Cookie Consent byPrivacyPolicies.comCoordonnet,expasyl,provisoires etc .. - Eugenol

Coordonnet,expasyl,provisoires etc ..

Cobra

01/12/2010 à 16h45

Marc Apap écrivait:
-------------------


> faible saignement = viscostat clear (Ultradent) mais étant à base de chlorure
> ferrique,

Marc Apap écrivait:
-------------------
> Le viscostat à base de sulfate ferrique est plus efficace que le chlorure
> d'aluminium pour l'hémostase. Si tu trouves qu'il colore trop, il y a le
> vicostat clear, qui d'après mes constatations est nettement plus efficace que le
> racegel.


Le Clear c'est du chlorure d'aluminium.




Cobra

01/12/2010 à 16h47

Marc Apap écrivait:
-------------------
>
> Enfin, traxodent : le marketing est décidément un agent de persuasion puissant.

+1


Avatar medium eliwpl - Eugenol
Dentair'Adam

01/12/2010 à 17h18

Personne ne conseille l'expasyl?

J'en utilise à chaque fois, quitte en à en mettre deux fois de suite si ça continu à saigner légèrement, mais ça marche très bien.

(taille légèrement sous gingival (0,5mm) - congé arrondi fraire 020)

Au pire si l'empreinte n'est pas ultra lisible sur le bord de la dent, je demande uniquement l'IC et je reprends l'empreinte la fois suivante.


chicote64

01/12/2010 à 18h30

Marc Apap écrivait:
-------------------
> Le viscostat à base de sulfate ferrique est plus efficace que le chlorure
> d'aluminium pour l'hémostase. Si tu trouves qu'il colore trop, il y a le
> vicostat clear, qui d'après mes constatations est nettement plus efficace que le
> racegel.
Et tout simplement l'alun ferrique
(à faire préparer)


Carambar h3uqin - Eugenol
carambar

05/01/2011 à 20h23

Ma recette (qui n'est surement pas universelle).

1° Systématiquement dent pro aux limites.

2° Pour l'empreinte j'utilise systématiquement une coque en résine réalisée ne technique directe avec unifast :

Technique : 1° pastille d'unifast pas trop saturée. Attendre une minute de pouvoir la manipuler sans qu'elle ne colle aux gants
2° Faire un premier rebasage de cette pastille avec unifast pas trop lfuide en rinçant.
3° Deuxième rebasage de ladite pastille en désinsérant, rinçant, désinsérant rinçant etc... jusqu'à durcissement.
4° Sechage et traçage des limites au feutre noir indéléble (Mitsuishi sign pen MyT-7 (100))
5° Elimination des exces de résine au taille plâtre (contour et hauteur)
6° Evidement de l'intrados en conservant les bords pour le repositionnement et la stabilité.
7 Adhésif et empreinte facile +++.

Temps total 12 à 15 minutes et empreinte sans surprise car le matériau est guidé, et la coque écarte la gencive et le sang salive.

J'ai généralisé cette empreinte pour sa fiabilité.

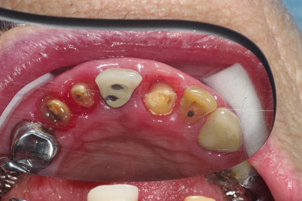
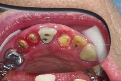
Ci joint images de prothese tres sous gingivales sur dents vivante (patiente agée 90 ans) Vaseline sur le pourtour des limites avant scellement et curetage long +++ apres scellement. Ciment utilisé (polycarboxylate Carbociment, part par collerettes entieres)

bon essai

Imgp3944 gflgne - Eugenol
Imgp3952 pyjrzx - Eugenol
Imgp3937 gruir2 - Eugenol
Imgp3938 j2uuax - Eugenol
Imgp3943 ft6mt4 - Eugenol
Imgp3949 cvgdmb - Eugenol

johnnybegood

05/01/2011 à 21h30

c est des bagues de cuivres revisitées si j ai bien compris

tres bonne idee


Grueavatar nptrc9 - Eugenol
Le Choixpeau magique

05/01/2011 à 21h52

Certains font ça aussi avec du silicone d'occlusion (prise ultra-rapide, très rigide une fois pris), le problème avec toutes ces techniques c'est la compression du light. Ca fait de très belles empreintes, mais est-ce que c'est toujours fiable ?


n.

06/01/2011 à 16h24

je pense qu'il faut juste rester cohérent dans le choix des techniques et des materiaux.

* prépa empreintes simultanées :
_ limites supra gingivale empreinte silicone
_ limites intra sulculaire, pas de faux moignon, empreinte hyrocolloides

* prepa +provisoire empreinte différée :
limites intrasulculaires empreinte silicone

la présence de sang proscrit l'utilisation de silicone ( je n'imagine même pas votre réaction si vous voyiez un plombier jointoyer votre évier ou votre baignoire alors meme que les rebords sont plein de flotte )un peu de bon sens ou d'amour propre !


Marque a3 orange fyvhyq - Eugenol
Marc Apap

06/01/2011 à 16h47

Le sang proscrit toute empreinte, mais comme tu le sais, étant donné qu'on bosse sur des gens vivants, il leur arrive de saigner. Avec les produits hémostatiques à notre disposition, ça passe la plupart du temps. Et si on ne peut pas faire l'empreinte le jour des préparations, on attend la semaine suivante après avoir placé des provisoires assez bien polies, scellées avec un ciment résineux (seal temp s par exemple) ou carboxylate.
Les pb, c'est dans les cas merdiques, qui de toute façon sont toujours des approximations.


003 penrd2 - Eugenol
Cingulum

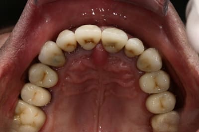
06/01/2011 à 17h15

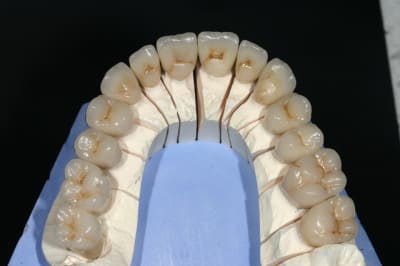
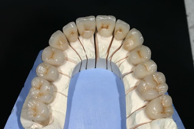
ne pas perdre de vue que le but n'est pas l'empreinte, mais de faire une prothèse intégré esthétiquement et biologiquement !
Comment assuré l'intégration biologique si les limites sont dans l'espace biologique !
ça sert à rien de prendre une empreinte à tout prix d'une limite qui n'est pas à sa place...

quand vous avez 14 dents... vous mettez 28 fils ? vous videz une seringue d'expasyl ? C'est ingérable... il faut avoir des limites à 0.5 mm du fond du sulcus au moins, des bonnes provisoires...et après, peu importe le matériau d'empreinte...

--
Dr Cingulum
-----Ancien interné----
----Attaché à l'apex----
www.clinic-all.fr formation par passion

Img 6290 hjdzpw - Eugenol
Img 9026 ivmc4z - Eugenol
Img 9028 nhtg7u - Eugenol
Img 9032 xvopir - Eugenol
Img 9035 y7gnbz - Eugenol
Img 9060 pq9xjn - Eugenol
Img 9061 zitgw4 - Eugenol

Marque a3 orange fyvhyq - Eugenol
Marc Apap

06/01/2011 à 19h11

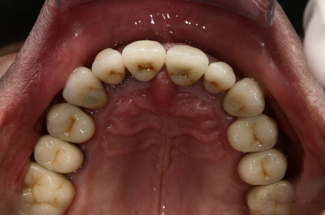
Le travail est certes irréprochable et le cas un peu difficile du fait du grand nombre de préparations. Cependant, c'est bien une des situations où on est sur un boulevard, avec un parodonte assez épais et mou, qui ne saigne pas d'un poil.
Bravo tout de même !


Logo vuaztn - Eugenol
mac

06/01/2011 à 20h10

Cingulum écrivait:
------------------

>
> quand vous avez 14 dents... vous mettez 28 fils ?


tu ne mets jamais de fil?


003 penrd2 - Eugenol
Cingulum

06/01/2011 à 20h42

non j'en met plus ! j'en ai eu mis bcp crois moi, des simples des doubles et j'ai eu des récessions ...
Je suis un brin provocateur bien sur, parfois çà saigne, je dis pas le contraire, mais tout les moyens d’éviction, hémostase, coque, fil, bistouri électrique, sont palliatif à un problème qu'on a pas su gérer avant l'empreinte et qui sera toujours là après l'empreinte...



--
Dr Cingulum
-----Ancien interné----
----Attaché à l'apex----
www.clinic-all.fr formation par passion


Grueavatar nptrc9 - Eugenol
Le Choixpeau magique

06/01/2011 à 22h30

Cingulum écrivait:
------------------
> Je suis un brin provocateur bien sur, parfois çà saigne, je dis pas le
> contraire

Eh oh, cingugu, le fil c'est pas pour les saignements ! Eversion gingivale, fluide créviculaire, ce sont des vrais problèmes que le fil résout (à peu près).



Logo vuaztn - Eugenol
mac

06/01/2011 à 22h40

Cingulum écrivait:
------------------
> non j'en met plus ! j'en ai eu mis bcp crois moi, des simples des doubles et
> j'ai eu des récessions ...

moi j'y suis revenu depuis septembre et mon prothèsiste trouve que c'est mieux, je taille très légèrement sous gingival, et mes provisoires sont pas pourris.


que dit la littérature?


Marque a3 orange fyvhyq - Eugenol
Marc Apap

06/01/2011 à 23h54

En gros : au pire, sous gingival à mi hauteur du fond du sulcus.
Si parodonte fin, préférer une méthode douce, genre pas de fil ou un fil + expasyl ou expasyl; Autrement la méthode du double fil donne les meilleurs résultats.
J'ai découvert l'instrument cranté à "packer" le fil de chez ultradent, c'est un vrai régal par rapport à une spatule. Mais c'est long quand même et laborieux.
Perso, j'utilise très peu les fils, mais pour avoir une bonne définition c'est souvent mieux.


Blason dql7mj - Eugenol
growler

07/01/2011 à 00h25

perso j'utilise jamais le fil. J'empreinte ce que j'ai demandé à mes provisoires de me laisser empreinter.


Smile beach jgh0a1 - Eugenol
Céramik

07/01/2011 à 02h09

growler écrivait:
-----------------
> perso j'utilise jamais le fil. J'empreinte ce que j'ai demandé à mes provisoires
> de me laisser empreinter.

???


J'utilise un mélange de fil 00, Visco-stat clear, et laser.

Double fil...1-2 fois par an...pas plus...
Pas de fil...assez souvent
Laser, très souvent...


--
Céramik


Smile beach jgh0a1 - Eugenol
Céramik

07/01/2011 à 02h12

Cingulum écrivait:
------------------
> ne pas perdre de vue que le but n'est pas l'empreinte, mais de faire une
> prothèse intégré esthétiquement et biologiquement !
> Comment assuré l'intégration biologique si les limites sont dans l'espace
> biologique !
> ça sert à rien de prendre une empreinte à tout prix d'une limite qui n'est pas à
> sa place...
>
> quand vous avez 14 dents... vous mettez 28 fils ? vous videz une seringue
> d'expasyl ? C'est ingérable... il faut avoir des limites à 0.5 mm du fond du
> sulcus au moins, des bonnes provisoires...et après, peu importe le matériau
> d'empreinte...
>
> --
> Dr Cingulum
> -----Ancien interné----
> ----Attaché à l'apex----
> www.clinic-all.fr formation par passion



Nice !
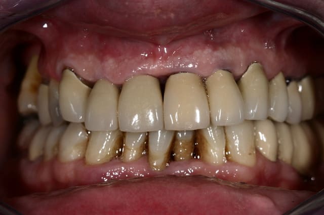
un peu trop de sillons foncés au lingual des antérieures...c'est la signature du proto ?

Tu as un photo du sourire final rétracté ?





--
Céramik


003 penrd2 - Eugenol
Cingulum

07/01/2011 à 08h26

Pas encore, la pose était la semaine dernière et le jour du collage c'est pas ""présentable" :)



--
Dr Cingulum
-----Ancien interné----
----Attaché à l'apex----
www.clinic-all.fr formation par passion


mat2t

07/01/2011 à 12h35

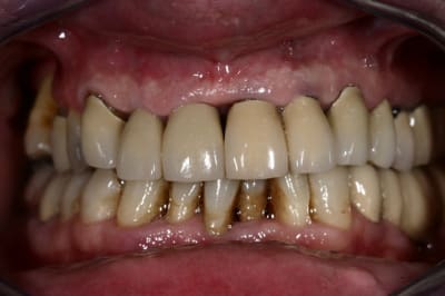
Cingulum , C'est normal d'avoir une limite aussi supra gingivale notamment sur 13 , on voit bien la limite c'est pas tres jolie.

C'est volontaire ?


Keyser Söze

07/01/2011 à 12h43

C'est préop la photo...


003 penrd2 - Eugenol
Cingulum

07/01/2011 à 13h49

lol


--
Dr Cingulum
-----Ancien interné----
----Attaché à l'apex----
www.clinic-all.fr formation par passion


mat2t

07/01/2011 à 13h53

oops , je me disais ...tres beau travail alors , vivement la photo du résultat final.


zamzam

07/01/2011 à 15h40

J ai souvent le meme probleme comment rendre invisible les limites ?