Cookie Consent byPrivacyPolicies.comccc sur faux moignon metalique - Eugenol

ccc sur faux moignon metalique

Smile beach jgh0a1 - Eugenol
Céramik

25/10/2010 à 00h00

Zircone plus facile que e-Max pour masquer du métal

Zircone : chapes teintée, on évite le blanc trop opaque

Lava, Procera-Zircone, Zirkonzahn

On peux même presser la céram sur le zircone

Lava DVS : nouveau chape zircone (5 couleur possible) ET chape céram usinées (CAD-CAM) puis collées ensemble par cuisson

http://solutions.3m.com/wps/portal/3M/en_US/3M-ESPE/dental-professionals/products/category/cad-cam/lava-dvs/



Le plus beau pour la zircone :

http://www.zirkonzahn.com/Default.aspx


--
Céramik


Grumpy cat ifik8s - Eugenol
radich_a_tord

25/10/2010 à 12h47

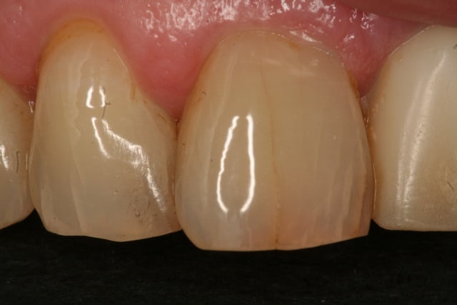
Tiens un cas de zircone lava sur support gris/métal (désolé pour la qualité de la photo finale). Mon labo a vraiment assuré je trouve

Img 8954 lhjhl3 - Eugenol
Img 8958 r3rc1j - Eugenol
Img 8984 rvlngi - Eugenol

87 ujotte - Eugenol
Spatouille

25/10/2010 à 20h54

Le Choixpeau magique écrivait:
------------------------------

> Comme l'a dit Céramik, il y a 4 opacités différentes HT/LT/MO/HO, le HT étant le
> dernier sorti et bien sûr le plus difficile à manier.
> Certains prothésistes ont montré des choses vraiment superbes en _monobloc_
> maquillé en HT donc c'est possible.

j'ai omis le HT, et je ne m'y risquerais pas ... si tu as des infos sur les cas réalisé dont tu parles je suis preneur .

> Le LT devrait être la base et pas du tout exceptionnel comme tu sembles le dire.

pas d'accord ou alors uniquement avec ton conditionnel, tous les dentiste ne sont pas comme toi expert en E.max ;) trop peu d'info, fiche de prothèse J.Delafafond, le prix d'un moignon teinté ..... donc la sécurité nous fait employé le MO .

après je confirme ne pas être un expert (j'ai dit tenter une explication) et je redit que beaucoup de prothos s'équipent tout juste donc tu essuie les plâtres .

> Vous avez la chance d'avoir un des experts mondiaux (Ubassy) qui fait des
> formations en France, donc si vous décidez d'investir dans du matos investissez
> aussi dans la formation adéquate !

d'accord sur le fond, mais pour te donner mon avis personnel Ubassy est un martien et ses stages ne sont pas forcément accessible à tous et je ne parle pas d'argent .


Grueavatar nptrc9 - Eugenol
Le Choixpeau magique

25/10/2010 à 21h11

Spatouille, quel intérêt de faire de l'e.max si c'est pour utiliser une chape opaque ?

De tous ceux que j'ai essayés (quatre), jamais aucun ne m'a demandé ce qu'il y avait en support... j'ai proposé à certains de leur donner la teinte de mon moignon, ils m'ont répondu que ça ne servait à rien...

--
FSDL, what else ?


Logo vuaztn - Eugenol
mac

25/10/2010 à 22h12

une patiente que j'ai vue aujourd'hui, avec une facette et une couronne Emax, je trouve ça sympa, les compos sont pas extras.

Img 0256 sqiq5j - Eugenol

87 ujotte - Eugenol
Spatouille

25/10/2010 à 22h41

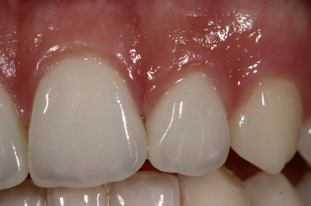
sympa Mac, la différence de teinte (pas choquante) est un choix ? ou une "mauvaise gestion" des teintes de piliers ?

pas de soucis je t'entend bien choipeaux, je suis d'accord sur le fond mais dans les faits .....

HT LT MO ou chappe opaque ..... qu'importe ? pourvu que t'ai un résultat ? le HT (si tu as des infos sur tes cas ) pour moi (à l'instant T) n'est vraiment utile qu'en cas de facettes pelliculaire sans strat où l'effet de mimétisme du matériaux E.max joue pleinement sont rôle . quelle autre utilité ? quels besoins d'avoir si translucide ?
je veux donc dire pourquoi faire utiliser tel ou tel plot si tu as un bon résultat en mo ou lt

après qu'aucun de ces quatre là n'est su saisir la chance de repousser son expérience du matériau est juste dommage .


Logo vuaztn - Eugenol
mac

25/10/2010 à 22h52

Spatouille écrivait:
--------------------
> sympa Mac, la différence de teinte (pas choquante) est un choix ? ou une
> "mauvaise gestion" des teintes de piliers ?

non c'est pas un choix, mauvais gestion de teinte je pense pas, parce qu'ils ont pas tous les deux la même couleur.

mais je trouve le résultat plutôt satisfaisant, c'est pour ça que je les ai collées.


Grueavatar nptrc9 - Eugenol
Le Choixpeau magique

25/10/2010 à 23h05

Spatouille écrivait:
--------------------
> HT LT MO ou chappe opaque ..... qu'importe ? pourvu que
t'ai un résultat ?

L'e.max, c'est quand même assez pénible à coller, au contraire de l'alumine et de la zircone qui peuvent se sceller. Si on doit faire l'effort d'utiliser ce matériau, c'est pour avoir un plus qualitatif.

le HT
> (si tu as des infos sur tes cas ) pour moi (à l'instant T) n'est vraiment utile
> qu'en cas de facettes pelliculaire sans strat où l'effet de mimétisme du
> matériaux E.max joue pleinement sont rôle . quelle autre utilité ? quels besoins
> d'avoir si translucide ?

Je n'en sais rien, mais tu avoueras que ton discours a glissé, tu disais avant que le LT était pour des cas très précis, or ça devrait être le lingotin de base.
Pour le HT, je n'ai pas d'informations supplémentaires, tu as sans doute raison de dire que c'est assez spécial.

> je veux donc dire pourquoi faire utiliser tel ou tel plot si tu as un bon
> résultat en mo ou lt

Les résultats en chape opaque sont des résultats de compromis où le substrat coloré impose un masquage, et dans ce cas je me demande quel est l'intérêt par rapport à un autre matériau opaque, plus facile à assembler pour le praticien.
>
> après qu'aucun de ces quatre là n'est su saisir la chance de repousser son
> expérience du matériau est juste dommage .

Je pense malheureusement que sur ces 4 là,c'est plus un problème de personne qu'autre chose, j'ai un prothésiste pour les CCM et Procera qui me donne toute satisfaction, je suis sûr qu'avec l'e.max il donnerait également de très bons résultats, mais malheureusement pour l'instant il refuse d'investir (je crois aussi que Nobel, qui a racheté la techno, aime bien exercer un certain contrôle sur ses affiliés).


Grueavatar nptrc9 - Eugenol
Le Choixpeau magique

25/10/2010 à 23h11

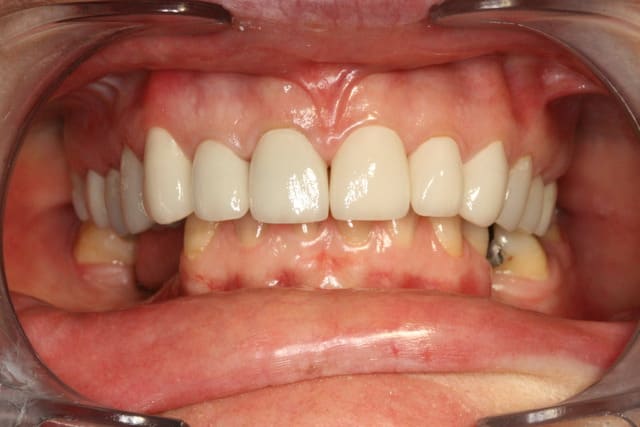
Superbe résultat Mac, surtout avec deux épaisseurs différentes à gérer :)


maz

25/10/2010 à 23h21

quand je ne fais pas la photo des moignons pour une eMax, mon prothé me la demande

et quand il me montre ses cas faits avec d'autres dentistes, il y a souvent cette photo des moignons

il a effectivement fait plusieurs stages chez Ubassy


Le Choixpeau magique écrivait:

> Les résultats en chape opaque sont des résultats de compromis où le substrat
> coloré impose un masquage, et dans ce cas je me demande quel est l'intérêt par
> rapport à un autre matériau opaque, plus facile à assembler pour le praticien.

sauf si le praticien tiens justement à coller plutôt qu'à sceller ... (certes c'est se compliquer la vie, mais pourquoi pas ?) ou qu'il veut une uniformité de matériaux et qu'il fait des facettes sur la dent d'à coté ?


87 ujotte - Eugenol
Spatouille

25/10/2010 à 23h35

je crois pas avoir glissé, je préfère le mo plus tolérant .

oui Mac c'est une très belle réalisation


Logo vuaztn - Eugenol
mac

25/10/2010 à 23h39

Le Choixpeau magique écrivait:
------------------------------
> Superbe résultat Mac, surtout avec deux épaisseurs différentes à gérer :)


et deux couleurs aussi, mais tout le mérite en revient au prothésiste.

Img 9465 bhvjdu - Eugenol

Smile beach jgh0a1 - Eugenol
Céramik

25/10/2010 à 23h40

Le Choixpeau magique écrivait:
------------------------------
> >
> L'e.max, c'est quand même assez pénible à coller, au contraire de l'alumine et
> de la zircone qui peuvent se sceller. Si on doit faire l'effort d'utiliser ce
> matériau, c'est pour avoir un plus qualitatif.


Un compo, c'est etch + adhésif + compo photo...

E-Max se colle comme un compo, c'est pas pénible...

E-max : etch + adhésif + résine photo
Ajout de silane (Monobond plus) sur e-Max...

Voilà, c'est tout...

C'est quoi ? 5 minutes ?
Le temps d'attente d'un CIVMA ? 5 minutes !

;-)

--
Céramik


Grueavatar nptrc9 - Eugenol
Le Choixpeau magique

26/10/2010 à 00h06

Céramik écrivait:
-----------------
> Un compo, c'est etch + adhésif + compo photo...
>
> E-Max se colle comme un compo, c'est pas pénible...
>
> E-max : etch + adhésif + résine photo
> Ajout de silane (Monobond plus) sur e-Max...
>

Avant je faisais etch de la céram à l'acide fluorhydrique, puis rinçage au dessus d'un récipient puis neutralisation du contenu du récipient, comme recommandé.
Ensuite Silane.
Avec le Surpass, on recommande en plus de mettre une couche de primer dans l'intrados et de photopolymériser.
Maintenant j'ai remplacé etch+silane par interface qui fait les deux en une seule étape sans rincer.

Sur la dent, c'est comme tu as dit, mais là c'est soit un M&R 2 et souvent je fais saigner avec l'acide phosphorique... Tu pourrais aussi rajouter un nettoyage à l'alcool et un sablage.

Si je ne veux pas que ça saigne je fais la séquence surpass, mais avec les trois flacons c'est long, et j'ai toujours peur de contaminer...
Je ne place pas la digue pour coller les couronnes dont la limite est trop souvent sous-gingivale...

Enfin bref, tout ça pour dire qu'en travaillant seul ça me fait facilement une séance de 45 minutes pour coller une e.max, contre 15 pour sceller une CCM, et après tu as le temps de blablater avec le patient.
Je veux bien faire l'effort pour avoir un résultat, mais si c'est pour avoir l'esthétique d'une zircone, autant faire une zircone.

Je me suis acheté un tube de Relyx, dont la littérature est quand même impressionnante, mais je ne peux me résoudre à l'utiliser.

--
FSDL, what else ?


maz

26/10/2010 à 00h11


depuis que je le fais sous digue, même pour les sous gingivales, ça va beaucoup mieux finalement.

par contre, niveau temps, ça n'en rajoute quasiment pas grâce à la facilité, mais ça n'en fait pas gagner non plus


Grueavatar nptrc9 - Eugenol
Le Choixpeau magique

26/10/2010 à 00h11

mac écrivait:
-------------
> et deux couleurs aussi, mais tout le mérite en revient au prothésiste.

Est-ce que la prise de teinte a été réalisée chez le protho ?

--
FSDL, what else ?


Logo vuaztn - Eugenol
mac

26/10/2010 à 00h12

Le Choixpeau magique écrivait:
------------------------------
> mac écrivait:
> -------------
> > et deux couleurs aussi, mais tout le mérite en revient au prothésiste.
>
> Est-ce que la prise de teinte a été réalisée chez le protho ?


non jamais.

Img 9588 bhwl9f - Eugenol
Img 9590 bliteg - Eugenol

3f3boxni50k58rq7e9ce9ddqrxgk - Eugenol
dentiste57

26/10/2010 à 00h30

c'est quoi ton appareil photo mac ?


Logo vuaztn - Eugenol
mac

26/10/2010 à 00h32

dentiste57 écrivait:
--------------------
> c'est quoi ton appareil photo mac ?


la photo avec les céram collées c'est un canon 550, tamron 90 ET Flash canon MT24 EX, les autres c'est pareil sauf que le boitier c'était un 350.


Smile beach jgh0a1 - Eugenol
Céramik

26/10/2010 à 01h32

Le Choixpeau magique écrivait:
------------------------------
> Avant je faisais etch de la céram à l'acide fluorhydrique, puis rinçage

e-max, etch flu. 15 sec maxi
rinçage 15 secondes
air 15 secondes
silane

Total moins de 60 secondes




> Ensuite Silane.
> Avec le Surpass, on recommande en plus de mettre une couche de primer dans
> l'intrados et de photopolymériser.

je ne photopolymérise jamais l'intrados, danger d'avoir une couche trop épaisse...
Monobond plus, c'est tout.


>
> Sur la dent, c'est comme tu as dit, mais là c'est soit un M&R 2 et souvent je
> fais saigner avec l'acide phosphorique...


Bon, t'es pas habile, on t'excuse... ;-)))
blague à part, faut pas en mettre partout
Prend le etch de chez ultradent
Mets tes loupes !




Tu pourrais aussi rajouter un
> nettoyage à l'alcool et un sablage.

Pour les compo, tu ajoutes rien ?
Matrice, bague, coins de bois, rinçage (lavage Chlorexidine ?)....



> Si je ne veux pas que ça saigne je fais la séquence surpass, mais avec les trois
> flacons c'est long, et j'ai toujours peur de contaminer...
> Je ne place pas la digue pour coller les couronnes dont la limite est trop
> souvent sous-gingivale...

Place au moins un fil à rétracter, du visco-stat clear, un optigate...




> Enfin bref, tout ça pour dire qu'en travaillant seul ça me fait facilement une
> séance de 45 minutes pour coller une e.max, contre 15 pour sceller une CCM, et
> après tu as le temps de blablater avec le patient.
> Je veux bien faire l'effort pour avoir un résultat, mais si c'est pour avoir
> l'esthétique d'une zircone, autant faire une zircone.

+1
Mais la zircone, même bien, n'est pas universelle en antérieur.


> Je me suis acheté un tube de Relyx, dont la littérature est quand même
> impressionnante, mais je ne peux me résoudre à l'utiliser.
>

Rely-x ?
Lequel, c'est une famille de colle...
Unicem ? (ouach)
Lutting plus? (CVIMR)
Veneer ?
Arc ?






--
Céramik


flicflac

26/10/2010 à 06h09

3 cas différents, trois produits différents
.
salut les cousins

Post op facettes 001 vrbla7 - Eugenol
Couronnes ips empress 21 11 12 bdkmoq - Eugenol
Lamothe france 001 on8gsg - Eugenol

flicflac

26/10/2010 à 06h14

excuser la qualité des photos... problème d'ajustement avec le flash anulaire de Canon je ne sais pas comment le "setter"
bientôt quand j'aurai... le temps... cours de photo...
où aller cher céramik
salut confrère.


flicflac

26/10/2010 à 06h17

remplacer la troisième photo par celle-ci

Post op facettes 002 jvmhpt - Eugenol

All star lmwyq8 - Eugenol
saint Desmotome

26/10/2010 à 11h37

Joli mac,

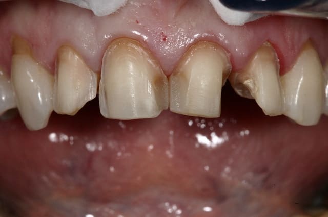
As-tu une photo des préparations?


003 penrd2 - Eugenol
Cingulum

26/10/2010 à 12h05

C'est l'interet de l'emax, c'est que ça se colle. La zircone et l'inceram ça se colle pas bien ! Je ferais pas de facette en zircone, c'est une aberration ...
Des cas avec des prep sans retour en emax... en LT
l'avantage de l'emax opaque c'est de pouvoir tout faire avec un seul produit meme sur fx moignon métal...

--
Dr Cingulum
-----Ancien interné----
----Attaché à l'apex----
www.clinic-all.fr formation par passion

Img 8919 lizh4c - Eugenol
Img 8920 yja0mn - Eugenol
Img 8597 sdnbyt - Eugenol
Img 8675 vxh4hs - Eugenol
Img 8679 eqgqez - Eugenol
Img 8783 n6pgrw - Eugenol
Img 8782 cvutqb - Eugenol