'accord sur la façon d'y arriver, seul le résultat compte.
le patient est content.