Cookie Consent byPrivacyPolicies.comMade in Tunisia - Eugenol

Made in Tunisia

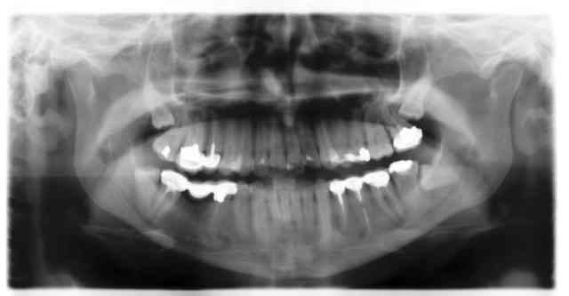
OOscar

26/10/2010 à 19h46

sans commentaire ...

Panoramique pm3wqw - Eugenol

Roger federer 300x217 eqdnuv - Eugenol
Patatrasse

26/10/2010 à 20h03

de très belles dévitalisations remboursées au tarif de convention français ,j'espère !!!!!!!!!!!! Ça vaut pas plus.

--
aux élections URPS du 16 décembre ,
FSDL What Else?


Blondie

26/10/2010 à 20h13

Mouais, enfin j'ai vu passer des OPT bien plus scandaleuses "Made in France" également...


01 ukhwbq - Eugenol
Bobby

26/10/2010 à 20h27

Je me souviens d'un patient du centre de soins quand j'étais en 4. A la lecture du dossier, stress, risque d'endocardite.
Le patient avait mal sous une couronne, faite pendant ses vacances en Afrique du nord. Il avait un magnifique coton dans la chambre pulpaire en guise de soin endodontique...

Spartacus, tu me sembles avoir un air révolté? ^^


Img 3657 cwjvqm - Eugenol
alapex

26/10/2010 à 20h30

Blondie a dit: "...."

...mais ceci n'excuse pas cela .
Pourquoi ne pas constater simplement que ces ttt sont des m.... , ce cas ne met quand même pas tous les confrères tunisiens dans le même sac , si ?


01 ukhwbq - Eugenol
Bobby

26/10/2010 à 20h44

Certainement pas non...Reste que c'est un truc que je n'ai jamais vu en France.


Blondie

26/10/2010 à 20h44

alapex écrivait:
----------------
> Blondie a dit: "...."
>
> ...mais ceci n'excuse pas cela .
> Pourquoi ne pas constater simplement que ces ttt sont des m.... , ce cas ne met
> quand même pas tous les confrères tunisiens dans le même sac , si ?


Bah si. Sinon je vois pas l'intéret d'un tel titre...


01 ukhwbq - Eugenol
Bobby

26/10/2010 à 20h47

Ça attire le chaland, la preuve...


Marque a3 orange fyvhyq - Eugenol
Marc Apap

26/10/2010 à 20h50

1/ On en voit des merdes in France qui ne valent guère mieux
2/ Au moins, le confrère d'Afrique du nord a mis dans la chambre pulpaire un coton facile à enlever et pas un semblant de pâte impossible à pénétrer comme le font d'autres bien de chez nous
3/ Que Spartacus soit révolté, ce n'est pas étonnant, avec un pseudo pareil
4/ N'apportez pas d'eau au moulin de je ne sais quel joueur de l'équipe de France qui a fait venir à grands frais un dentiste pour le soigner à Sousse (ou à côté)
5/ Je ne défends pas spécialement les dentistes tunisiens, mais ta démarche est la même que celle des journalistes que l'on hait tant : on montre un cas et on en fait une généralité.


Img 3657 cwjvqm - Eugenol
alapex

26/10/2010 à 21h09

Blondie écrivait:
-----------------
> alapex écrivait:
> ----------------
> > Blondie a dit: "...."
> >
> > ...mais ceci n'excuse pas cela .
> > Pourquoi ne pas constater simplement que ces ttt sont des m.... , ce cas ne
> met
> > quand même pas tous les confrères tunisiens dans le même sac , si ?
>
>
> Bah si. Sinon je vois pas l'intéret d'un tel titre...


Faut demander à l'auteur de sujet , je pense que non , mais cela peut être mal interprété je le conçois .
Aurais tu la même réaction s'il s'agissait du travail d'un confrère hongrois ?
Quand tu vois ça :



Tu regardes , tu ne regardes pas , mais personne ne fait de commentaire ni ne sort une quelconque connotation raciste ou xénophobe de ma part .
Que se passerait-il si je faisais la même chose sur une vidéo tunisienne ?
Ce serait le tollé général , et c'est dommage car le but c'est de choper une vidéo en langue inconnue et de mettre des sous-titres , de se marrer et pas autre chose .

Alors c'est c.. mais c'est comme ça , je suis obligé de taper sur le net chinois , européen ou pays de l'Est sinon...
Il est dommage que certains mots soient interdits et prennent une transparence lepeniste , tu ne penses pas ?


01 ukhwbq - Eugenol
Bobby

26/10/2010 à 21h22

T'es libre de parler de tous les sujets, mais tu ne peux pas les traiter de manière égale, quant à la fraternité...


Blondie

26/10/2010 à 21h26

Ce que je veux dire, c'est qu'il n'est pas nécessaire de partir si loin pour voir ce genre de pano. C'est tout .Vos "analyses politiques" me paraissent hasardeuses.


Utilisateur banni

26/10/2010 à 21h34

Ca me rappel un film...
http://www.commeaucinema.com/film/travail-d-arabe,12519


01 ukhwbq - Eugenol
Bobby

26/10/2010 à 21h43

Blondie écrivait:
-----------------
>Vos "analyses politiques" me paraissent
> hasardeuses.

Ben voilà, on est en plein dedans mdr


Img 3657 cwjvqm - Eugenol
alapex

26/10/2010 à 21h47

Vi , en tout cas parmi les comiques , les blagues "sur" sont réservés "aux"...sinon on crie au scandale , c'est stupide .
Alors les récupérations d'un bord ou d'un autre c'est pas bien , mais seulement si le contrat bipolaire est équitable .

Je me sentirais plus à l'aise en parlant de la 2ème guerre mondiale , des atrocités SS , d'un film comme "La grande vadrouille" .
Tiens c'est marrant j'ai changé de sujet ...

Bref je reste dans mon Parti celui des Optimistes , pas le p'tit bateau ...)))))


01 ukhwbq - Eugenol
Bobby

26/10/2010 à 21h58

C'est trimaran tout ça...


Img 3657 cwjvqm - Eugenol
alapex

26/10/2010 à 22h04

Blondie écrivait:
-----------------
> Ce que je veux dire, c'est qu'il n'est pas nécessaire de partir si loin pour
> voir ce genre de pano.

Suis d'accord .



Vos "analyses politiques" me paraissent hasardeuses.


C'est la grande communication de nonol ? Où vois-tu une analyse ? politique de surcroit ? On ne peut plus parler de rien ?


Little shop of horrors brzqjx - Eugenol
chatondecarte

27/10/2010 à 00h23

J'ai déjà vu bien bien pire... Endo aussi naze mais avec des couronnes bien pire que ça dessus...
Et pourtant made in France.

Du coup ça ne m'émeut pas tant que ça.


Wolford hm5yx3 - Eugenol
Doc lyonnaise

27/10/2010 à 10h51

http://www.mille-et-une-tunisie.com/accueil/magazine/974-la-tunisie-une-destination-de-tourisme-dentaire.html


ad-hugo

27/10/2010 à 16h04

il suffit de regarder la radio de Ceramik dans son post intitulé "alors, hop?" pour voir que des endos pourries il y en a partout! et pourtant, les incisives inférieures sont plus faciles a traiter que les molaires.

et, oui, made in Tunisia, ça vise UN pays en particulier!

il y a des bons et des mauvais partout.


Smile beach jgh0a1 - Eugenol
Céramik

27/10/2010 à 16h42

ad-hugo écrivait:
-----------------
> il suffit de regarder la radio de Ceramik dans son post intitulé "alors, hop?"
> pour voir que des endos pourries il y en a partout!

+1, des cas merdique, il y a en partout.

La patiente a 25 ans et les endo ont été faites à l'âge de 10 ans en urgence, suite trauma et jamais eu de problème...
La demande de la patiente : on peut les faire plus blanche ? (les dents sont grises)


--
Céramik


Gutt-A

27/10/2010 à 22h58

Des cas merdiques y'en a partout...mais dans certains endroits plus qu'ailleurs....

cf. le premier post de ce fil


chicote64

31/10/2010 à 02h24

Il y a peu de temps ,j'ai reçu un américain(touriste) en urgence et j'ai été super déçue de la qualité de ses prothèses:civ résines et partiels résines!Le patient avait les moyens de venir du bout du monde,je pense qu'il avait les moyens de prothèses un peu plus "élégantes".Bref décue!!


Smile beach jgh0a1 - Eugenol
Céramik

31/10/2010 à 03h51

chicote64 écrivait:
-------------------
> Il y a peu de temps ,j'ai reçu un américain(touriste) en urgence et j'ai été
> super déçue de la qualité de ses prothèses:civ résines et partiels résines!Le
> patient avait les moyens de venir du bout du monde,je pense qu'il avait les
> moyens de prothèses un peu plus "élégantes".Bref décue!!

Aux USA, plusieurs patients ont des mutuelles très pauvres, donc tx basiques. Si le CD a signé l'entente avec la mutuelle, il DOIT suivre les règles de la mutuelle, sans égard au diagnostique et au choix de tx possible. C'est un triste système.

Pour avoir bcp voyagé et suivi des formations aux USA, j'ai discuté avec pas mal de CD américains. Il y a un monde de différence entre les CD.

Par exemple, sur 10 patients, avec 10 mutuelles, certains CD feront 10 tx différents, avec 10 qualités différentes.
Et ce dans la même journée !
C'est un système complexe, qui est géré par un tiers, et non par les patients ou les CD.


--
Céramik


55 s2ba7n - Eugenol
Bjorn Again

01/11/2010 à 10h05

1/ Les étudiants étrangers venant faire dentaire en France redoublent très rarement, quel que soit leur niveau.

2/ Les dentistes tunisiens bénéficient de publicités sur internet et dans les "reportages" et "autres "journaux" télévisés, on y explique que les soins sont aussi bons qu'en France, pour moins cher.

3/ Comme d'habitude, certains montent au créneau machinalement. Bien sûr ils se font opérer en Tunisie lorsqu'ils y sont en vacances et qu'ils ont besoin d'un traitement chirurgical rapidement, ils ne se font pas rapatrier en urgence... (hein Blondie?...)

4/ Si le titre avait été made in Germany ou England, les remarques de certains n'auraient pas été les mêmes, ils n'auraient même pas répondu.


12