Cookie Consent byPrivacyPolicies.comDéroulé d'une MCI - Eugenol
Utilisateur banni

21/11/2010 à 10h12

Détails pour cette intervention


(photo 1,2,3,4)extrait des planches de la S.I.A.O
-L'axe de forage de l'implant 3 et 4 doivent être parfaitement respecté pour obtenir un bon ancrage primaire.
(photo 5)
-Ensemble des forets nécessaire à cette intervention sur l'organiseur de forage
(photo 6)
-Le taleau de forage comprend :
-La composition du set de forage (en bas à gauche)
-L'ordre de passage des forets (en haut)
-Plan de forage (en bas à droite)
un léger sous forage est programé pour obtenir un bon encrage primaire dans les zones de faible densité osseuses

Implant angul  positdental 11 s5yp3x - Eugenol
Implant angul  positdental 12 rztfwf - Eugenol
Implant angul  positdental 13 jdh516 - Eugenol
Implant angul  positdental 14 dsk66x - Eugenol
Implant angul  positdental 15 eehgfw - Eugenol
Implant angul  positdental 16 ekd4te - Eugenol

Logo m4n3gc - Eugenol
drmarcus

21/11/2010 à 11h33

Ok Ok j'admire.
Seulement voilà comment régler vous l'occlusion? Comment la reajustez vous le jour de la chir pour obtenir un simili de mastication unilatérale alternée?

--
"La vis est à l'implant ce que la carie est à la dent!" (Posi)


Utilisateur banni

21/11/2010 à 17h51

drmarcus écrivait:
------------------
> Ok Ok j'admire.
> Seulement voilà comment régler vous l'occlusion?

en relation centrée contact de groupe et illimination de toutes contraintes latérales.


Comment la reajustez vous le
> jour de la chir pour obtenir un simili de mastication unilatérale alternée?

la précision du guide chirurgical et la préparation du bridge provisoire nécessitent beaucoup d'attention, les consignes sont une nourriture molle durant le 1er mois donc la mastication n'est pas encore impérative, le bridge est en résine,il peut facilement être adapté pour des réglages occlusaux et posturo avant le définitif. cela permet d'avoir l'ensemble des données pour réaliser le bridge définitif dans des conditions optimales.


Smile beach jgh0a1 - Eugenol
Céramik

21/11/2010 à 18h22

drmarcus écrivait:
------------------
> Ok Ok j'admire.
> Seulement voilà comment régler vous l'occlusion? Comment la reajustez vous le
> jour de la chir pour obtenir un simili de mastication unilatérale alternée?
>
> --
> "La vis est à l'implant ce que la carie est à la dent!" (Posi)


Simple :
1-diète liquide 7 jours
2-purée 15 jour
3-diète molle 1 mois

Tu revois ton patient à 7-14-28 jours (environ, parfois moins) pour des contrôles de guérison et d'occlusion
C'est le prix à payer pour perdre ses dents...


--
Céramik


Utilisateur banni

21/11/2010 à 18h53

Céramik écrivait:
-----------------
> drmarcus écrivait:
> ------------------
> > Ok Ok j'admire.
> > Seulement voilà comment régler vous l'occlusion? Comment la reajustez vous le
> > jour de la chir pour obtenir un simili de mastication unilatérale alternée?
> >
> > --
> > "La vis est à l'implant ce que la carie est à la dent!" (Posi)
>
>
> Simple :
> 1-diète liquide 7 jours

Les premiers jours sont les moins critique ou alors tu n'a pas respecté une des régles de la MCI ( ancrage primère de l'implant)


> 2-purée 15 jour
> 3-diète molle 1 mois

nouriture molle
(phase du remodelage osseux)
manger un steak avec une prothèse mobile pendant cette période est tout aussi déconseillé
>
> Tu revois ton patient à 7-14-28 jours (environ, parfois moins) pour des
> contrôles de guérison et d'occlusion
> C'est le prix à payer pour perdre ses dents...

la perte d'un implant pendant la phase d'ostéointégration du au port d'une prothése est reconnu et manger sans dent est dur à avaler


Utilisateur banni

21/11/2010 à 22h54

Rôle de l’armature rigide dans la MCI et influence sur les implants angulés.

Photo n°1
2 trépieds angulés sont reliés par un arc de cercle de diamètre différent (1) 1mm, (2) 2mm, ils sont placés sur une plaque de verre et un marquage indique le point d’appuis des pieds.
On peut constater que, soumis à une pression verticale, (a1, b1) les trépieds glissent vers l’intérieur (A, B) et l’arc de cercle s’ouvre. Celui dont l’armature possède un diamètre supérieur, même soumis à une contrainte plus forte, (A) résiste mieux à ce phénomène. Pour limiter ce principe il faudrait soit bloquer le glissement du pied, soit empêcher le pied de glisser par une pression sur la face interne du trépied, soit exercer une pression contraire pour éviter l’écartement de l’arc de cercle.

Photo n°2
Si on rapporte le principe décrit précédemment aux implants dentaires on peut en déduire que :
- Dans une reconstitution complète implanto-portée solidairement reliée par une armature à des implants les résistances mécaniques du support (l’os) par rapport exemple du trépied (les implants) ne s’exercent pas seulement dans un axe perpendiculaire à la l’armature mais aussi de façon transversale et longitudinal à l’axe des implants angulés .
- De la rigidité de l’armature dépendra la limitation des mouvements au col et à l’apex des l’implant.
-A la différence d’un implant unitaire angulé (photo 3) où la pression est transmise de façon axiale , dans le cas d’une reconstitution complète solidarisé par une armature rigide l’ensemble du support osseux des implant (photo 4) subit une meilleure répartition des fores.
- Des zones corticalisés comme la paroi antérolatérale peut constituer un appui pour des implants angulés (© photo 4)

Armature m tal rigide pour mci positdental 1 qsaqs5 - Eugenol
Armature m tal rigide pour mci positdental 2 uvkvoo - Eugenol
Armature m tal rigide pour mci positdental 3 kspmqz - Eugenol
Armature m tal rigide pour mci positdental 4 p5bsob - Eugenol

Smile beach jgh0a1 - Eugenol
Céramik

21/11/2010 à 23h41

On dit chez nous
"Cross-arch stability"
Essentiel au maxillaire supérieur

exemple d'article sur le sujet:
http://onlinelibrary.wiley.com/doi/10.1111/j.1708-8208.2003.tb00019.x/abstract

En général, le principe est reconnu, mais jamais avec une extension distal (du moins, j'ai pas vu de truc avec extension)





--
Céramik


Utilisateur banni

22/11/2010 à 17h41

Céramik écrivait:
-----------------
> On dit chez nous
> "Cross-arch stability"
> Essentiel au maxillaire supérieur

Merci pour cet article en anglais, à mon tour je t'en adresse un qui parle du forage séquentiel que je détaillerais prochainement.
Le cross-arch stability me parait aussi essentiel à la mandibule.
Quelques remarques sur l'article :
- Il porte seulement sur 10 cas, rien que sur ce post je t'en présente cinq au maxillaire en une seule intervention dont les patients ont immédiatement leur bridge provisoire.
- Les mises en charge sont en léger différé.
- Les cas sont tous des édentés totaux qui à mon sens sont plus "faciles" que des extractions implantations MCI.
- L'article précise que l'un des patients a perdu quatre implants suite à une infection. Je suis toujours étonné que des guides plastique puissent transiter par un laboratoire de prothèse dentaire pour la réalisation du provisoire puis retourner au cabinet sans pouvoir être stérilisé à l'autoclave.


Utilisateur banni

24/11/2010 à 08h37

Pose vendredi de ce provisoire, un cas comme tu préconise Céramik, 8 implants pas d'extension

Cross arch stability tz4d2v - Eugenol

S2y2o1v7q53ws4r5wy6ou8czrpom - Eugenol
pxav

24/11/2010 à 10h11


même chose possible pour 8 ou 10 implants... mais je ne fais pas d'armature métal, je trouve que ça complique.
--
xbk
La théorie, c'est quand on sait tout et que rien ne fonctionne. La pratique, c'est quand tout fonctionne et que personne ne sait pourquoi. Albert EINSTEIN


Utilisateur banni

24/11/2010 à 13h43

pxav écrivait:
--------------
>
> même chose possible pour 8 ou 10 implants... mais je ne fais pas d'armature
> métal, je trouve que ça complique.
> --
> xbk
> La théorie, c'est quand on sait tout et que rien ne fonctionne. La pratique,
> c'est quand tout fonctionne et que personne ne sait pourquoi. Albert EINSTEIN


Il disait aussi "Si les faits ne correspondent pas à la théorie, changez les faits". Je pense que les demandes d'avis sur eugenol montrent que les doléances des patients portent de plus en plus sur des réhabilitations globales après de longs soins de conservation. Bien souvent, il n'est pas réalisable de placer 10 implants sans greffe ou expansion et un passage par une prothèse mobile. Le travail qui m'est commandé porte souvent sur des mises en charge pour prothèse totale avec extractions, implantations. Dans ces cas cliniques toutes les possibilités doivent être considérées, l'armature rigide devient incontournable pour assurer le traitement " Dieu ne joue pas aux dés". En mise en charge immédiate pour poser un provisoire avec une armature en moins de 6 heures après l'implantation, il ne faut aucune erreur. La procédure avec le guide de forage et positionnement des implants permet de le faire dans le même temps chirurgical que l'implantation. Certains peuvent trouver les bridges immédiats perfectibles mais comme disait toujours Albert Einstein "La connaissance s'acquiert par l'expérience, tout le reste n'est que de l'information".


docnico

28/11/2010 à 19h23

Bravo pour la chirurgie de Vendredi. C'est du grand Art!!
Enfin une technique flap avec un guide chir à appui osseux qui permet un ajustage immédiat d'une prothèse!!


Smile beach jgh0a1 - Eugenol
Céramik

28/11/2010 à 19h32

Posit
Ton provisoire armature métal est posé en même temps que les implants.

Comment fais-tu pour parer à la possiblité qu'il ne fasse pas à 100% du à un léger changement dans l'axe des implants ?

Le provisoire est vissé en place ou bien cimenté (donc jeu possible) ?

Merci


--
Céramik


Utilisateur banni

28/11/2010 à 21h54

Céramik écrivait:
-----------------
> Posit
> Ton provisoire armature métal est posé en même temps que les implants.
>
> Comment fais-tu pour parer à la possiblité qu'il ne fasse pas à 100% du à un
> léger changement dans l'axe des implants ?
>
> Le provisoire est vissé en place ou bien cimenté (donc jeu possible) ?

Sur un plan marketing ou comme dans des vidéos certain laissent croire qu’il est réalisable de visser une prothèse directement sur les implants après la pose, dans la réalité clinique ce n’est pas réalisable. Souvent les radios présentent un simple fil de fer noyé dans la résine, ce qui n’est pas un fixateur externe rigide. Ici (intervention de vendredi) l’armature est totalement rigide, un espace est prévu pour une solidarisation passive sur les piliers visés.

M.c.i en 1 temps chirurgical  - Eugenol

S2y2o1v7q53ws4r5wy6ou8czrpom - Eugenol
pxav

28/11/2010 à 21h54

posit écrivait:
---------------
Albert Einstein "La connaissance s'acquiert par
> l'expérience, tout le reste n'est que de l'information".

je suis d'accord avec toi posit, le cas que je traite est réalisable parce que je ne compte pas mon temps et que j'ai le labo sur place, ton système permet la pose sans trop de travail en amont pour le praticien (c'est toi qui le fait).
je sais aussi que l'expansion ne s'adapte pas à ton système (pour le moment) ni aux autres d'ailleurs, donc je "bricole".....le provisoire d'usage est posé dans les deux heures suivante (c'est bien ça de la MCI?)
--
xbk
La théorie, c'est quand on sait tout et que rien ne fonctionne. La pratique, c'est quand tout fonctionne et que personne ne sait pourquoi. Albert EINSTEIN

Mab26.11 - Eugenol

Utilisateur banni

28/11/2010 à 22h14

pxav écrivait:
--------------
> posit écrivait:
> ---------------
> Albert Einstein "La connaissance s'acquiert par
> > l'expérience, tout le reste n'est que de l'information".
>
> je suis d'accord avec toi posit, le cas que je traite est réalisable parce que
> je ne compte pas mon temps et que j'ai le labo sur place, ton système permet la
> pose sans trop de travail en amont pour le praticien (c'est toi qui le fait).
> je sais aussi que l'expansion ne s'adapte pas à ton système (pour le moment) ni
> aux autres d'ailleurs, donc je "bricole".....le provisoire d'usage est posé dans
> les deux heures suivante (c'est bien ça de la MCI?)

C'est la définition qui semble se retrouver dans la litérature M.C.I, M.C.L.D, M.C.D, M.C.R

Pourquoi as tu posé des implants de longueurs presque identiques entre les foramens ?


S2y2o1v7q53ws4r5wy6ou8czrpom - Eugenol
pxav

28/11/2010 à 22h56

posit écrivait:
---------------
> Pourquoi as tu posé des implants de longueurs presque identiques entre les foramens ?

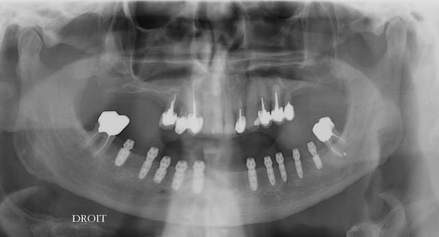
Non,le pano déforme, le diam est diffèrent pour 37, 47 et 45 (4,6 et 4) et 3,4x8 pour le reste sauf 33, 43 x 10mm
le V3 était "présent"
--
xbk
La théorie, c'est quand on sait tout et que rien ne fonctionne. La pratique, c'est quand tout fonctionne et que personne ne sait pourquoi. Albert EINSTEIN

2mab44 ugqddw - Eugenol

Utilisateur banni

29/11/2010 à 05h50

pxav écrivait:
--------------
> posit écrivait:
> ---------------
> > Pourquoi as tu posé des implants de longueurs presque identiques entre les
> foramens ?
>
> Non,le pano déforme, le diam est diffèrent pour 37, 47 et 45 (4,6 et 4) et 3,4x8
> pour le reste sauf 33, 43 x 10mm
> le V3 était "présent"
> --
La question était sur la longueur des implants entre les foramens mentonnier du N.A.I.
A t'il d'autres foramens plus antérieur voir aussi un foramen incisif?


S2y2o1v7q53ws4r5wy6ou8czrpom - Eugenol
pxav

29/11/2010 à 14h10

vu le nombre il ne me semblait pas utile de mettre plus long.

--
xbk
La théorie, c'est quand on sait tout et que rien ne fonctionne. La pratique, c'est quand tout fonctionne et que personne ne sait pourquoi. Albert EINSTEIN

Img 5006w ebsgdf - Eugenol

Utilisateur banni

29/11/2010 à 15h15

Comment as-tu obturé les puits d’axé aux piliers, je n’en vois que 6 ?
Une photo de l’intrados avant vissage ?


S2y2o1v7q53ws4r5wy6ou8czrpom - Eugenol
pxav

29/11/2010 à 15h58

ciment résine, mais je n'ai pas fait de photos de la partie prothèse (photographe HS) et je n'ai pas transvissé les 10 (appui sur faux moignon pour 4)

--
xbk
La théorie, c'est quand on sait tout et que rien ne fonctionne. La pratique, c'est quand tout fonctionne et que personne ne sait pourquoi. Albert EINSTEIN


SAMIRA

29/11/2010 à 20h22

Céramik écrivait:
-----------------
> flicflac écrivait:
> ------------------
> > au maxillaire supérieur ma règle est aucun cantiliver,en édentation complète
> > implant en position première molaire et canine obligatoire et jamais plus de 2
> > pontiques par la suite on ajoute implant selon la densité osseuse en
> > prémolaire...
> > salut les cousins
>
> C'est la règle de Misch...
> copieur !
> ;-)))
>
>
> --
> Céramik

c'est du all on six????


Smile beach jgh0a1 - Eugenol
Céramik

29/11/2010 à 22h56

non, all-on 7-8-9-10-11-12, pas on 6

--
Céramik


3f3boxni50k58rq7e9ce9ddqrxgk - Eugenol
dentiste57

30/11/2010 à 00h04

jolie travail!

le patient doit être content!

dommage que tu n'ai pas d'autres photos à nous montrer.


S2y2o1v7q53ws4r5wy6ou8czrpom - Eugenol
pxav

30/11/2010 à 00h12

dentiste57 écrivait:
--------------------
> jolie travail!
>
> le patient doit être content!
>
> dommage que tu n'ai pas d'autres photos à nous montrer.

merci patron,
j'ai un joli film de 45 mn .... mais c'est pour plus tard.
pour le patient: enchanté!!! mais wait and see, il me faut 1 mois pour être tranquille.



--
xbk
La théorie, c'est quand on sait tout et que rien ne fonctionne. La pratique, c'est quand tout fonctionne et que personne ne sait pourquoi. Albert EINSTEIN


1...456...