Cookie Consent byPrivacyPolicies.comGEC et dessin de lambeau - Eugenol
 mg 0207 xwjxcl - Eugenol
Tillc

30/10/2010 à 15h19

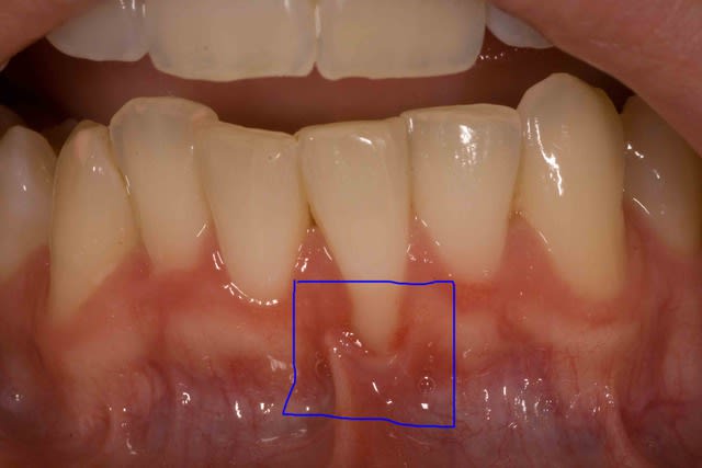
J'ai bientot ma premiere GEC solo . Voila le dessin de mon lambeau en demi epaisseur qu'en pensez vous ?

 mg 0069 k7i9ie - Eugenol

Smile beach jgh0a1 - Eugenol
Céramik

30/10/2010 à 18h36

Je ferais plus large, surtout à la base.

Couvre au moins 1 dent de chaque côté, voir 2, car la gencive est très mince partout.


Ne pas oublier d'ajuster l'occlusion et faire freinectomie en passant.

--
Céramik


flicflac

31/10/2010 à 02h57

Tillc, tu peux aussi faire lambeau type poche de pita qui est un décollement en épaisseur partielle du buccal des dents adjacentes, sans incision de décharge ( incision vertical) comme pour une greffe allodermique.
Comment tu prend ton conjonctif?
salut cousin


Smile beach jgh0a1 - Eugenol
Céramik

31/10/2010 à 03h43

flicflac écrivait:
------------------
> Tillc, tu peux aussi faire lambeau type poche de pita qui est un décollement en
> épaisseur partielle du buccal des dents adjacentes, sans incision de décharge (
> incision vertical) comme pour une greffe allodermique.
> Comment tu prend ton conjonctif?
> salut cousin


GEC

Greffe Epithelio-Conjonctive, donc greffon pleine épaisseur, ce qui est mieux dans ce cas, qu'un conjonctif enfoui.



--
Céramik


flicflac

31/10/2010 à 03h56

j'étais encorer dans le champs avec ces acronymes...
tu penses que c'est mieux qu'un conjonctif....pourquoi?
merci


Smile beach jgh0a1 - Eugenol
Céramik

31/10/2010 à 04h02

flicflac écrivait:
------------------
> j'étais encorer dans le champs avec ces acronymes...
> tu penses que c'est mieux qu'un conjonctif....pourquoi?
> merci

Pour ce cas précis oui.
Je fais du conjonctif presque tjs, mais là, j'aurais fait une GEC, pour avoir un vrai tissu kératinisé.

Alloderme et autre, pas dans ce cas-ci, non plus.

--
Céramik


flicflac

31/10/2010 à 04h28

le but est-il d'avoir une gencive kératinisé ou une gencice attachée plus épaisse...


 mg 0207 xwjxcl - Eugenol
Tillc

31/10/2010 à 08h51

flicflac écrivait:
------------------
> le but est-il d'avoir une gencive kératinisé ou une gencice attachée plus
> épaisse...


C est un des rares cas ou la gec est encore préférable au conjintif enfouis . L'objectif étant de récupérer de la gencive keratinise et faire une freinectomie en même temps pour stabiliser les tissus


 mg 0207 xwjxcl - Eugenol
Tillc

05/11/2010 à 18h46

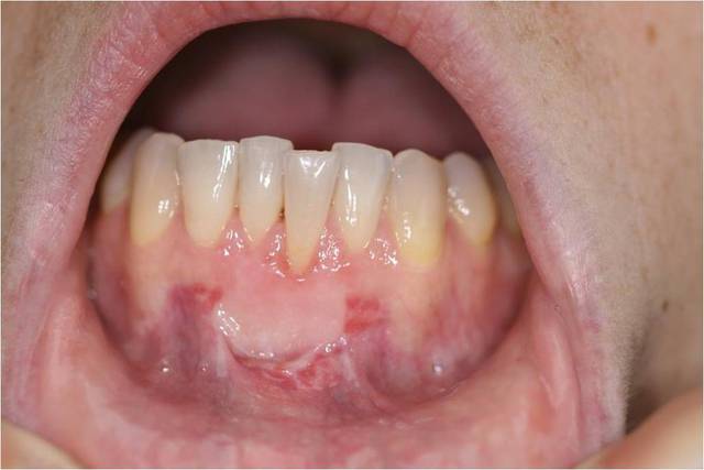
Bon bein voil c'est fait .
Préparer le lit reveveur ok
Le prelevement et la préparation du greffon c'est le plus facile
La ou j'ai eu le plus de difficulté c'est au moment de la mise en place du greffon. Meme en y mettant tout mon courage et ma volonté et du fils 5/0 j'ai pas reussi a suture le lambeau aux papilles . Conclusion il est descendu ... Sinon la freinectomie a pu etre fait sans probleme, lambeau bien plaqué et immobile .

Pour la cicatrisation je croise les doigts.

J'anticipe un peu vos questions :
Pourquoi 2 types de fils ?
j'utilise le 4/0 vicil pour les points facile a mettre en place (aiguille plus grosse et sutures faciles) . Le 5/0 avec sa petite aiguille pour le points plaqué car je n'ai pas le choix .
D'ailleurs le 5/0 prolene c'est vraiment de la merde... il a une memoire de forme et reste embobiné.

Pourquoi ne pas recouvrir toute la racine?
Impossible de suturer au papilles malgres tout mes efforts :/ . La greffe est legerement descendu

Loin de penser que tout soit nikel j'attend vos critiques constructive, surtout celle d'olivier et ceramik :) .
La 2ieme photos correspond au dessin final du lambeau

 mg 0095 k6bddb - Eugenol
 mg 0095 lhhdrm - Eugenol
 mg 0069 rvivvs - Eugenol

Img 8465 fqhxid - Eugenol
noahaxeltiger-olivier

05/11/2010 à 19h54

Salut Tillc,
Je pense que tu as bien reçu mon mp quand tu m'avais demander quoi faire. Tu sais donc ce que j'en pense et en quoi mon approche aurait été différente de la tienne.

D'après les photos je ne crois pas que tu aies utilisé des instruments de microchirurgie. L'utilisation du Prolene 6/0 est difficile avec des porte-aiguilles classiques. Dommage, c'est un fil parfaitement adapté à la chirugie mucogingivale.


arno

05/11/2010 à 20h58

noahaxeltiger-olivier écrivait:
-------------------------------
mon approche aurait été différente de la tienne.

peux-tu nous faire partager ça stp?


Smile beach jgh0a1 - Eugenol
Céramik

06/11/2010 à 00h04

noahaxeltiger-olivier écrivait:
-------------------------------
> D'après les photos je ne crois pas que tu aies utilisé des instruments de
> microchirurgie. L'utilisation du Prolene 6/0 est difficile avec des
> porte-aiguilles classiques. Dommage, c'est un fil parfaitement adapté à la
> chirugie mucogingivale.



+1
J'ai bcp le 6-0, faut avoir les bons outils, du temps et un peu de doigté. Ah, les loupes aident aussi !

Olivier, tu fais tes sutures au microscope ?

--
Céramik


Smile beach jgh0a1 - Eugenol
Céramik

06/11/2010 à 00h11

Tillc écrivait:
---------------
>>
> Pour la cicatrisation je croise les doigts.
>
>

et aussi durant les sutures ?
:-)))

sorry trop facile !
Sérieusement, faut changer de fils et de dessin d'incision.


--
Céramik


flicflac

06/11/2010 à 02h09

tillc, tu parle de prolène 5-0, c'est de la m...
utlise la 6-0 avec porte fil castro, la 5-0 est beaucoup plus irritante pour les muqueuse en contact avec les fils du noeud... J'aurais aimé savoir ce que Noah te conseillais...
Pour ce type de GEC...j'aurais probablement débuté avec un point suspendu, ce qui aurais conserver le greffon au dessus de la jonction énamo-cémentaire,,,
salut cousin... présentement tu vas arriver au même résultat qu'une greffe épithéliale libre standard de 1.25mm d'étaisseur avec plus de domage au niveau des papilles étant donné le greffon trop apicale et le tout était bien préparé au niveau du lit receveur... suture suspendue...


flicflac

06/11/2010 à 02h11

en post-op tu va probablement avoir créer un déhiscence au mb de la dent 32...


Img 8465 fqhxid - Eugenol
noahaxeltiger-olivier

07/11/2010 à 23h33

Céramik écrivait:
-----------------
> Olivier, tu fais tes sutures au microscope ?

Quand les loupes ne suffisent pas, je me sers effectivement du microscope surtout pour les chirurgies mucogingivales ou régénératives.


Smile beach jgh0a1 - Eugenol
Céramik

08/11/2010 à 01h13

noahaxeltiger-olivier écrivait:
-------------------------------
> Céramik écrivait:
> -----------------
> > Olivier, tu fais tes sutures au microscope ?
>
> Quand les loupes ne suffisent pas, je me sers effectivement du microscope
> surtout pour les chirurgies mucogingivales ou régénératives.


Je devrais ré-essayer...je ne fais pas mes sutures au microscope...juste des loupes...

J'utilise du polypropylene bleu 6-0 (Hu-Friedy)


--
Céramik


flicflac

08/11/2010 à 02h33

noah, quel aurais été ton approche...
salut cousin... en passant le post cas de paro... un autre cas...


Img 8465 fqhxid - Eugenol
noahaxeltiger-olivier

08/11/2010 à 07h47

flicflac écrivait:
------------------
> noah, quel aurais été ton approche...

Si l'ambition est de couvrir l'integralite de la recession avec une seule intervention, j'aurais étendu la greffe à 2 dents ce qui aurait permis d'accroitre le lit receveur en augmentant par cela la surface de vascularisation et l'immobilisation du greffon.
Une autre différence est que j'aurais utilisé des techniques microchirurgicales qui permettent d'obtenir des incisions propres, une manipulation tissulaire délicate et une mise en place de sutures plus précise.
Enfin, les points utilisés auraient été différents : double crossed, points papillaires, périphériques et de plaquage.

Le cas de Tillc n'est cependant pas perdu mais il lui sera certainement nécessaire de réintervenir avec un lambeau tracté coronairement pour améliorer le recouvrement radiculaire


Fouilla h6plsy - Eugenol
fouilla

08/11/2010 à 18h58


en plus tillc a le mérite de montrer na point peur de la critique.

bon alors dès que je ferai des photos correctes je poste car ils sont critiques sur nonol Tssssssssssssssssssssss

olivier en tout cas sache que je méclate bien avec le double slink .
mes photos en seront la preuve et désormais mes points sont plats bon je le concède pas comme sur certaines photos mais bon fouilla il est content et c'est déja bien pour lui...


--
.


 mg 0207 xwjxcl - Eugenol
Tillc

08/11/2010 à 23h14

noahaxeltiger-olivier écrivait:
-------------------------------
> flicflac écrivait:
> ------------------
> > noah, quel aurais été ton approche...
>
> Si l'ambition est de couvrir l'integralite de la recession avec une seule
> intervention, j'aurais étendu la greffe à 2 dents

J ai pas ose , j ai eu peur de bousiller 2 dents au lieu d' une . Surement une erreur de débutant de voir trop petit.

> Une autre différence est que j'aurais utilisé des techniques microchirurgicales
> qui permettent d'obtenir des incisions propres, une manipulation tissulaire
> délicate et une mise en place de sutures plus précise.

Pourtant j ai tente de le faire avec des incisions adéquats mais le résultat n est pas comme dans les livres...
>
> Le cas de Tillc n'est cependant pas perdu mais il lui sera certainement
> nécessaire de réintervenir avec un lambeau tracté coronairement pour améliorer
> le recouvrement radiculaire

A la limite si elle recupere de la ga je serais déjà bien content !


Olivier aurais tu des cas simples de gec a nous présenter par hasard ?


Dent masqu e petite f0pbaj - Eugenol
dudule

09/11/2010 à 01h43

Je me permets de poursuivre ce post car j'ai un échec partiel sur lequel je m'interroge. Est-ce lié à la vestibulisation de l'incisive ? Devrais-je tenter un lambeau déplacé coronairement ?

Gec1 ssj9kp - Eugenol
Gec2 frwfcy - Eugenol
Gec6 ohi6lj - Eugenol
Gec8 d8miai - Eugenol
Gec3 kcp2yf - Eugenol
Gec4 hd0ztp - Eugenol
Gec5 dce54v - Eugenol
Gec7 gblyp4 - Eugenol

Smile beach jgh0a1 - Eugenol
Céramik

09/11/2010 à 02h58

dudule écrivait:
----------------
> Je me permets de poursuivre ce post car j'ai un échec partiel sur lequel je
> m'interroge. Est-ce lié à la vestibulisation de l'incisive ? Devrais-je tenter
> un lambeau déplacé coronairement ?


Reste à faire un lambeau déplacé coronairement.

Sinon, je pense que les sutures auraient pu être différentes, et le greffon placer un peu plus haut.

--
Céramik


flicflac

09/11/2010 à 05h19

dudule.. tu as recouvert à la hauteur que tu avais mis ton greffon.. ligne rejoignant gencive 33-43.
D'accord avec céramik, lambeau plus haut et sutures différentes.... mais comment? beaucoup de sutures peuvent nuire à la perfusion du greffon.
Ne pas oublier dent buccalée devient une Cl III de Miller, donc difficile de faire recouvrement complet...
salut cousin


Img 8465 fqhxid - Eugenol
noahaxeltiger-olivier

13/11/2010 à 13h14

Tillc écrivait:
---------------
> Olivier aurais tu des cas simples de gec a nous présenter par hasard ?

Tiens Tillc, voilà quelques cas de rétraction gérées par greffon épithélio-conjonctif :
- cas 1 : greffe gingivale libre large sur 2 dents,
- cas 2 : greffe gingivale libre étroite sur 1 dent,
- cas 3 : greffe gingivale libre étroite sur 1 dent associé à un conjonctif enfoui bilatéral sur les dents adjacentes.


12...