Cookie Consent byPrivacyPolicies.comUn peu de travail en vue ... - Eugenol

Un peu de travail en vue ...

Pépélaratiche

17/11/2010 à 16h32

Implantations à venir les enfants ....

Pp ;-))))))))))))))))))))))))

Img 7062 op33k1 - Eugenol
Img 7064 zg1fka - Eugenol
Img 7063 hyvz0z - Eugenol

Img 3657 cwjvqm - Eugenol
alapex

17/11/2010 à 17h47

Essaye de faire un effort quelques quadruples disks nous feraient plaisir ...)))


Gutt-A

17/11/2010 à 18h15

Pépélaratiche écrivait:
-----------------------
> Implantations à venir les enfants ....



OOOOUUUUUUUUUééééééééééé, ze range mon ballon et ze viens


Pépélaratiche

17/11/2010 à 18h59

Les quadruples ont existé en 7G1-QDH et 5G1-QDH

Si si hauteur totale 17,5 mm

Pp ;-)

PS Jamais eu l occasion d en poser snifffff


Pépélaratiche

17/11/2010 à 19h03

Il s agit de 2 femmes et un homme.

Le monsieur a vu son traitement commencer par un complet du haut amovible le tps que les PRFs me comblent un peu les zones paro +++ et le tps de qques séances d ostéotension
On commencera par poser en bas en enfoui, des disk en zone molaires car très étroit et peu haut

Les 2 dames sont encore ds l expectative mais il est urgent de prendre une décision vu l état paro très avancé. Une de 40 à peine et la seconde de 50 ans... 20 années de tabagisme pour chacune...

Pp


Avatar 46 aoi1yc - Eugenol
HononLulu

17/11/2010 à 22h38

Tu vas t'amuser pour la 7063 ......

--
FSDL , what else ?


marcus

17/11/2010 à 22h48

Gutt-A écrivait:
----------------
> Pépélaratiche écrivait:
> -----------------------
> > Implantations à venir les enfants ....
>
>
>
> OOOOUUUUUUUUUééééééééééé, ze range mon ballon et ze viens



Moi aussi ,

enfin un post interressant depuis le temps qu'on l'attendait , merci pépé


3f3boxni50k58rq7e9ce9ddqrxgk - Eugenol
dentiste57

18/11/2010 à 00h23

mais comment tu fais pour bosser avec des pano aussi dégueulasses ?

tu devrais investir, je ne doute pas que tu saches interpréter des panos mais quand même, c'est du confort pour bosser. pourquoi s'en priver?


Smile beach jgh0a1 - Eugenol
Céramik

18/11/2010 à 03h13

dentiste57 écrivait:
--------------------
> mais comment tu fais pour bosser avec des pano aussi dégueulasses ?
>
> tu devrais investir, je ne doute pas que tu saches interpréter des panos mais
> quand même, c'est du confort pour bosser. pourquoi s'en priver?



+1
La pano numérique, ça existe !
;-)

--
Céramik


S2y2o1v7q53ws4r5wy6ou8czrpom - Eugenol
pxav

18/11/2010 à 08h42

marcus écrivait:
----------------

> enfin un post interressant depuis le temps qu'on l'attendait , merci pépé

+1
--
xbk
C'est parce que la vitesse de la lumière est supérieure à celle du son que tant de gens paraissent brillants avant d'avoir l'air con..(anonyme:-))


Pépélaratiche

18/11/2010 à 15h07

dentiste57 écrivait:
--------------------
> mais comment tu fais pour bosser avec des pano aussi dégueulasses ?
>
> tu devrais investir, je ne doute pas que tu saches interpréter des panos mais
> quand même, c'est du confort pour bosser. pourquoi s'en priver?

Pfs les patients arrivent avec leur pano de chez leur praticien
Il y en une bien floue ds la bande mais bon comme 1er doc avant les scanners ça peut déjà donner une idée

Pp ;-)


Pépélaratiche

20/11/2010 à 12h56

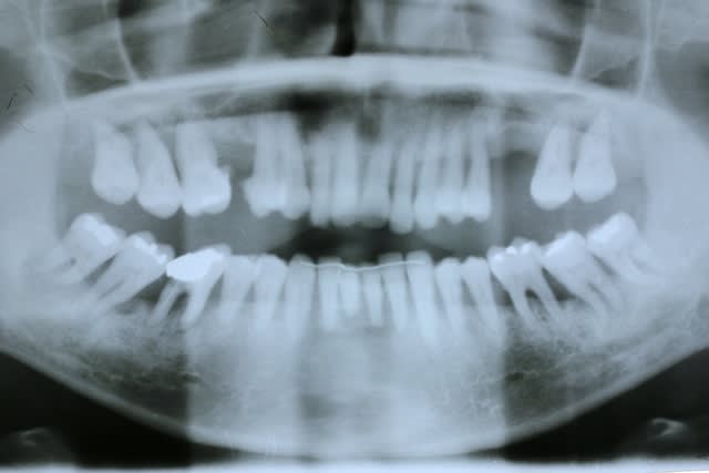
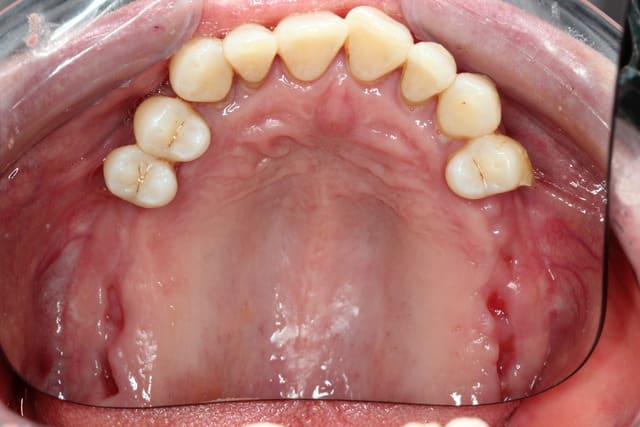
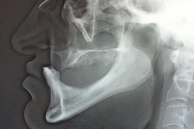
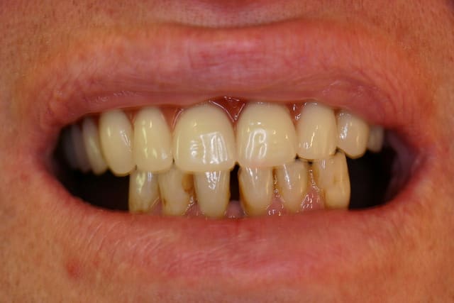
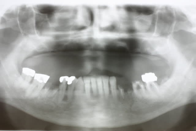
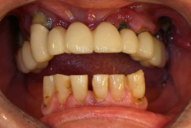
1.Bon... situation pré-extractionelle ( Je crois qu il faillait vraiment extraire )

2. Complet à essai en bouche après extraction et PRFs ds tous les alvéoles puis 3 séances d ostéotensions à venir pour le maxillaire

3. Vue sur articu

4. Télé de profil post-extractionelle

Bon la suite sera ostéotension mandibule et pose des implants mandibulaires en enfoui ds 45 j

Ensuite qd on aura les dents provisoires du bas on sera à peu près prêt pour scan du haut et materialise

Je vous tiens au courant

Pp ;-)

Img 7059 vlait4 - Eugenol
Img 7066 ohuoin - Eugenol
Img 7067 nqthtf - Eugenol
Img 7070 dg5xgz - Eugenol

Pépélaratiche

20/11/2010 à 13h00

Oups ds la liste des travaux
Je l avais oublié celui là

Pp deviendraistuséniledéjà ??? :-))))))))))))

Img 7049 js3hyj - Eugenol

Pépélaratiche

18/12/2010 à 15h21

Voici le second cas qui se met en route

Extraction des molaires et PRFs + ostéotension le 29 janvier

Pp ;-)

PS + une "petite nouvelle" à qui on devrait faire implanto totale du bas vu que le haut est à présent en ordre... C est la patiente qui m a glissé ça ds l oreille lors du contrôle...

Img 7064 gtmnsw - Eugenol
Img 7079 nmeb4p - Eugenol

Pépélaratiche

20/01/2011 à 15h49

Pépélaratiche écrivait:
-----------------------
> 1.Bon... situation pré-extractionelle ( Je crois qu il faillait vraiment
> extraire )
>
> 2. Complet à essai en bouche après extraction et PRFs ds tous les alvéoles puis
> 3 séances d ostéotensions à venir pour le maxillaire
>
> 3. Vue sur articu
>
> 4. Télé de profil post-extractionelle
>
> Bon la suite sera ostéotension mandibule et pose des implants mandibulaires en
> enfoui ds 45 j
>
> Ensuite qd on aura les dents provisoires du bas on sera à peu près prêt pour
> scan du haut et materialise
>
> Je vous tiens au courant
>
> Pp ;-)


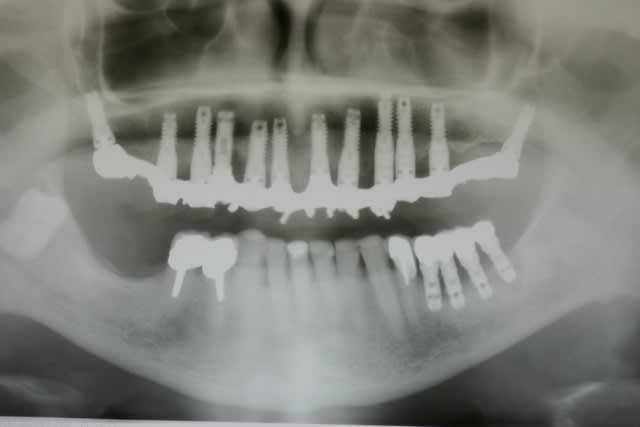
Voici le dentascan de la mandibule que je viens d ostéotenser ce jour. Deuxième séance ds 45 j et puis 45 plus tard implants en enfouis probablement

Zones molaires creuses et zones des PM denses car deux tori mandibulaires sont présent

Dès que les implants y seront vous le saurez mais vu la forme assez bizarre de la mandibule en zone molaire il y aura d abord un modèle Materialise avant la chirurgie, histoire de voir si les plaques sont indispensables ou si les disks pourront passer ds ce relief assez "courbe"

Pp ;-)

Img 0020 t0ksd4 - Eugenol
Img 0023 n1g5wm - Eugenol
Img 0024 q0bdb0 - Eugenol
Img 0021 prsova - Eugenol
Img 0019 njilt7 - Eugenol
Img 0022 bf4ahy - Eugenol

Casque beotien a3jo39 - Eugenol
beotien

22/01/2011 à 01h08

reprise cette semaine
dur de recommencer l'année!mais pourquoi bosser plus

pfff!!beotien aussi vient de trouver de quoi jouer un peu

bon ok c'est plus facile que tes cas pp, mais je ne suis que beotien

Devis à faire ne veut pas dire acceptation


Pépélaratiche

05/03/2011 à 13h56

Voilà ça démarre tout doucement

On a fait les PRfs et extractions des molaires maxillaires voici un mois

Et on vient d extraire le molaires inf avec PRFs ce jour

Pp

PS1 Bon we à tous... Demain : vacances départ pour une semaine à Londres :-)))))

PS2 Message pour Olivier : quel traitement paro fais tu à cette patiente qd tu vois les pièces extractionnelles ?????

Img 0039 mivlds - Eugenol
Img 0042 j9op37 - Eugenol
Img 0048 sh78ty - Eugenol
Img 0060 td1gzb - Eugenol
Img 0064 rh8xcw - Eugenol
Img 7064 khpqtk - Eugenol
Img 0041 elhfjn - Eugenol
Img 0047 nqyd8b - Eugenol
Img 0061 zpgu2b - Eugenol
Img 0063 y43btq - Eugenol

Pépélaratiche

05/03/2011 à 13h58

beotien écrivait:
-----------------
> reprise cette semaine
> dur de recommencer l'année!mais pourquoi bosser plus
>
> pfff!!beotien aussi vient de trouver de quoi jouer un peu
>
> bon ok c'est plus facile que tes cas pp, mais je ne suis que beotien
>
> Devis à faire ne veut pas dire acceptation

Joli travail en vue Béotien
Ne sois pas modeste comme ça

Pp ;-)


Avatar ow44t3 - Eugenol
Chicot

05/03/2011 à 15h33

Pépélaratiche écrivait:
-----------------------

> PS1 Bon we à tous... Demain : vacances départ pour une semaine à Londres :-)))))


amuse toi bien, va falloir te reposer après l'effort que tu as du faire pour extraire ces dents !


--
;O)


Pépélaratiche

05/03/2011 à 16h03

Chicot écrivait:
----------------
> Pépélaratiche écrivait:
> -----------------------
>
> > PS1 Bon we à tous... Demain : vacances départ pour une semaine à Londres
> :-)))))
>
>
> amuse toi bien, va falloir te reposer après l'effort que tu as du faire pour
> extraire ces dents !
>
>
> --
> ;O)

Ben n en crois rien cher Chicot.... Elles bougeaient bien comme toutes bonnes dents paro mais quelle merde à anesthésier...

Pp :-))))))))))


Avatar ow44t3 - Eugenol
Chicot

05/03/2011 à 18h18

Pépélaratiche écrivait:
-----------------------
> Chicot écrivait:
> ----------------
> > Pépélaratiche écrivait:
> > -----------------------
> >
> > > PS1 Bon we à tous... Demain : vacances départ pour une semaine à Londres
> > :-)))))
> >
> >
> > amuse toi bien, va falloir te reposer après l'effort que tu as du faire pour
> > extraire ces dents !
> >
> >
> > --
> > ;O)
>
> Ben n en crois rien cher Chicot.... Elles bougeaient bien comme toutes bonnes
> dents paro mais quelle merde à anesthésier...
>
> Pp :-))))))))))

LOL c'était de l'humour ! T'as vraiment besoins de repos toi alors !


--
;O)


Img 8465 fqhxid - Eugenol
noahaxeltiger-olivier

05/03/2011 à 20h46

Pépélaratiche écrivait:
-----------------------
> PS2 Message pour Olivier : quel traitement paro fais tu à cette patiente qd tu
> vois les pièces extractionnelles ?????

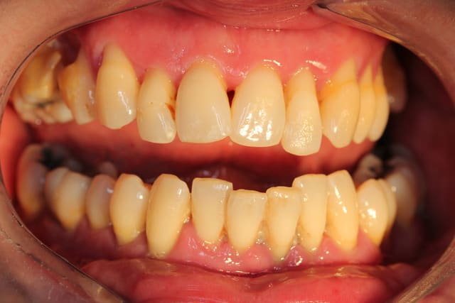
On est bien d'accord sur ce cas là, il n'y a malheureusement plus grand chose à faire.
Mais ces pertes parodontales ne sont pas survenues du jour au lendemain ! Ce qui est inquiétant est de savoir pourquoi rien n'a été fait auparavant ?!? La patiente n'était pas informée de son statut parodontal ou a-t-elle négligé tout ca ?
Ce qui est certain est que le risque d'avoir les mêmes problèmes autour de tes futurs implants est énorme !!

Extraire et implanter dans un cas pareil ce n'est vraiment pas le plus difficile. Le vrai challenge est de conserver l'ensemble sain.

Bon courage pour la maintenance. Mais c'est peut être pas toi qui t'en charge ??

Amicalement
Olivier


Pépélaratiche

05/03/2011 à 20h52

Chicot écrivait:
----------------
> Pépélaratiche écrivait:
> -----------------------
> > Chicot écrivait:
> > ----------------
> > > Pépélaratiche écrivait:
> > > -----------------------
> > >
> > > > PS1 Bon we à tous... Demain : vacances départ pour une semaine à Londres
> > > :-)))))
> > >
> > >
> > > amuse toi bien, va falloir te reposer après l'effort que tu as du faire pour
> > > extraire ces dents !
> > >
> > >
> > > --
> > > ;O)
> >
> > Ben n en crois rien cher Chicot.... Elles bougeaient bien comme toutes bonnes
> > dents paro mais quelle merde à anesthésier...
> >
> > Pp :-))))))))))
>
> LOL c'était de l'humour ! T'as vraiment besoins de repos toi alors !
>
>
> --
> ;O)

Ben oui Pp prend de l âge et de la -divine- bouteille aussi ;-)
Amitiés

Pp


Pépélaratiche

05/03/2011 à 20h59

noahaxeltiger-olivier écrivait:
-------------------------------
> Pépélaratiche écrivait:
> -----------------------
> > PS2 Message pour Olivier : quel traitement paro fais tu à cette patiente qd tu
> > vois les pièces extractionnelles ?????
>
> On est bien d'accord sur ce cas là, il n'y a malheureusement plus grand chose à
> faire.
> Mais ces pertes parodontales ne sont pas survenues du jour au lendemain ! Ce qui
> est inquiétant est de savoir pourquoi rien n'a été fait auparavant ?!? La
> patiente n'était pas informée de son statut parodontal ou a-t-elle négligé tout
> ca ?
> Ce qui est certain est que le risque d'avoir les mêmes problèmes autour de tes
> futurs implants est énorme !!
>
> Extraire et implanter dans un cas pareil ce n'est vraiment pas le plus
> difficile. Le vrai challenge est de conserver l'ensemble sain.
>
> Bon courage pour la maintenance. Mais c'est peut être pas toi qui t'en charge ??
>
> Amicalement
> Olivier

Bonsoir Olivier,

je suis heureux de t entendre dire qu on ne pouvait plus qu extraire ds ce cas...comme ds bcp de cas paro qui sont plus vite terminaux qu on ne veut bien le croire

Elle a subi une bonne vieille chir paro ce curetage à ciel ouvert...Un vrai miracle que je ne tente plus depuis des années

A mon humble avis, la maintenance ne sera que plus facile autour d implants propres et lisses d usinage qu autour de dents perclues de germes mais je te promets que je les tiens à l oeil quand ce genre de chose leur est arrivé
On notera un tabagisme intense d une durée de 20 ans qui n a en rien aidé bien sûr... Ce tabagisme fait partie du passé depuis 4 à 5 ans mais c était trop tard et trop mal mené sur le plan du suivi et stt cette chir paro à lambeau...

Amitiés

Pp

PS Je ne manquerai pas de te tenir au courant de la suite mais j en ai tant à faire que des fois je fais même pas de photos mais bon je vais faire un effort ;-)


Img 8465 fqhxid - Eugenol
noahaxeltiger-olivier

05/03/2011 à 21h58

Pépélaratiche écrivait:
----------------------
> je suis heureux de t entendre dire qu on ne pouvait plus qu extraire ds ce
> cas...comme ds bcp de cas paro qui sont plus vite terminaux qu on ne veut bien
> le croire


Je te trouve un peu dur Pp. Tu sais un ttt paro mal mené c'est comme un ttt implanto mal mené.


12...