Cookie Consent byPrivacyPolicies.comCoordonnet,expasyl,provisoires etc .. - Eugenol

Coordonnet,expasyl,provisoires etc ..

003 penrd2 - Eugenol
Cingulum

07/01/2011 à 16h19

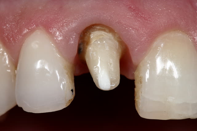
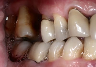
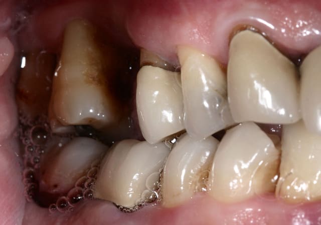
Ne pas dépulper les dents...

--
Dr Cingulum
-----Ancien interné----
----Attaché à l'apex----
www.clinic-all.fr formation par passion


003 penrd2 - Eugenol
Cingulum

09/01/2011 à 14h51

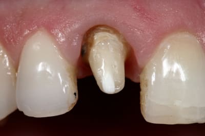
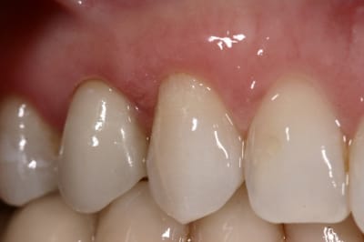
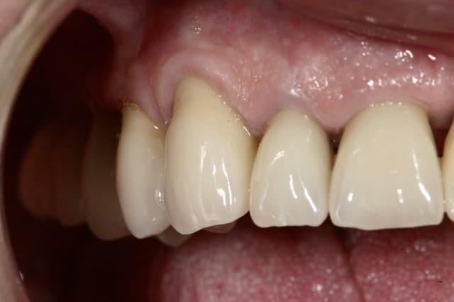
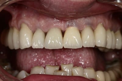
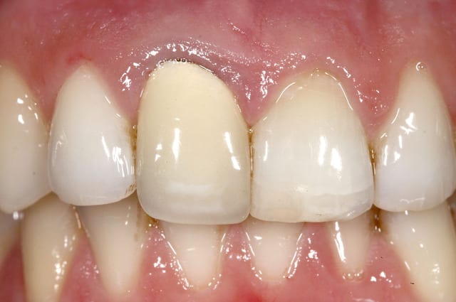
Une photo avec prep juxta, emax et contrôle à 1an....
rien à cacher, pas d'interférence avec l'espace biologique...
Si on enfouie de toute façon ça va apparaître un jour, et de toute façon ce que l'on verra c'est la racine noir... pas un problème de prothèse mais une conséquence de la perte de vitalité...

--
Dr Cingulum
-----Ancien interné----
----Attaché à l'apex----
www.clinic-all.fr formation par passion

Img 6829 bo0t2o - Eugenol
Img 6833 q3ahob - Eugenol
Img 6826 pdjmsw - Eugenol
Img 6827 e2vt8p - Eugenol

003 penrd2 - Eugenol
Cingulum

09/01/2011 à 15h23

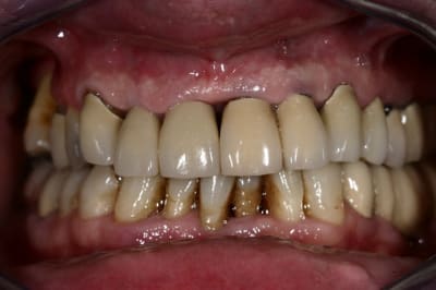
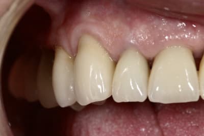
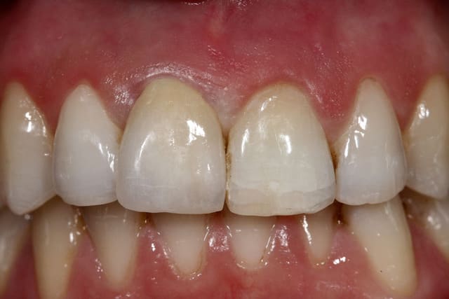
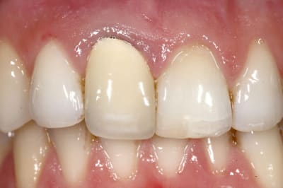
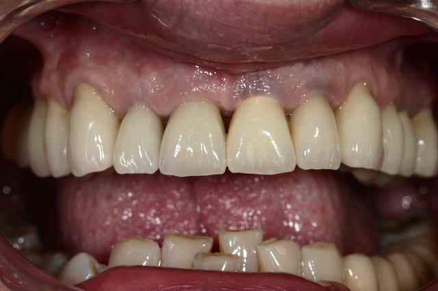
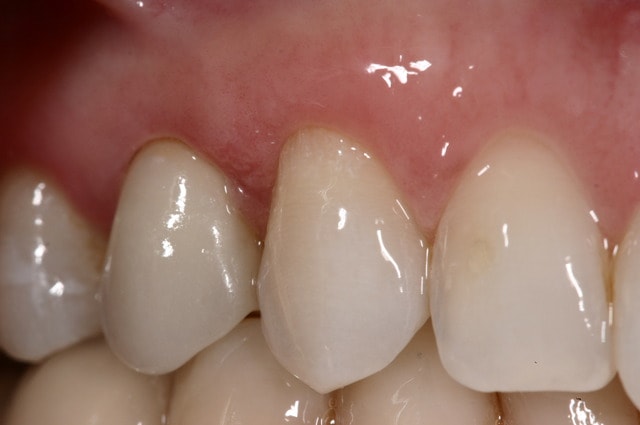
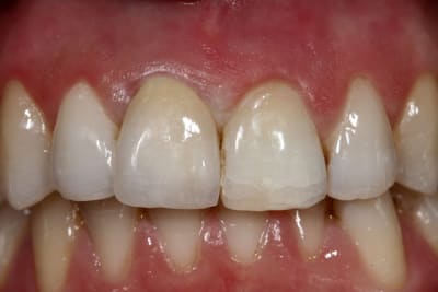
un autre cas, pas de fil, pas de produit. Gencive saine, sulcus présent.


--
Dr Cingulum
-----Ancien interné----
----Attaché à l'apex----
www.clinic-all.fr formation par passion

Figure 5 vq5rxp - Eugenol
Figure 6 renw0o - Eugenol
Figure 7 t0x8zk - Eugenol

Smile beach jgh0a1 - Eugenol
Céramik

09/01/2011 à 16h28

Cingulum écrivait:
------------------
> un autre cas, pas de fil, pas de produit. Gencive saine, sulcus présent.
>
>
> --
> Dr Cingulum
>

Stop, stop c'est impossible !
Pas d'endo, pas de IC métal, pas de fil, pas de préparation sous gingivale, pas ce CCM, c'est impossible, le collage ça fonctionne pas....pffft...


;-))

PS joli travail

--
Céramik


Grueavatar nptrc9 - Eugenol
Le Choixpeau magique

09/01/2011 à 18h39

Super boulot, super résultat, mais on peut quand même difficilement appeler ça du juxta-gingival, amha.


Squash u44zd8 - Eugenol
steph

09/01/2011 à 19h18

D'ac avec Choip.
Le résultat est top, mais j'imagine que tout est géré avec les provisoires.
C'est Chiche qui préconisait de sceller une provisoire légèrement en surcontour et de prendre l'empreinte à 48h ; c'est ce que tu as fait?
Et il faut un prothésiste qui lise parfaitement les limites, ou tu lui détoures toi-même le modèle?


003 penrd2 - Eugenol
Cingulum

09/01/2011 à 20h12

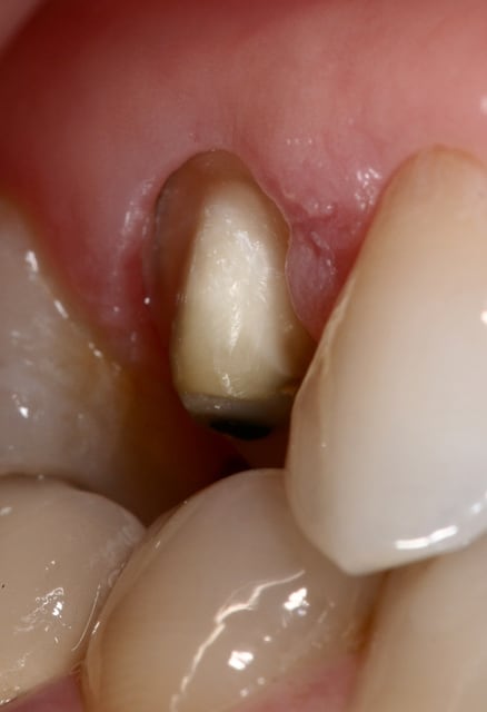
là non... c'est dans le sulcus, mais pas au fond ;)


Le Choixpeau magique écrivait:
------------------------------
> Super boulot, super résultat, mais on peut quand même difficilement appeler ça
> du juxta-gingival, amha.


--
Dr Cingulum
-----Ancien interné----
----Attaché à l'apex----
www.clinic-all.fr formation par passion


003 penrd2 - Eugenol
Cingulum

09/01/2011 à 20h13

> et de prendre l'empreinte à 48h ; c'est ce que tu as fait?

non dans 60% des cas c'est empreinte le jour de la taille

> Et il faut un prothésiste qui lise parfaitement les limites, ou tu lui détoures
> toi-même le modèle?

Un jour il m'a rédigé un mail pour m'expliquer comment il faisait.. mais je lis pas le chinois !

--
Dr Cingulum
-----Ancien interné----
----Attaché à l'apex----
www.clinic-all.fr formation par passion


Smile beach jgh0a1 - Eugenol
Céramik

09/01/2011 à 20h59

Cingulum écrivait:
------------------

> non dans 60% des cas c'est empreinte le jour de la taille


60% ? Pourquoi si peu ?
Je fais 98%



> Un jour il m'a rédigé un mail pour m'expliquer comment il faisait.. mais je lis
> pas le chinois !


LOL !



--
Céramik


003 penrd2 - Eugenol
Cingulum

09/01/2011 à 21h05

Céramik écrivait:
-----------------
> Cingulum écrivait:
> ------------------
>
> > non dans 60% des cas c'est empreinte le jour de la taille
>
>
> 60% ? Pourquoi si peu ?
> Je fais 98%
>

parce que soit c'est inflammatoire car situation pas terrible avant la provisoire, soit il y a autre chose à faire ailleurs avant empreinte (implant notamment...)


>
>
> > Un jour il m'a rédigé un mail pour m'expliquer comment il faisait.. mais je
> lis
> > pas le chinois !
>
>
> LOL !
>
>
>
> --
> Céramik


--
Dr Cingulum
-----Ancien interné----
----Attaché à l'apex----
www.clinic-all.fr formation par passion


200106 10150128247663588 709988587 6466236 5598391 n d7mksb - Eugenol
hallboy

09/01/2011 à 22h55

Le Choixpeau magique écrivait:
------------------------------
> Super boulot, super résultat, mais on peut quand même difficilement appeler ça
> du juxta-gingival, amha.

C'est aussi le mantra d'Alhoun;)
Pas de fil , pas sousgingival, mais intrasulculaire. La gencive, c'est comme la reine d'angleterre: tu touches pas.

Je cite de memoire ;)


Smile beach jgh0a1 - Eugenol
Céramik

10/01/2011 à 03h12

Cingulum écrivait:
------------------
> Ne pas dépulper les dents...
>
> --

+1

et ne pas mettre de métal sur ou dans les dents
(pas de IC, pas de CCM)

C'est possible presque tout le temps
Moins de 15 IC en 15 ans, pourtant des centaines de tenons fibrés et des milliers de couronnes céramiques sur dents vitales...

--
Céramik


Grueavatar nptrc9 - Eugenol
Le Choixpeau magique

10/01/2011 à 12h06

hallboy écrivait:
-----------------
> C'est aussi le mantra d'Alhoun;)
> Pas de fil , pas sousgingival, mais intrasulculaire. La gencive, c'est comme la
> reine d'angleterre: tu touches pas.


Toutes les plus belles photos d'empreinte (dont celles que Céramik a posté il n'y a pas très longtemps), sont TOUJOURS réalisées avec des fils.
Ou alors avec des techniques d'empreinte compressives, mais ça entraîne d'autres problèmes.
Comment enregistrer le profil d'émergence sans fil ?
Comment laisser de la place au prothésiste pour qu'il passe sa fraise sans fil ?
Les photos de Marc Apap sont très parlantes.
Après pour des tailles supra le problème est peut être différent.


Rorschachwhite tx6rqr - Eugenol
Candide Candida

10/01/2011 à 12h30

hs


003 penrd2 - Eugenol
Cingulum

13/01/2011 à 16h01

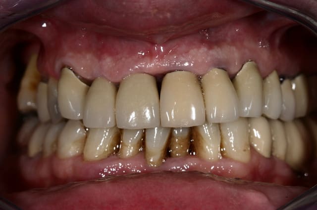
chose promise...

--
Dr Cingulum
-----Ancien interné----
----Attaché à l'apex----
www.clinic-all.fr formation par passion

Img 6347 dxi7zd - Eugenol
Img 9082 eplzsm - Eugenol
Img 6290 llkwh2 - Eugenol
Img 9032 gciywh - Eugenol
Img 9081 epxss5 - Eugenol

murduck

13/01/2011 à 16h28

On ne peux mieux au niveau esthétique je pense (sauf avec photoshop biensur)

Bravo, et merci pour le partage..


003 penrd2 - Eugenol
Cingulum

13/01/2011 à 16h32

on peut toujours mieux...je pense qu'avec une formation muco on pourrait reformer des papilles, les dents seraient alors plus naturelles...

--
Dr Cingulum
-----Ancien interné----
----Attaché à l'apex----
www.clinic-all.fr formation par passion


Grueavatar nptrc9 - Eugenol
Le Choixpeau magique

13/01/2011 à 17h01

Merci Cingulum, c'est super, dommage qu'il n'y ait pas de photos des préparations.


003 penrd2 - Eugenol
Cingulum

13/01/2011 à 17h08

je pense pas a faire des photos de tout :)
--
Dr Cingulum
-----Ancien interné----
----Attaché à l'apex----
www.clinic-all.fr formation par passion


Marque a3 orange fyvhyq - Eugenol
Marc Apap

13/01/2011 à 18h04

En tous cas, bravo au prothésiste. Il est vraiment exceptionnel.


All star lmwyq8 - Eugenol
saint Desmotome

13/01/2011 à 18h56

Joli travail. Juste une question: n'aurait-il pas été possible de faire des incisives moins triangulaires pour diminuer les "espaces noirs" ?


003 penrd2 - Eugenol
Cingulum

13/01/2011 à 19h05

si, c'est le gros défaut de mon prothésiste ...
Il a du mal à faire des dents où on ferme les embrasures avec de la dentine saturée, a la manière des P.Magne et autre...
pourtant je lui ai dit

關閉門道,如果你看到黑色三角形!


--
Dr Cingulum
-----Ancien interné----
----Attaché à l'apex----
www.clinic-all.fr formation par passion


Logo vuaztn - Eugenol
mac

13/01/2011 à 21h33

Cingulum écrivait:
------------------
> on peut toujours mieux...je pense qu'avec une formation muco on pourrait
> reformer des papilles, les dents seraient alors plus naturelles...
>


la présence ou non des papilles est déterminée, par la distance entre le point de contact et le niveau osseux, donc même avec de la muco je vois pas ce que tu peux faire, tu pensais à quoi?
la solution c'est de remonter les points de contact avec des dents plus carrées.


aldo74

13/01/2011 à 23h54

bonsoir,
c'est toujours surprenant de voir ces post ou l'on cherche à donner la solution qui répond à toutes les situations.(c'est un peu comme les tarifs en prothèse).toutes les dents n'ont pas le même environnement parodontal et à chaque situation sa solution:provisoire , provisoire avec fil, pas de fil, fils ultrapack seul, double fil ,fils avec astringent,racecord ,expasyl,etc etc .
en revanche un saignement c'est une situation qui ne devrait pas se présenter à la prise d'empreinte car empiètement sur l'espace biologique ou inflammation.(éventuellement et au pire tremblement.......)


Marque a3 orange fyvhyq - Eugenol
Marc Apap

14/01/2011 à 01h01

Les caries, les parodontites, les malpositions dentaires aussi, ce sont des choses qui ne devraient pas se présenter. Et pourtant, on vit dedans tous les jours et on fait avec.