Cookie Consent byPrivacyPolicies.comFlash macro - Eugenol
Photo pluton1b h9n4ea - Eugenol
pluton

20/10/2010 à 23h51

salut growler
belle bête ce médical nikkor 200mm F5,6...;-)
et il en a encore sous le pied...
mon père a un médical 120mm F4...et c'est toujours des optiques de référence...
sur ta photo de céram à plus fort grossissement par contre, on voit clairement....que ton capteur a besoin d'un bon nettoyage (regardes les "pétouilles" noires...surtout en bas à gauche, mais y en a un peu partout...et plus tu diaphagmes et plus elles se voient...normal...)

vite, un coup de sensor swab et d'éclipse...;-)

http://www.missnumerique.com/reflex-video-numerique-nettoyage-capteur-entretien/photographic-solutions/photographic-solutions-mini-kit-nettoyage-capteur-liquide-eclipse-15ml-10-pecpad-12-sensor-swabs-type-2-p-2454.html


Blason dql7mj - Eugenol
growler

20/10/2010 à 23h56

merci plut, mais si tu regardes bien les autres photos, les petites "pétouilles" noires sont sur la céram , mon capteur est clean.

j'ai aussi acheté cet objectif car le diamètre extérieur du flash est celui de l'objectif soit 7 cm.
Je ne vais pouvoir photographier à fort grossissement sans recourir aux miroirs.


Photo pluton1b h9n4ea - Eugenol
pluton

21/10/2010 à 00h07

heu, non, ton capteur est sale...
regardes les photos mieux que çà...
2 ex...parmi d'autres...
la photo avec les 2 cérams...pétouille noire au niveau du point de contact sur le plâtre...passe à la suivante...tu la retrouves au même endroit sur la céram seule...donc c'est sur le capteur...le cadrage étant différent...

sur les mêmes photos, en haut à droite, les mêmes images de pétouilles noires...

et quand tu es à F45...on voit aussi des fibres...c'est ténu...mais elles sont là...

dommage, çà gâche un peu la qualité de tes photos...


antares

21/10/2010 à 00h11

J ai reçu flash et objectif commandé chez Amazon : près de 800 €. j attends de recevoir les miroirs de chez Nichro


Photo pluton1b h9n4ea - Eugenol
pluton

21/10/2010 à 00h18

capteur, oh mon capteur....;-)

Ccm face occ2 fdqfpq - Eugenol

Blason dql7mj - Eugenol
growler

21/10/2010 à 00h18

pluton écrivait:
----------------
> heu, non, ton capteur est sale...
> regardes les photos mieux que çà...
> 2 ex...parmi d'autres...
> la photo avec les 2 cérams...pétouille noire au niveau du point de contact sur
> le plâtre...passe à la suivante...tu la retrouves au même endroit sur la céram
> seule...donc c'est sur le capteur...le cadrage étant différent...
>
> sur les mêmes photos, en haut à droite, les mêmes images de pétouilles noires...
>
> et quand tu es à F45...on voit aussi des fibres...c'est ténu...mais elles sont
> là...
>
> dommage, çà gâche un peu la qualité de tes photos...


ah oui, t'as raison.
je peux nettoyer ça avec un jet d'air léger?


Photo pluton1b h9n4ea - Eugenol
pluton

21/10/2010 à 00h30

pour les fibres, oui...à condition d'utiliser une bombe air sec photo (et bien la tester avant...qu'elle crache pas...sinon tu gèles le capteur :-( )
mais les taches plus rondes sont sûrement des taches de graisse du mécanisme du miroir et là y a que le sensor swab avec 1 goutte (1...pas plus) de liquide éclipse qui en viendront à bout...le swab est fait pour 1 aller/retour...et poubelle...si c'est pas suffisant, il en faut un neuf...et une autre goutte...


Photo pluton1b h9n4ea - Eugenol
pluton

21/10/2010 à 00h57

tien growler...une autre adresse net...
mieux placés niveau prix, et en plus vidéos de démo...(c'est chez eux que j'ai acheté mon kit...mais je retrouvais pas le lien...)

http://www.reidlimaging.com/?gclid=CMv76aKp4qQCFWr92AodBz7PJQ

y a aussi les brosses...mais çà ne règle pas le pb des microgouttes de graisse...pour çà y a que le swab...


Blason dql7mj - Eugenol
growler

21/10/2010 à 01h12

merci plut, je vais tester ça. Faut déjà que je trouve comment on met le D80 en mode nettoyage capteur.


Photo pluton1b h9n4ea - Eugenol
pluton

21/10/2010 à 01h30

dans le menu...y a certainement, comme pour mon Canon, une fonction nettoyage capteur...qui relève le miroir...
attention!!! ne faire qu'avec batterie chargée à bloc...car si le miroir retombe alors que tu nettoies...c'est mort...capteur, miroir, et tout....:-(

donc bien tout vérifier avant de commencer...voir s'entraîner "a vide" histoire de pas faire une fausse manip...;-)

et bien vérifier que tu as la bonne taille de swab... (3 ou 4 tailles dispo...donc attention à la commande...)
j'ai vu sur leur site qu'ils vendent le swab déjà imprégné...certainement un peu plus cher...mais déjà pas de risque de "surdoser"...çà existait pas quand j'ai pris mon kit...c'est pas que c'est compliqué à faire, mais quand on pas habitué...plus c'est simple et mieux c'est....;-)


Smile beach jgh0a1 - Eugenol
Céramik

21/10/2010 à 04h39



--
Céramik

Dust off rf9ww3 - Eugenol

Smile beach jgh0a1 - Eugenol
Céramik

21/10/2010 à 04h41

growler écrivait:
-----------------
>>
> medical Nikkor 200 mm....vintage mais très efficace.
>
> http://cgi.ebay.fr/ws/eBayISAPI.dll?ViewItem&item=320600838584&ssPageName=ADME:B:EOIBSA:FR:1123
>
>
>

wow, j'avais jamais vu !
Ça doit être vachement lourd !
Il faut le branché en permanence ?
Ça fait rétro !

--
Céramik


Smile beach jgh0a1 - Eugenol
Céramik

21/10/2010 à 04h41

---


Blason dql7mj - Eugenol
growler

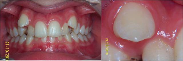
21/10/2010 à 13h59

des petits essais en bouche ce matin

Vis cicat vncip0 - Eugenol
Vis cicat bis qidjyj - Eugenol

Fouilla h6plsy - Eugenol
fouilla

21/10/2010 à 14h15


dis donc t'as pas fait un stage à lyon toi des fois ????

--
.


Blason dql7mj - Eugenol
growler

21/10/2010 à 14h21

:)


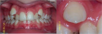
Logo vuaztn - Eugenol
mac

21/10/2010 à 16h18

growler écrivait:
-----------------
> des petits essais en bouche ce matin

moi aussi...

Test rsn4yo - Eugenol

Picture1111 zburnd - Eugenol
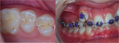
saidkholoki

21/10/2010 à 21h23

Bonjour,
J'ai appris beaucoup de choses sur la photographie dans ce post et c'est grace à vos avis tres precieux.
Vos critiques professionnelles m'interessent beaucoup. Qu'en pensez-vous de la qualité de mes photos ci-jointe? J'ai fait plusieurs essais afin de tester mon appareil de photos avec differents agrandissements.

--
A suivre...
Said

Exemple 1 fgu3od - Eugenol
Exemple 2 nu1lzj - Eugenol

Blason dql7mj - Eugenol
growler

21/10/2010 à 22h41

tes clichés sont réussis Said.


Photo pluton1b h9n4ea - Eugenol
pluton

21/10/2010 à 23h02

+1...très propre...


Mosquitogif zt3c7k - Eugenol
mosquito

21/10/2010 à 23h10

pluton écrivait:
----------------
> pour les fibres, oui...à condition d'utiliser une bombe air sec photo (et bien
> la tester avant...qu'elle crache pas...sinon tu gèles le capteur :-( )
>_______________________

et le capteur (ou l'objectif)n'aime pas du tout !!




sinon il y a aussi l'aspirateur
http://www.focus-numerique.com/test-6/nettoyant-poussiere-nettoyant-poussiere-1.html


Picture1111 zburnd - Eugenol
saidkholoki

21/10/2010 à 23h21

Merci beaucoup.
En effet j'utilise le KODAK DENTAL IMAGING SYSTEM, que je trouve tres bien, tres facile à manipuler, en reglage automatique ou manuel et surtout tres leger qu'on peut tenir avec une seule main et avec mise au point automatique.
Ca fait moins pro que le Canon, le Nikon ou le Sigma mais c'est tres bien pour quelqu'un qui ne connait pas grande chose en photographie, tout comme moi par exemple!

--
A suivre...
Said


Smile beach jgh0a1 - Eugenol
Céramik

22/10/2010 à 02h36



wow, les rafales !

Pour le Kodak, c'est basique, mais mieux que rien !
J'ai déjà utilisé avec un confrère, mais j'aimais pas la lenteur, le focus, et la faible profondeur (f-8 je crois)
Aussi les couleur sont plutôt rouge. Je dis ça, mais c'est quand même un bon système basique. Si tu aimes la photo, prend un kit Nikon ou Canon.




--
Céramik


Pépélaratiche

22/10/2010 à 12h27

pluton écrivait:
----------------
> le 50mm...c'est une antiquité chez Canon...
> j'ai un efs60mm et un EF100mm
> les qualités optiques de ces 2 objectifs sont superlatifs...avec même un petit
> "plus" encore pour le 60mm
> problème, on doit photographier d'assez près d'où des risques de reflets
> parasites sur les surfaces dentaires...et difficile pour les assistantes de
> faire les photos des chir...obligées de se rapprocher beaucoup et donc gêne,
> etc...
> sans hésiter donc, le 100mm est le choix le plus judicieux...même si en qualité
> d'image mon coeur penche vers le 60...

Ca y est... J ai reçu le 60mm efs de canon
Une nouvelle vie commence

Pp ;-)))))))))


Mosquitogif zt3c7k - Eugenol
mosquito

22/10/2010 à 13h45

Céramik écrivait:
-----------------
> wow, les rafales !
>
> --
> Céramik
----------------------

11 fps chez les jaunes