Cookie Consent byPrivacyPolicies.comParo: La Nouvelle Vague. - Eugenol

Paro: La Nouvelle Vague.

alhoun

18/10/2010 à 17h51

alapex écrivait:

> Donc il faut arrêter de prendre les autres pour des cancres de la dentisterie .

oui, ce sera à envisager lorsque les autres arrêterons de poser des prothèses sur des terrains minés, en invoquant je ne sais quelle fatalité.


Img 3657 cwjvqm - Eugenol
alapex

18/10/2010 à 18h10

alhoun écrivait:
----------------
> alapex écrivait:
>
> > Donc il faut arrêter de prendre les autres pour des cancres de la dentisterie
> .
>
> oui, ce sera à envisager lorsque les autres arrêterons de poser des prothèses
> sur des terrains minés, en invoquant je ne sais quelle fatalité.

Dans tous les cas , globalement et sans détailler je dirai que juger un confrère est contraire à ma charte personnelle .
Pourtant...
J'ai trop rencontré d' abrutis vraiment cons et vraiment nuls qui se prenaient pour des dieux , des humbles qui se débrouillaient divinement que mon propos en devient tout et son contraire .

Je retourne en Eugénologie !
Adieu..))))


alhoun

18/10/2010 à 18h15

sans parler de cons, d'abrutis et de dieux, il est évident pour tout le monde que l'écrasante majorité des paros de ce pays ne sont pas soignées...
la profession sera adulte lorsqu'elle saura dire: pas de bras, pas de chocolat.


Olieve

18/10/2010 à 18h23

alhoun écrivait:
----------------
> sans parler de cons, d'abrutis et de dieux, il est évident pour tout le monde
> que l'écrasante majorité des paros de ce pays ne sont pas soignées...

Imaginons un monde idéal avec une paro remboursée, des patients motivés.... il faudrait encore une chose : doubler le nombre de dentiste face à l'ampleur de la tâche


alhoun

18/10/2010 à 18h33

contentons nous des patients qui consultent!


Logo vuaztn - Eugenol
mac

18/10/2010 à 18h47

Olieve écrivait:
----------------

> Imaginons un monde idéal avec une paro remboursée



ça veut dire quoi une paro remboursée???


Img 8465 fqhxid - Eugenol
noahaxeltiger-olivier

18/10/2010 à 19h10

Elle est remboursée l'implanto en France ?

Les peri-implantites, vous les mettez dans la categorie paro ou implanto?


cherche encore !

18/10/2010 à 23h27

Dans la catégorie ultime: lésions paro -implanto: c'est LA toute nouvelle catégorie, mais je parierai bien qu'elle a de l'avenir, celle là...


Quand à la paro remboursée, elle l'est, partiellement ou totalement par certaines mutuelles. C'est à prendre en compte, même si ça n'est pas la majorité des mutuelles...

Des patients motivés, quand on l'est soi-même par la paro, on les trouve. Surtout quand il y a 99% des patients qui ne sont pas traités.
Qui se ressemble, s'assemble.

Et qui ne me ressemble pas, ressort de mon cabinet sans détartrage.






willygator

19/10/2010 à 00h20

On est convaincu quand on est convaincant..
Je suis d'accord


Img 0812 mvp6i0 - Eugenol
jeamba

19/10/2010 à 00h43

cherche encore ! écrivait:
--------------------------
>
> Et qui ne me ressemble pas, ressort de mon cabinet sans détartrage.


Belle mentalité!!!!


Grueavatar nptrc9 - Eugenol
Le Choixpeau magique

19/10/2010 à 01h34

cherche encore ! écrivait:
--------------------------
> Et qui ne me ressemble pas, ressort de mon cabinet sans détartrage.

Ca c'est le truc qui tue, le patient que tu croyais convaincu par tes explications sur la maladie paro et la nécessité du traitement, et qui te fait "mais alors mon détartrage vous n'allez pas me le faire ?".


chicote64

19/10/2010 à 01h45

et bien moi je suis parfois un peu démotivée quand après un détartrage j'expliques au patient une bonne méthode de brossage,le fil les brossettes et compagnie...Huit jours après je le retrouve avec un maximum de plaque et il m'explique qu'il n'a pas eu le temps d'acheter le fil et les brossettes et l'expression "pisser dans un violon"me trotte dans la tete quand je reprend mon détartrage et je me dis que je suis la dernière des idiotes à me donner du mal.Et je repense à un conseil d'un confrère plus agé qui m'a dit quand je m'installais:
:"ne tiens pas pas aux dents de tes patients plus qu'ils n'
y tiennent eux-meme".tout ça pour dire que détecter les parodontites précoces je sais le faire par contre convaincre les patients qui n'en ressentent pas les inconvénients(tant qu'il n'y a pas de mobilité ou de douleur..)je suis surement une nulle


Fresh watermelon 640x562 udulqz - Eugenol
gulguch

19/10/2010 à 02h25

Il est plus facile de faire de la chir paro dans un cabinet de luxe sur des patients motivés qui sont venus pour ça que d'expliquer à Madame Michu au fond de l'Eure et Loir qu'elle va perdre ses dents dans quelques années si elle brosse pas mieux.
C'est comme ça depuis longtemps et personne n'a trouvé la solution.


Img 8465 fqhxid - Eugenol
noahaxeltiger-olivier

19/10/2010 à 10h11

gulguch écrivait:
-----------------
> C'est comme ça depuis longtemps et personne n'a trouvé la solution.

Hygiéniste dentaire


Marque a3 orange fyvhyq - Eugenol
Marc Apap

19/10/2010 à 10h35

Si c'est une hygiéniste dentaire dans un cabinet de luxe ou spécialisé (comme on le voit en France), c'est juste bon pour le dentiste qui n'aura plus à se taper le sale boulot.
Hygiéniste dentaire, tout à fait d'accord, mais dans un autre cadre que celui qui existe : présentes dans toutes les structures sociales (les écoles notamment) et passage obligatoire deux fois par an (je sais, je suis un peu fasciste sur ces coups là, mais je ne vois pas comment inciter les gens à se prendre en main autrement que par la contrainte : les accidents de voiture ne diminuent que grâce aux radars et aux amendes)


55 s2ba7n - Eugenol
Bjorn Again

19/10/2010 à 11h14

gulguch écrivait:
-----------------
> Il est plus facile de faire de la chir paro dans un cabinet de luxe sur des
> patients motivés qui sont venus pour ça que d'expliquer à Madame Michu au fond
> de l'Eure et Loir qu'elle va perdre ses dents dans quelques années si elle
> brosse pas mieux.
> C'est comme ça depuis longtemps et personne n'a trouvé la solution.



Très jolie synthèse.


Fresh watermelon 640x562 udulqz - Eugenol
gulguch

19/10/2010 à 13h08

noahaxeltiger-olivier écrivait:
-------------------------------
> gulguch écrivait:
> -----------------
> > C'est comme ça depuis longtemps et personne n'a trouvé la solution.
>
> Hygiéniste dentaire

1/ En France, ya pas.
2/ S'il y avait, ce serait remboursé et donc les patients se dérangeraient meme pas à y aller.


Img 8465 fqhxid - Eugenol
noahaxeltiger-olivier

19/10/2010 à 14h54

Il est clair que l'on ne va pas refaire le monde. Mais des gens voulant être motivés et coopérant quand ils ont été correctement informés, il y en a certainement aussi en France !
Focaliser sur eux c'est déjà très bien !

Pour les autres, malheureusement, c'est tant pis pour eux. Aussi je déconseillerais vivement de s'aventurer dans des ttt implantaires sur ces sujets là : cela ne résoudra aucun problème, c'est perdu d'avance !
Que cela déplaise à certains, c'est juste de la sélection de patientèle.


55 s2ba7n - Eugenol
Bjorn Again

19/10/2010 à 17h27

noahaxeltiger-olivier écrivait:
-------------------------------
> Il est clair que l'on ne va pas refaire le monde. Mais des gens voulant être
> motivés et coopérant quand ils ont été correctement informés, il y en a
> certainement aussi en France !

Pas tant que ça, vu le nombre de CD qui s'expatrient...

> Focaliser sur eux c'est déjà très bien


C'est peanuts niveau santé publique. Je précise pour que ce soit clair que la santé publique ne m'importe pas.


>
> Pour les autres, malheureusement, c'est tant pis pour eux. Aussi je
> déconseillerais vivement de s'aventurer dans des ttt implantaires sur ces sujets
> là : cela ne résoudra aucun problème, c'est perdu d'avance


Ce sont pourtant ceux-là mêmes qui ont le plus besoin de traitements implantaires (et qui en bénéficient).


> Que cela déplaise à certains, c'est juste de la sélection de patientèle.

Tous les praticiens sélectionnent leurs patients.


cherche encore !

19/10/2010 à 21h18

Pour les hygiénistes dentaires et le cabinet de luxe, on va y rêver...

De toute façon, il y aura toujours quelque chose : les patients s'en foutent, la sécu rembourse pas, c'est trop cher et trop contraignant, il faut expliquer avant de faire le devis et c'est pénible, on n'a pas d'hygiénistes, et avec tout ce qu'on a à faire comme papiers, ma pov' dame....

C'est comme avec le chien...heureusement qu'il y a la rage!!!

Chicote , ne désespère pas: pour qu'un patient t'écoute en paro,il faut trois choses:

1- Qu'il soit conscient de son problème,
2- Qu'il est compris qu'il pouvait y faire quelque chose,
3- Et que le fait de bien faire les soins à la maison lui permette, éventuellement, de dépenser moins de sous pour son traitement.

Si tu lui dis tout ça comme tu le fais, c'est normal qu'il ne t'écoute pas!

CAR IL A EU SON DETARTAGE...

Tu lui a nettoyé les dents !!! C'est terminé ! Pour lui, il n'y a plus de problèmes!

Un conseil : si tu veux vraiment faire de la paro, c'est que tu est prête :
-à lui montrer à ton patient que ses gencives sont rouges et saignent;
-à lui faire voir que son os se barre
-à lui dire qu'il a une haleine de chacal (ce dernier point pouvant être judicieusement mieux tourné dans la langue de Molière...)
- à lui faire un devis paro AU LIEU de détartrer.



Sélection de clientèle?

Je ne sais pas. Quand les patients reviennent et me disent qu'ils ne veulent pas de soins paro, je leur fait signer un papier (aucune valeur légale, d'ailleurs) et je fais ce que je dois faire par ailleurs!

On ne peut pas soigner tout le monde, mais tout le monde doit être conscient de son état.

Je ne soigne pas, en paro, les gros fumeurs.





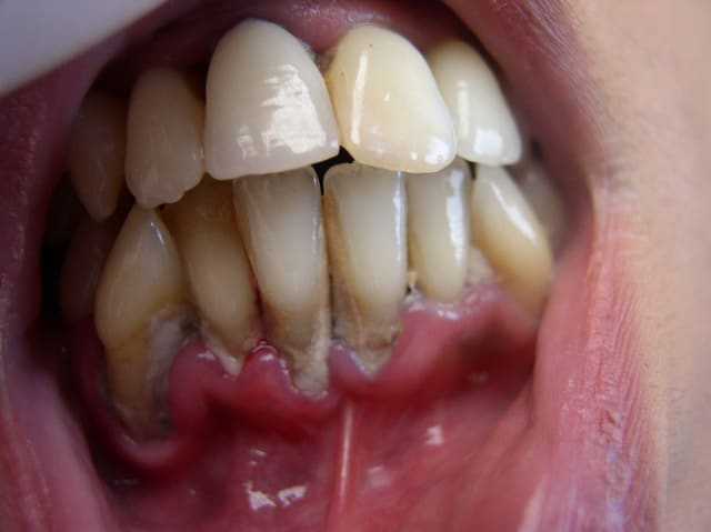
cherche encore !

20/10/2010 à 21h01

Voici quelques cas de paro agressive.
La première sur une jeune femme de 30 ans, 1 enfant, assez grosse fumeuse, travaille à son compte (donc stress important)

la deuxième sur un patient récemment retraité, non fumeur, asthmatique .

Voir ce que ça vous évoque, vos devis, vos façons de traiter, ect, ect....
( Tout est accepté, même le "non scientifique", voir le "non politiquement correct" si c'est dit de façon a ne pas créer de polémique...)

exemple : J'aurai traité avec de la poudre de perlinpinpin, même si ça n'est pas prouvé scientifiquement que la poudre de perlinpinpin marche dans ce cas.

Badaoui 2 gaiwa3 - Eugenol
Jacson n y0a2m3 - Eugenol

Logo vuaztn - Eugenol
mac

20/10/2010 à 21h22

cherche encore ! écrivait:
--------------------------
> Voici quelques cas de paro agressive.
> La première sur une jeune femme de 30 ans, 1 enfant, assez grosse fumeuse,
> travaille à son compte (donc stress important)
>
> la deuxième sur un patient récemment retraité, non fumeur, asthmatique .
>
> Voir ce que ça vous évoque, vos devis, vos façons de traiter, ect, ect....
> ( Tout est accepté, même le "non scientifique", voir le "non politiquement
> correct" si c'est dit de façon a ne pas créer de polémique...)
>
> exemple : J'aurai traité avec de la poudre de perlinpinpin, même si ça n'est pas
> prouvé scientifiquement que la poudre de perlinpinpin marche dans ce cas.
>


tu veux qu'on fasse un plan de traitement sur une photo?


Img 8465 fqhxid - Eugenol
noahaxeltiger-olivier

20/10/2010 à 21h25

Merci cherche encore! de poster tes cas. Intéressant.

Pour nous donner une idée de l'étendue du problème paro aurais tu un bilan radio et de sondage à nous montrer ?


Grueavatar nptrc9 - Eugenol
Le Choixpeau magique

20/10/2010 à 23h01

Le premier cas va impliquer des extractions...


Olieve

20/10/2010 à 23h08

Juste une photo pour juger, c'est pas simple.

Le 1er cas : 30 ans, fumeuse, stressée, malocclusion, malposition... Pas bien!
Mais question primordiale : elle souhaite quoi la patiente ?