Cookie Consent byPrivacyPolicies.comDéroulé d'une MCI - Eugenol
Img 8465 fqhxid - Eugenol
noahaxeltiger-olivier

30/11/2010 à 00h37

posit écrivait:
---------------
>Ici (intervention de vendredi) l’armature est totalement rigide, un
> espace est prévu pour une solidarisation passive sur les piliers visés.

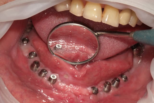
le contrôle de plaque va être très difficile pour ton patient avec les balcons de résine présents en vestibulaire des implants.

Je te poste une photo de ce genre de construction prothétique que je vois quotidiennement chez des patients qui me sont adressés pour des problèmes de peri-implantite.

Penser à la rigidité de ton bridge c'est bien mais il y a d'autres éléments qui sont tout aussi importants et qui ne faut pas négliger pour la pérénité de ta reconstruction implantaire.

Amicalement
Olivier

Contr le de plaque mljd4y - Eugenol
Bridge posit zinhjf - Eugenol

Utilisateur banni

30/11/2010 à 01h03

pxav écrivait:
--------------
> dentiste57 écrivait:
> --------------------
> > jolie travail!
> >
> > le patient doit être content!
> >
> > dommage que tu n'ai pas d'autres photos à nous montrer.
>
> merci patron,
> j'ai un joli film de 45 mn .... mais c'est pour plus tard.
> pour le patient: enchanté!!! mais wait and see, il me faut 1 mois pour être
> tranquille.

Je me doutais bien que tu ne venais pas sur le sujet par hasard.
Pourquoi seulement 6 implants en charge ?
N'oublis pas de motrer ton intrados à oliver c'est son dada


Smile beach jgh0a1 - Eugenol
Céramik

30/11/2010 à 01h24

noahaxeltiger-olivier écrivait:
-------------------------------
>> sont tout aussi importants et qui ne faut pas négliger pour la pérénité de ta
> reconstruction implantaire.
>
>

Salut Olivier

Tu fais quoi pour corriger le cas montré ?
Tu refais la prothèse ? Tu modifies ?

Merci

--
Céramik


Utilisateur banni

30/11/2010 à 01h28

noahaxeltiger-olivier écrivait:
-------------------------------
> Je te poste une photo de ce genre de construction prothétique que je vois
> quotidiennement chez des patients qui me sont adressés pour des problèmes de
> peri-implantite.
>

Je comprends que tu sois agacé de nettoyer tous les jours ce genre de prothèse, c'est une barre fraisé nobel?

Je ne sais toujours pas si tu as compris le fonctionnement du forage séquencé. Pour plus d’explication tu peux lire les brevets tout est détaillé.

Ton avis sur la gestion des tissus mou en chirurgie guidé flapless ?

PS : c'est un provisoire


Img 8465 fqhxid - Eugenol
noahaxeltiger-olivier

30/11/2010 à 07h50

posit écrivait:
---------------
> Je comprends que tu sois agacé de nettoyer tous les jours ce genre de prothèse,
> c'est une barre fraisé nobel?

Nobel ou autre, là n'est pas le problème. Il s'agit de la forme donnée à la suprastructure qui me gêne. C'est un élément capital pour permettre à nos patients d'accéder à la zone muqueuse periimplantaire et c'est un des rares élément que l'on peut influencer à 100%.
Il ne faut pas se leurer, l 'attache periimplantaire étant plus fragile que l'attache parodontale, un contrôle de plaque insuffisant s'accompagne très rapidement d'une inflammation periimplantaire avec les conséquences qu'on connaît. C'est sûr qu'un implant difficile à brosser est un implant difficile à sonder également! On ne peut diagnostiquer que ce que l'on voit.

> Je ne sais toujours pas si tu as compris le fonctionnement du forage séquencé.
> Pour plus d’explication tu peux lire les brevets tout est détaillé.

Merci pour tes explications qui ont su répondre à mes intertogations.

> Ton avis sur la gestion des tissus mou en chirurgie guidé flapless ?

La gestion des tissus lors d'implantation flapless est difficile.
En ce qui me concerne si ces tissuss sont insuffisant soit ils doivent etre traités avant soit c'est une contre indication au flapless. La gestion post implantaire des tissus mous est très délicate et a une moins bonne prédictabilité.

> PS : c'est un provisoire


S2y2o1v7q53ws4r5wy6ou8czrpom - Eugenol
pxav

30/11/2010 à 08h42

posit écrivait:
---------------

> Je me doutais bien que tu ne venais pas sur le sujet par hasard.
> Pourquoi seulement 6 implants en charge ?

> N'oublie pas de montrer ton intrados à oliver c'est son dada

Salut Posit
6 implants avec appui transvissé, mais les autres aussi sont en charge.

Olivier a parfaitement raison d'avoir ce dada, l'intrados des prothèses que ce soit pour de la MCI ou non est très important et conditionne dans certain cas la survie des implants.

--
xbk


Utilisateur banni

30/11/2010 à 15h42

Olivier je suis d’accord sur le soin à apporter à la conception du balcon vestibulaire pour la pérennisation de la prothèse implanto portée. Les cas clinique présentés portent uniquement sur des prothèses provisoires mise en place dans le même temps chirurgical que les implants dentaires. Dans le cas suivant la conception de l’armature recouverte d’opaque autorise une retouche du balcon vestibulaire uniquement constitué de résine. Ce qui est demandé au provisoire dans un premier temps, c'est de solidariser fermement les implants entre eux pour éviter tous micros mouvements. Lors de la première dépose après cicatrisation, il est possible d’ajuster le balcon vestibulaire. Le système SynConne pour implants Ankylos consistant à solidariser une coiffe dans un appareil est validé scientifiquement.
Conception du balcon vestibulaire :
Une erreur souvent commise est un ajustement en continu du balcon à la gencive.
(Image 2)
- Le balcon doit être affleurent à la gencive.
- Un dégagement supérieur doit être aménagé en regard des implants
(Image 3)
- Un dégagement supérieur doit être aménagé autour des implants
(Image 4)
Si ces points ne sont pas respectés une accumulation va se produire sans pouvoir dans un premier temps être dégagée de façon naturelle par le flux salivaire, puis par un nettoyage mécanique.
La solution est de dégager des zones d’évacuation quitte à sacrifier l’esthétique comme l'a montré growler dans une autre discussion.


Gestion du balcon vestibulaire 1 p4ddkz - Eugenol
Gestion du balcon vestibulaire 2 dbacax - Eugenol
Gestion du balcon vestibulaire 3 aqvar5 - Eugenol
Gestion du balcon vestibulaire 4 k1unrp - Eugenol

SAMIRA

01/12/2010 à 19h37

Céramik écrivait:
-----------------
> non, all-on 7-8-9-10-11-12, pas on 6
>
> --
>
Céramik
non,il n'y'a que du all on4 et tout recementdu all on6 c'est tout.


Smile beach jgh0a1 - Eugenol
Céramik

02/12/2010 à 05h43

SAMIRA écrivait:
----------------
> Céramik écrivait:
> -----------------
> > non, all-on 7-8-9-10-11-12, pas on 6
> >
> > --
> >
> Céramik
> non,il n'y'a que du all on4 et tout recementdu all on6 c'est tout.

C'est de la pub, c'est tout !
Tu peux faire du all-on-what-you-want...
;-)

--
Céramik


Utilisateur banni

02/12/2010 à 06h12

Céramik écrivait:
-----------------
> SAMIRA écrivait:
> ----------------
> > Céramik écrivait:
> > -----------------
> > > non, all-on 7-8-9-10-11-12, pas on 6
> > >
> > > --
> > >
> > Céramik
> > non,il n'y'a que du all on4 et tout recementdu all on6 c'est tout.
>
> C'est de la pub, c'est tout !
> Tu peux faire du all-on-what-you-want...

+1 c'est du marketing
L'idée du message avec nous vous achetez seulement 4 implants est vous réhabilité 1 maxillaire. La mode de nos jours est de développer une stratégie commerciale avant le produit. Ceci dit le concept de relier plusieurs implants pour un maxillaire est bon, maintenant le nombre d'implants est à déterminer selon de multiples critères.


SAMIRA

02/12/2010 à 19h49

posit écrivait:
---------------
> Céramik écrivait:
> -----------------
> > SAMIRA écrivait:
> > ----------------
> > > Céramik écrivait:
> > > -----------------
> > > > non, all-on 7-8-9-10-11-12, pas on 6
> > > >
> > > > --
> > > >
> > > Céramik
> > > non,il n'y'a que du all on4 et tout recementdu all on6 c'est tout.
> >
> > C'est de la pub, c'est tout !
> > Tu peux faire du all-on-what-you-want...
>
> +1 c'est du marketing
> L'idée du message avec nous vous achetez seulement 4 implants est vous
> réhabilité 1 maxillaire. La mode de nos jours est de développer une stratégie
> commerciale avant le produit. Ceci dit le concept de relier plusieurs implants
> pour un maxillaire est bon, maintenant le nombre d'implants est à déterminer
> selon de multiples critères.

merci de m'avoir eclairée sur le nombre des implants, reste à voir la position des implants distaux dans le concept du all on, trop inclinés,trop longs.


Fresh watermelon 640x562 udulqz - Eugenol
gulguch

02/12/2010 à 20h11

posit écrivait:
---------------
>....> Conception du balcon vestibulaire :
> Une erreur souvent commise est un ajustement en continu du balcon à la gencive.
> (Image 2)
> - Le balcon doit être affleurent à la gencive.
> - Un dégagement supérieur doit être aménagé en regard des implants
> (Image 3)
> - Un dégagement supérieur doit être aménagé autour des implants
> (Image 4)
> Si ces points ne sont pas respectés une accumulation va se produire sans pouvoir
> dans un premier temps être dégagée de façon naturelle par le flux salivaire,
> puis par un nettoyage mécanique.
> La solution est de dégager des zones d’évacuation quitte à sacrifier
> l’esthétique comme l'a montré growler dans une autre discussion.
>
>

Excuse moi posit mais il y a autre chose:
Le balcon vestibulaire est la pour l'esthétique, mais s'il est affleurant c'est surtout pour la phonation, sans quoi on dégagerait largement des zones trop hautes pour être concernées par l'esthétique.
2/ Ceci ne concerne que le secteur antérieur: a quoi bon faire un balcon PM et Molaire, où le patient brosse encore moins? Vaut mieux faire sur pilotis à ce niveau.


Statue modif qbkm6l - Eugenol
Dr Patsch Hans

02/12/2010 à 20h51

prosit: "Ceci dit le concept de relier plusieurs implants pour un maxillaire est bon, maintenant le nombre d'implants est à déterminer selon de multiples critères. "


vas-y prosit, explique-nous tout cela.


Fresh watermelon 640x562 udulqz - Eugenol
gulguch

02/12/2010 à 20h57

posit écrivait:
---------------
. Le système
> SynConne pour implants Ankylos consistant à solidariser une coiffe dans un
> appareil est validé scientifiquement.

... "Syncone", par pitié.


Utilisateur banni

02/12/2010 à 21h29

gulguch écrivait:
-----------------
>
> Excuse moi posit mais il y a autre chose:
> Le balcon vestibulaire est la pour l'esthétique, mais s'il est affleurant c'est
> surtout pour la phonation,

la partie palatine et linguale a sont importance aussi pour le callage de la langue


> sans quoi on dégagerait largement des zones trop
> hautes pour être concernées par l'esthétique.

??

> 2/ Ceci ne concerne que le secteur antérieur: a quoi bon faire un balcon PM et
> Molaire, où le patient brosse encore moins? Vaut mieux faire sur pilotis à ce
> niveau.

pour quoi pas


Fresh watermelon 640x562 udulqz - Eugenol
gulguch

02/12/2010 à 23h44

Non, Posit, il y a le problème du passage d'air qui est prépondérant, donnant des chuintements.
Si le balcon est affleurant, c'est pour résoudre ce problème, que l'on a (presque) pas avec des PAT, ok?
C'est forcément un compromis avec l'hygiène.


Fresh watermelon 640x562 udulqz - Eugenol
gulguch

02/12/2010 à 23h47

Dr Patsch Hans écrivait:
------------------------
> prosit: "Ceci dit le concept de relier plusieurs implants pour un maxillaire est
> bon, maintenant le nombre d'implants est à déterminer selon de multiples
> critères. "
>
>
> vas-y prosit, explique-nous tout cela.

Herr Doktor, tu finiras président de la DGZI.


Utilisateur banni

03/12/2010 à 00h30

gulguch écrivait:
-----------------
> Non, Posit, il y a le problème du passage d'air qui est prépondérant, donnant
> des chuintements.
> Si le balcon est affleurant, c'est pour résoudre ce problème, que l'on a
> (presque) pas avec des PAT, ok?
> C'est forcément un compromis avec l'hygiène.

une petite photo pour illustrer?

Dr Patsch Hans nous allons pouvoir trinquer au brillent exposé de gulguch


Fresh watermelon 640x562 udulqz - Eugenol
gulguch

04/12/2010 à 00h51

Bon ce n'est pas trés explicite mais par exemple j'ai placé ce sup il y a qq années sur un patient en Cl3 corrigé en bout à bout.
Devant les implants antérieurs il y a un balcon affleurant (ok on le voit pas), tu vois par contre que sur les cotés on fait des formes nettoyables.

A max sup vgtjzh - Eugenol

S2y2o1v7q53ws4r5wy6ou8czrpom - Eugenol
pxav

04/12/2010 à 11h44

joli!

--
xbk


S2y2o1v7q53ws4r5wy6ou8czrpom - Eugenol
pxav

07/12/2010 à 20h01

démontage à 12 jours, nettoyage vérif dépose des fils, repose (sur 5 piliers le rest en appui

--
xbk
La théorie, c'est quand on sait tout et que rien ne fonctionne. La pratique, c'est quand tout fonctionne et que personne ne sait pourquoi. Albert EINSTEIN

Img 5072w uedmuo - Eugenol
Img 5058w awi85e - Eugenol
Img 5062w wntwfv - Eugenol

Utilisateur banni

07/12/2010 à 20h02

gulguch écrivait:
-----------------
> Bon ce n'est pas trés explicite mais par exemple j'ai placé ce sup il y a qq
> années sur un patient en Cl3 corrigé en bout à bout.
> Devant les implants antérieurs il y a un balcon affleurant (ok on le voit pas),
> tu vois par contre que sur les cotés on fait des formes nettoyables.


Très joli bridge céram, cela correspond bien à ton explication.
Un bridge transitoire a pour but si possible aussi de préfigurer la prothèse définitive et de tester les adaptations au + prés des attentes du patient. Si j’étais en mesure de réaliser une prothèse transitoire, juste depuis un scanner comme celle présentée sur les photos jointes avec une finition et une fonctionnalité parfaite ce ne serait plus un provisoire.

Bridge provisoire placé en MCI en 1 temps chirurgical après quelques semaines.

1 extraction mci bridge provisoire avec armature m tal eynugb - Eugenol
2 extraction mci bridge provisoire avec armature m tal pt87lk - Eugenol
3 extraction mci bridge provisoire avec armature m tal rikyvm - Eugenol
4 extraction mci bridge provisoire avec armature m tal gtug8q - Eugenol
5 extraction mci bridge provisoire avec armature m tal ibocgc - Eugenol
6 extraction mci bridge provisoire avec armature m tal q1aola - Eugenol
7 extraction mci bridge provisoire avec armature m tal f5kxi9 - Eugenol

Img 3657 cwjvqm - Eugenol
alapex

07/12/2010 à 21h01

C'est choli.


Smile beach jgh0a1 - Eugenol
Céramik

08/12/2010 à 04h11

alapex écrivait:
----------------
> C'est choli.


encore gelé ?
;-)

--
Céramik


3f3boxni50k58rq7e9ce9ddqrxgk - Eugenol
dentiste57

08/12/2010 à 10h42

pxav écrivait:
--------------
> démontage à 12 jours, nettoyage vérif dépose des fils, repose (sur 5 piliers le
> rest en appui
>

toi, tu prends des risques à démonter ça aussi tôt.
méfiance!


1...5678