Cookie Consent byPrivacyPolicies.comccc sur faux moignon metalique - Eugenol

ccc sur faux moignon metalique

dentinus

22/10/2010 à 14h22

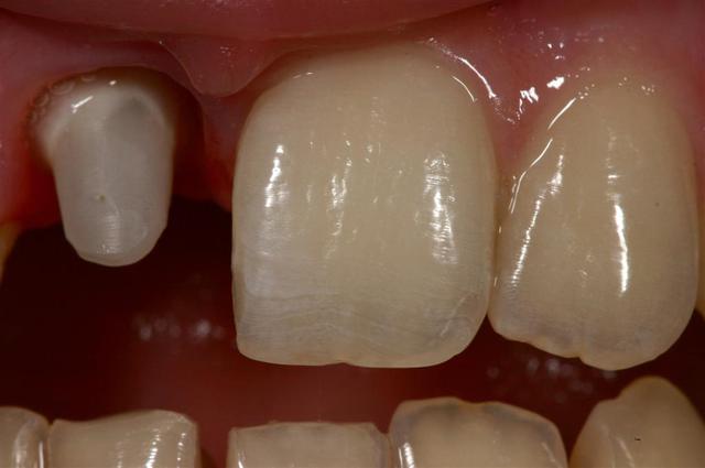
je voudrai réaliser deux ceramo- céramique sur 11 et 21 sur faux moignon métallique, j ai pas bcp d’expérience en ceramo-céramique!
pensez-vous que le résultat ne sera pas esthétique? en sachant que j ai opter pour le zircone.
une autre question je sais que le zircone on peux le sceller,penser vous que je peux le sceller avec du fugi plus?
ou ça serai mieux de le coller?
merci.


canus

22/10/2010 à 14h39

ceramiser les inlays-cores apportent un plus


Kawaï

22/10/2010 à 14h40

inlay céram + Emax !!! Résultat garanti


canus

22/10/2010 à 14h44

c'est vrai qu' esthetiquement c'est mieux ,mais on est plus sur inlay metal


Grumpy cat ifik8s - Eugenol
radich_a_tord

22/10/2010 à 14h48

Salut,
Pas de problème pour la zircone, il suffit de le noter sur ta fiche de labo, le prothésiste fera une chape zircone un peu plus épaisse pour bien masquer le métal, et son cosmétique par dessus.

Pour les inlay core céramisés, ça se discute, ok ça masque le grisé du métal, mais l'aspect opaque est toujours là (=manque de transmission de lumière) et l'épaisseur nécéssaire est plus importante, au détriment de la chape CCC (plus esthétique) ou de la rétention.

Pour être au max de l'esthétique RMIPP + CCC Emax ou autre céramique très esthétique, mais à coller obligatoirement.
Sinon zircone + IC métal, qui se scelle classiquement (CVIMAR ou autre). C'est quand même très joli si le céramiste est doué.


Smile beach jgh0a1 - Eugenol
Céramik

22/10/2010 à 15h10

radich_a_tord écrivait:
-----------------------
> Salut,
> Pas de problème pour la zircone, il suffit de le noter sur ta fiche de labo, le
> prothésiste fera une chape zircone un peu plus épaisse pour bien masquer le
> métal, et son cosmétique par dessus.
>
> Pour les inlay core céramisés, ça se discute, ok ça masque le grisé du métal,
> mais l'aspect opaque est toujours là (=manque de transmission de lumière) et
> l'épaisseur nécéssaire est plus importante, au détriment de la chape CCC (plus
> esthétique) ou de la rétention.
>
> Pour être au max de l'esthétique RMIPP + CCC Emax ou autre céramique très
> esthétique, mais à coller obligatoirement.
> Sinon zircone + IC métal, qui se scelle classiquement (CVIMAR ou autre). C'est
> quand même très joli si le céramiste est doué.

+1

Mais la question: pourquoi un IC ?
Sur une centrale, c'est moche...

photo, radio ?


--
Céramik


Tozzi

22/10/2010 à 15h20

Quelles indications de la zircone en antérieur ?
RMIPP ??


003 penrd2 - Eugenol
Cingulum

22/10/2010 à 16h15

Le meilleur résultat ce fera avec reconstruction tenon fibré et compo puis emax...
La zircone est assez opaque et difficile à masquer en cervicale.
un cas plural en zircone
et un unitaire en emax...
--
Dr Cingulum
-----Ancien interné----
----Attaché à l'apex----
www.clinic-all.fr formation par passion

Couronne et bridge nuqbil - Eugenol
Couronne et bridge2 jtxmb1 - Eugenol
Img 7311  large  iof9oz - Eugenol
Img 7527  large  hl5llq - Eugenol
Img 7597  large  nlyioe - Eugenol

Img 8465 fqhxid - Eugenol
noahaxeltiger-olivier

22/10/2010 à 16h24

Joli travail d'équipe avec ton prothésite.

Maintenant si on veut être critique ... mais constructif, en tant que paro je trouve dommage de ne pas avoir fait une frénectomie sur le cas de l'unitaire.
Cela aurait permis de bien ajuster la ligne des collets.


Grumpy cat ifik8s - Eugenol
radich_a_tord

22/10/2010 à 16h38

Tozzi écrivait:
---------------
> Quelles indications de la zircone en antérieur ?
> RMIPP ??

Ancien IC laissé en place (risque de fracture, endo correcte) ou restauration métallique sous-jacente -> Zircone

Impossibilité de faire un collage satisfaisant -> Zircone

Contrainte occlusale trop importante pour être tranquille avec de la vitrocéramique -> zircone

(RMIPP=tenon fibré + composite autopolymérisable, si c'était le sens de ta question)

Superbe cas cingulum, si je peux me permettre une question, comment as tu géré le collage sur ton cas d'emax, et pourquoi avoir enfoui ta limite ?


003 penrd2 - Eugenol
Cingulum

22/10/2010 à 16h57

noahaxeltiger-olivier écrivait:
-------------------------------

> trouve dommage de ne pas avoir fait une frénectomie sur le cas de l'unitaire.
> Cela aurait permis de bien ajuster la ligne des collets.

En fait c'est volontaire. La trés jeune patiente à une fracture qui s'étend à la partie mesiale de la racine de 11. J'ai pensé à la frenectomie mais j'avais une situation stable et j'avais peur de perdre cette jolie papille...


Tu en penses quoi ?


--
Dr Cingulum
-----Ancien interné----
----Attaché à l'apex----
www.clinic-all.fr formation par passion

Img 7568 meqxja - Eugenol

Img 8465 fqhxid - Eugenol
noahaxeltiger-olivier

22/10/2010 à 17h15

On ne pas dire que c'est le frein qui préserve ta papille dans une position coronaire ! La traction du frein aurait plutôt une action inverse.

J'aurais sans hésiter fait une frénectomie en prenant soin de respecter quelques paramètres :
- préservation de la papille (dans sa demie épaisseur)lors de l'acte chirurgical
- suture double crossed pour t'assurer d'un bon ancrage coronaire

Le résultat est alors parfaitement prédictible.


Marque a3 orange fyvhyq - Eugenol
Marc Apap

22/10/2010 à 17h20

A supposer qu'on ne puisse pas faire de restauration directe en composite fibré (il y a des contre indications tout de même), j'ai ce problème en ce moment :
l'e-max est trop translucide, c'est moche.
Le prothésiste me propose de refaire en e-max mais avec un chape plus épaisse;
Sinon, je vais faire faire le travail par un autre prothésiste. Mais pourquoi ne parlez vous tous que de zircone et pas d'in ceram qui existe encore et donne des résultats très voisins (avec en plus une chape en alumine de couleur jaune pâle)
Que pensez vous de ces deux propositions ?


P1010130 jpci1f - Eugenol
MarcB6

22/10/2010 à 17h23

noahaxeltiger-olivier écrivait:
-------------------------------
> Joli travail d'équipe avec ton prothésite.
>
> Maintenant si on veut être critique ... mais constructif, en tant que paro je
> trouve dommage de ne pas avoir fait une frénectomie sur le cas de l'unitaire.
> Cela aurait permis de bien ajuster la ligne des collets.


+1

--
Marc


Grumpy cat ifik8s - Eugenol
radich_a_tord

22/10/2010 à 17h42

Bonjour Marc,
J'ai eu le retour d'un des prothésistes avec qui je travaille en CCM qui revient d'une formation Ivoclar, il m'a dit que monter une emax n'a rien a voir avec une CCM classique, il faut gérer les masses (opaque, dentine, translucide, etc) de façon entièrement différente. Peut être que ton proto s'est fait avoir et n'a pas mis assez de dentine et trop de translucide/email. C'est surement le cas s'il n'en fait pas beaucoup.

Sinon oui l'In Ceram et les autres céramiques Vita ont leur intérêt, je leur reproche d'utiliser le nom générique in ceram pour toute leur gamme, de la feldspathique à la zircone, de la technique de barbotine à la pressée ou la CFAO.


Marque a3 orange fyvhyq - Eugenol
Marc Apap

22/10/2010 à 18h02

Suite à un premier essai où la dent était vraiment grise, mon prothésiste a repris le travail avec un dentine plus opaque. Mais même là, le résultat était décevant. C'est quand même les chapes qui sont très translucides, et la céramique n'est pas la même que pour les ccm.


003 penrd2 - Eugenol
Cingulum

22/10/2010 à 18h10

Surtout que dans la gamme Emax, on a une palette de translucidité pour les noyaux qui va de l'email jusqu'a l'opaque. On peut meme faire des emax sur faux moignon...

Pour ma patiente, la prochaine fois que je la vois je lui donne son coup de bistouri ;)


--
Dr Cingulum
-----Ancien interné----
----Attaché à l'apex----
www.clinic-all.fr formation par passion

Img 7716 tqfsq0 - Eugenol
Img 7721 j20vzx - Eugenol

Img 8465 fqhxid - Eugenol
noahaxeltiger-olivier

22/10/2010 à 18h27

Superbes photos!!


Grueavatar nptrc9 - Eugenol
Le Choixpeau magique

23/10/2010 à 00h27

Marc Apap écrivait:
-------------------
> A supposer qu'on ne puisse pas faire de restauration directe en composite fibré
> (il y a des contre indications tout de même), j'ai ce problème en ce moment :
> l'e-max est trop translucide, c'est moche.
> Le prothésiste me propose de refaire en e-max mais avec un chape plus épaisse;
> Sinon, je vais faire faire le travail par un autre prothésiste

Malheureusement, la plupart des prothésistes qui font soit disant de l'e.max n'ont pas la formation suffisante pour maîtriser le matériau.
Demandez une monobloc et ensuite appelez votre prothésiste pour savoir ce qu'il a fait, vous serez surpris...
Demandez au prothésiste si ça l'intéresse de connaître la teinte du moignon, vous serez surpris...
Demandez lui enfin de quel type de lingotins il dispose pour faire la chape, vous serez surpris aussi...
Beaucoup de prothésistes nous font couler des larmes de crocodiles à propos de la prothèse d'importation qui leur prend tout leur boulot blah blah blah, mais dés qu'on demande une certaine expertise sur les "nouvelles" techniques il n'y a plus personne.

A ce propos, je suis toujours à la recherche d'un BON prothésiste qui fasse de l'e.max sur région parisienne, si quelqu'un a une suggestion...


Blason dql7mj - Eugenol
growler

24/10/2010 à 09h48

2 fois de suite j'ai eu le même problème que marc avec des emax sur incisives, rendu effroyable car trop translucide.
le prothésiste semblait étonné et surtout ne me donnait pas de solution. J'ai changé de labo et là cette fois c'est parfait. Il est effectivement impératif pour l'emax de travailler avec un céramiste qui connaisse parfaitement ce procédé.


87 ujotte - Eugenol
Spatouille

24/10/2010 à 11h40

je tente une réponse,

l'erreur des prothésiste qui n'ont pas assez de recul avec cette gamme (bcp de labo s'équipent tout juste suite à la récente prise en charge des ccc) consiste souvent à presser un lingotin trop translucide (trois sorte LT-MO-HO) en pensant vous en mettre plein la vue et ne mettre que de l'incisal dessus , se faisant il ne "bloque" pas la lumière. le LT ne peut servir qu'a faire des facette péliculaire , MO va de la facette d'épaisseur normale aux couronnes pleines ou non (seul les masses de strat changeront), le HO peut servir à masquer un IC métal ou un moignon fortement dischromié .

sinon pour la question du début on peut aussi faire un IC composé, tenon coulé métal (prévoir une petite gorge pour passer un US en cas de réintervention) avec deux rétention pour pressé (HO+essence) pardessus la partie coronaire du moignon . c'est assez cher, faut compter le prix d'une ccm quasi .


Smile beach jgh0a1 - Eugenol
Céramik

24/10/2010 à 19h47

Spatouille écrivait:
--------------------
> je tente une réponse,
>
> l'erreur des prothésiste qui n'ont pas assez de recul avec cette gamme (bcp de
> labo s'équipent tout juste suite à la récente prise en charge des ccc) consiste
> souvent à presser un lingotin trop translucide (trois sorte LT-MO-HO) en pensant
> vous en mettre plein la vue et ne mettre que de l'incisal dessus , se faisant il
> ne "bloque" pas la lumière. le LT ne peut servir qu'a faire des facette
> péliculaire , MO va de la facette d'épaisseur normale aux couronnes pleines ou
> non (seul les masses de strat changeront), le HO peut servir à masquer un IC
> métal ou un moignon fortement dischromié .
>
> sinon pour la question du début on peut aussi faire un IC composé, tenon coulé
> métal (prévoir une petite gorge pour passer un US en cas de réintervention) avec
> deux rétention pour pressé (HO+essence) pardessus la partie coronaire du moignon
> . c'est assez cher, faut compter le prix d'une ccm quasi .


Il y a aussi le HT (High Translucidity) quand c'est utile.

Pour le prix, les e-Max me coutent en général aussi cher qu'une CCM standard, parfois plus si statification zone antérieur.

+1 pour l'expérience des labo.
Certains viennent tout juste de se lancer dans la céramique pressée et les résultats sont moches. Mon labo a fait du Empress pendant 15 ans et du e-Max depuis sa sortie, en fait il est meuilleur en tout céram qu'en CCM...


C'est la même chose pour la zircone, si le labo fait faire les chape à l'extérieur, et place la céram sur zircone une fois de temps en temps, c'est super moche. Il y a des labo qui sont experts en zircone, d'autre pas du tout.



--
Céramik


dentinus

24/10/2010 à 20h32

alors pour mon inlay-core metalique la meilleur solution est le zircone, il masquera le métal , est ce que quelqu' un a deja fait de ccc sur inlay mètalique? est ce que le résultat est esthètique?


Tozzi

24/10/2010 à 20h42

Svp auriez-vous des photos qui montrent les ratages de prothèses tout céramique ?
Cà serait bien de voir de temps en temps des pseudos-échecs.


Grueavatar nptrc9 - Eugenol
Le Choixpeau magique

24/10/2010 à 22h16

Spatouille écrivait:
--------------------
> souvent à presser un lingotin trop translucide (trois sorte LT-MO-HO) en pensant
> vous en mettre plein la vue et ne mettre que de l'incisal dessus , se faisant il
> ne "bloque" pas la lumière. le LT ne peut servir qu'a faire des facette
> péliculaire , MO va de la facette d'épaisseur normale aux couronnes pleines ou
> non (seul les masses de strat changeront), le HO peut servir à masquer un IC
> métal ou un moignon fortement dischromié .


Désolé Spatouille, mais là tu nous montres que toi non plus ne maîtrise pas le matériau.
Comme l'a dit Céramik, il y a 4 opacités différentes HT/LT/MO/HO, le HT étant le dernier sorti et bien sûr le plus difficile à manier.
Certains prothésistes ont montré des choses vraiment superbes en _monobloc_ maquillé en HT donc c'est possible.
Le LT devrait être la base et pas du tout exceptionnel comme tu sembles le dire. Simplement quand on utilise du LT il faut savoir ce qu'il y a en dessous, prendre une teinte de moignon et éventuellement reproduire cette teinte sur le modèle (il y a des composites spéciaux).
Les lingotins opaques sont utiles pour faire du masquage d'IC ou autres moignons dischromiés, mais faire de l'e-max en faisant systématiquement une chape blanche crayeuse (pas sûr de l'accord) c'est dommage, autant faire de l'alumine, ou de la zircone, qui se scellent :
J'ai bossé avec un prothésiste qui, quand je demandais du monobloc, remplaçait systématiquement par une chape zirpress. Un autre qui ne savait pas ce que ça voulait dire et me faisait systématiquement une stratification sans chercher à savoir le sens des indications sur la fiche... quand je lui ai expliqué, il m'a fait une monobloc en HO, boujour l'horreur....

Vous avez la chance d'avoir un des experts mondiaux (Ubassy) qui fait des formations en France, donc si vous décidez d'investir dans du matos investissez aussi dans la formation adéquate !